JavaScript is disabled in your browser. Please enable JavaScript to view this website.
AB238893

Anti-MATN3/Matrilin-3 antibody

Be the first to review this product! Submit a review

|

(4 Publications)

Rabbit Polyclonal MATN3/Matrilin-3 antibody. Suitable for IHC-P, ICC/IF and reacts with Human samples. Cited in 4 publications. Immunogen corresponding to Recombinant Fragment Protein within Human MATN3 aa 250 to C-terminus.

View Alternative Names

Matrilin-3, MATN3

3 Images
Immunocytochemistry/ Immunofluorescence - Anti-MATN3/Matrilin-3 antibody (AB238893)
  • ICC/IF

Supplier Data

Immunocytochemistry/ Immunofluorescence - Anti-MATN3/Matrilin-3 antibody (AB238893)

HepG2 (Human liver hepatocellular carcinoma cell line) cells stained for MATN3/Matrilin-3 (Green) using ab238893 at a dilution of 1/100 in ICC/IF. Secondary used is an Alexa-Fluor®488-conjugated Goat Anti-Rabbit IgG (H+L).

Immunohistochemistry (Formalin/PFA-fixed paraffin-embedded sections) - Anti-MATN3/Matrilin-3 antibody (AB238893)
  • IHC-P

Supplier Data

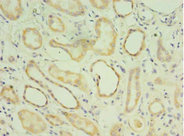
Immunohistochemistry (Formalin/PFA-fixed paraffin-embedded sections) - Anti-MATN3/Matrilin-3 antibody (AB238893)

Paraffin-embedded human kidney tissue stained for MATN3/Matrilin-3 with ab238893 at a 1/100 dilution in immunohistochemical analysis.

Immunohistochemistry (Formalin/PFA-fixed paraffin-embedded sections) - Anti-MATN3/Matrilin-3 antibody (AB238893)
  • IHC-P

Supplier Data

Immunohistochemistry (Formalin/PFA-fixed paraffin-embedded sections) - Anti-MATN3/Matrilin-3 antibody (AB238893)

Paraffin-embedded human adrenal gland tissue stained for MATN3/Matrilin-3 with ab238893 at a 1/100 dilution in immunohistochemical analysis.

Key facts

Host species

Rabbit

Clonality

Polyclonal

Isotype

IgG

Carrier free

No

Reacts with

Human

Applications

IHC-P, ICC/IF

applications

Immunogen

Recombinant Fragment Protein within Human MATN3 aa 250 to C-terminus. The exact immunogen used to generate this antibody is proprietary information.

O15232

Reactivity data

{ "title": "Reactivity Data", "filters": { "stats": ["", "Species", "Dilution Info", "Notes"], "tabs": { "all-applications": {"fullname" : "All Applications", "shortname": "All Applications"}, "IHCP" : {"fullname" : "Immunohistochemistry (Formalin/PFA-fixed paraffin-embedded sections)", "shortname":"IHC-P"}, "ICCIF" : {"fullname" : "Immunocytochemistry/ Immunofluorescence", "shortname":"ICC/IF"} }, "product-promise": { "all": "all", "testedAndGuaranteed": "tested", "guaranteed": "expected", "predicted": "predicted", "notRecommended": "not-recommended" } }, "values": { "Human": { "IHCP-species-checked": "testedAndGuaranteed", "IHCP-species-dilution-info": "1/20 - 1/200", "IHCP-species-notes": "<p></p>", "ICCIF-species-checked": "testedAndGuaranteed", "ICCIF-species-dilution-info": "1/50 - 1/200", "ICCIF-species-notes": "<p></p>" } } }

Properties and storage information

Form
Liquid
Purification technique
Affinity purification Immunogen
Storage buffer
pH: 7.3 Preservative: 0.02% Sodium azide Constituents: PBS, 50% Glycerol (glycerin, glycerine)
Shipped at conditions
Blue Ice
Appropriate short-term storage duration
1-2 weeks
Appropriate short-term storage conditions
+4°C
Appropriate long-term storage conditions
-20°C
Aliquoting information
Upon delivery aliquot
Storage information
Avoid freeze / thaw cycle

Supplementary information

This supplementary information is collated from multiple sources and compiled automatically.

