JavaScript is disabled in your browser. Please enable JavaScript to view this website.
AB250961

Anti-MBD3 antibody [EPR18258] - BSA and Azide free

  • BOND RX™ Validated
  • RabMAb
  • Recombinant
  • KO Validated
  • What is this?

Be the first to review this product! Submit a review

|

(0 Publication)

Rabbit Recombinant Monoclonal MBD3 antibody. Carrier free. Suitable for WB, ICC/IF, IHC-P and reacts with Mouse, Rat, Human samples.

View Alternative Names

Methyl-CpG-binding domain protein 3, Methyl-CpG-binding protein MBD3, MBD3

9 Images
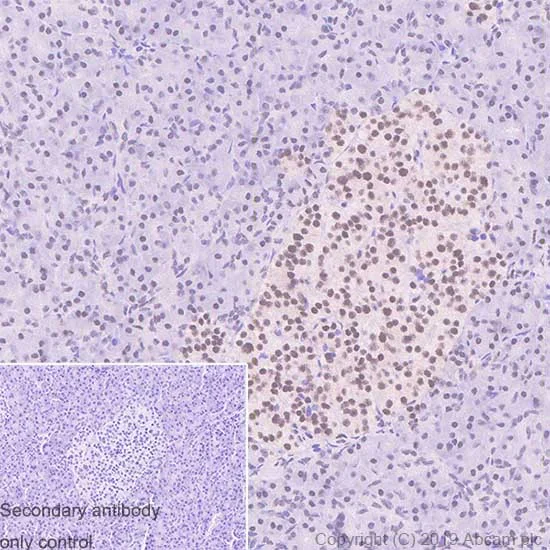
Immunohistochemistry (Formalin/PFA-fixed paraffin-embedded sections) - Anti-MBD3 antibody [EPR18258] - BSA and Azide free (AB250961)
  • IHC-P

Supplier Data

Immunohistochemistry (Formalin/PFA-fixed paraffin-embedded sections) - Anti-MBD3 antibody [EPR18258] - BSA and Azide free (AB250961)

This data was developed using ab188401, the same antibody clone in a different buffer formulation.

Immunohistochemical analysis of paraffin-embedded Human stomach tissue labeling MBD3 with ab188401 at 1/200 dilution (6.17 μg/ml) followed by a ready to use Rabbit specific IHC polymer detection kit HRP/DAB (ab209101). Nuclear staining on the human stomach. The section was incubated with ab188401 for 15 mins at room temperature. The immunostaining was performed on a Leica Biosystems BOND® RX instrument. Counterstained with Hematoxylin. Heat mediated antigen retrieval with Tris-EDTA buffer (pH 9.0, epitope retrieval solution 2) for 20 mins.

Secondary antibody only control : Used PBS instead of primary antibody, secondary antibody is a ready to use Rabbit specific IHC polymer detection kit HRP/DAB (ab209101).

Immunohistochemistry (Formalin/PFA-fixed paraffin-embedded sections) - Anti-MBD3 antibody [EPR18258] - BSA and Azide free (AB250961)
  • IHC-P

Supplier Data

Immunohistochemistry (Formalin/PFA-fixed paraffin-embedded sections) - Anti-MBD3 antibody [EPR18258] - BSA and Azide free (AB250961)

This data was developed using ab188401, the same antibody clone in a different buffer formulation.

Immunohistochemical analysis of paraffin-embedded Human pancreas tissue labeling MBD3 with ab188401 at 1/200 dilution (6.17 μg/ml) followed by a ready to use Rabbit specific IHC polymer detection kit HRP/DAB (ab209101). Nuclear staining on the human pancreas (PMID : 27898661). The section was incubated with ab188401 for 15 mins at room temperature. The immunostaining was performed on a Leica Biosystems BOND® RX instrument. Counterstained with Hematoxylin. Heat mediated antigen retrieval with Tris-EDTA buffer (pH 9.0, epitope retrieval solution 2) for 20 mins.

Secondary antibody only control : Used PBS instead of primary antibody, secondary antibody is a ready to use Rabbit specific IHC polymer detection kit HRP/DAB (ab209101).

