JavaScript is disabled in your browser. Please enable JavaScript to view this website.
AB224440

Anti-MATE-1 antibody

Be the first to review this product! Submit a review

|

(1 Publication)

Rabbit Polyclonal MATE-1 antibody. Suitable for IHC-P and reacts with Human samples. Cited in 1 publication. Immunogen corresponding to Recombinant Fragment Protein within Human SLC47A1 aa 450-550.

View Alternative Names

MATE1, SLC47A1, Multidrug and toxin extrusion protein 1, MATE-1, hMATE-1, Solute carrier family 47 member 1

5 Images
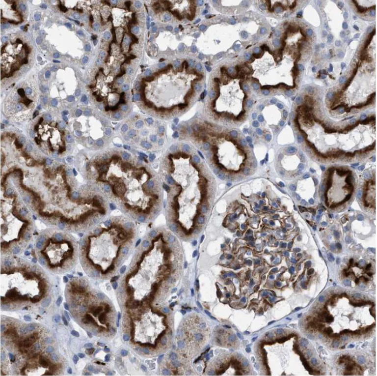
Immunohistochemistry (Formalin/PFA-fixed paraffin-embedded sections) - Anti-MATE-1 antibody (AB224440)
  • IHC-P

Supplier Data

Immunohistochemistry (Formalin/PFA-fixed paraffin-embedded sections) - Anti-MATE-1 antibody (AB224440)

Immunohistochemical analysis of human kidney tissue labeling MATE-1 in the membrane of cells in tubules with ab224440 at 1/50 dilution.

Performed heat mediated antigen retrieval with citrate buffer pH 6 before commencing with IHC staining protocol.

Immunohistochemistry (Formalin/PFA-fixed paraffin-embedded sections) - Anti-MATE-1 antibody (AB224440)
  • IHC-P

Supplier Data

Immunohistochemistry (Formalin/PFA-fixed paraffin-embedded sections) - Anti-MATE-1 antibody (AB224440)

Immunohistochemical analysis of human adrenal gland tissue labeling MATE-1 in the membrane of glandular cells with ab224440 at 1/50 dilution.

Performed heat mediated antigen retrieval with citrate buffer pH 6 before commencing with IHC staining protocol.

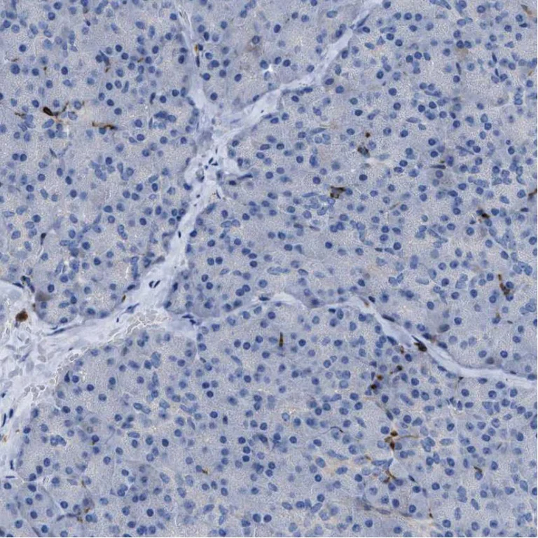
Immunohistochemistry (Formalin/PFA-fixed paraffin-embedded sections) - Anti-MATE-1 antibody (AB224440)
  • IHC-P

Supplier Data

Immunohistochemistry (Formalin/PFA-fixed paraffin-embedded sections) - Anti-MATE-1 antibody (AB224440)

Immunohistochemical analysis of human pancreas tissue labeling MATE-1 with ab224440 at 1/50 dilution. No positivity as expected.

Performed heat mediated antigen retrieval with citrate buffer pH 6 before commencing with IHC staining protocol.

