JavaScript is disabled in your browser. Please enable JavaScript to view this website.
AB189109

Anti-MAVS antibody

Be the first to review this product! Submit a review

|

(7 Publications)

Rabbit Polyclonal MAVS antibody. Suitable for IHC-P, WB, ICC/IF and reacts with Human, Rat, Mouse samples. Cited in 7 publications. Immunogen corresponding to Synthetic Peptide within Human MAVS.

View Alternative Names

IPS1, KIAA1271, VISA, MAVS, Mitochondrial antiviral-signaling protein, CARD adapter inducing interferon beta, Interferon beta promoter stimulator protein 1, Putative NF-kappa-B-activating protein 031N, Virus-induced-signaling adapter, Cardif, IPS-1

3 Images
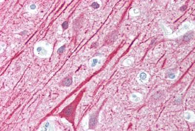
Immunohistochemistry (Formalin/PFA-fixed paraffin-embedded sections) - Anti-MAVS antibody (AB189109)
  • IHC-P

Supplier Data

Immunohistochemistry (Formalin/PFA-fixed paraffin-embedded sections) - Anti-MAVS antibody (AB189109)

Immunohistochemical analysis of formalin-fixed, paraffin-embedded Human brain, cortex tissue labelling MAVS with ab189109 at 5 μg/ml, followed by biotinylated secondary antibody, alkaline phosphatase-streptavidin and chromogen.

Immunocytochemistry/ Immunofluorescence - Anti-MAVS antibody (AB189109)
  • ICC/IF

Supplier Data

Immunocytochemistry/ Immunofluorescence - Anti-MAVS antibody (AB189109)

Immunofluorescent analysis of formalin-fixed paraffin-embedded mouse tissue labelling MAVS with ab189109 at 20 μg/ml.

Western blot - Anti-MAVS antibody (AB189109)
  • WB

Supplier Data

Western blot - Anti-MAVS antibody (AB189109)

Lane 1:

Western blot - Anti-MAVS antibody (ab189109) at 0.5 µg/mL

Lane 2:

Western blot - Anti-MAVS antibody (ab189109) at 1 µg/mL

Lane 3:

Western blot - Anti-MAVS antibody (ab189109) at 2 µg/mL

All lanes:

Rat brain tissue lysate

Predicted band size: 57 kDa

false

Key facts

Host species

Rabbit

Clonality

Polyclonal

Isotype

IgG

Carrier free

No

Reacts with

Mouse, Rat, Human

Applications

ICC/IF, WB, IHC-P

applications

Immunogen

Synthetic Peptide within Human MAVS. The exact immunogen used to generate this antibody is proprietary information.

Q7Z434

Reactivity data

{ "title": "Reactivity Data", "filters": { "stats": ["", "Species", "Dilution Info", "Notes"], "tabs": { "all-applications": {"fullname" : "All Applications", "shortname": "All Applications"}, "IHCP" : {"fullname" : "Immunohistochemistry (Formalin/PFA-fixed paraffin-embedded sections)", "shortname":"IHC-P"}, "WB" : {"fullname" : "Western blot", "shortname":"WB"}, "ICCIF" : {"fullname" : "Immunocytochemistry/ Immunofluorescence", "shortname":"ICC/IF"} }, "product-promise": { "all": "all", "testedAndGuaranteed": "tested", "guaranteed": "expected", "predicted": "predicted", "notRecommended": "not-recommended" } }, "values": { "Human": { "IHCP-species-checked": "testedAndGuaranteed", "IHCP-species-dilution-info": "5 µg/mL", "IHCP-species-notes": "<p></p> Perform heat-mediated antigen retrieval with citrate buffer pH 6 before commencing with IHC staining protocol.", "WB-species-checked": "guaranteed", "WB-species-dilution-info": "", "WB-species-notes": "", "ICCIF-species-checked": "guaranteed", "ICCIF-species-dilution-info": "", "ICCIF-species-notes": "" }, "Mouse": { "IHCP-species-checked": "guaranteed", "IHCP-species-dilution-info": "", "IHCP-species-notes": "", "WB-species-checked": "guaranteed", "WB-species-dilution-info": "", "WB-species-notes": "", "ICCIF-species-checked": "testedAndGuaranteed", "ICCIF-species-dilution-info": "20 µg/mL", "ICCIF-species-notes": "<p></p>" }, "Rat": { "IHCP-species-checked": "guaranteed", "IHCP-species-dilution-info": "", "IHCP-species-notes": "", "WB-species-checked": "testedAndGuaranteed", "WB-species-dilution-info": "0.5-2 µg/mL", "WB-species-notes": "<p></p>", "ICCIF-species-checked": "guaranteed", "ICCIF-species-dilution-info": "", "ICCIF-species-notes": "" } } }

