JavaScript is disabled in your browser. Please enable JavaScript to view this website.
AB264147

Anti-MAVS antibody

Be the first to review this product! Submit a review

|

(2 Publications)

Rabbit Polyclonal MAVS antibody. Suitable for IHC-P, IP, WB and reacts with Human samples. Cited in 2 publications. Immunogen corresponding to Synthetic Peptide within Human MAVS aa 150-200.

View Alternative Names

IPS1, KIAA1271, VISA, MAVS, Mitochondrial antiviral-signaling protein, CARD adapter inducing interferon beta, Interferon beta promoter stimulator protein 1, Putative NF-kappa-B-activating protein 031N, Virus-induced-signaling adapter, Cardif, IPS-1

3 Images
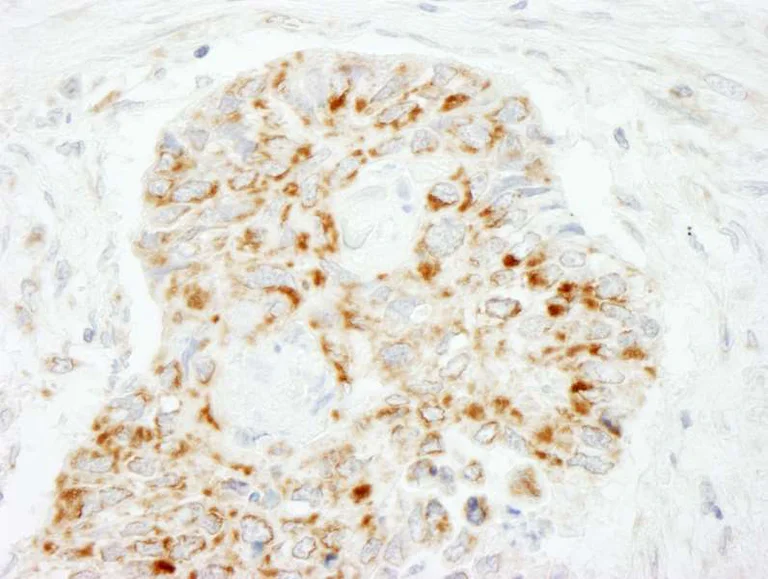
Immunohistochemistry (Formalin/PFA-fixed paraffin-embedded sections) - Anti-MAVS antibody (AB264147)
  • IHC-P

Unknown

Immunohistochemistry (Formalin/PFA-fixed paraffin-embedded sections) - Anti-MAVS antibody (AB264147)

Immunohistochemical analysis of formalin-fixed, paraffin-embedded human lung carcinoma tissue labeling MAVS with ab264147 at 1/200 dilution. Detection : DAB.

Immunoprecipitation - Anti-MAVS antibody (AB264147)
  • IP

Supplier Data

Immunoprecipitation - Anti-MAVS antibody (AB264147)

MAVS was immunoprecipitated from 1mg of HeLa (Human epithelial cell line from cervix adenocarcinoma) whole cell lysate with ab264147 at 3 μg/mg lysate. Western blot was performed from the immunoprecipitate using ab264147 at 1 μg/ml.

Lane 1 : ab264147 IP in HeLa whole cell lysate.
Lane 2 : Control IgG.

Exposure time : 30 secs.

All lanes:

Immunoprecipitation - Anti-MAVS antibody (ab264147)

Predicted band size: 57 kDa

false

Western blot - Anti-MAVS antibody (AB264147)
  • WB

Supplier Data

Western blot - Anti-MAVS antibody (AB264147)

4-20% SDS-PAGE

All lanes:

Western blot - Anti-MAVS antibody (ab264147) at 0.04 µg/mL

Lane 1:

HeLa whole cell lysate at 50 µg

Lane 2:

HeLa whole cell lysate at 15 µg

Lane 3:

HeLa whole cell lysate at 5 µg

Lane 4:

HEK-293T whole cell lysate at 50 µg

Predicted band size: 57 kDa

false

Exposure time: 3min

Key facts

Host species

Rabbit

Clonality

Polyclonal

Isotype

IgG

Carrier free

No

Reacts with

Human

Applications

IHC-P, IP, WB

applications

Immunogen

Synthetic Peptide within Human MAVS aa 150-200. The exact immunogen used to generate this antibody is proprietary information.

Q7Z434

Reactivity data

{ "title": "Reactivity Data", "filters": { "stats": ["", "Species", "Dilution Info", "Notes"], "tabs": { "all-applications": {"fullname" : "All Applications", "shortname": "All Applications"}, "IHCP" : {"fullname" : "Immunohistochemistry (Formalin/PFA-fixed paraffin-embedded sections)", "shortname":"IHC-P"}, "IP" : {"fullname" : "Immunoprecipitation", "shortname":"IP"}, "WB" : {"fullname" : "Western blot", "shortname":"WB"} }, "product-promise": { "all": "all", "testedAndGuaranteed": "tested", "guaranteed": "expected", "predicted": "predicted", "notRecommended": "not-recommended" } }, "values": { "Human": { "IHCP-species-checked": "testedAndGuaranteed", "IHCP-species-dilution-info": "1/100 - 1/500", "IHCP-species-notes": "<p></p> Perform heat-mediated antigen retrieval with citrate buffer pH 6 before commencing with IHC staining protocol.", "IP-species-checked": "testedAndGuaranteed", "IP-species-dilution-info": "2-5 µg", "IP-species-notes": "<p></p>", "WB-species-checked": "testedAndGuaranteed", "WB-species-dilution-info": "1/2000 - 1/10000", "WB-species-notes": "<p></p>" } } }

Properties and storage information

Form
Liquid
Purification technique
Affinity purification Immunogen
Storage buffer
pH: 6.8 - 7.4 Preservative: 0.09% Sodium azide Constituents: Tris buffered saline, 0.1% BSA
Shipped at conditions
Blue Ice
Appropriate short-term storage duration
1-2 weeks
Appropriate short-term storage conditions
+4°C
Appropriate long-term storage conditions
+4°C
Aliquoting information
Upon delivery aliquot
Storage information
Avoid freeze / thaw cycle

Supplementary information

This supplementary information is collated from multiple sources and compiled automatically.