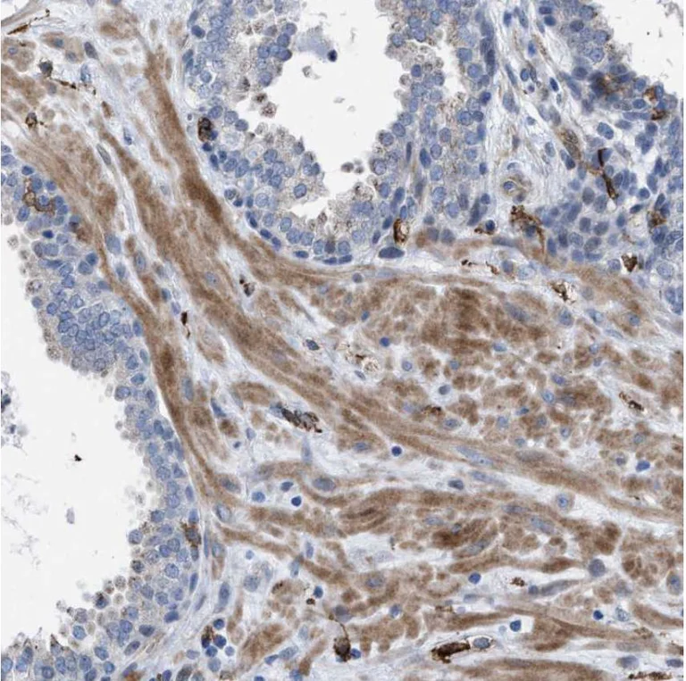
Immunohistochemistry (Formalin/PFA-fixed paraffin-embedded sections) - Anti-MATE-1 antibody (AB224440)
  • IHC-P

Supplier Data

Immunohistochemistry (Formalin/PFA-fixed paraffin-embedded sections) - Anti-MATE-1 antibody (AB224440)

Immunohistochemical analysis of human prostate tissue labeling MATE-1 in the cytoplasm of smooth muscle cells with ab224440 at 1/50 dilution.

Performed heat mediated antigen retrieval with citrate buffer pH 6 before commencing with IHC staining protocol.

Immunohistochemistry (Formalin/PFA-fixed paraffin-embedded sections) - Anti-MATE-1 antibody (AB224440)
  • IHC-P

Supplier Data

Immunohistochemistry (Formalin/PFA-fixed paraffin-embedded sections) - Anti-MATE-1 antibody (AB224440)

Immunohistochemical analysis of human skeletal muscle tissue labeling MATE-1 in the cytoplasm of myocytes with ab224440 at 1/50 dilution.

Performed heat mediated antigen retrieval with citrate buffer pH 6 before commencing with IHC staining protocol.

Key facts

Host species

Rabbit

Clonality

Polyclonal

Isotype

IgG

Carrier free

No

Reacts with

Human

Applications

IHC-P

applications

Immunogen

Recombinant Fragment Protein within Human SLC47A1 aa 450-550. The exact immunogen used to generate this antibody is proprietary information.

Q96FL8

Reactivity data

{ "title": "Reactivity Data", "filters": { "stats": ["", "Species", "Dilution Info", "Notes"], "tabs": { "all-applications": {"fullname" : "All Applications", "shortname": "All Applications"}, "IHCP" : {"fullname" : "Immunohistochemistry (Formalin/PFA-fixed paraffin-embedded sections)", "shortname":"IHC-P"} }, "product-promise": { "all": "all", "testedAndGuaranteed": "tested", "guaranteed": "expected", "predicted": "predicted", "notRecommended": "not-recommended" } }, "values": { "Human": { "IHCP-species-checked": "testedAndGuaranteed", "IHCP-species-dilution-info": "1/50 - 1/200", "IHCP-species-notes": "<p></p> Perform heat-mediated antigen retrieval with citrate buffer pH 6 before commencing with IHC staining protocol." }, "Orangutan": { "IHCP-species-checked": "predicted", "IHCP-species-dilution-info": "", "IHCP-species-notes": "" } } }

Properties and storage information

Form
Liquid
Purification technique
Affinity purification Immunogen
Storage buffer
pH: 7.2 Preservative: 0.02% Sodium azide Constituents: PBS, 40% Glycerol (glycerin, glycerine)
Shipped at conditions
Blue Ice
Appropriate short-term storage duration
1-2 weeks
Appropriate short-term storage conditions
+4°C
Appropriate long-term storage conditions
-20°C
Aliquoting information
Upon delivery aliquot
Storage information
Avoid freeze / thaw cycle

Supplementary information

This supplementary information is collated from multiple sources and compiled automatically.

