JavaScript is disabled in your browser. Please enable JavaScript to view this website.
AB264136

Anti-Matrin 3 antibody

Be the first to review this product! Submit a review

|

(0 Publication)

Rabbit Polyclonal Matrin 3 antibody. Suitable for IHC-P, IP, WB and reacts with Mouse, Human samples. Immunogen corresponding to Synthetic Peptide within Human MATR3 aa 800 to C-terminus.

View Alternative Names

KIAA0723, MATR3, Matrin-3

4 Images
Western blot - Anti-Matrin 3 antibody (AB264136)
  • WB

Supplier Data

Western blot - Anti-Matrin 3 antibody (AB264136)

4-8% SDS-PAGE

All lanes:

Western blot - Anti-Matrin 3 antibody (ab264136) at 0.04 µg/mL

Lane 1:

HeLa whole cell lysate at 50 µg

Lane 2:

HeLa whole cell lysate at 15 µg

Lane 3:

HeLa whole cell lysate at 5 µg

Lane 4:

HEK-293T whole cell lysate at 50 µg

Lane 5:

NIH/3T3 whole cell lysate at 50 µg

Predicted band size: 95 kDa

false

Exposure time: 30s

Immunohistochemistry (Formalin/PFA-fixed paraffin-embedded sections) - Anti-Matrin 3 antibody (AB264136)
  • IHC-P

Unknown

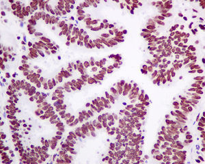
Immunohistochemistry (Formalin/PFA-fixed paraffin-embedded sections) - Anti-Matrin 3 antibody (AB264136)

Immunohistochemical analysis of formalin-fixed, paraffin-embedded human carcinoma tissue labeling Matrin 3 (Red) with ab264136 at 1/400 dilution. Detection : Red-fluorescent goat anti-rabbit IgG-heavy and light chain cross-adsorbed antibody DyLight® 594 conjugated used at a dilution of 1/100.

Immunoprecipitation - Anti-Matrin 3 antibody (AB264136)
  • IP

Supplier Data

Immunoprecipitation - Anti-Matrin 3 antibody (AB264136)

Matrin 3 was immunoprecipitated from 1mg of HeLa (Human epithelial cell line from cervix adenocarcinoma) whole cell lysate with ab264136 at 3 μg/mg lysate. Western blot was performed from the immunoprecipitate using ab264136 at 1 μg/ml.

Lane 1 : ab264136 IP in HeLa whole cell lysate.
Lane 2 : Control IgG.

Exposure time : 3 secs.

All lanes:

Immunoprecipitation - Anti-Matrin 3 antibody (ab264136)

Predicted band size: 95 kDa

false

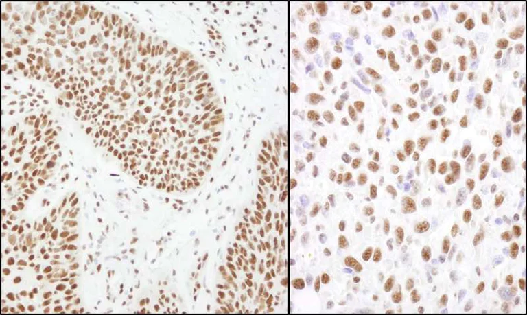
Immunohistochemistry (Formalin/PFA-fixed paraffin-embedded sections) - Anti-Matrin 3 antibody (AB264136)
  • IHC-P

Unknown

Immunohistochemistry (Formalin/PFA-fixed paraffin-embedded sections) - Anti-Matrin 3 antibody (AB264136)

Immunohistochemical analysis of formalin-fixed, paraffin-embedded human laryngeal squamous cell carcinoma (Left panel) and Mouse squamous cell carcinoma (Right panel) labeling Matrin 3 with ab264136 at 1/1,000 dilution. Detection : DAB.

