JavaScript is disabled in your browser. Please enable JavaScript to view this website.
AB91458

Anti-MBD3 antibody

1

(1 Review)

|

(4 Publications)

Rabbit Polyclonal MBD3 antibody. Suitable for IHC-P, IP, WB and reacts with Human samples. Cited in 4 publications. Immunogen corresponding to Synthetic Peptide within Human MBD3 aa 250 to C-terminus.

View Alternative Names

Methyl-CpG-binding domain protein 3, Methyl-CpG-binding protein MBD3, MBD3

3 Images
Western blot - Anti-MBD3 antibody (AB91458)
  • WB

Unknown

Western blot - Anti-MBD3 antibody (AB91458)

All lanes:

Western blot - Anti-MBD3 antibody (ab91458) at 0.1 µg/mL

Lane 1:

HeLa cell lysate at 50 µg

Lane 2:

HeLa cell lysate at 15 µg

Lane 3:

HeLa cell lysate at 5 µg

Lane 4:

293T cell lysate at 50 µg

Predicted band size: 33 kDa

true

Exposure time: 30s

Immunoprecipitation - Anti-MBD3 antibody (AB91458)
  • IP

Unknown

Immunoprecipitation - Anti-MBD3 antibody (AB91458)

SSA1 was immunoprecipitated from 1mg HeLa whole cell lysate using 10μg ab91458.
20% of the immunoprecipitate was loaded per lane, and probed with ab91458 at 1μg/ml (lane 1) or a control IgG (lane2).
Detection : chemoluminescence with an exposure time of 10 seconds.

All lanes:

Immunoprecipitation - Anti-MBD3 antibody (ab91458)

Predicted band size: 33 kDa

false

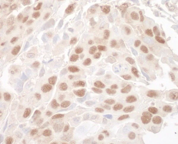
Immunohistochemistry (Formalin/PFA-fixed paraffin-embedded sections) - Anti-MBD3 antibody (AB91458)
  • IHC-P

Unknown

Immunohistochemistry (Formalin/PFA-fixed paraffin-embedded sections) - Anti-MBD3 antibody (AB91458)

Immunohistochemistry (Formalin/PFA-fixed paraffin-embedded sections) analysis of human breast carcinoma tissue labelling MBD3 with ab91458 at 1/1000 (1µg/ml). Detection : DAB.

Key facts

Host species

Rabbit

Clonality

Polyclonal

Isotype

IgG

Carrier free

No

Reacts with

Human

Applications

IP, WB, IHC-P

applications

Immunogen

Synthetic Peptide within Human MBD3 aa 250 to C-terminus. The exact immunogen used to generate this antibody is proprietary information.

