JavaScript is disabled in your browser. Please enable JavaScript to view this website.
AB101271

Anti-MAX antibody

Be the first to review this product! Submit a review

|

(9 Publications)

Rabbit Polyclonal MAX antibody. Suitable for IP, WB, IHC-P and reacts with Human samples. Cited in 9 publications. Immunogen corresponding to Synthetic Peptide within Human MAX aa 100 to C-terminus.

View Alternative Names

BHLHD4, MAX, Protein max, Class D basic helix-loop-helix protein 4, Myc-associated factor X, bHLHd4

3 Images
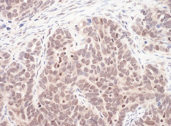
Immunohistochemistry (Formalin/PFA-fixed paraffin-embedded sections) - Anti-MAX antibody (AB101271)
  • IHC-P

Supplier Data

Immunohistochemistry (Formalin/PFA-fixed paraffin-embedded sections) - Anti-MAX antibody (AB101271)

Immunohistochemistry (Formalin/PFA-fixed paraffin-embedded sections) analysis of human ovarian carcinoma tissue labelling MAX with ab101271 at 1/1000 (1µg/ml).

Immunoprecipitation - Anti-MAX antibody (AB101271)
  • IP

Unknown

Immunoprecipitation - Anti-MAX antibody (AB101271)

Detection of MAX in Immunoprecipitates of HeLa whole cell lysate (1 mg for IP, 20% of IP loaded) using ab101271 at 3 µg/mg lysate for IP (Lane 1) and at 0.4 µg/ml for subsequent Western blot detection. Lane 2 represents Immunoprecipitates from control IgG. Detection : Chemiluminescence with an exposure time of 30 seconds.

All lanes:

Immunoprecipitation - Anti-MAX antibody (ab101271)

Predicted band size: 18 kDa

false

Western blot - Anti-MAX antibody (AB101271)
  • WB

Unknown

Western blot - Anti-MAX antibody (AB101271)

All lanes:

Western blot - Anti-MAX antibody (ab101271) at 0.1 µg/mL

Lane 1:

HeLa whole cell lysate at 50 µg

Lane 2:

HeLa whole cell lysate at 15 µg

Lane 3:

HeLa whole cell lysate at 5 µg

Lane 4:

293T whole cell lysate at 50 µg

Predicted band size: 18 kDa

true

Exposure time: 3min

Key facts

Host species

Rabbit

Clonality

Polyclonal

Isotype

IgG

Carrier free

No

Reacts with

Human

Applications

IP, WB, IHC-P

applications

Immunogen

Synthetic Peptide within Human MAX aa 100 to C-terminus. The exact immunogen used to generate this antibody is proprietary information.

