JavaScript is disabled in your browser. Please enable JavaScript to view this website.
AB85725

Anti-MAZ antibody

Be the first to review this product! Submit a review

|

(7 Publications)

Rabbit Polyclonal MAZ antibody. Suitable for IHC-P, IP, WB and reacts with Human samples. Cited in 7 publications. Immunogen corresponding to Synthetic Peptide within Human MAZ aa 400 to C-terminus.

View Alternative Names

ZNF801, MAZ, Myc-associated zinc finger protein, MAZI, Pur-1, Purine-binding transcription factor, Serum amyloid A-activating factor-1, Transcription factor Zif87, ZF87, Zinc finger protein 801, SAF-1

3 Images
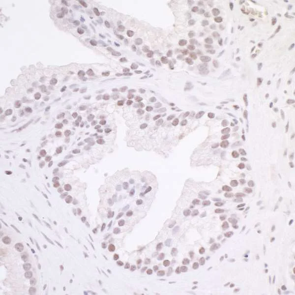
Immunohistochemistry (Formalin/PFA-fixed paraffin-embedded sections) - Anti-MAZ antibody (AB85725)
  • IHC-P

Supplier Data

Immunohistochemistry (Formalin/PFA-fixed paraffin-embedded sections) - Anti-MAZ antibody (AB85725)

Immunohistochemistry (Formalin/PFA-fixed paraffin-embedded sections) analysis of human prostate carcinoma tissue labelling MAZ with ab85725 at 1/1000 (1μg/mL). Detection : DAB.

Immunoprecipitation - Anti-MAZ antibody (AB85725)
  • IP

Unknown

Immunoprecipitation - Anti-MAZ antibody (AB85725)

Detection of Human MAZ by Immunoprecipitation in HeLa cell lysate (1 mg for IP, 20% of IP loaded) using ab85725 at 3 ug/mg lysate from HeLa cells (lane 1). Lane 2 is Control IgG IP. Subsequent WB detection was performed using 1 ug/ml ab85725. Detection : Chemiluminescence with exposure times of 30 seconds.

All lanes:

Immunoprecipitation - Anti-MAZ antibody (ab85725)

Predicted band size: 49 kDa

false

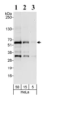
Western blot - Anti-MAZ antibody (AB85725)
  • WB

Unknown

Western blot - Anti-MAZ antibody (AB85725)

All lanes:

Western blot - Anti-MAZ antibody (ab85725) at 0.1 µg/mL

Lane 1:

HeLa cells lysate at 50 µg

Lane 2:

HeLa cells lysate at 15 µg

Lane 3:

HeLa cells lysate at 5 µg

Predicted band size: 49 kDa

Observed band size: 35 kDa,39 kDa,60 kDa

true

Exposure time: 30s

Key facts

Host species

Rabbit

Clonality

Polyclonal

Isotype

IgG

Carrier free

No

Reacts with

Human

Applications

WB, IP, IHC-P

applications

Immunogen

Synthetic Peptide within Human MAZ aa 400 to C-terminus. The exact immunogen used to generate this antibody is proprietary information.

