JavaScript is disabled in your browser. Please enable JavaScript to view this website.
AB290729

Anti-MAVS antibody [EPR26357-91]

  • BOND RX™ Validated
  • 20ul selling size
  • RabMAb
  • Recombinant
  • What is this?

Be the first to review this product! Submit a review

|

(0 Publication)

Rabbit Recombinant Monoclonal MAVS antibody. Suitable for ICC/IF, WB, IHC-P, Flow Cyt (Intra), IP and reacts with Human samples.

View Alternative Names

IPS1, KIAA1271, VISA, MAVS, Mitochondrial antiviral-signaling protein, CARD adapter inducing interferon beta, Interferon beta promoter stimulator protein 1, Putative NF-kappa-B-activating protein 031N, Virus-induced-signaling adapter, Cardif, IPS-1

7 Images
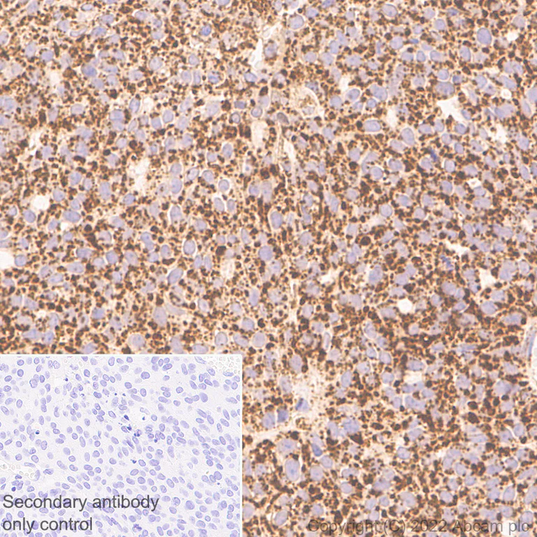
Immunohistochemistry (Formalin/PFA-fixed paraffin-embedded sections) - Anti-MAVS antibody [EPR26357-91] (AB290729)
  • IHC-P

Supplier Data

Immunohistochemistry (Formalin/PFA-fixed paraffin-embedded sections) - Anti-MAVS antibody [EPR26357-91] (AB290729)

Immunohistochemical analysis of paraffin-embedded Human lung carcinoma tissue labeling MAVS with ab290729 at 1/500 (1.032 ug/ml) followed by a ready to use LeicaDS9800 (Bond™ Polymer Refine Detection) was used. Cytoplasmic staining on human lung carcinoma (PMID : 29285267).The section was incubated with ab290729 for 30 mins at room temperature.The immunostaining was performed on a Leica Biosystems BOND® RX instrument Counterstained with Hematoxylin. Secondary antibody only control : Secondary antibody is a ready to use LeicaDS9800 (Bond™ Polymer Refine Detection) was used. Heat mediated antigen retrieval with Tris-EDTA buffer (pH 9.0, epitope retrieval solution2) for 20 mins

Immunohistochemistry (Formalin/PFA-fixed paraffin-embedded sections) - Anti-MAVS antibody [EPR26357-91] (AB290729)
  • IHC-P

Supplier Data

Immunohistochemistry (Formalin/PFA-fixed paraffin-embedded sections) - Anti-MAVS antibody [EPR26357-91] (AB290729)

Immunohistochemical analysis of paraffin-embedded Human cardiac muscle tissue labeling MAVS with ab290729 at 1/500 (1.032 ug/ml) followed by a ready to use LeicaDS9800 (Bond™ Polymer Refine Detection) was used. Cytoplasmic staining on human cardiac muscle (PMID : 16153868).The section was incubated with ab290729 for 30 mins at room temperature.The immunostaining was performed on a Leica Biosystems BOND® RX instrument Counterstained with Hematoxylin. Secondary antibody only control : Secondary antibody is a ready to use LeicaDS9800 (Bond™ Polymer Refine Detection) was used. Heat mediated antigen retrieval with Tris-EDTA buffer (pH 9.0, epitope retrieval solution2) for 20 mins