Key facts

Host species

Rabbit

Clonality

Polyclonal

Isotype

IgG

Carrier free

No

Reacts with

Mouse, Human

Applications

IP, IHC-P, WB

applications

Immunogen

Synthetic Peptide within Human MATR3 aa 800 to C-terminus. The exact immunogen used to generate this antibody is proprietary information.

P43243

Reactivity data

{ "title": "Reactivity Data", "filters": { "stats": ["", "Species", "Dilution Info", "Notes"], "tabs": { "all-applications": {"fullname" : "All Applications", "shortname": "All Applications"}, "IHCP" : {"fullname" : "Immunohistochemistry (Formalin/PFA-fixed paraffin-embedded sections)", "shortname":"IHC-P"}, "IP" : {"fullname" : "Immunoprecipitation", "shortname":"IP"}, "WB" : {"fullname" : "Western blot", "shortname":"WB"} }, "product-promise": { "all": "all", "testedAndGuaranteed": "tested", "guaranteed": "expected", "predicted": "predicted", "notRecommended": "not-recommended" } }, "values": { "Human": { "IHCP-species-checked": "testedAndGuaranteed", "IHCP-species-dilution-info": "1/500 - 1/2000", "IHCP-species-notes": "<p></p> Perform heat-mediated antigen retrieval with citrate buffer pH 6 before commencing with IHC staining protocol.", "IP-species-checked": "testedAndGuaranteed", "IP-species-dilution-info": "1-4 µg/mg of lysate", "IP-species-notes": "<p></p>", "WB-species-checked": "testedAndGuaranteed", "WB-species-dilution-info": "1/5000 - 1/15000", "WB-species-notes": "<p></p>" }, "Mouse": { "IHCP-species-checked": "testedAndGuaranteed", "IHCP-species-dilution-info": "1/500 - 1/2000", "IHCP-species-notes": "<p></p> Perform heat-mediated antigen retrieval with citrate buffer pH 6 before commencing with IHC staining protocol.", "IP-species-checked": "guaranteed", "IP-species-dilution-info": "", "IP-species-notes": "", "WB-species-checked": "testedAndGuaranteed", "WB-species-dilution-info": "1/5000 - 1/15000", "WB-species-notes": "<p></p>" } } }

Properties and storage information

Form
Liquid
Purification technique
Affinity purification Immunogen
Storage buffer
pH: 6.8 - 7.4 Preservative: 0.09% Sodium azide Constituents: Tris buffered saline, 0.1% BSA
Shipped at conditions
Blue Ice
Appropriate short-term storage duration
1-2 weeks
Appropriate short-term storage conditions
+4°C
Appropriate long-term storage conditions
-20°C
Aliquoting information
Upon delivery aliquot
Storage information
Avoid freeze / thaw cycle

Product protocols

For this product, it's our understanding that no specific protocols are required. You can visit:

Target data

May play a role in transcription or may interact with other nuclear matrix proteins to form the internal fibrogranular network. In association with the SFPQ-NONO heteromer may play a role in nuclear retention of defective RNAs. Plays a role in the regulation of DNA virus-mediated innate immune response by assembling into the HDP-RNP complex, a complex that serves as a platform for IRF3 phosphorylation and subsequent innate immune response activation through the cGAS-STING pathway (PubMed : 28712728). Binds to N6-methyladenosine (m6A)-containing mRNAs and contributes to MYC stability by binding to m6A-containing MYC mRNAs (PubMed : 32245947). May bind to specific miRNA hairpins (PubMed : 28431233).
See full target information MATR3

Product promise

We are committed to supporting your work with high-quality reagents, and we're here for you every step of the way. In the unlikely event that one of our products does not perform as expected, you're protected by our Product Promise.
For full details, please see our Terms & Conditions

Please note: All products are 'FOR RESEARCH USE ONLY. NOT FOR USE IN DIAGNOSTIC OR THERAPEUTIC PROCEDURES'.

For licensing inquiries, please contact partnerships@abcam.com