Properties and storage information

Form
Liquid
Purification technique
Affinity purification Immunogen
Storage buffer
pH: 7.4 Preservative: 0.02% Sodium azide Constituents: PBS
Shipped at conditions
Blue Ice
Appropriate short-term storage duration
1-2 weeks
Appropriate short-term storage conditions
+4°C
Appropriate long-term storage conditions
-20°C
Aliquoting information
Upon delivery aliquot
Storage information
Avoid freeze / thaw cycle

Supplementary information

This supplementary information is collated from multiple sources and compiled automatically.

MAVS also known as mitochondrial antiviral-signaling protein is a critical adaptor protein involved in the innate immune response to viral infections. This protein with a molecular weight of approximately 56 kDa is expressed on the mitochondrial membrane. It plays a major role in antiviral defense by transmitting signals from cytosolic pattern recognition receptors like RIG-I-like receptors to initiate downstream immune responses. MAVS can also be referred to as IPS-1 VISA or CARDIF in scientific literature.
Biological function summary

The MAVS protein activates important signaling cascades to produce type I interferons and other cytokines which are essential in the antiviral response. MAVS forms a complex with other proteins on the mitochondrial membrane helping to coordinate a rapid immune reaction to viral pathogens. It acts by amplifying the signal from RIG-I and MDA5 facilitating their role in the recognition of viral RNA. By recruiting downstream signaling molecules MAVS enables the activation of transcription factors like IRF3 and NF-kB.

Pathways

MAVS plays a central role in the signaling pathways that regulate innate immunity including the RIG-I-like receptor signaling pathway and the NF-kB pathway. It interacts with various proteins such as TRIF and STING in the pathways to modulate immune responses. These pathways help trigger the production of antiviral substances and maintain homeostasis within the body's defense mechanisms. MAVS provides a platform for the assembly of signaling complexes which are necessary for the propagation and amplification of the immune response signal.

MAVS is associated with conditions such as viral infections and autoimmune diseases. Dysregulation of MAVS activity has been linked to systemic lupus erythematosus where abnormal immune signaling may occur. MAVS also has connections with other proteins such as TRAF3 and TRAF6 which contribute to disease pathogenesis. Understanding the role of MAVS in these conditions may provide insights into therapeutic targets for improving disease outcomes.

Product protocols

For this product, it's our understanding that no specific protocols are required. You can visit:

Target data

Adapter required for innate immune defense against viruses (PubMed : 16125763, PubMed : 16127453, PubMed : 16153868, PubMed : 16177806, PubMed : 19631370, PubMed : 20127681, PubMed : 20451243, PubMed : 21170385, PubMed : 23087404, PubMed : 27992402, PubMed : 33139700, PubMed : 37582970). Acts downstream of DHX33, RIGI and IFIH1/MDA5, which detect intracellular dsRNA produced during viral replication, to coordinate pathways leading to the activation of NF-kappa-B, IRF3 and IRF7, and to the subsequent induction of antiviral cytokines such as IFNB and RANTES (CCL5) (PubMed : 16125763, PubMed : 16127453, PubMed : 16153868, PubMed : 16177806, PubMed : 19631370, PubMed : 20127681, PubMed : 20451243, PubMed : 20628368, PubMed : 21170385, PubMed : 23087404, PubMed : 25636800, PubMed : 27736772, PubMed : 33110251). Peroxisomal and mitochondrial MAVS act sequentially to create an antiviral cellular state (PubMed : 20451243). Upon viral infection, peroxisomal MAVS induces the rapid interferon-independent expression of defense factors that provide short-term protection, whereas mitochondrial MAVS activates an interferon-dependent signaling pathway with delayed kinetics, which amplifies and stabilizes the antiviral response (PubMed : 20451243). May activate the same pathways following detection of extracellular dsRNA by TLR3 (PubMed : 16153868). May protect cells from apoptosis (PubMed : 16125763). Involved in NLRP3 inflammasome activation by mediating NLRP3 recruitment to mitochondria (PubMed : 23582325).
See full target information MAVS

Publications (7)

Recent publications for all applications. Explore the full list and refine your search

Viruses 17: PubMed40284982

2025

Berberine Suppresses Influenza A Virus-Triggered Pyroptosis in Macrophages via Intervening in the mtROS-MAVS-NLRP3 Inflammasome Pathway.