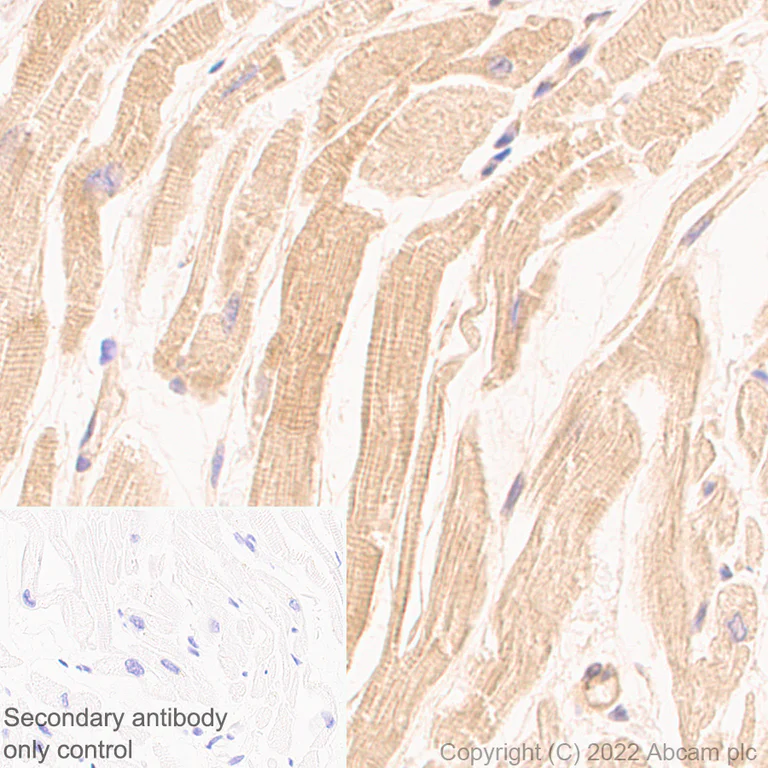
Immunohistochemistry (Formalin/PFA-fixed paraffin-embedded sections) - Anti-MAVS antibody [EPR26357-91] (AB290729)
  • IHC-P

Supplier Data

Immunohistochemistry (Formalin/PFA-fixed paraffin-embedded sections) - Anti-MAVS antibody [EPR26357-91] (AB290729)

Immunohistochemical analysis of paraffin-embedded Human skeletal muscl tissue labeling MAVS with ab290729 at 1/500 (1.032 ug/ml) followed by a ready to use LeicaDS9800 (Bond™ Polymer Refine Detection) was used. Cytoplasmic staining on human skeletal muscle (PMID : 16153868).The section was incubated with ab290729 for 30 mins at room temperature.The immunostaining was performed on a Leica Biosystems BOND® RX instrument Counterstained with Hematoxylin. Secondary antibody only control : Secondary antibody is a ready to use LeicaDS9800 (Bond™ Polymer Refine Detection) was used. Heat mediated antigen retrieval with Tris-EDTA buffer (pH 9.0, epitope retrieval solution2) for 20 mins

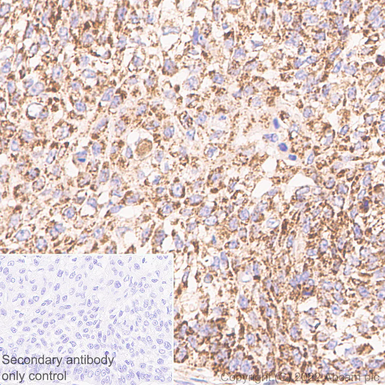
Immunohistochemistry (Formalin/PFA-fixed paraffin-embedded sections) - Anti-MAVS antibody [EPR26357-91] (AB290729)
  • IHC-P

Supplier Data

Immunohistochemistry (Formalin/PFA-fixed paraffin-embedded sections) - Anti-MAVS antibody [EPR26357-91] (AB290729)

Immunohistochemical analysis of paraffin-embedded Human ovarian carcin tissue labeling MAVS with ab290729 at 1/500 (1.032 ug/ml) followed by a ready to use LeicaDS9800 (Bond™ Polymer Refine Detection) was used. Cytoplasmic staining on human ovarian carcinoma (PMID : 34722508).The section was incubated with ab290729 for 30 mins at room temperature.The immunostaining was performed on a Leica Biosystems BOND® RX instrument Counterstained with Hematoxylin. Secondary antibody only control : Secondary antibody is a ready to use LeicaDS9800 (Bond™ Polymer Refine Detection) was used. Heat mediated antigen retrieval with Tris-EDTA buffer (pH 9.0, epitope retrieval solution2) for 20 mins

