JavaScript is disabled in your browser. Please enable JavaScript to view this website.
AB229245

Anti-MATH5/ATOH7 antibody

Be the first to review this product! Submit a review

|

(2 Publications)

Rabbit Polyclonal MATH5/ATOH7 antibody. Suitable for WB, IHC-P and reacts with Human, Mouse samples. Cited in 2 publications. Immunogen corresponding to Recombinant Fragment Protein within Human ATOH7.

View Alternative Names

ATH5, BHLHA13, ATOH7, Transcription factor ATOH7, Atonal bHLH transcription factor 7, Class A basic helix-loop-helix protein 13, Protein atonal homolog 7, bHLHa13

4 Images
Immunohistochemistry (Formalin/PFA-fixed paraffin-embedded sections) - Anti-MATH5/ATOH7 antibody (AB229245)
  • IHC-P

Supplier Data

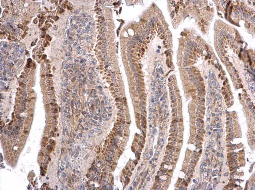
Immunohistochemistry (Formalin/PFA-fixed paraffin-embedded sections) - Anti-MATH5/ATOH7 antibody (AB229245)

Paraffin-embedded mouse intestine tissue stained for MATH5/ATOH7 using ab229245 at 1/2500 dilution in immunohistochemical analysis.

Immunohistochemistry (Formalin/PFA-fixed paraffin-embedded sections) - Anti-MATH5/ATOH7 antibody (AB229245)
  • IHC-P

Supplier Data

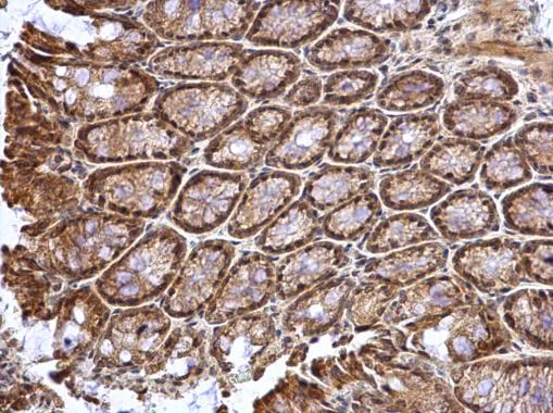
Immunohistochemistry (Formalin/PFA-fixed paraffin-embedded sections) - Anti-MATH5/ATOH7 antibody (AB229245)

Paraffin-embedded mouse colon tissue stained for MATH5/ATOH7 using ab229245 at 1/2500 dilution in immunohistochemical analysis.

Immunohistochemistry (Formalin/PFA-fixed paraffin-embedded sections) - Anti-MATH5/ATOH7 antibody (AB229245)
  • IHC-P

Supplier Data

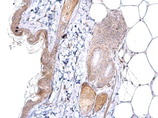
Immunohistochemistry (Formalin/PFA-fixed paraffin-embedded sections) - Anti-MATH5/ATOH7 antibody (AB229245)

Paraffin-embedded mouse skin tissue stained for MATH5/ATOH7 using ab229245 at 1/2500 dilution in immunohistochemical analysis.

Western blot - Anti-MATH5/ATOH7 antibody (AB229245)
  • WB

Supplier Data

Western blot - Anti-MATH5/ATOH7 antibody (AB229245)

15% SDS-PAGE gel.

All lanes:

Western blot - Anti-MATH5/ATOH7 antibody (ab229245) at 1/10000 dilution

Lane 1:

HEK-293T (human epithelial cell line from embryonic kidney transformed with large T antigen) whole cell lysate at 30 µg

Lane 2:

MATH5/ATOH7-transfected HEK-293T whole cell lysate at 30 µg

Predicted band size: 16 kDa

false

Key facts

Host species

Rabbit

Clonality

Polyclonal

Isotype

IgG

Carrier free

No

Reacts with

Mouse, Human

Applications

IHC-P, WB

applications

Immunogen

Recombinant Fragment Protein within Human ATOH7. The exact immunogen used to generate this antibody is proprietary information.

Q8N100

Reactivity data

{ "title": "Reactivity Data", "filters": { "stats": ["", "Species", "Dilution Info", "Notes"], "tabs": { "all-applications": {"fullname" : "All Applications", "shortname": "All Applications"}, "WB" : {"fullname" : "Western blot", "shortname":"WB"}, "IHCP" : {"fullname" : "Immunohistochemistry (Formalin/PFA-fixed paraffin-embedded sections)", "shortname":"IHC-P"} }, "product-promise": { "all": "all", "testedAndGuaranteed": "tested", "guaranteed": "expected", "predicted": "predicted", "notRecommended": "not-recommended" } }, "values": { "Human": { "WB-species-checked": "testedAndGuaranteed", "WB-species-dilution-info": "1/5000 - 1/20000", "WB-species-notes": "<p></p>", "IHCP-species-checked": "guaranteed", "IHCP-species-dilution-info": "", "IHCP-species-notes": "" }, "Mouse": { "WB-species-checked": "guaranteed", "WB-species-dilution-info": "", "WB-species-notes": "", "IHCP-species-checked": "testedAndGuaranteed", "IHCP-species-dilution-info": "1/100 - 1/2500", "IHCP-species-notes": "<p></p>" } } }