P61244

Reactivity data

{ "title": "Reactivity Data", "filters": { "stats": ["", "Species", "Dilution Info", "Notes"], "tabs": { "all-applications": {"fullname" : "All Applications", "shortname": "All Applications"}, "IP" : {"fullname" : "Immunoprecipitation", "shortname":"IP"}, "WB" : {"fullname" : "Western blot", "shortname":"WB"}, "IHCP" : {"fullname" : "Immunohistochemistry (Formalin/PFA-fixed paraffin-embedded sections)", "shortname":"IHC-P"} }, "product-promise": { "all": "all", "testedAndGuaranteed": "tested", "guaranteed": "expected", "predicted": "predicted", "notRecommended": "not-recommended" } }, "values": { "Human": { "IP-species-checked": "testedAndGuaranteed", "IP-species-dilution-info": "2-5 µg/mg of lysate", "IP-species-notes": "<p></p>", "WB-species-checked": "testedAndGuaranteed", "WB-species-dilution-info": "1/2000 - 1/10000", "WB-species-notes": "<p></p>", "IHCP-species-checked": "testedAndGuaranteed", "IHCP-species-dilution-info": "", "IHCP-species-notes": "<p></p>" }, "Mouse": { "IP-species-checked": "predicted", "IP-species-dilution-info": "", "IP-species-notes": "", "WB-species-checked": "predicted", "WB-species-dilution-info": "", "WB-species-notes": "", "IHCP-species-checked": "predicted", "IHCP-species-dilution-info": "", "IHCP-species-notes": "" }, "Chicken": { "IP-species-checked": "predicted", "IP-species-dilution-info": "", "IP-species-notes": "", "WB-species-checked": "predicted", "WB-species-dilution-info": "", "WB-species-notes": "", "IHCP-species-checked": "predicted", "IHCP-species-dilution-info": "", "IHCP-species-notes": "" }, "Chimpanzee": { "IP-species-checked": "predicted", "IP-species-dilution-info": "", "IP-species-notes": "", "WB-species-checked": "predicted", "WB-species-dilution-info": "", "WB-species-notes": "", "IHCP-species-checked": "predicted", "IHCP-species-dilution-info": "", "IHCP-species-notes": "" }, "Cow": { "IP-species-checked": "predicted", "IP-species-dilution-info": "", "IP-species-notes": "", "WB-species-checked": "predicted", "WB-species-dilution-info": "", "WB-species-notes": "", "IHCP-species-checked": "predicted", "IHCP-species-dilution-info": "", "IHCP-species-notes": "" }, "Dog": { "IP-species-checked": "predicted", "IP-species-dilution-info": "", "IP-species-notes": "", "WB-species-checked": "predicted", "WB-species-dilution-info": "", "WB-species-notes": "", "IHCP-species-checked": "predicted", "IHCP-species-dilution-info": "", "IHCP-species-notes": "" }, "Gorilla": { "IP-species-checked": "predicted", "IP-species-dilution-info": "", "IP-species-notes": "", "WB-species-checked": "predicted", "WB-species-dilution-info": "", "WB-species-notes": "", "IHCP-species-checked": "predicted", "IHCP-species-dilution-info": "", "IHCP-species-notes": "" }, "Guinea pig": { "IP-species-checked": "predicted", "IP-species-dilution-info": "", "IP-species-notes": "", "WB-species-checked": "predicted", "WB-species-dilution-info": "", "WB-species-notes": "", "IHCP-species-checked": "predicted", "IHCP-species-dilution-info": "", "IHCP-species-notes": "" }, "Orangutan": { "IP-species-checked": "predicted", "IP-species-dilution-info": "", "IP-species-notes": "", "WB-species-checked": "predicted", "WB-species-dilution-info": "", "WB-species-notes": "", "IHCP-species-checked": "predicted", "IHCP-species-dilution-info": "", "IHCP-species-notes": "" }, "Pig": { "IP-species-checked": "predicted", "IP-species-dilution-info": "", "IP-species-notes": "", "WB-species-checked": "predicted", "WB-species-dilution-info": "", "WB-species-notes": "", "IHCP-species-checked": "predicted", "IHCP-species-dilution-info": "", "IHCP-species-notes": "" }, "Platypus": { "IP-species-checked": "predicted", "IP-species-dilution-info": "", "IP-species-notes": "", "WB-species-checked": "predicted", "WB-species-dilution-info": "", "WB-species-notes": "", "IHCP-species-checked": "predicted", "IHCP-species-dilution-info": "", "IHCP-species-notes": "" }, "Rhesus monkey": { "IP-species-checked": "predicted", "IP-species-dilution-info": "", "IP-species-notes": "", "WB-species-checked": "predicted", "WB-species-dilution-info": "", "WB-species-notes": "", "IHCP-species-checked": "predicted", "IHCP-species-dilution-info": "", "IHCP-species-notes": "" }, "Turkey": { "IP-species-checked": "predicted", "IP-species-dilution-info": "", "IP-species-notes": "", "WB-species-checked": "predicted", "WB-species-dilution-info": "", "WB-species-notes": "", "IHCP-species-checked": "predicted", "IHCP-species-dilution-info": "", "IHCP-species-notes": "" } } }

Properties and storage information

Form
Liquid
Purification technique
Affinity purification Immunogen
Storage buffer
pH: 7 - 8 Preservative: 0.09% Sodium azide Constituents: Tris citrate/phosphate
Shipped at conditions
Blue Ice
Appropriate short-term storage conditions
+4°C
Appropriate long-term storage conditions
+4°C
Aliquoting information
Upon delivery aliquot
Storage information
Avoid freeze / thaw cycle

Supplementary information

This supplementary information is collated from multiple sources and compiled automatically.