O95983

Reactivity data

{ "title": "Reactivity Data", "filters": { "stats": ["", "Species", "Dilution Info", "Notes"], "tabs": { "all-applications": {"fullname" : "All Applications", "shortname": "All Applications"}, "IHCP" : {"fullname" : "Immunohistochemistry (Formalin/PFA-fixed paraffin-embedded sections)", "shortname":"IHC-P"}, "IP" : {"fullname" : "Immunoprecipitation", "shortname":"IP"}, "WB" : {"fullname" : "Western blot", "shortname":"WB"} }, "product-promise": { "all": "all", "testedAndGuaranteed": "tested", "guaranteed": "expected", "predicted": "predicted", "notRecommended": "not-recommended" } }, "values": { "Human": { "IHCP-species-checked": "testedAndGuaranteed", "IHCP-species-dilution-info": "1/500 - 1/2000", "IHCP-species-notes": "<p></p> Perform heat-mediated antigen retrieval with citrate buffer pH 6 before commencing with IHC staining protocol.", "IP-species-checked": "testedAndGuaranteed", "IP-species-dilution-info": "2-10 µg/mg of lysate", "IP-species-notes": "<p></p>", "WB-species-checked": "testedAndGuaranteed", "WB-species-dilution-info": "1/2000 - 1/10000", "WB-species-notes": "<p></p>" }, "Mouse": { "IHCP-species-checked": "notRecommended", "IHCP-species-dilution-info": "", "IHCP-species-notes": "<p></p>", "IP-species-checked": "notRecommended", "IP-species-dilution-info": "2-10 µg/mg of lysate", "IP-species-notes": "<p></p>", "WB-species-checked": "notRecommended", "WB-species-dilution-info": "", "WB-species-notes": "<p></p>" }, "Chimpanzee": { "IHCP-species-checked": "notRecommended", "IHCP-species-dilution-info": "", "IHCP-species-notes": "", "IP-species-checked": "notRecommended", "IP-species-dilution-info": "", "IP-species-notes": "", "WB-species-checked": "notRecommended", "WB-species-dilution-info": "", "WB-species-notes": "" }, "Gorilla": { "IHCP-species-checked": "notRecommended", "IHCP-species-dilution-info": "", "IHCP-species-notes": "", "IP-species-checked": "notRecommended", "IP-species-dilution-info": "", "IP-species-notes": "", "WB-species-checked": "notRecommended", "WB-species-dilution-info": "", "WB-species-notes": "" }, "Orangutan": { "IHCP-species-checked": "notRecommended", "IHCP-species-dilution-info": "", "IHCP-species-notes": "", "IP-species-checked": "notRecommended", "IP-species-dilution-info": "", "IP-species-notes": "", "WB-species-checked": "notRecommended", "WB-species-dilution-info": "", "WB-species-notes": "" }, "Rhesus monkey": { "IHCP-species-checked": "notRecommended", "IHCP-species-dilution-info": "", "IHCP-species-notes": "", "IP-species-checked": "notRecommended", "IP-species-dilution-info": "", "IP-species-notes": "", "WB-species-checked": "notRecommended", "WB-species-dilution-info": "", "WB-species-notes": "" } } }

Properties and storage information

Form
Liquid
Purification technique
Affinity purification Immunogen
Storage buffer
pH: 7 - 8 Preservative: 0.09% Sodium azide Constituents: Tris citrate/phosphate
Shipped at conditions
Blue Ice
Appropriate short-term storage conditions
+4°C
Appropriate long-term storage conditions
-20°C
Aliquoting information
Upon delivery aliquot
Storage information
Avoid freeze / thaw cycle

Supplementary information

This supplementary information is collated from multiple sources and compiled automatically.

The MBD3 protein also known as Methyl-CpG-binding domain protein 3 functions mechanically by binding to methylated DNA which is an essential step in regulating gene expression. It has a molecular mass of approximately 32 kDa. MBD3 is ubiquitously expressed in various tissues demonstrating its role in fundamental cellular processes. The protein does not function alone and often interacts with other proteins as part of gene repression mechanisms.
Biological function summary

The activity of MBD3 impacts chromatin remodeling and gene expression regulation. MBD3 operates as a core component of the nucleosome remodeling deacetylase (NuRD) complex a multi-protein assembly important for transcriptional repression and chromatin structure modification. Its interaction within this complex helps modulate gene expression by altering the accessibility of chromatin and recruiting other modifiers for further regulation.

Pathways

MBD3 plays a significant role in key signaling and epigenetic pathways. It engages in pathways related to chromatin modification and transcription regulation. Its role in the NuRD complex underlines its participation in transcriptional regulation pathways impacting proteins such as HDAC1 and GATA2 which contribute to modifying histone acetylation and influencing gene transcription processes.

Changes in MBD3 expression or function have links to cancer and neurodevelopmental disorders. MBD3 dysregulation associates with tumorigenesis due to its role in maintaining proper gene silencing and expression. Additionally impairment in MBD3 function can relate to intellectual disabilities and developmental delays potentially due to its interaction with epigenetic regulators like MeCP2.