Properties and storage information

Form
Liquid
Purification technique
Affinity purification Immunogen
Storage buffer
pH: 7 Preservative: 0.025% Proclin 300 Constituents: PBS, 20% Glycerol (glycerin, glycerine)
Shipped at conditions
Blue Ice
Appropriate short-term storage duration
1-2 weeks
Appropriate short-term storage conditions
+4°C
Appropriate long-term storage conditions
-20°C
Aliquoting information
Upon delivery aliquot
Storage information
Avoid freeze / thaw cycle

Supplementary information

This supplementary information is collated from multiple sources and compiled automatically.

MATH5 also known as ATOH7 is a basic helix-loop-helix transcription factor with an estimated mass of around 19 kDa. MATH5 is expressed mostly in the developing retina particularly in retinal ganglion cells. This protein acts as an important transcriptional regulator binding to DNA and initiating expression of specific genes necessary for eye development. MATH5's expression is tightly regulated during distinct stages of retinal development.
Biological function summary

MATH5/ATOH7 plays a vital role in the development of the retina by determining the fate of retinal progenitor cells. The protein acts as a part of a transcriptional network essential for specifying retinal ganglion cells. It functions without forming larger protein complexes but interacts with a variety of other elements to control gene expression. Its influence is critical for the progression of progenitor cells into differentiated retinal ganglion cells.

Pathways

MATH5/ATOH7 is integral to the neural developmental pathway particularly the ones involved in eye formation. It operates in conjunction with proteins like PAX6 and NEUROD1 which also have significant roles in the development of neural tissues. The signaling network that includes MATH5/ATOH7 directly influences the differentiation of retinal cells linking it to essential developmental pathways.

MATH5/ATOH7 deficiencies directly associate with congenital eye diseases such as optic nerve hypoplasia. Mutations in the ATOH7 gene can lead to improper development of the retinal ganglion cells often resulting in visual impairment. Furthermore MATH5/ATOH7's interaction with PAX6 can influence the risk of aniridia a condition that leads to a spectrum of eye abnormalities. Researchers study these interactions to better understand the genetic causes behind such disorders.

Product protocols

For this product, it's our understanding that no specific protocols are required. You can visit:

Target data

Transcription factor that binds to DNA at the consensus sequence 5'-CAG[GC]TG-3' (PubMed : 31696227). Dimerization with TCF3 isoform E47 may be required in certain situations (PubMed : 31696227). Binds to gene promoters and enhancer elements, and thereby regulates a transcriptional program of retinal ganglion cell (RGC) determinant genes (By similarity). Although the exact mechanism is not certain, retinal transcription regulation by ATOH7 has a role in RGC determination and survival, photoreceptor population development, targeting of RGC axons to the optic nerve and development of the retino-hypothalamic tract (By similarity). Binds to its own promoter and enhancer sequences, suggesting autoregulation of ATOH7 transcription (By similarity). Required for retinal circadian rhythm photoentrainment (By similarity). Plays a role in brainstem auditory signaling and binaural processing (By similarity).
See full target information ATOH7

Publications (2)

Recent publications for all applications. Explore the full list and refine your search

Journal of cellular and molecular medicine 28:e70079 PubMed39300613

2024

Multi-dataset identification of innovative feature genes and molecular mechanisms in keratoconus.

Applications

Unspecified application

Species

Unspecified reactive species

Ning Lyu,Yiqin Dai,Jiawen Wu,Yidan Fan,Zhaoyuan Lyu,Jiayu Gu,Jingyi Cheng,Jianjiang Xu

Aging 14:7794-7823 PubMed36084949

2022

Multifaceted investigation underlies diverse mechanisms contributing to the downregulation of Hedgehog pathway-associated genes and in lung adenocarcinoma and uterine corpus endometrial carcinoma.

Applications

Unspecified application

Species

Unspecified reactive species

Ho Yin Edwin Chan,Zhefan Stephen Chen
View all publications

Product promise

We are committed to supporting your work with high-quality reagents, and we're here for you every step of the way. In the unlikely event that one of our products does not perform as expected, you're protected by our Product Promise.
For full details, please see our Terms & Conditions

Please note: All products are 'FOR RESEARCH USE ONLY. NOT FOR USE IN DIAGNOSTIC OR THERAPEUTIC PROCEDURES'.

For licensing inquiries, please contact partnerships@abcam.com