The MAX protein also known as Myc-associated factor X functions mechanically as a transcription factor with a molecular weight of approximately 20 kDa. MAX is expressed in a wide range of tissues throughout the body. The protein forms homodimers or heterodimers with other members of the basic-helix-loop-helix-zipper (bHLHZ) family such as MYC MAD and MNT. The dimerization with different partners determines its role as an activator or repressor of transcription affecting the regulation of various genes.
Biological function summary

The MAX protein plays a significant role in controlling cell growth differentiation and apoptosis. The protein often forms part of complex regulatory networks within the cell. By interacting with different partner proteins MAX modulates transcriptional activity affecting cellular outcomes. Importantly it can switch between activating or repressing target genes depending on the dimer partner influencing processes such as proliferation and differentiation.

Pathways

MAX is deeply integrated into the MYC-MAX-MAD pathway an important pathway for regulating gene expression linked to cell cycle and proliferative processes. Within this pathway MAX pairs with either MYC or MAD depending on the cellular context to influence transcription. When paired with MYC it promotes transcription while pairing with MAD results in transcriptional repression. Additionally in the growth signaling pathway the MAX protein’s regulation of target genes is pivotal for ensuring proper cellular responses to growth signals.

The malfunction of the MAX protein has a strong association with cancer and neurodegenerative diseases. Alterations in MAX function can lead to uncontrolled cell growth contributing to oncogenesis particularly in relation to MYC which is a known oncogene. Furthermore dysregulation of the MAX protein is linked to neurodegenerative disorders where abnormal MAX activity may disrupt normal neural gene expression enhancing disease progression.

Product protocols

For this product, it's our understanding that no specific protocols are required. You can visit:

Target data

Transcription regulator. Forms a sequence-specific DNA-binding protein complex with MYC or MAD which recognizes the core sequence 5'-CAC[GA]TG-3'. The MYC : MAX complex is a transcriptional activator, whereas the MAD : MAX complex is a repressor. May repress transcription via the recruitment of a chromatin remodeling complex containing H3 'Lys-9' histone methyltransferase activity. Represses MYC transcriptional activity from E-box elements.
See full target information MAX

Publications (9)

Recent publications for all applications. Explore the full list and refine your search

International journal of molecular sciences 24: PubMed37175848

2023

MYCN Amplification Is Associated with Reduced Expression of Genes Encoding γ-Secretase Complex and NOTCH Signaling Components in Neuroblastoma.

Applications

Unspecified application

Species

Unspecified reactive species

Prasoon Agarwal,Aleksandra Glowacka,Loay Mahmoud,Wesam Bazzar,Lars-Gunnar Larsson,Mohammad Alzrigat

PloS one 18:e0284949 PubMed37104368

2023

Validation of Myc-Associated Protein X (MAX) regulation in growth hormone secreting and nonfunctional pituitary adenoma.

Applications

Unspecified application

Species

Unspecified reactive species

Douglass W Tucker,Dhiraj J Pangal,Robin Du,Angad S Gogia,Ali Tafreshi,Jacob Ruzevick,Kyle T Hurth,Tim Triche,Alexander Micko,John D Carpten,Mark S Shiroishi,John D Carmichael,Suhn K Rhie,Gabriel Zada

Clinics and practice 12:299-305 PubMed35645312

2022

Bilateral Pheochromocytoma with Germline MAX Variant without Family History.

