JavaScript is disabled in your browser. Please enable JavaScript to view this website.
AB192759

Anti-Maxi Potassium channel alpha/SLO antibody [L6/60]

Be the first to review this product! Submit a review

|

(4 Publications)

Mouse Monoclonal Maxi Potassium channel alpha/SLO antibody. Suitable for WB, IHC-P and reacts with Mouse, Rat, Human samples. Cited in 4 publications.

View Alternative Names

Kcnma, Calcium-activated potassium channel subunit alpha-1, BK channel, BKCA alpha, K(VCA)alpha, KCa1.1, Maxi K channel, Slo-alpha, Slo1, Slowpoke homolog, MaxiK, mSlo1, Slo homolog, mSlo

2 Images
Western blot - Anti-Maxi Potassium channel alpha/SLO antibody [L6/60] (AB192759)
  • WB

Lab

Western blot - Anti-Maxi Potassium channel alpha/SLO antibody [L6/60] (AB192759)

All lanes:

Western blot - Anti-Maxi Potassium channel alpha/SLO antibody [L6/60] (ab192759) at 5 µg/mL

Lane 1:

Human brain tissue lysate - total protein (<a href='/en-us/products/unavailable/human-brain-tissue-lysate-total-protein-ab29466'>ab29466</a>) at 20 µg

Lane 2:

Mouse brain tissue lysate at 20 µg

Lane 3:

Rat brain tissue lysate at 20 µg

Secondary

All lanes:

Western blot - Goat Anti-Mouse IgG H&L (HRP) preadsorbed (<a href='/en-us/products/secondary-antibodies/goat-mouse-igg-h-l-hrp-preadsorbed-ab97040'>ab97040</a>) at 1/50000 dilution

Predicted band size: 137 kDa

Observed band size: 110 kDa,28 kDa

true

Exposure time: 20min

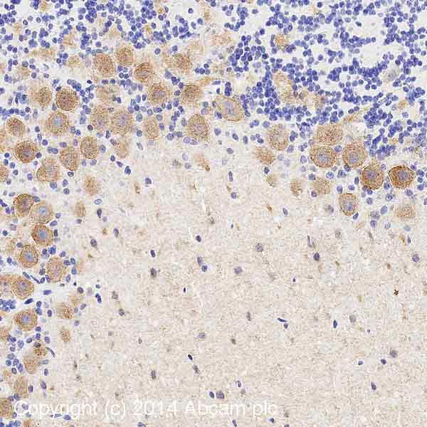
Immunohistochemistry (Formalin/PFA-fixed paraffin-embedded sections) - Anti-Maxi Potassium channel alpha/SLO antibody [L6/60] (AB192759)
  • IHC-P

Ap2133079****

Immunohistochemistry (Formalin/PFA-fixed paraffin-embedded sections) - Anti-Maxi Potassium channel alpha/SLO antibody [L6/60] (AB192759)

IHC image of Maxi Potassium channel alpha/SLO antibody [L6/60] staining in rat normal brain formalin fixed paraffin embedded tissue section, performed on a Leica Bond™ system using the standard protocol F. The section was pre-treated using heat mediated antigen retrieval with sodium citrate buffer (pH6, epitope retrieval solution 1) for 20 mins. The section was then incubated with ab192759, 5μg/ml, for 15 mins at room temperature and detected using an HRP conjugated compact polymer system. DAB was used as the chromogen. The section was then counterstained with haematoxylin and mounted with DPX.

For other IHC staining systems (automated and non-automated) customers should optimize variable parameters such as antigen retrieval conditions, primary antibody concentration and antibody incubation times.

Key facts

Host species

Mouse

Clonality

Monoclonal

Clone number

L6/60

Isotype

IgG2a

Light chain type

kappa

Carrier free

No

Reacts with

Mouse, Rat, Human

Applications

IHC-P, WB

applications

Immunogen

The exact immunogen used to generate this antibody is proprietary information.

Reactivity data

{ "title": "Reactivity Data", "filters": { "stats": ["", "Species", "Dilution Info", "Notes"], "tabs": { "all-applications": {"fullname" : "All Applications", "shortname": "All Applications"}, "WB" : {"fullname" : "Western blot", "shortname":"WB"}, "IHCP" : {"fullname" : "Immunohistochemistry (Formalin/PFA-fixed paraffin-embedded sections)", "shortname":"IHC-P"} }, "product-promise": { "all": "all", "testedAndGuaranteed": "tested", "guaranteed": "expected", "predicted": "predicted", "notRecommended": "not-recommended" } }, "values": { "Human": { "WB-species-checked": "guaranteed", "WB-species-dilution-info": "1.00000-5.00000 µg/mL", "WB-species-notes": "<p></p>", "IHCP-species-checked": "predicted", "IHCP-species-dilution-info": "", "IHCP-species-notes": "" }, "Mouse": { "WB-species-checked": "testedAndGuaranteed", "WB-species-dilution-info": "1.00000-5.00000 µg/mL", "WB-species-notes": "<p></p>", "IHCP-species-checked": "guaranteed", "IHCP-species-dilution-info": "5 µg/mL", "IHCP-species-notes": "<p></p>" }, "Rat": { "WB-species-checked": "testedAndGuaranteed", "WB-species-dilution-info": "1.00000-5.00000 µg/mL", "WB-species-notes": "<p></p>", "IHCP-species-checked": "testedAndGuaranteed", "IHCP-species-dilution-info": "5 µg/mL", "IHCP-species-notes": "<p></p> Perform heat-mediated antigen retrieval with citrate buffer pH 6 before commencing with IHC staining protocol." } } }

