JavaScript is disabled in your browser. Please enable JavaScript to view this website.
AB151714

Anti-Matrin 3 antibody [EPR10635(B)]

4

(5 Reviews)

|

(17 Publications)

Knockout Tested Rabbit Recombinant Monoclonal Matrin 3 antibody. Suitable for IHC-P, WB, ICC/IF, Flow Cyt (Intra) and reacts with Mouse, Rat, Human samples. Cited in 17 publications.

View Alternative Names

KIAA0723, MATR3, Matrin-3

15 Images
Immunocytochemistry/ Immunofluorescence - Anti-Matrin 3 antibody [EPR10635(B)] (AB151714)
  • ICC/IF

Lab

Immunocytochemistry/ Immunofluorescence - Anti-Matrin 3 antibody [EPR10635(B)] (AB151714)

ab151714 was shown to react with MATR3 in wild-type HAP1 cells in immunocytochemistry with loss of signal observed in a MATR3 knockout cell line. Wild-type and knockout cells were mixed and pelleted at a 1 : 1 ratio on coverslips. The cells were fixed with 4% paraformaldehyde (15 min) then permeabilized with 0.1% Triton X-100 (10min) and then blocked with 1x PBS, 0.01% Triton X-100, 5% BSA, 5% NGS. The cells were then incubated with ab151714 at dilution overnight at 4°C followed by a further incubation at room temperature for 1h with a goat anti-rabbit secondary antibody to (Alexa Fluor® 555) at 0.5 µg/ml. Acquisition of the green (wild-type), red (antibody staining) and far-red (knockout) channels was performed. Representative grayscale images of the red channel are shown. Wild-type and knockout cells are outlined with yellow and magenta dashed line, respectively. Schematic representation of the mosaic strategy used is shown on the bottom-right panel. Image was acquired with a Zeiss(LSM-880).

This data was provided by YCharOS Inc., an open science company with the mission of characterizing commercially available antibody reagents for all human proteins. Abcam and YCharOS are working together to help address the reproducibility crisis by enabling the life science community to better evaluate commercially available antibodies.

Flow Cytometry (Intracellular) - Anti-Matrin 3 antibody [EPR10635(B)] (AB151714)
  • Flow Cyt (Intra)

Lab

Flow Cytometry (Intracellular) - Anti-Matrin 3 antibody [EPR10635(B)] (AB151714)

Intracellular Flow Cytometry analysis of 4%paraformaldehyde fixedHepG2 (human hepatocellular carcinoma) cells labeling Matrin 3 with purified ab151714 at a dilution of 1/220. A goat anti rabbit IgG (Alexa Fluor® 488) at a dilution of 1/2000 was used as the secondary antibody.

Isoytype control : Rabbit monoclonal IgG (Black)Unlabelled control : Cell without incubation with primary antibody and secondary antibody (Blue)

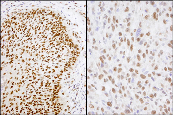
Immunohistochemistry (Formalin/PFA-fixed paraffin-embedded sections) - Anti-Matrin 3 antibody [EPR10635(B)] (AB151714)
  • IHC-P

Unknown

Immunohistochemistry (Formalin/PFA-fixed paraffin-embedded sections) - Anti-Matrin 3 antibody [EPR10635(B)] (AB151714)

Immunohistochemical analysis of paraffin embedded Human Ovarian carcinoma tissue using unpurified ab151714 showing +ve staining.

Perform heat mediated antigen retrieval with citrate buffer pH 6 before commencing with IHC staining protocol.

Immunohistochemistry (Formalin/PFA-fixed paraffin-embedded sections) - Anti-Matrin 3 antibody [EPR10635(B)] (AB151714)
  • IHC-P

Lab

Immunohistochemistry (Formalin/PFA-fixed paraffin-embedded sections) - Anti-Matrin 3 antibody [EPR10635(B)] (AB151714)

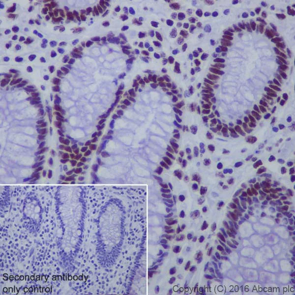
Immunohistochemical analysis of paraffin-embedded human colon tissue sections labeling Matrin 3 with purified ab151714 at a dilution of 1/2000 (0.7 μg/ml). ab97051 Goat Anti-Rabbit IgG H&L (HRP) at 1/500 was used as the secondary anitbody. Sections were counterstained with hematoxylin. Antigen retrieval was heat mediated using citrate Buffer, pH 6.0. PBS was used instead of the primary antibody as the negative control and is shown in the inset.