Immunocytochemistry/ Immunofluorescence - Anti-MAVS antibody [EPR26357-91] (AB290729)
  • ICC/IF

Supplier Data

Immunocytochemistry/ Immunofluorescence - Anti-MAVS antibody [EPR26357-91] (AB290729)

Immunofluorescent analysis of 4% Paraformaldehyde-fixed, 0.1% TritonX-100 permeabilized 293T (human embryonic kidney epithelial cell) cells labelling MAVS with ab290729 at 1/50 (10.32 ug/ml) dilution, followed by ab150081 Goat Anti-Rabbit IgG H&L (Alexa Fluor® 488) preadsorbed antibody at 1/1000 2 ug/ml dilution (Green). Confocal image showing mitochondrial staining in the 293T cell line is observed. ab33985 Anti-COX IV mouse monoclonal antibody - Mitochondrial Marker was used to counterstain tubulin at 1/1000 1 ug/ml dilution (Red). The Nuclear counterstain was DAPI (Blue). Secondary antibody only control : Secondary antibody is ab150081 Goat Anti-Rabbit IgG H&L (Alexa Fluor® 488) preadsorbed at 1/1000 2 ug/ml dilution.

Flow Cytometry (Intracellular) - Anti-MAVS antibody [EPR26357-91] (AB290729)
  • Flow Cyt (Intra)

Supplier Data

Flow Cytometry (Intracellular) - Anti-MAVS antibody [EPR26357-91] (AB290729)

Flow cytometric analysis of 4% paraformaldehyde fixed 90% methanol permeabilized 293T (Human embryonic kidney epithelial cell) cells labelling MAVS with ab290729 at 1/500 dilution (0.1ug) (Red) (Red) compared with a Rabbit monoclonal IgG (ab172730) (Black) isotype control and an unlabelled control (cells without incubation with primary antibody and secondary antibody) (Blue). A Goat Anti-Rabbit IgG (Alexa Fluor® 488, ab150081) at 1/2000 dilution was used as the secondary antibody.

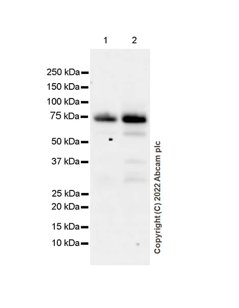
Western blot - Anti-MAVS antibody [EPR26357-91] (AB290729)
  • WB

Supplier Data

Western blot - Anti-MAVS antibody [EPR26357-91] (AB290729)

Blocking and diluting buffer and concentration : 5% NFDM/TBST The molecular weight observed is consistent with that described in the literature (PMID : 16125763 and 30460894) Lysates were prepared from fresh materials and used for Western blotting immediately to minimize protein degradation.

All lanes:

Western blot - Anti-MAVS antibody [EPR26357-91] (ab290729) at 1/1000 dilution

Lane 1:

HeLa (human cervix adenocarcinoma epithelial cell) whole cell fresh lysate 20 µg

Lane 2:

293T (human embryonic kidney epithelial cell) whole cell fresh lysate 20 µg

Secondary

All lanes:

Western blot - Goat Anti-Rabbit IgG H&L (HRP) (<a href='/en-us/products/secondary-antibodies/goat-rabbit-igg-h-l-hrp-ab97051'>ab97051</a>) at 1/100000 dilution

Observed band size: 75 kDa,52 kDa,37 kDa,30 kDa

false

Exposure time: 37s

Key facts

Host species

Rabbit

Clonality

Monoclonal

Clone number

EPR26357-91

Isotype

IgG

Carrier free

No

Reacts with

Human

Applications

IP, WB, IHC-P, Flow Cyt (Intra), ICC/IF

applications

Immunogen

The exact immunogen used to generate this antibody is proprietary information.