Product protocols

For this product, it's our understanding that no specific protocols are required. You can visit:

Target data

Acts as a component of the histone deacetylase NuRD complex which participates in the remodeling of chromatin (PubMed : 12124384, PubMed : 16428440, PubMed : 28977666). Acts as transcriptional repressor and plays a role in gene silencing (PubMed : 10947852, PubMed : 18644863). Does not bind to methylated DNA by itself (PubMed : 12124384, PubMed : 16428440). Binds to a lesser degree DNA containing unmethylated CpG dinucleotides (PubMed : 24307175). Recruits histone deacetylases and DNA methyltransferases.
See full target information MBD3

Publications (4)

Recent publications for all applications. Explore the full list and refine your search

Cancers 13: PubMed34359703

2021

Functional Analysis of Non-Genetic Resistance to Platinum in Epithelial Ovarian Cancer Reveals a Role for the MBD3-NuRD Complex in Resistance Development.

Applications

Unspecified application

Species

Unspecified reactive species

Tabea L Bauer,Katrin Collmar,Till Kaltofen,Ann-Katrin Loeffler,Lorena Decker,Jan Mueller,Sabine Pinter,Stephan A Eisler,Sven Mahner,Patricia Fraungruber,Stefan Kommoss,Annette Staebler,Lewis Francis,R Steven Conlan,Johannes Zuber,Udo Jeschke,Fabian Trillsch,Philipp Rathert

The Journal of experimental medicine 217: PubMed32181805

2020

Glioma stem-like cells evade interferon suppression through MBD3/NuRD complex-mediated STAT1 downregulation.

Applications

Unspecified application

Species

Unspecified reactive species

Xiaoyan Zhan,Saisai Guo,Yuanyuan Li,Haowen Ran,Haohao Huang,Lanjuan Mi,Jin Wu,Xinzheng Wang,Dake Xiao,Lishu Chen,Da Li,Songyang Zhang,Xu Yan,Yu Yu,Tingting Li,Qiuying Han,Kun He,Jiuwei Cui,Tao Li,Tao Zhou,Jeremy N Rich,Shideng Bao,Xuemin Zhang,Ailing Li,Jianghong Man

Genomics data 7:173-4 PubMed26981404

2016

High-quality ChIP-seq analysis of MBD3 in human breast cancer cells.

Applications

ChIP

Species

Unspecified reactive species

Takashi Shimbo,Motoki Takaku,Paul A Wade

PLoS genetics 9:e1004028 PubMed24385926

2013

MBD3 localizes at promoters, gene bodies and enhancers of active genes.

Applications

ChIP

Species

Human

Takashi Shimbo,Ying Du,Sara A Grimm,Archana Dhasarathy,Deepak Mav,Ruchir R Shah,Huidong Shi,Paul A Wade
View all publications

Product promise

We are committed to supporting your work with high-quality reagents, and we're here for you every step of the way. In the unlikely event that one of our products does not perform as expected, you're protected by our Product Promise.
For full details, please see our Terms & Conditions

Associated Products

Select an associated product type
Alternative Product
Primary Antibodies

AB157464

Anti-MBD3 antibody [EPR9913] - ChIP Grade

primary-antibodies

mbd3-antibody-epr9913-chip-grade-ab157464

5

(9 reviews)

Alternative Product
Primary Antibodies

AB240144

Anti-MBD3 antibody [EPR9913] - BSA and Azide free

primary-antibodies

mbd3-antibody-epr9913-bsa-and-azide-free-ab240144

0

(0 reviews)

Alternative Product
Primary Antibodies

AB197858

Alexa Fluor® 488 Anti-MBD3 antibody [EPR9913]

primary-antibodies

alexa-fluor-488-mbd3-antibody-epr9913-ab197858

0

(0 reviews)

Alternative Product
Primary Antibodies

AB188401

Anti-MBD3 antibody [EPR18258]

primary-antibodies

mbd3-antibody-epr18258-ab188401

0

(0 reviews)

Please note: All products are 'FOR RESEARCH USE ONLY. NOT FOR USE IN DIAGNOSTIC OR THERAPEUTIC PROCEDURES'.

For licensing inquiries, please contact partnerships@abcam.com