Immunohistochemistry (Formalin/PFA-fixed paraffin-embedded sections) - Anti-Matrin 3 antibody [EPR10635(B)] (AB151714)
  • IHC-P

Unknown

Immunohistochemistry (Formalin/PFA-fixed paraffin-embedded sections) - Anti-Matrin 3 antibody [EPR10635(B)] (AB151714)

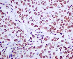
Immunohistochemical analysis of paraffin embedded Human Lung carcinoma tissue using unpurified ab151714 showing +ve staining.

Perform heat mediated antigen retrieval with citrate buffer pH 6 before commencing with IHC staining protocol.

Immunohistochemistry (Formalin/PFA-fixed paraffin-embedded sections) - Anti-Matrin 3 antibody [EPR10635(B)] (AB151714)
  • IHC-P

Unknown

Immunohistochemistry (Formalin/PFA-fixed paraffin-embedded sections) - Anti-Matrin 3 antibody [EPR10635(B)] (AB151714)

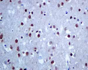
Immunohistochemical analysis of paraffin-embedded Human brain tissue labeling Matrin 3 with unpurified ab151714 at 1/250 dilution.

Perform heat mediated antigen retrieval with citrate buffer pH 6 before commencing with IHC staining protocol.

Immunocytochemistry/ Immunofluorescence - Anti-Matrin 3 antibody [EPR10635(B)] (AB151714)
  • ICC/IF

Unknown

Immunocytochemistry/ Immunofluorescence - Anti-Matrin 3 antibody [EPR10635(B)] (AB151714)

Immunocytochemistry/Immunofluorescence analysis of HeLa (Human epithelial cell line from cervix adenocarcinoma) cells labeling Matrin 3 with purified ab151714 at 1/500. Cells were fixed with 4% Paraformaldehyde and permeabilised with 0.1% tritonX-100. ab150077, Alexa Fluor® 488-conjugated goat anti-rabbit IgG (1/1000) was used as the secondary antibody. Cells were counter-stained with ab195889 Anti-Alpha Tubulin antibody [DM1A] (1/200, 2.5 μg/mL) - Microtubule Marker (Alexa Fluor® 594) at 1/200. DAPI (blue) was used as a nuclear counterstain. Secondary Only Control : PBS was used instead of the primary antibody as the negative control.

Immunohistochemistry (Formalin/PFA-fixed paraffin-embedded sections) - Anti-Matrin 3 antibody [EPR10635(B)] (AB151714)
  • IHC-P

Unknown

Immunohistochemistry (Formalin/PFA-fixed paraffin-embedded sections) - Anti-Matrin 3 antibody [EPR10635(B)] (AB151714)

Immunohistochemical analysis of paraffin embedded normal Human uterus tissue using unpurified ab151714 showing +ve staining.

Perform heat mediated antigen retrieval with citrate buffer pH 6 before commencing with IHC staining protocol.

Immunohistochemistry (Formalin/PFA-fixed paraffin-embedded sections) - Anti-Matrin 3 antibody [EPR10635(B)] (AB151714)
  • IHC-P

Unknown

Immunohistochemistry (Formalin/PFA-fixed paraffin-embedded sections) - Anti-Matrin 3 antibody [EPR10635(B)] (AB151714)

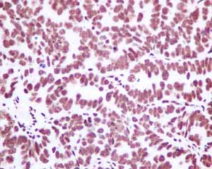
Immunohistochemical analysis of paraffin-embedded Human breast carcinoma tissue labeling Matrin 3 with unpurified ab151714 at 1/250 dilution.

Perform heat mediated antigen retrieval with citrate buffer pH 6 before commencing with IHC staining protocol.