Matrilin-3 also known as MATN3 is a disease-associated protein involved in cartilage extracellular matrix organization. Matrilin-3 is a member of the matrilin protein family which includes other family members like matrilin-1 and matrilin-4. The protein has a molecular mass of approximately 54 kDa. It is expressed mainly in cartilage tissue with significant presence in the growth plate cartilage which is important during development.
Biological function summary

Matrilin-3 contributes to the structural integrity of cartilage by forming filamentous networks in the extracellular matrix. It is part of a larger protein complex that includes collagen oligomeric matrix proteins and other structural components. Matrilin-3's affinity for interacting with other matrix components helps maintain cartilage homeostasis supporting overall tissue function and resilience.

Pathways

Matrilin-3 plays a role in organizing the extracellular matrix within the skeletal dysplasia pathway. This pathway includes other proteins like collagen types II and IX which work together to ensure proper cartilage framework and maintenance. Matrilin-3's involvement in these pathways highlights its role in skeletal development and the maintenance of cartilage health.

Matrilin-3 is linked to multiple epiphyseal dysplasia (MED) and osteoarthritis. Mutations in the MATN3 gene disrupt normal protein function and cartilage structure leading to MED a disorder characterized by joint pain and skeletal abnormalities. During osteoarthritis progression altered matrilin-3 expression correlates with cartilage degradation. Associated proteins like collagen type II are also implicated in these disease processes connecting matrilin-3 function with broader cartilage-related pathologies.

Product protocols

For this product, it's our understanding that no specific protocols are required. You can visit:

Target data

Major component of the extracellular matrix of cartilage and may play a role in the formation of extracellular filamentous networks.
See full target information MATN3

Publications (4)

Recent publications for all applications. Explore the full list and refine your search

International journal of biological sciences 20:1045-1063 PubMed38322121

2024

The homeoprotein HOXB2 limits triple-negative breast carcinogenesis via extracellular matrix remodeling.

Applications

Unspecified application

Species

Unspecified reactive species

Ji Hoon Oh,Clara Yuri Kim,Da Som Jeong,Yu Cheon Kim,Myoung Hee Kim,Je-Yoel Cho

Digital health 9:20552076231203902 PubMed37766908

2023

Significance of platelet adhesion-related genes in colon cancer based on non-negative matrix factorization-based clustering algorithm.

Applications

Unspecified application

Species

Unspecified reactive species

Xiao-Jv Chi,Yi-Bei Song,Deng-He Liu,Li-Qiang Wei,Xin An,Zi-Zhen Feng,Xiao-Hua Lan,Dong Lan,Chao Huang

Cell reports methods 3:100595 PubMed37741277

2023

Dual-modality imaging of immunofluorescence and imaging mass cytometry for whole-slide imaging and accurate segmentation.

Applications

Unspecified application

Species

Unspecified reactive species

Eun Na Kim,Phyllis Zixuan Chen,Dario Bressan,Monika Tripathi,Ahmad Miremadi,Massimiliano di Pietro,Lisa M Coussens,Gregory J Hannon,Rebecca C Fitzgerald,Lizhe Zhuang,Young Hwan Chang

Theranostics 10:8633-8647 PubMed32754268

2020

Identification of a Tumor Microenvironment-relevant Gene set-based Prognostic Signature and Related Therapy Targets in Gastric Cancer.

Applications

Unspecified application

Species

Unspecified reactive species

Wang-Yu Cai,Zi-Nan Dong,Xiao-Teng Fu,Ling-Yun Lin,Lin Wang,Guo-Dong Ye,Qi-Cong Luo,Yu-Chao Chen
View all publications

Product promise

We are committed to supporting your work with high-quality reagents, and we're here for you every step of the way. In the unlikely event that one of our products does not perform as expected, you're protected by our Product Promise.
For full details, please see our Terms & Conditions

Please note: All products are 'FOR RESEARCH USE ONLY. NOT FOR USE IN DIAGNOSTIC OR THERAPEUTIC PROCEDURES'.

For licensing inquiries, please contact partnerships@abcam.com