P56270

Reactivity data

{ "title": "Reactivity Data", "filters": { "stats": ["", "Species", "Dilution Info", "Notes"], "tabs": { "all-applications": {"fullname" : "All Applications", "shortname": "All Applications"}, "IHCP" : {"fullname" : "Immunohistochemistry (Formalin/PFA-fixed paraffin-embedded sections)", "shortname":"IHC-P"}, "IP" : {"fullname" : "Immunoprecipitation", "shortname":"IP"}, "WB" : {"fullname" : "Western blot", "shortname":"WB"} }, "product-promise": { "all": "all", "testedAndGuaranteed": "tested", "guaranteed": "expected", "predicted": "predicted", "notRecommended": "not-recommended" } }, "values": { "Human": { "IHCP-species-checked": "testedAndGuaranteed", "IHCP-species-dilution-info": "1/500 - 1/2000", "IHCP-species-notes": "<p></p> Perform heat-mediated antigen retrieval with citrate buffer pH 6 before commencing with IHC staining protocol.", "IP-species-checked": "testedAndGuaranteed", "IP-species-dilution-info": "2-5 µg/mg of lysate", "IP-species-notes": "<p></p>", "WB-species-checked": "testedAndGuaranteed", "WB-species-dilution-info": "1/2000 - 1/10000", "WB-species-notes": "<p></p>" }, "Mouse": { "IHCP-species-checked": "predicted", "IHCP-species-dilution-info": "", "IHCP-species-notes": "", "IP-species-checked": "predicted", "IP-species-dilution-info": "", "IP-species-notes": "", "WB-species-checked": "predicted", "WB-species-dilution-info": "", "WB-species-notes": "" }, "Rat": { "IHCP-species-checked": "predicted", "IHCP-species-dilution-info": "", "IHCP-species-notes": "", "IP-species-checked": "predicted", "IP-species-dilution-info": "", "IP-species-notes": "", "WB-species-checked": "predicted", "WB-species-dilution-info": "", "WB-species-notes": "" }, "Chimpanzee": { "IHCP-species-checked": "predicted", "IHCP-species-dilution-info": "", "IHCP-species-notes": "", "IP-species-checked": "predicted", "IP-species-dilution-info": "", "IP-species-notes": "", "WB-species-checked": "predicted", "WB-species-dilution-info": "", "WB-species-notes": "" }, "Chinese hamster": { "IHCP-species-checked": "predicted", "IHCP-species-dilution-info": "", "IHCP-species-notes": "", "IP-species-checked": "predicted", "IP-species-dilution-info": "", "IP-species-notes": "", "WB-species-checked": "predicted", "WB-species-dilution-info": "", "WB-species-notes": "" }, "Guinea pig": { "IHCP-species-checked": "predicted", "IHCP-species-dilution-info": "", "IHCP-species-notes": "", "IP-species-checked": "predicted", "IP-species-dilution-info": "", "IP-species-notes": "", "WB-species-checked": "predicted", "WB-species-dilution-info": "", "WB-species-notes": "" }, "Horse": { "IHCP-species-checked": "predicted", "IHCP-species-dilution-info": "", "IHCP-species-notes": "", "IP-species-checked": "predicted", "IP-species-dilution-info": "", "IP-species-notes": "", "WB-species-checked": "predicted", "WB-species-dilution-info": "", "WB-species-notes": "" }, "Pig": { "IHCP-species-checked": "predicted", "IHCP-species-dilution-info": "", "IHCP-species-notes": "", "IP-species-checked": "predicted", "IP-species-dilution-info": "", "IP-species-notes": "", "WB-species-checked": "predicted", "WB-species-dilution-info": "", "WB-species-notes": "" }, "Rabbit": { "IHCP-species-checked": "predicted", "IHCP-species-dilution-info": "", "IHCP-species-notes": "", "IP-species-checked": "predicted", "IP-species-dilution-info": "", "IP-species-notes": "", "WB-species-checked": "predicted", "WB-species-dilution-info": "", "WB-species-notes": "" }, "Rhesus monkey": { "IHCP-species-checked": "predicted", "IHCP-species-dilution-info": "", "IHCP-species-notes": "", "IP-species-checked": "predicted", "IP-species-dilution-info": "", "IP-species-notes": "", "WB-species-checked": "predicted", "WB-species-dilution-info": "", "WB-species-notes": "" } } }

Properties and storage information

Form
Liquid
Purification technique
Affinity purification Immunogen
Storage buffer
pH: 7 - 8 Preservative: 0.09% Sodium azide Constituents: Tris buffered saline, 0.1% BSA
Shipped at conditions
Blue Ice
Appropriate short-term storage conditions
+4°C
Appropriate long-term storage conditions
+4°C
Aliquoting information
Upon delivery aliquot
Storage information
Avoid freeze / thaw cycle|Do Not Freeze

Supplementary information

This supplementary information is collated from multiple sources and compiled automatically.

The MAZ protein also known as Myc-associated zinc finger protein or Pur-1 has a mass of about 49 kDa. This protein is a transcription factor and contains zinc-finger motifs that enable it to bind to specific DNA sequences influencing gene expression. MAZ is expressed in various tissues including the brain and the heart and plays a significant role in regulating various physiological processes. Researchers often study MAZ for its involvement in cellular proliferation and differentiation.
Biological function summary

MAZ influences the transcription of genes involved in cell growth and division. It does not function as part of a larger complex but acts by binding directly to DNA influencing the transcription machinery. Its activity is critical in controlling genes linked to cell cycle progression and apoptosis. Its regulatory functions help maintain normal cellular function and tissue homeostasis.

Pathways

MAZ is integral to the regulation of the MAPK and Wnt signaling pathways. The protein interacts with other signaling molecules in these pathways to modulate gene expression linked to cell proliferation and differentiation. Additionally MAZ has associations with the MYC oncogene highlighting its involvement in pathways related to cellular growth and cancer development.