Reactivity data

{ "title": "Reactivity Data", "filters": { "stats": ["", "Species", "Dilution Info", "Notes"], "tabs": { "all-applications": {"fullname" : "All Applications", "shortname": "All Applications"}, "ICCIF" : {"fullname" : "Immunocytochemistry/ Immunofluorescence", "shortname":"ICC/IF"}, "WB" : {"fullname" : "Western blot", "shortname":"WB"}, "IHCP" : {"fullname" : "Immunohistochemistry (Formalin/PFA-fixed paraffin-embedded sections)", "shortname":"IHC-P"}, "IHCFr" : {"fullname" : "Immunohistochemistry (Frozen sections)", "shortname":"IHC-Fr"}, "FlowCytIntra" : {"fullname" : "Flow Cytometry (Intracellular)", "shortname":"Flow Cyt (Intra)"}, "IP" : {"fullname" : "Immunoprecipitation", "shortname":"IP"} }, "product-promise": { "all": "all", "testedAndGuaranteed": "tested", "guaranteed": "expected", "predicted": "predicted", "notRecommended": "not-recommended" } }, "values": { "Human": { "ICCIF-species-checked": "testedAndGuaranteed", "ICCIF-species-dilution-info": "1/50", "ICCIF-species-notes": "<p></p>", "WB-species-checked": "testedAndGuaranteed", "WB-species-dilution-info": "1/1000", "WB-species-notes": "<p></p>", "IHCP-species-checked": "testedAndGuaranteed", "IHCP-species-dilution-info": "1/500", "IHCP-species-notes": "<p></p> Perform heat-mediated antigen retrieval with Tris/EDTA buffer pH 9.0 before commencing with IHC staining protocol.", "IHCFr-species-checked": "notRecommended", "IHCFr-species-dilution-info": "", "IHCFr-species-notes": "", "FlowCytIntra-species-checked": "testedAndGuaranteed", "FlowCytIntra-species-dilution-info": "1/500", "FlowCytIntra-species-notes": "<p></p>", "IP-species-checked": "testedAndGuaranteed", "IP-species-dilution-info": "1/30", "IP-species-notes": "<p></p>" }, "Mouse": { "ICCIF-species-checked": "notRecommended", "ICCIF-species-dilution-info": "1/50", "ICCIF-species-notes": "<p></p>", "WB-species-checked": "notRecommended", "WB-species-dilution-info": "1/1000", "WB-species-notes": "<p></p>", "IHCP-species-checked": "notRecommended", "IHCP-species-dilution-info": "1/500", "IHCP-species-notes": "<p></p> Perform heat-mediated antigen retrieval with Tris/EDTA buffer pH 9.0 before commencing with IHC staining protocol.", "IHCFr-species-checked": "notRecommended", "IHCFr-species-dilution-info": "", "IHCFr-species-notes": "<p></p>", "FlowCytIntra-species-checked": "notRecommended", "FlowCytIntra-species-dilution-info": "1/500", "FlowCytIntra-species-notes": "<p></p>", "IP-species-checked": "notRecommended", "IP-species-dilution-info": "1/30", "IP-species-notes": "<p></p>" }, "Rat": { "ICCIF-species-checked": "notRecommended", "ICCIF-species-dilution-info": "", "ICCIF-species-notes": "", "WB-species-checked": "notRecommended", "WB-species-dilution-info": "1/1000", "WB-species-notes": "<p></p>", "IHCP-species-checked": "notRecommended", "IHCP-species-dilution-info": "1/500", "IHCP-species-notes": "<p></p> Perform heat-mediated antigen retrieval with Tris/EDTA buffer pH 9.0 before commencing with IHC staining protocol.", "IHCFr-species-checked": "notRecommended", "IHCFr-species-dilution-info": "", "IHCFr-species-notes": "<p></p>", "FlowCytIntra-species-checked": "notRecommended", "FlowCytIntra-species-dilution-info": "", "FlowCytIntra-species-notes": "", "IP-species-checked": "notRecommended", "IP-species-dilution-info": "", "IP-species-notes": "" } } }

Product details

Patented technology
Our RabMAb® technology is a patented hybridoma-based technology for making rabbit monoclonal antibodies. For details on our patents, please refer to RabMAb® patents.

What are the advantages of a recombinant monoclonal antibody?
This product is a recombinant monoclonal antibody, which offers several advantages including:

  • - High batch-to-batch consistency and reproducibility
  • - Improved sensitivity and specificity
  • - Long-term security of supply
  • - Animal-free batch production

For more information, read more on recombinant antibodies.