Western blot - Anti-MBD3 antibody [EPR18258] - BSA and Azide free (AB250961)
  • WB

Supplier Data

Western blot - Anti-MBD3 antibody [EPR18258] - BSA and Azide free (AB250961)

This data was developed using ab188401, the same antibody clone in a different buffer formulation.

Blocking and dilution buffer : 5% NFDM/TBST.

The 33 and 29 kDa bands correspond to Isoforms 1 and 2.

All lanes:

Western blot - Anti-MBD3 antibody [EPR18258] (<a href='/en-us/products/primary-antibodies/mbd3-antibody-epr18258-ab188401'>ab188401</a>) at 1/2000 dilution

Lane 1:

C6 (Rat glial tumor cells) whole cell lysate at 10 µg

Lane 2:

RAW 264.7 (Mouse macrophage cells transformed with Abelson murine leukemia virus) whole cell lysate at 10 µg

Lane 3:

PC-12 (Rat adrenal gland pheochromocytoma) whole cell lysate at 10 µg

Lane 4:

NIH/3T3 (Mouse embyro fibroblast cells) whole cell lysate at 10 µg

Secondary

All lanes:

Goat Anti-Rabbit IgG, (H+L), Peroxidase conjugated at 1/1000 dilution

Predicted band size: 33 kDa

Observed band size: 29 kDa,33 kDa

false

Exposure time: 15s

Immunocytochemistry/ Immunofluorescence - Anti-MBD3 antibody [EPR18258] - BSA and Azide free (AB250961)
  • ICC/IF

Lab

Immunocytochemistry/ Immunofluorescence - Anti-MBD3 antibody [EPR18258] - BSA and Azide free (AB250961)

This data was developed using ab188401, the same antibody clone in a different buffer formulation.

Immunofluorescent analysis of 4% paraformaldehyde-fixed, 0.1% Triton X-100 permeabilized NIH/3T3 (Mouse embyro fibroblast cells) cells labeling MBD3 with ab188401 at 1/500 dilution, followed by Goat anti-rabbit IgG (Alexa Fluor® 488) (ab150077) secondary antibody at 1/1000 dilution (green). Confocal image showing nuclear staining on NIH/3T3 cell line. The nuclear counter stain is DAPI (blue). Tubulin is detected with ab7291 (anti-Tubulin mouse mAb) at 1/1000 dilution and ab150120 (AlexaFluor®594 Goat anti-Mouse secondary) at 1/1000 dilution (red).

The negative controls are as follows :
-ve control 1 : ab188401 at 1/500 dilution followed by ab150120 (AlexaFluor®594 Goat anti-Mouse secondary) at 1/1000 dilution.
-ve control 2 : ab7291 (anti-Tubulin mouse mAb) at 1/1000 dilution followed by ab150077 (Alexa Fluor®488 Goat Anti-Rabbit IgG H&L) at 1/1000 dilution.

Immunocytochemistry/ Immunofluorescence - Anti-MBD3 antibody [EPR18258] - BSA and Azide free (AB250961)
  • ICC/IF

Lab

Immunocytochemistry/ Immunofluorescence - Anti-MBD3 antibody [EPR18258] - BSA and Azide free (AB250961)

This data was developed using ab188401, the same antibody clone in a different buffer formulation.

Immunofluorescent analysis of 4% paraformaldehyde-fixed, 0.1% Triton X-100 permeabilized HeLa (Human epithelial cells from cervix adenocarcinoma) cells labeling MBD3 with ab188401 at 1/500 dilution, followed by Goat anti-rabbit IgG (Alexa Fluor® 488) (ab150077) secondary antibody at 1/1000 dilution (green). Confocal image showing nuclear staining on HeLa cell line. The nuclear counter stain is DAPI (blue). Tubulin is detected with ab7291 (anti-Tubulin mouse mAb) at 1/1000 dilution and ab150120 (AlexaFluor®594 Goat anti-Mouse secondary) at 1/1000 dilution (red).