Applications

Unspecified application

Species

Unspecified reactive species

Mengfan Zhao,Di Deng,Hui Liu,Rui Guo,Jun Wu,Yu Hao,Mingrui Yang

Cell death & disease 16:138 PubMed40016186

2025

Deubiquitination enzyme USP35 negatively regulates MAVS signaling to inhibit anti-tumor immunity.

Applications

Unspecified application

Species

Unspecified reactive species

Heping Zhang,Jiali Zhu,Rong He,Lin Xu,Yunfei Chen,Haihong Yu,Xuejiao Sun,Shengpeng Wan,Xiaolan Yin,Yu'e Liu,Jie Gao,Yue Li,Zhixiong Li,Yi Lu,Qing Xu

Biomolecules 15: PubMed39858533

2025

Identification and Characterization of a Novel Rat MAVS Variant Modulating NFκB Signaling.

Applications

Unspecified application

Species

Unspecified reactive species

Ihsan Nalkiran,Hatice Sevim Nalkiran

Nature communications 13:7096 PubMed36402769

2022

Mutant RIG-I enhances cancer-related inflammation through activation of circRIG-I signaling.

Applications

Unspecified application

Species

Unspecified reactive species

Jia Song,Wei Zhao,Xin Zhang,Wenyu Tian,Xuyang Zhao,Liang Ma,Yongtong Cao,Yuxin Yin,Xuehui Zhang,Xuliang Deng,Dan Lu

OncoTargets and therapy 13:8783-8794 PubMed32982277

2020

RIG-I Promotes Cell Death in Hepatocellular Carcinoma by Inducing M1 Polarization of Perineal Macrophages Through the RIG-I/MAVS/NF-κB Pathway.

Applications

Unspecified application

Species

Unspecified reactive species

Bei Zhou,Cuiping Li,Yun Yang,Zhuo Wang

Cell 179:1483-1498.e22 PubMed31813625

2019

Metabolic Control of Astrocyte Pathogenic Activity via cPLA2-MAVS.

Applications

Unspecified application

Species

Unspecified reactive species

Chun-Cheih Chao,Cristina Gutiérrez-Vázquez,Veit Rothhammer,Lior Mayo,Michael A Wheeler,Emily C Tjon,Stephanie E J Zandee,Manon Blain,Kalil Alves de Lima,Maisa C Takenaka,Julian Avila-Pacheco,Patrick Hewson,Lei Liu,Liliana M Sanmarco,Davis M Borucki,Gabriel Z Lipof,Sunia A Trauger,Clary B Clish,Jack P Antel,Alexandre Prat,Francisco J Quintana

Annals of neurology 86:168-180 PubMed31177555

2019

A functional substitution in the L-aromatic amino acid decarboxylase enzyme worsens somatic symptoms via a serotonergic pathway.

Applications

Unspecified application

Species

Unspecified reactive species

Samar Khoury,Marjo H Piltonen,Anh-Tien Ton,Tiffany Cole,Alexander Samoshkin,Shad B Smith,Inna Belfer,Gary D Slade,Roger B Fillingim,Joel D Greenspan,Richard Ohrbach,William Maixner,G Gregory Neely,Adrian W R Serohijos,Luda Diatchenko
View all publications

Product promise

We are committed to supporting your work with high-quality reagents, and we're here for you every step of the way. In the unlikely event that one of our products does not perform as expected, you're protected by our Product Promise.
For full details, please see our Terms & Conditions

Please note: All products are 'FOR RESEARCH USE ONLY. NOT FOR USE IN DIAGNOSTIC OR THERAPEUTIC PROCEDURES'.

For licensing inquiries, please contact partnerships@abcam.com