MATE-1 also known as SLC47A1 is a transporter protein that plays an important role in the efflux of organic cations. It has a mass of approximately 56 kDa and is localized on the apical membrane of renal proximal tubule cells and canalicular membrane of hepatocytes. MATE-1 mediates the expulsion of its substrates into the urine and bile using an exchange mechanism driven by the electrochemical gradient of protons across the membrane. This protein is linked with the protein family of multidrug and toxin extrusion transporters which have similar functional properties.
Biological function summary

MATE-1 contributes to the clearance of various endogenous and exogenous compounds from the body. It acts as part of a larger transporter network and works synergistically with other transporters such as OCT2 (organic cation transporter 2) to facilitate drug elimination. The protein is significant in the pharmacokinetics of many clinically relevant drugs including anti-mate compounds and antimicrobials. The coordinated activity of related transporters ensures precise regulation of drug concentration within systemic circulation.

Pathways

MATE-1 is integral to the organic cation transport pathway interacting with primary and secondary transporters including OCT1 and OCT2 to regulate cellular uptake and discharge of cationic drugs. Additionally MATE-1 is part of the detoxification pathway where it partners with enzymes like CYP450 to enhance the metabolism and excretion of toxicants from the body. Coordination within these pathways ensures effective clearance to maintain cellular integrity and function.

Alterations in MATE-1 expression or function associate with renal and hepatic disorders. For instance variations in MATE-1 can influence the disposition of drugs and toxins leading to nephrotoxicity. Furthermore disruptions in MATE-1 activity have connections with disorders like hyperuricemia where impaired excretion leads to increased serum urate levels. The close interaction of MATE-1 with urate transporters like GLUT9 further highlights its relevance in disease mechanisms.

Product protocols

For this product, it's our understanding that no specific protocols are required. You can visit:

Target data

Multidrug efflux pump that functions as a H(+)/organic cation antiporter (PubMed : 16330770, PubMed : 17509534). Plays a physiological role in the excretion of cationic compounds including endogenous metabolites, drugs, toxins through the kidney and liver, into urine and bile respectively (PubMed : 16330770, PubMed : 17495125, PubMed : 17509534, PubMed : 17582384, PubMed : 18305230, PubMed : 19158817, PubMed : 21128598, PubMed : 24961373). Mediates the efflux of endogenous compounds such as creatinine, vitamin B1/thiamine, agmatine and estrone-3-sulfate (PubMed : 16330770, PubMed : 17495125, PubMed : 17509534, PubMed : 17582384, PubMed : 18305230, PubMed : 19158817, PubMed : 21128598, PubMed : 24961373). May also contribute to regulate the transport of cationic compounds in testis across the blood-testis-barrier (Probable).
See full target information SLC47A1

Publications (1)

Recent publications for all applications. Explore the full list and refine your search

Scientific reports 13:20430 PubMed37993584

2023

NPLOC4 is a potential target and a poor prognostic signature in lung squamous cell carcinoma.

Applications

Unspecified application

Species

Unspecified reactive species

Naixue Wang,Dantong Zhu,Yao Liu,Jingran Wu,Meiling Wang,Shanxiu Jin,Fangwei Fu,Baolei Li,Hongjuan Ji,Cheng Du,Zhendong Zheng
View all publications

Product promise

We are committed to supporting your work with high-quality reagents, and we're here for you every step of the way. In the unlikely event that one of our products does not perform as expected, you're protected by our Product Promise.
For full details, please see our Terms & Conditions

Please note: All products are 'FOR RESEARCH USE ONLY. NOT FOR USE IN DIAGNOSTIC OR THERAPEUTIC PROCEDURES'.

For licensing inquiries, please contact partnerships@abcam.com