The negative controls are as follows :
-ve control 1 : ab188401 at 1/500 dilution followed by ab150120 (AlexaFluor®594 Goat anti-Mouse secondary) at 1/1000 dilution.
-ve control 2 : ab7291 (anti-Tubulin mouse mAb) at 1/1000 dilution followed by ab150077 (Alexa Fluor®488 Goat Anti-Rabbit IgG H&L) at 1/1000 dilution.

Western blot - Anti-MBD3 antibody [EPR18258] - BSA and Azide free (AB250961)
  • WB

Lab

Western blot - Anti-MBD3 antibody [EPR18258] - BSA and Azide free (AB250961)

This data was developed using ab188401, the same antibody clone in a different buffer formulation.

Lane 1 : Wild-type HAP1 cell lysate (20 μg)

Lane 2 : MBD3 knockout HAP1 cell lysate (20 μg)

Lane 3 : HeLa cell lysate (20 μg)

Lane 4 : F9 cell lysate (20 μg)

Lanes 1 - 4 : Merged signal (red and green). Green - ab188401 observed at 33 kDa. Red - loading control, ab8245, observed at 37 kDa.

ab188401 was shown to specifically react with MBD3 when MBD3 knockout samples were used. Wild-type and MBD3 knockout samples were subjected to SDS-PAGE. ab188401 and ab8245 (loading control to GAPDH) were diluted 1/5000 and 1/10000 and incubated respectively overnight at 4°C. Blots were developed with Goat anti-Rabbit IgG H&L (IRDye® 800CW) preadsorbed (ab216773) and Goat anti-Mouse IgG H&L (IRDye® 680RD) preadsorbed (ab216776) secondary antibodies at 1/10000 dilution for 1 hour at room temperature before imaging.

All lanes:

Western blot - Anti-MBD3 antibody [EPR18258] (<a href='/en-us/products/primary-antibodies/mbd3-antibody-epr18258-ab188401'>ab188401</a>)

Predicted band size: 33 kDa

false

Western blot - Anti-MBD3 antibody [EPR18258] - BSA and Azide free (AB250961)
  • WB

Supplier Data

Western blot - Anti-MBD3 antibody [EPR18258] - BSA and Azide free (AB250961)

This data was developed using ab188401, the same antibody clone in a different buffer formulation.

Blocking and dilution buffer : 5% NFDM/TBST.

The 33 and 29 kDa bands correspond to Isoforms 1 and 2.

All lanes:

Western blot - Anti-MBD3 antibody [EPR18258] (<a href='/en-us/products/primary-antibodies/mbd3-antibody-epr18258-ab188401'>ab188401</a>) at 1/2000 dilution

All lanes:

Mouse spleen tissue lysate at 10 µg

Secondary

All lanes:

Goat Anti-Rabbit IgG, (H+L), Peroxidase conjugated at 1/1000 dilution

Predicted band size: 33 kDa

Observed band size: 29 kDa,33 kDa

false

Exposure time: 3min

Western blot - Anti-MBD3 antibody [EPR18258] - BSA and Azide free (AB250961)
  • WB

Supplier Data

Western blot - Anti-MBD3 antibody [EPR18258] - BSA and Azide free (AB250961)

This data was developed using ab188401, the same antibody clone in a different buffer formulation.

Blocking and dilution buffer : 5% NFDM/TBST.

The 33 and 29 kDa bands correspond to Isoforms 1 and 2.

All lanes:

Western blot - Anti-MBD3 antibody [EPR18258] (<a href='/en-us/products/primary-antibodies/mbd3-antibody-epr18258-ab188401'>ab188401</a>) at 1/5000 dilution

Lane 1:

HeLa (Human epithelial cells from cervix adenocarcinoma) whole cell lysate at 10 µg

Lane 2:

293 (Human epithelial cells from embryonic kidney) whole cell lysate at 10 µg

Lane 3:

F9 (Mouse embyro testicular cancer cell line) whole cell lysate at 10 µg

Lane 4:

WEHI-3 (Mouse leukemia cell line) whole cell lysate at 10 µg

Lane 5:

T-47D (Human ductal breast epithelial tumor cell line) whole cell lysate at 10 µg

Lane 6:

HepG2 (Human liver hepatocellular carcinoma) whole cell lysate at 10 µg

Secondary

All lanes:

Goat Anti-Rabbit IgG, (H+L), Peroxidase conjugated at 1/1000 dilution

Predicted band size: 33 kDa

Observed band size: 29 kDa,33 kDa

false

Exposure time: 1min

Western blot - Anti-MBD3 antibody [EPR18258] - BSA and Azide free (AB250961)
  • WB

Supplier Data

Western blot - Anti-MBD3 antibody [EPR18258] - BSA and Azide free (AB250961)

This data was developed using ab188401, the same antibody clone in a different buffer formulation.

Blocking and dilution buffer : 5% NFDM/TBST.

All lanes:

Western blot - Anti-MBD3 antibody [EPR18258] (<a href='/en-us/products/primary-antibodies/mbd3-antibody-epr18258-ab188401'>ab188401</a>) at 1/2000 dilution

All lanes:

Human fetal kidney tissue lysate at 10 µg

Secondary

All lanes:

Anti-Rabbit IgG (HRP), specific to the non-reduced form of IgG at 1/1000 dilution

Predicted band size: 33 kDa

Observed band size: 29 kDa,33 kDa

false

Exposure time: 3min

Key facts

Host species

Rabbit

Clonality

Monoclonal

Clone number

EPR18258

Isotype

IgG

Carrier free

Yes

Reacts with

Mouse, Rat, Human

Applications

ICC/IF, IHC-P, WB

applications

Immunogen

The exact immunogen used to generate this antibody is proprietary information.

Specificity

This antibody detects a doublet by western blot, which we believe corresponds to isoforms 1 and 2 of MBD3.
This product is only recommended for human IHC but not for mouse or rat.

Reactivity data

{ "title": "Reactivity Data", "filters": { "stats": ["", "Species", "Dilution Info", "Notes"], "tabs": { "all-applications": {"fullname" : "All Applications", "shortname": "All Applications"}, "WB" : {"fullname" : "Western blot", "shortname":"WB"}, "ICCIF" : {"fullname" : "Immunocytochemistry/ Immunofluorescence", "shortname":"ICC/IF"}, "IHCP" : {"fullname" : "Immunohistochemistry (Formalin/PFA-fixed paraffin-embedded sections)", "shortname":"IHC-P"} }, "product-promise": { "all": "all", "testedAndGuaranteed": "tested", "guaranteed": "expected", "predicted": "predicted", "notRecommended": "not-recommended" } }, "values": { "Human": { "WB-species-checked": "testedAndGuaranteed", "WB-species-dilution-info": "", "WB-species-notes": "<p></p>", "ICCIF-species-checked": "testedAndGuaranteed", "ICCIF-species-dilution-info": "", "ICCIF-species-notes": "<p></p>", "IHCP-species-checked": "testedAndGuaranteed", "IHCP-species-dilution-info": "", "IHCP-species-notes": "<p></p>" }, "Mouse": { "WB-species-checked": "testedAndGuaranteed", "WB-species-dilution-info": "", "WB-species-notes": "<p></p>", "ICCIF-species-checked": "testedAndGuaranteed", "ICCIF-species-dilution-info": "", "ICCIF-species-notes": "<p></p>", "IHCP-species-checked": "guaranteed", "IHCP-species-dilution-info": "", "IHCP-species-notes": "" }, "Rat": { "WB-species-checked": "testedAndGuaranteed", "WB-species-dilution-info": "", "WB-species-notes": "<p></p>", "ICCIF-species-checked": "guaranteed", "ICCIF-species-dilution-info": "", "ICCIF-species-notes": "", "IHCP-species-checked": "guaranteed", "IHCP-species-dilution-info": "", "IHCP-species-notes": "" } } }

Product details

ab250961 is the carrier-free version of ab188401.