Product details

Want a custom formulation?
This antibody clone is manufactured by Abcam. If you require a custom buffer formulation or conjugation for your experiments, please contact orders@abcam.com

Properties and storage information

Form
Liquid
Purification technique
Affinity purification
Storage buffer
pH: 7.4 Preservative: 0.02% Sodium azide Constituents: PBS, 6.97% L-Arginine
Shipped at conditions
Blue Ice
Appropriate short-term storage duration
1-2 weeks
Appropriate short-term storage conditions
+4°C
Appropriate long-term storage conditions
-20°C

Product protocols

For this product, it's our understanding that no specific protocols are required. You can visit:

Target data

Potassium channel activated by both membrane depolarization or increase in cytosolic Ca(2+) that mediates export of K(+). It is also activated by the concentration of cytosolic Mg(2+). Its activation dampens the excitatory events that elevate the cytosolic Ca(2+) concentration and/or depolarize the cell membrane. It therefore contributes to repolarization of the membrane potential. Plays a key role in controlling excitability in a number of systems, such as regulation of the contraction of smooth muscle, the tuning of hair cells in the cochlea, regulation of transmitter release, and innate immunity. In smooth muscles, its activation by high level of Ca(2+), caused by ryanodine receptors in the sarcoplasmic reticulum, regulates the membrane potential. In cochlea cells, its number and kinetic properties partly determine the characteristic frequency of each hair cell and thereby helps to establish a tonotopic map. Kinetics of KCNMA1 channels are determined by alternative splicing, phosphorylation status and its combination with modulating beta subunits. Highly sensitive to both iberiotoxin (IbTx) and charybdotoxin (CTX).. Isoform 2. Potassium channel activated by both membrane depolarization or increase in cytosolic Ca(2+) that mediates export of K(+).. Isoform 3. Potassium channel activated by both membrane depolarization or increase in cytosolic Ca(2+) that mediates export of K(+).. Isoform 4. Potassium channel activated by both membrane depolarization or increase in cytosolic Ca(2+) that mediates export of K(+).
See full target information Kcnma1

Publications (4)

Recent publications for all applications. Explore the full list and refine your search

Neurogastroenterology and motility 33:e14052 PubMed33452855

2021

Alteration of sphingosine-1-phosphate with aging induces contractile dysfunction of colonic smooth muscle cells via Ca -activated K channel (BK ) upregulation.

Applications

Unspecified application

Species

Unspecified reactive species

Xiaoxue Shen,Ling Zhang,Ling Jiang,Wenjie Xiong,Yurong Tang,Lin Lin,Ting Yu

The Journal of general physiology 152: PubMed32275741

2020

Differential regulation of BK channels by fragile X mental retardation protein.

Applications

Unspecified application

Species

Unspecified reactive species

Aravind Kshatri,Alejandro Cerrada,Roger Gimeno,David Bartolomé-Martín,Patricio Rojas,Teresa Giraldez

Scientific reports 10:1038 PubMed31974459

2020

A lysosomal K channel regulates large particle phagocytosis by facilitating lysosome Ca release.

Applications

Unspecified application

Species

Unspecified reactive species

Xue Sun,Mengnan Xu,Qi Cao,Peng Huang,Xiaojuan Zhu,Xian-Ping Dong

The Journal of neuroscience : the official journal 38:3480-3494 PubMed29507146

2018

β-Secretase BACE1 Promotes Surface Expression and Function of Kv3.4 at Hippocampal Mossy Fiber Synapses.

Applications

Unspecified application

Species

Unspecified reactive species

Stephanie Hartmann,Fang Zheng,Michele C Kyncl,Sandra Karch,Kerstin Voelkl,Benedikt Zott,Carla D'Avanzo,Selene Lomoio,Giuseppina Tesco,Doo Y Kim,Christian Alzheimer,Tobias Huth
View all publications

Product promise

We are committed to supporting your work with high-quality reagents, and we're here for you every step of the way. In the unlikely event that one of our products does not perform as expected, you're protected by our Product Promise.
For full details, please see our Terms & Conditions

Associated Products

Select an associated product type
Alternative Product
Primary Antibodies

AB219072

Anti-Maxi Potassium channel alpha/SLO antibody

primary-antibodies

maxi-potassium-channel-alpha-slo-antibody-ab219072

0

(0 reviews)

Please note: All products are 'FOR RESEARCH USE ONLY. NOT FOR USE IN DIAGNOSTIC OR THERAPEUTIC PROCEDURES'.

For licensing inquiries, please contact partnerships@abcam.com