MAVS also known as mitochondrial antiviral-signaling protein is a critical adaptor protein involved in the innate immune response to viral infections. This protein with a molecular weight of approximately 56 kDa is expressed on the mitochondrial membrane. It plays a major role in antiviral defense by transmitting signals from cytosolic pattern recognition receptors like RIG-I-like receptors to initiate downstream immune responses. MAVS can also be referred to as IPS-1 VISA or CARDIF in scientific literature.
Biological function summary

The MAVS protein activates important signaling cascades to produce type I interferons and other cytokines which are essential in the antiviral response. MAVS forms a complex with other proteins on the mitochondrial membrane helping to coordinate a rapid immune reaction to viral pathogens. It acts by amplifying the signal from RIG-I and MDA5 facilitating their role in the recognition of viral RNA. By recruiting downstream signaling molecules MAVS enables the activation of transcription factors like IRF3 and NF-kB.

Pathways

MAVS plays a central role in the signaling pathways that regulate innate immunity including the RIG-I-like receptor signaling pathway and the NF-kB pathway. It interacts with various proteins such as TRIF and STING in the pathways to modulate immune responses. These pathways help trigger the production of antiviral substances and maintain homeostasis within the body's defense mechanisms. MAVS provides a platform for the assembly of signaling complexes which are necessary for the propagation and amplification of the immune response signal.

MAVS is associated with conditions such as viral infections and autoimmune diseases. Dysregulation of MAVS activity has been linked to systemic lupus erythematosus where abnormal immune signaling may occur. MAVS also has connections with other proteins such as TRAF3 and TRAF6 which contribute to disease pathogenesis. Understanding the role of MAVS in these conditions may provide insights into therapeutic targets for improving disease outcomes.

Product protocols

For this product, it's our understanding that no specific protocols are required. You can visit:

Target data

Adapter required for innate immune defense against viruses (PubMed : 16125763, PubMed : 16127453, PubMed : 16153868, PubMed : 16177806, PubMed : 19631370, PubMed : 20127681, PubMed : 20451243, PubMed : 21170385, PubMed : 23087404, PubMed : 27992402, PubMed : 33139700, PubMed : 37582970). Acts downstream of DHX33, RIGI and IFIH1/MDA5, which detect intracellular dsRNA produced during viral replication, to coordinate pathways leading to the activation of NF-kappa-B, IRF3 and IRF7, and to the subsequent induction of antiviral cytokines such as IFNB and RANTES (CCL5) (PubMed : 16125763, PubMed : 16127453, PubMed : 16153868, PubMed : 16177806, PubMed : 19631370, PubMed : 20127681, PubMed : 20451243, PubMed : 20628368, PubMed : 21170385, PubMed : 23087404, PubMed : 25636800, PubMed : 27736772, PubMed : 33110251). Peroxisomal and mitochondrial MAVS act sequentially to create an antiviral cellular state (PubMed : 20451243). Upon viral infection, peroxisomal MAVS induces the rapid interferon-independent expression of defense factors that provide short-term protection, whereas mitochondrial MAVS activates an interferon-dependent signaling pathway with delayed kinetics, which amplifies and stabilizes the antiviral response (PubMed : 20451243). May activate the same pathways following detection of extracellular dsRNA by TLR3 (PubMed : 16153868). May protect cells from apoptosis (PubMed : 16125763). Involved in NLRP3 inflammasome activation by mediating NLRP3 recruitment to mitochondria (PubMed : 23582325).
See full target information MAVS

Publications (2)

Recent publications for all applications. Explore the full list and refine your search

Science advances 10:eadk5386 PubMed38536927

2024

Activation of endogenous retroviruses and induction of viral mimicry by MEK1/2 inhibition in pancreatic cancer.

Applications

Unspecified application

Species

Unspecified reactive species

Alice Cortesi,Francesco Gandolfi,Fabiana Arco,Pierluigi Di Chiaro,Emanuele Valli,Sara Polletti,Roberta Noberini,Francesco Gualdrini,Sergio Attanasio,Francesca Citron,I-Lin Ho,Rutvi Shah,Er-Yen Yen,Mara Cetty Spinella,Simona Ronzoni,Simona Rodighiero,Nico Mitro,Tiziana Bonaldi,Serena Ghisletti,Silvia Monticelli,Andrea Viale,Giuseppe Riccardo Diaferia,Gioacchino Natoli

In vivo (Athens, Greece) 37:1584-1592 PubMed37369480

2023

Proteasome Subunit Alpha Type-7 Expression Suppresses Cutaneous Squamous Cell Carcinoma Progression by Inhibiting Cancer-associated Cytokines.

Applications

Unspecified application

Species

Unspecified reactive species

Xiangshu Xu,Meiling Pei,Ki-Yeol Kim,Haoran Xi,Sang Gyun Lee,Kee Yang Chung,Mi Ryung Roh,Zhehu Jin
View all publications

Product promise

We are committed to supporting your work with high-quality reagents, and we're here for you every step of the way. In the unlikely event that one of our products does not perform as expected, you're protected by our Product Promise.
For full details, please see our Terms & Conditions

Please note: All products are 'FOR RESEARCH USE ONLY. NOT FOR USE IN DIAGNOSTIC OR THERAPEUTIC PROCEDURES'.

For licensing inquiries, please contact partnerships@abcam.com