Immunocytochemistry/ Immunofluorescence - Anti-Matrin 3 antibody [EPR10635(B)] (AB151714)
  • ICC/IF

Unknown

Immunocytochemistry/ Immunofluorescence - Anti-Matrin 3 antibody [EPR10635(B)] (AB151714)

Immunofluorescent analysis of HepG2 cells labeling Matrin 3 with unpurified ab151714 at 1/250 dilution.

Immunohistochemistry (Formalin/PFA-fixed paraffin-embedded sections) - Anti-Matrin 3 antibody [EPR10635(B)] (AB151714)
  • IHC-P

Lab

Immunohistochemistry (Formalin/PFA-fixed paraffin-embedded sections) - Anti-Matrin 3 antibody [EPR10635(B)] (AB151714)

Immunohistochemical analysis of Paraffin-embedded rat liver tissue sections labeling Matrin 3 with purified ab151714 at a dilution of 1/2000 (0.7 μg/ml). ab97051 Goat Anti-Rabbit IgG H&L (HRP) at 1/500 was used as the secondary anitbody. Sections were counterstained with hematoxylin. Antigen retrieval was heat mediated using citrate Buffer, pH 6.0. PBS was used instead of the primary antibody as the negative control and is shown in the inset.

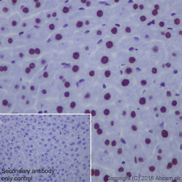
Immunohistochemistry (Formalin/PFA-fixed paraffin-embedded sections) - Anti-Matrin 3 antibody [EPR10635(B)] (AB151714)
  • IHC-P

Lab

Immunohistochemistry (Formalin/PFA-fixed paraffin-embedded sections) - Anti-Matrin 3 antibody [EPR10635(B)] (AB151714)

Immunohistochemical analysis of paraffin-embedded mouse liver tissue sections labeling Matrin 3 with purified ab151714 at a dilution of 1/2000 (0.7 μg/ml). ab97051 Goat Anti-Rabbit IgG H&L (HRP) at 1/500 was used as the secondary anitbody. Sections were counterstained with hematoxylin. Antigen retrieval was heat mediated using citrate Buffer, pH 6.0. PBS was used instead of the primary antibody as the negative control and is shown in the inset.

Western blot - Anti-Matrin 3 antibody [EPR10635(B)] (AB151714)
  • WB

Collaborator

Western blot - Anti-Matrin 3 antibody [EPR10635(B)] (AB151714)

ab151714 was shown to react with MATR3 in wild-type HAP1 cells in Western blot with loss of signal observed in a MATR3 knockout cell line. Wild-type HAP1 and MATR3 knockout cell lysates were subjected to SDS-PAGE. Membranes were blocked in 5% milk in TBST for 1 hr before incubation with ab151714 overnight at 4 °C at a 1/10000 dilution. Blots were incubated with goat anti-rabbit HRP secondary antibodies at 0.2 μg/ml before imaging. These data were provided by YCharOS Inc., an open science company with the mission of characterizing commercially available antibody reagents for all human proteins. Abcam and YCharOS are working together to help address the reproducibility crisis by enabling the life science community to better evaluate commercially available antibodies.

All lanes:

Western blot - Anti-Matrin 3 antibody [EPR10635(B)] (ab151714)

Predicted band size: 95 kDa

false

Western blot - Anti-Matrin 3 antibody [EPR10635(B)] (AB151714)
  • WB

Unknown

Western blot - Anti-Matrin 3 antibody [EPR10635(B)] (AB151714)

Blocking/Diluting buffer 5% NFDM/TBST

All lanes:

Western blot - Anti-Matrin 3 antibody [EPR10635(B)] (ab151714) at 1/10000 dilution

Lane 1:

HEK-293 (Human epithelial cell line from embryonic kidney) whole cell lysate at 20 µg

Lane 2:

K562 (Human chronic myelogenous leukemia cell line from bone marrow) whole cell lysate at 20 µg

Lane 3:

HeLa (Human epithelial cell line from cervix adenocarcinoma) whole cell lysate at 20 µg

Lane 4:

Mouse brain tissue lysate at 20 µg

Lane 5:

Rat brain tissue lysate at 20 µg

Secondary

All lanes:

Western blot - Goat Anti-Rabbit IgG H&L (HRP) (<a href='/en-us/products/secondary-antibodies/goat-rabbit-igg-h-l-hrp-ab97051'>ab97051</a>) at 1/20000 dilution

Predicted band size: 59 kDa,95 kDa

Observed band size: 125 kDa

false

Western blot - Anti-Matrin 3 antibody [EPR10635(B)] (AB151714)
  • WB

Unknown

Western blot - Anti-Matrin 3 antibody [EPR10635(B)] (AB151714)

All lanes:

Western blot - Anti-Matrin 3 antibody [EPR10635(B)] (ab151714) at 1/1000 dilution

Lane 1:

HEK293T cell lysate at 10 µg

Lane 2:

K562 cell lysate at 10 µg

Lane 3:

HeLa cell lysate at 10 µg

Lane 4:

HepG2 cell lysate at 10 µg

Secondary

All lanes:

Goat anti-rabbit HRP at 1/2000 dilution

Predicted band size: 95 kDa

false

  • 519 Alexa Fluor® 488

    Alexa Fluor® 488 Anti-Matrin 3 antibody [EPR10635(B)]

  • Carrier free

    Anti-Matrin 3 antibody [EPR10635(B)] - BSA and Azide free

  • 578 PE

    PE Anti-Matrin 3 antibody [EPR10635(B)]

  • HRP

    HRP Anti-Matrin 3 antibody [EPR10635(B)]

  • 617 Alexa Fluor® 594

    Alexa Fluor® 594 Anti-Matrin 3 antibody [EPR10635(B)]

  • 665 Alexa Fluor® 647

    Alexa Fluor® 647 Anti-Matrin 3 antibody [EPR10635(B)]

  • 603 Alexa Fluor® 568

    Alexa Fluor® 568 Anti-Matrin 3 antibody [EPR10635(B)]

  • 660 APC

    APC Anti-Matrin 3 antibody [EPR10635(B)]

  • 565 Alexa Fluor® 555

    Alexa Fluor® 555 Anti-Matrin 3 antibody [EPR10635(B)]

  • 775 Alexa Fluor® 750

    Alexa Fluor® 750 Anti-Matrin 3 antibody [EPR10635(B)]

Key facts

Host species

Rabbit

Clonality

Monoclonal

Clone number

EPR10635(B)

Isotype

IgG

Carrier free

No

Reacts with

Mouse, Rat, Human

Applications

IHC-P, ICC/IF, WB, Flow Cyt (Intra)

applications

Immunogen

The exact immunogen used to generate this antibody is proprietary information.

Reactivity data

{ "title": "Reactivity Data", "filters": { "stats": ["", "Species", "Dilution Info", "Notes"], "tabs": { "all-applications": {"fullname" : "All Applications", "shortname": "All Applications"}, "IHCP" : {"fullname" : "Immunohistochemistry (Formalin/PFA-fixed paraffin-embedded sections)", "shortname":"IHC-P"}, "WB" : {"fullname" : "Western blot", "shortname":"WB"}, "ICCIF" : {"fullname" : "Immunocytochemistry/ Immunofluorescence", "shortname":"ICC/IF"}, "FlowCytIntra" : {"fullname" : "Flow Cytometry (Intracellular)", "shortname":"Flow Cyt (Intra)"} }, "product-promise": { "all": "all", "testedAndGuaranteed": "tested", "guaranteed": "expected", "predicted": "predicted", "notRecommended": "not-recommended" } }, "values": { "Human": { "IHCP-species-checked": "testedAndGuaranteed", "IHCP-species-dilution-info": "1/2000", "IHCP-species-notes": "<p><strong>For unpurified use at 1/250 - 1/500. </strong></p>", "WB-species-checked": "testedAndGuaranteed", "WB-species-dilution-info": "1/10000 - 1/50000", "WB-species-notes": "<p></p>", "ICCIF-species-checked": "testedAndGuaranteed", "ICCIF-species-dilution-info": "1/250 - 1/1500", "ICCIF-species-notes": "<p></p>", "FlowCytIntra-species-checked": "testedAndGuaranteed", "FlowCytIntra-species-dilution-info": "1/220", "FlowCytIntra-species-notes": "<p></p>" }, "Mouse": { "IHCP-species-checked": "testedAndGuaranteed", "IHCP-species-dilution-info": "1/2000", "IHCP-species-notes": "<p><strong>For unpurified use at 1/250 - 1/500. </strong></p>", "WB-species-checked": "testedAndGuaranteed", "WB-species-dilution-info": "1/10000 - 1/50000", "WB-species-notes": "<p></p>", "ICCIF-species-checked": "guaranteed", "ICCIF-species-dilution-info": "", "ICCIF-species-notes": "", "FlowCytIntra-species-checked": "guaranteed", "FlowCytIntra-species-dilution-info": "", "FlowCytIntra-species-notes": "" }, "Rat": { "IHCP-species-checked": "testedAndGuaranteed", "IHCP-species-dilution-info": "1/2000", "IHCP-species-notes": "<p><strong>For unpurified use at 1/250 - 1/500. </strong></p>", "WB-species-checked": "testedAndGuaranteed", "WB-species-dilution-info": "1/10000 - 1/50000", "WB-species-notes": "<p></p>", "ICCIF-species-checked": "guaranteed", "ICCIF-species-dilution-info": "", "ICCIF-species-notes": "", "FlowCytIntra-species-checked": "guaranteed", "FlowCytIntra-species-dilution-info": "", "FlowCytIntra-species-notes": "" } } }