Applications

Unspecified application

Species

Unspecified reactive species

Shinnosuke Hata,Mai Asano,Hiroyuki Tominaga,Masahide Hamaguchi,Fumiya Hongo,Takeshi Usui,Eiichi Konishi,Michiaki Fukui

Cancer research communications 2:110-130 PubMed36860495

2022

MYC Inhibition Halts Metastatic Breast Cancer Progression by Blocking Growth, Invasion, and Seeding.

Applications

Unspecified application

Species

Unspecified reactive species

Daniel Massó-Vallés,Marie-Eve Beaulieu,Toni Jauset,Fabio Giuntini,Mariano F Zacarías-Fluck,Laia Foradada,Sandra Martínez-Martín,Erika Serrano,Génesis Martín-Fernández,Sílvia Casacuberta-Serra,Virginia Castillo Cano,Jastrinjan Kaur,Sergio López-Estévez,Miguel Ángel Morcillo,Mohammad Alzrigat,Loay Mahmoud,Antonio Luque-García,Marta Escorihuela,Marta Guzman,Joaquín Arribas,Violeta Serra,Lars-Gunnar Larsson,Jonathan R Whitfield,Laura Soucek

Endocrine pathology 31:367-376 PubMed33063251

2020

Transcription Factor Profiling Identifies Spatially Heterogenous Mediators of Follicular Thyroid Cancer Invasion.

Applications

Unspecified application

Species

Unspecified reactive species

Norman G Nicolson,Johan O Paulsson,C Christofer Juhlin,Tobias Carling,Reju Korah

Cell chemical biology 28:4-13.e17 PubMed32966806

2020

Discovery of a Functional Covalent Ligand Targeting an Intrinsically Disordered Cysteine within MYC.

Applications

Unspecified application

Species

Unspecified reactive species

Lydia Boike,Alexander G Cioffi,Felix C Majewski,Jennifer Co,Nathaniel J Henning,Michael D Jones,Gang Liu,Jeffrey M McKenna,John A Tallarico,Markus Schirle,Daniel K Nomura

Frontiers in endocrinology 11:558 PubMed32973681

2020

A Novel Phenotype of Germline Pathogenic Variants in : Concurrence of Pheochromocytoma and Ganglioneuroma in a Chinese Family and Literature Review.

Applications

Unspecified application

Species

Unspecified reactive species

Xiaoyan Chang,Zelin Li,Xiaosen Ma,Yunying Cui,Shuchun Chen,Anli Tong

Scientific reports 10:10391 PubMed32587329

2020

Decreased MYC-associated factor X (MAX) expression is a new potential biomarker for adverse prognosis in anaplastic large cell lymphoma.

Applications

Unspecified application

Species

Unspecified reactive species

Takahisa Yamashita,Morihiro Higashi,Shuji Momose,Akiko Adachi,Toshiki Watanabe,Yuka Tanaka,Michihide Tokuhira,Masahiro Kizaki,Jun-Ichi Tamaru

PloS one 12:e0173106 PubMed28249000

2017

Stabilization of HIF-1α and HIF-2α, up-regulation of MYCC and accumulation of stabilized p53 constitute hallmarks of CNS-PNET animal model.

Applications

IHC-P

Species

Human

Sergey Malchenko,Simone Treiger Sredni,Yingtao Bi,Naira V Margaryan,Jerusha Boyineni,Indra Mohanam,Tadanori Tomita,Ramana V Davuluri,Marcelo B Soares
View all publications

Product promise

We are committed to supporting your work with high-quality reagents, and we're here for you every step of the way. In the unlikely event that one of our products does not perform as expected, you're protected by our Product Promise.
For full details, please see our Terms & Conditions

Please note: All products are 'FOR RESEARCH USE ONLY. NOT FOR USE IN DIAGNOSTIC OR THERAPEUTIC PROCEDURES'.

For licensing inquiries, please contact partnerships@abcam.com