Patented technology
Our RabMAb® technology is a patented hybridoma-based technology for making rabbit monoclonal antibodies. For details on our patents, please refer to RabMAb® patents.

What are the advantages of a recombinant monoclonal antibody?
This product is a recombinant monoclonal antibody, which offers several advantages including:

  • - High batch-to-batch consistency and reproducibility
  • - Improved sensitivity and specificity
  • - Long-term security of supply
  • - Animal-free batch production

For more information, read more on recombinant antibodies.

Conjugation ready
Our carrier-free antibodies are typically supplied in a PBS-only formulation, purified and free of BSA, sodium azide and glycerol. This conjugation-ready format is designed for use with fluorochromes, metal isotopes, oligonucleotides, and enzymes, which makes them ideal for antibody labelling, functional and cell-based assays, flow-based assays (e.g. mass cytometry) and Multiplex Imaging applications.

Use our conjugation kits for antibody conjugates that are ready-to-use in as little as 20 minutes with 1 minute hands-on-time and 100% antibody recovery: available for fluorescent dyes, HRP, biotin and gold.

Compatibility
This product is compatible with the Maxpar® Antibody Labeling Kit from Fluidigm, without the need for antibody preparation. Maxpar® is a trademark of Fluidigm Canada Inc.

Properties and storage information

Form
Liquid
Storage buffer
pH: 7.2 - 7.4 Constituents: PBS
Shipped at conditions
Blue Ice
Appropriate short-term storage conditions
+4°C
Appropriate long-term storage conditions
+4°C
Storage information
Do Not Freeze

Supplementary information

This supplementary information is collated from multiple sources and compiled automatically.

The MBD3 protein also known as Methyl-CpG-binding domain protein 3 functions mechanically by binding to methylated DNA which is an essential step in regulating gene expression. It has a molecular mass of approximately 32 kDa. MBD3 is ubiquitously expressed in various tissues demonstrating its role in fundamental cellular processes. The protein does not function alone and often interacts with other proteins as part of gene repression mechanisms.
Biological function summary

The activity of MBD3 impacts chromatin remodeling and gene expression regulation. MBD3 operates as a core component of the nucleosome remodeling deacetylase (NuRD) complex a multi-protein assembly important for transcriptional repression and chromatin structure modification. Its interaction within this complex helps modulate gene expression by altering the accessibility of chromatin and recruiting other modifiers for further regulation.

Pathways

MBD3 plays a significant role in key signaling and epigenetic pathways. It engages in pathways related to chromatin modification and transcription regulation. Its role in the NuRD complex underlines its participation in transcriptional regulation pathways impacting proteins such as HDAC1 and GATA2 which contribute to modifying histone acetylation and influencing gene transcription processes.

Changes in MBD3 expression or function have links to cancer and neurodevelopmental disorders. MBD3 dysregulation associates with tumorigenesis due to its role in maintaining proper gene silencing and expression. Additionally impairment in MBD3 function can relate to intellectual disabilities and developmental delays potentially due to its interaction with epigenetic regulators like MeCP2.

Product protocols

For this product, it's our understanding that no specific protocols are required. You can visit:

Target data

Acts as a component of the histone deacetylase NuRD complex which participates in the remodeling of chromatin (PubMed : 12124384, PubMed : 16428440, PubMed : 28977666). Acts as transcriptional repressor and plays a role in gene silencing (PubMed : 10947852, PubMed : 18644863). Does not bind to methylated DNA by itself (PubMed : 12124384, PubMed : 16428440). Binds to a lesser degree DNA containing unmethylated CpG dinucleotides (PubMed : 24307175). Recruits histone deacetylases and DNA methyltransferases.
See full target information MBD3

Product promise

We are committed to supporting your work with high-quality reagents, and we're here for you every step of the way. In the unlikely event that one of our products does not perform as expected, you're protected by our Product Promise.
For full details, please see our Terms & Conditions

Please note: All products are 'FOR RESEARCH USE ONLY. NOT FOR USE IN DIAGNOSTIC OR THERAPEUTIC PROCEDURES'.

For licensing inquiries, please contact partnerships@abcam.com