Researchers find a relationship between MAZ and cancer especially glioblastoma and colorectal cancer. The protein's overexpression can contribute to oncogenic transformation and tumor progression. MAZ also connects with other proteins such as MYC in these disorders highlighting its important role in cancer-related pathways. Understanding the role of MAZ in these diseases could provide insights into therapeutic targets for limiting tumor growth.

Product protocols

For this product, it's our understanding that no specific protocols are required. You can visit:

Target data

Transcriptional regulator, potentially with dual roles in transcription initiation and termination.. Isoform 1. Binds DNA and functions as a transcriptional activator (PubMed : 12270922). Binds to two G/A-rich sites, ME1a1 and ME1a2, within the MYC promoter having greater affinity for the former (PubMed : 1502157). Also binds to multiple G/C-rich sites within the promoter of the Sp1 family of transcription factors (PubMed : 1502157).. Isoform 2. Binds DNA and functions as a transcriptional activator (PubMed : 12270922). Inhibits MAZ isoform 1-mediated transcription (PubMed : 12270922).. Isoform 3. Binds DNA and functions as a transcriptional activator.
See full target information MAZ

Publications (7)

Recent publications for all applications. Explore the full list and refine your search

Journal of translational medicine 23:265 PubMed40038747

2025

MAZ-mediated N6-methyladenosine modification of ZEB1 promotes hepatocellular carcinoma progression by regulating METTL3.

Applications

Unspecified application

Species

Unspecified reactive species

Di Li,Li Xu,Ruyuan Liu,Zhaonv Yao,Chuanjun Zheng,Song Jin,Xuefeng Guo,Zhengbao Zhang,Shengkui Tan,Xiaonian Zhu

Molecular cell 84:3406-3422.e6 PubMed39173638

2024

Members of an array of zinc-finger proteins specify distinct Hox chromatin boundaries.

Applications

Unspecified application

Species

Unspecified reactive species

Havva Ortabozkoyun,Pin-Yao Huang,Edgar Gonzalez-Buendia,Hyein Cho,Sang Y Kim,Aristotelis Tsirigos,Esteban O Mazzoni,Danny Reinberg

Genome biology 25:40 PubMed38297316

2024

BORIS/CTCFL epigenetically reprograms clustered CTCF binding sites into alternative transcriptional start sites.

Applications

Unspecified application

Species

Unspecified reactive species

Elena M Pugacheva,Dharmendra Nath Bhatt,Samuel Rivero-Hinojosa,Md Tajmul,Liron Fedida,Emma Price,Yon Ji,Dmitri Loukinov,Alexander V Strunnikov,Bing Ren,Victor V Lobanenkov

Immunity, inflammation and disease 11:e796 PubMed36988258

2023

TBK1 promotes thyroid cancer progress by activating the PI3K/Akt/mTOR signaling pathway.

Applications

Unspecified application

Species

Unspecified reactive species

Qiuli Jiang,Yingying Guan,Jingmei Zheng,Huadong Lu

Frontiers in oncology 11:766790 PubMed34976812

2021

SIPL1, Regulated by MAZ, Promotes Tumor Progression and Predicts Poor Survival in Human Triple-Negative Breast Cancer.

Applications

Unspecified application

Species

Unspecified reactive species

Juanjuan He,Jing Wang,Teng Li,Kunlun Chen,Songchao Li,Shaojin Zhang

EMBO molecular medicine 11:e10835 PubMed31709724

2019

Therapeutic targeting of circ-CUX1/EWSR1/MAZ axis inhibits glycolysis and neuroblastoma progression.

Applications

Unspecified application

Species

Unspecified reactive species

Huanhuan Li,Feng Yang,Anpei Hu,Xiaojing Wang,Erhu Fang,Yajun Chen,Dan Li,Huajie Song,Jianqun Wang,Yanhua Guo,Yang Liu,Hongjun Li,Kai Huang,Liduan Zheng,Qiangsong Tong

Molecular cancer research : MCR 11:161-72 PubMed23239811

2012

MYC-induced epigenetic activation of GATA4 in lung adenocarcinoma.

Applications

Unspecified application

Species

Human

Inês C Castro,Achim Breiling,Katharina Luetkenhaus,Fatih Ceteci,Simone Hausmann,Sebastian Kress,Frank Lyko,Thomas Rudel,Ulf R Rapp
View all publications

Product promise

We are committed to supporting your work with high-quality reagents, and we're here for you every step of the way. In the unlikely event that one of our products does not perform as expected, you're protected by our Product Promise.
For full details, please see our Terms & Conditions

Please note: All products are 'FOR RESEARCH USE ONLY. NOT FOR USE IN DIAGNOSTIC OR THERAPEUTIC PROCEDURES'.

For licensing inquiries, please contact partnerships@abcam.com