Properties and storage information

Form
Liquid
Purification technique
Affinity purification Protein A
Storage buffer
pH: 7.2 - 7.4 Preservative: 0.01% Sodium azide Constituents: PBS, 40% Glycerol (glycerin, glycerine), 0.05% BSA
Shipped at conditions
Blue Ice
Appropriate short-term storage duration
1-2 weeks
Appropriate short-term storage conditions
+4°C
Appropriate long-term storage conditions
-20°C
Aliquoting information
Upon delivery aliquot
Storage information
Avoid freeze / thaw cycle

Supplementary information

This supplementary information is collated from multiple sources and compiled automatically.

MAVS also known as mitochondrial antiviral-signaling protein is a critical adaptor protein involved in the innate immune response to viral infections. This protein with a molecular weight of approximately 56 kDa is expressed on the mitochondrial membrane. It plays a major role in antiviral defense by transmitting signals from cytosolic pattern recognition receptors like RIG-I-like receptors to initiate downstream immune responses. MAVS can also be referred to as IPS-1 VISA or CARDIF in scientific literature.
Biological function summary

The MAVS protein activates important signaling cascades to produce type I interferons and other cytokines which are essential in the antiviral response. MAVS forms a complex with other proteins on the mitochondrial membrane helping to coordinate a rapid immune reaction to viral pathogens. It acts by amplifying the signal from RIG-I and MDA5 facilitating their role in the recognition of viral RNA. By recruiting downstream signaling molecules MAVS enables the activation of transcription factors like IRF3 and NF-kB.

Pathways

MAVS plays a central role in the signaling pathways that regulate innate immunity including the RIG-I-like receptor signaling pathway and the NF-kB pathway. It interacts with various proteins such as TRIF and STING in the pathways to modulate immune responses. These pathways help trigger the production of antiviral substances and maintain homeostasis within the body's defense mechanisms. MAVS provides a platform for the assembly of signaling complexes which are necessary for the propagation and amplification of the immune response signal.

MAVS is associated with conditions such as viral infections and autoimmune diseases. Dysregulation of MAVS activity has been linked to systemic lupus erythematosus where abnormal immune signaling may occur. MAVS also has connections with other proteins such as TRAF3 and TRAF6 which contribute to disease pathogenesis. Understanding the role of MAVS in these conditions may provide insights into therapeutic targets for improving disease outcomes.

Product protocols

For this product, it's our understanding that no specific protocols are required. You can visit:

Target data

Adapter required for innate immune defense against viruses (PubMed : 16125763, PubMed : 16127453, PubMed : 16153868, PubMed : 16177806, PubMed : 19631370, PubMed : 20127681, PubMed : 20451243, PubMed : 21170385, PubMed : 23087404, PubMed : 27992402, PubMed : 33139700, PubMed : 37582970). Acts downstream of DHX33, RIGI and IFIH1/MDA5, which detect intracellular dsRNA produced during viral replication, to coordinate pathways leading to the activation of NF-kappa-B, IRF3 and IRF7, and to the subsequent induction of antiviral cytokines such as IFNB and RANTES (CCL5) (PubMed : 16125763, PubMed : 16127453, PubMed : 16153868, PubMed : 16177806, PubMed : 19631370, PubMed : 20127681, PubMed : 20451243, PubMed : 20628368, PubMed : 21170385, PubMed : 23087404, PubMed : 25636800, PubMed : 27736772, PubMed : 33110251). Peroxisomal and mitochondrial MAVS act sequentially to create an antiviral cellular state (PubMed : 20451243). Upon viral infection, peroxisomal MAVS induces the rapid interferon-independent expression of defense factors that provide short-term protection, whereas mitochondrial MAVS activates an interferon-dependent signaling pathway with delayed kinetics, which amplifies and stabilizes the antiviral response (PubMed : 20451243). May activate the same pathways following detection of extracellular dsRNA by TLR3 (PubMed : 16153868). May protect cells from apoptosis (PubMed : 16125763). Involved in NLRP3 inflammasome activation by mediating NLRP3 recruitment to mitochondria (PubMed : 23582325).
See full target information MAVS

Product promise

We are committed to supporting your work with high-quality reagents, and we're here for you every step of the way. In the unlikely event that one of our products does not perform as expected, you're protected by our Product Promise.
For full details, please see our Terms & Conditions

Please note: All products are 'FOR RESEARCH USE ONLY. NOT FOR USE IN DIAGNOSTIC OR THERAPEUTIC PROCEDURES'.

For licensing inquiries, please contact partnerships@abcam.com