Product details

Patented technology
Our RabMAb® technology is a patented hybridoma-based technology for making rabbit monoclonal antibodies. For details on our patents, please refer to RabMAb® patents.

What are the advantages of a recombinant monoclonal antibody?
This product is a recombinant monoclonal antibody, which offers several advantages including:

  • - High batch-to-batch consistency and reproducibility
  • - Improved sensitivity and specificity
  • - Long-term security of supply
  • - Animal-free batch production

For more information, read more on recombinant antibodies.

Properties and storage information

Form
Liquid
Purification technique
Affinity purification Protein A
Storage buffer
Preservative: 0.01% Sodium azide Constituents: PBS, 40% Glycerol (glycerin, glycerine), 0.05% BSA
Shipped at conditions
Blue Ice
Appropriate short-term storage duration
1-2 weeks
Appropriate short-term storage conditions
+4°C
Appropriate long-term storage conditions
-20°C
Aliquoting information
Upon delivery aliquot
Storage information
Avoid freeze / thaw cycle

Product protocols

For this product, it's our understanding that no specific protocols are required. You can visit:

Target data

May play a role in transcription or may interact with other nuclear matrix proteins to form the internal fibrogranular network. In association with the SFPQ-NONO heteromer may play a role in nuclear retention of defective RNAs. Plays a role in the regulation of DNA virus-mediated innate immune response by assembling into the HDP-RNP complex, a complex that serves as a platform for IRF3 phosphorylation and subsequent innate immune response activation through the cGAS-STING pathway (PubMed : 28712728). Binds to N6-methyladenosine (m6A)-containing mRNAs and contributes to MYC stability by binding to m6A-containing MYC mRNAs (PubMed : 32245947). May bind to specific miRNA hairpins (PubMed : 28431233).
See full target information MATR3

Publications (17)

Recent publications for all applications. Explore the full list and refine your search

The EMBO journal 44:4745-4771 PubMed40707625

2025

ALS-associated RNA-binding proteins promote UNC13A transcription through REST downregulation.

Applications

Unspecified application

Species

Unspecified reactive species

Yasuaki Watanabe,Naoki Suzuki,Tadashi Nakagawa,Masaki Hosogane,Tetsuya Akiyama,Naotoshi Kageyama,Yukino Funayama,Hitoshi Warita,Satoru Morimoto,Hideyuki Okano,Masashi Aoki,Keiko Nakayama

Cells 14: PubMed39791712

2025

Evolutionarily Developed Alternatively Spliced Exons Containing Translation Initiation Sites.

Applications

Unspecified application

Species

Unspecified reactive species

Jun-Ichi Takeda,Takaaki Okamoto,Akio Masuda

iScience 27:110109 PubMed38989321

2024

Multivalent GU-rich oligonucleotides sequester TDP-43 in the nucleus by inducing high molecular weight RNP complexes.

Applications

Unspecified application

Species

Unspecified reactive species

Xi Zhang,Tanuza Das,Tiffany F Chao,Vickie Trinh,Rogger P Carmen-Orozco,Jonathan P Ling,Petr Kalab,Lindsey R Hayes

Cell cycle (Georgetown, Tex.) 23:15-35 PubMed38252499

2024

Matrin-3 acts as a potential biomarker and promotes hepatocellular carcinoma progression by interacting with cell cycle-regulating genes.

Applications

Unspecified application

Species

Unspecified reactive species

Hengjing He,Muhammad Jamal,Xingruo Zeng,Yufei Lei,Di Xiao,Zimeng Wei,Chengjie Zhang,Xiaoyu Zhang,Shan Pan,Qianshan Ding,Haiyan Tan,Songping Xie,Qiuping Zhang

BMC cancer 23:1114 PubMed37968576

2023

ESCO2 promotes hypopharyngeal carcinoma progression in a STAT1-dependent manner.

Applications

Unspecified application

Species

Unspecified reactive species

Juan Hu,Jing Yan,Yijie Chen,Xiaohui Li,Liu Yang,Haiyu Di,Huihui Zhang,Yewen Shi,Junjie Zhao,Yanxia Shi,Yinglong Xu,Xiaoyong Ren,Zhenghui Wang

Molecules (Basel, Switzerland) 28: PubMed37298909

2023

New Functions of Intracellular LOXL2: Modulation of RNA-Binding Proteins.

Applications

Unspecified application

Species

Unspecified reactive species

Pilar Eraso,María J Mazón,Victoria Jiménez,Patricia Pizarro-García,Eva P Cuevas,Jara Majuelos-Melguizo,Jesús Morillo-Bernal,Amparo Cano,Francisco Portillo

Cell reports 40:111106 PubMed35858577

2022

Nuclear RNA binding regulates TDP-43 nuclear localization and passive nuclear export.

Applications

Unspecified application

Species

Unspecified reactive species

Lauren Duan,Benjamin L Zaepfel,Vasilisa Aksenova,Mary Dasso,Jeffrey D Rothstein,Petr Kalab,Lindsey R Hayes

Scientific reports 12:2278 PubMed35145187

2022

ILF2 enhances the DNA cytosine deaminase activity of tumor mutator APOBEC3B in multiple myeloma cells.

Applications

Unspecified application

Species

Unspecified reactive species

Yasuhiro Kazuma,Kotaro Shirakawa,Yusuke Tashiro,Hiroyuki Yamazaki,Ryosuke Nomura,Yoshihito Horisawa,Suguru Takeuchi,Emani Stanford,Yoshinobu Konishi,Hiroyuki Matsui,Tadahiko Matsumoto,Fumiko Tanabe,Ryo Morishita,Shinji Ito,Akifumi Takaori-Kondo

Nature 587:145-151 PubMed32908311

2020

A protein assembly mediates Xist localization and gene silencing.

Applications

Unspecified application

Species

Unspecified reactive species

Amy Pandya-Jones,Yolanda Markaki,Jacques Serizay,Tsotne Chitiashvili,Walter R Mancia Leon,Andrey Damianov,Constantinos Chronis,Bernadett Papp,Chun-Kan Chen,Robin McKee,Xiao-Jun Wang,Anthony Chau,Shan Sabri,Heinrich Leonhardt,Sika Zheng,Mitchell Guttman,Douglas L Black,Kathrin Plath

Acta neuropathologica communications 8:138 PubMed32811564

2020

RNA-recognition motif in Matrin-3 mediates neurodegeneration through interaction with hnRNPM.

Applications

Unspecified application

Species

Unspecified reactive species

Nandini Ramesh,Sukhleen Kour,Eric N Anderson,Dhivyaa Rajasundaram,Udai Bhan Pandey
View all publications

Product promise

We are committed to supporting your work with high-quality reagents, and we're here for you every step of the way. In the unlikely event that one of our products does not perform as expected, you're protected by our Product Promise.
For full details, please see our Terms & Conditions

Please note: All products are 'FOR RESEARCH USE ONLY. NOT FOR USE IN DIAGNOSTIC OR THERAPEUTIC PROCEDURES'.

For licensing inquiries, please contact partnerships@abcam.com