JavaScript is disabled in your browser. Please enable JavaScript to view this website.
AB315462

Anti-MBD4/MED1 antibody [EPR28263-16]

  • 20ul selling size
  • RabMAb
  • Recombinant
  • KO Validated
  • What is this?

Be the first to review this product! Submit a review

|

(0 Publication)

Knockout Tested Rabbit Recombinant Monoclonal MBD4/MED1 antibody. Suitable for WB, Flow Cyt (Intra) and reacts with Human samples.

View Alternative Names

MED1, MBD4, Methyl-CpG-binding domain protein 4, Methyl-CpG-binding endonuclease 1, Methyl-CpG-binding protein MBD4, Mismatch-specific DNA N-glycosylase

3 Images
Flow Cytometry (Intracellular) - Anti-MBD4/MED1 antibody [EPR28263-16] (AB315462)
  • Flow Cyt (Intra)

Supplier Data

Flow Cytometry (Intracellular) - Anti-MBD4/MED1 antibody [EPR28263-16] (AB315462)

Flow cytometric analysis of 4% paraformaldehyde fixed 90% methanol permeabilized MBD4 KO HeLa (human MBD4 knockout cervical adenocarcinoma epithelial cell, Left) / Parental HeLa (Right) cells labelling MBD4/MED1 with ab315462 at 1/50 dilution (1 ug)/Red compared with a Rabbit monoclonal IgG (ab172730) (Black) isotype control and an unlabelled control (cells without incubation with primary antibody and secondary antibody) (Blue).

Goat Anti-Rabbit IgG (Alexa Fluor® 488, ab150081) at 1/5000 dilution was used as the secondary antibody.

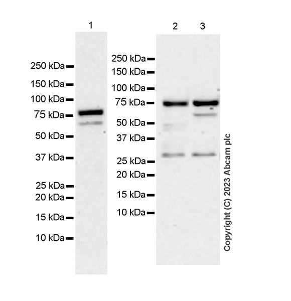
Western blot - Anti-MBD4/MED1 antibody [EPR28263-16] (AB315462)
  • WB

Supplier Data

Western blot - Anti-MBD4/MED1 antibody [EPR28263-16] (AB315462)

Blocking and diluting buffer and concentration : 5% NFDM/TBST.

Lysates were freshly made and used immediately to minimize protein degradation.

The band below 75 kDa may be caused by degradation.

The identity of the lower MW band at approximately 25 kDa is unknown.

All lanes:

Western blot - Anti-MBD4/MED1 antibody [EPR28263-16] (ab315462) at 1/1000 dilution

Lane 1:

293T (human embryonic kidney epithelial cell) whole cell lysate at 20 µg

Lane 2:

THP-1 (human monocytic leukemia monocyte) whole cell lysate at 20 µg

Lane 3:

Jurkat (human T cell leukemia T lymphocyte) whole cell lysate at 20 µg

Secondary

All lanes:

Western blot - Goat Anti-Rabbit IgG H&L (HRP) (<a href='/en-us/products/secondary-antibodies/goat-rabbit-igg-h-l-hrp-ab97051'>ab97051</a>) at 1/100000 dilution

Observed band size: 75 kDa

false

Exposure time: 180s

Western blot - Anti-MBD4/MED1 antibody [EPR28263-16] (AB315462)
  • WB

Supplier Data

Western blot - Anti-MBD4/MED1 antibody [EPR28263-16] (AB315462)

Western blot : Anti-MBD4 antibody (ab315462) staining at 1/1000 dilution, shown in green; Mouse anti-GAPDH antibody 6C5 loading control (ab8245) staining at 1/20000 dilution, shown in red.

In Western blot, ab315462 was shown to bind specifically to MBD4. Target of interest was observed at 75 kDa in wild-type HeLa cell lysates (lane 1) with no signal observed at this size in MBD4 knockout cell line (lane 2, knockout cell line ab264937/ knockout cell lysate ab258960). To generate this image, samples were first run on an SDS-PAGE gel then transferred onto an immobilon-FL PVDF membrane. Membranes were blocked in a fluorescent western blot (TBS-based) blocking solution before incubation with primary antibodies overnight at 4 °C. Blots were washed in TBS-T, incubated with secondary antibodies Goat anti-Rabbit IgG H&L 800CW and Goat anti-Mouse IgG H&L 680RD at 1/20000 dilution for 1 h at room temperature, washed again then imaged.

Lysate was freshly made and used for Western blotting immediately to minimize protein degradation.

All lanes:

Western blot - Anti-MBD4/MED1 antibody [EPR28263-16] (ab315462) at 1/1000 dilution

Lane 1:

Wild type HeLa (human cervical adenocarcinoma epithelial cell) whole cell lysate at 20 µg with Intercept® (TBS) Blocking Buffer diluted with an equal volume of TBS

Lane 2:

MBD4 knockout HeLa whole cell lysate at 20 µg with Intercept® (TBS) Blocking Buffer diluted with an equal volume of TBS

Secondary

All lanes:

Western blot - Goat Anti-Rabbit IgG H&L (HRP) (<a href='/en-us/products/secondary-antibodies/goat-rabbit-igg-h-l-hrp-ab97051'>ab97051</a>) at 1/100000 dilution

Observed band size: 75 kDa,36 kDa

false

Exposure time: 180s

Key facts

Host species

Rabbit

Clonality

Monoclonal

Clone number

EPR28263-16

Isotype

IgG

Carrier free

No

Reacts with

Human

Applications

WB, Flow Cyt (Intra)

applications

Immunogen

The exact immunogen used to generate this antibody is proprietary information.

Reactivity data

{ "title": "Reactivity Data", "filters": { "stats": ["", "Species", "Dilution Info", "Notes"], "tabs": { "all-applications": {"fullname" : "All Applications", "shortname": "All Applications"}, "WB" : {"fullname" : "Western blot", "shortname":"WB"}, "FlowCytIntra" : {"fullname" : "Flow Cytometry (Intracellular)", "shortname":"Flow Cyt (Intra)"}, "IHCP" : {"fullname" : "Immunohistochemistry (Formalin/PFA-fixed paraffin-embedded sections)", "shortname":"IHC-P"}, "ICCIF" : {"fullname" : "Immunocytochemistry/ Immunofluorescence", "shortname":"ICC/IF"}, "IP" : {"fullname" : "Immunoprecipitation", "shortname":"IP"} }, "product-promise": { "all": "all", "testedAndGuaranteed": "tested", "guaranteed": "expected", "predicted": "predicted", "notRecommended": "not-recommended" } }, "values": { "Human": { "WB-species-checked": "testedAndGuaranteed", "WB-species-dilution-info": "1/1000", "WB-species-notes": "<p></p>", "FlowCytIntra-species-checked": "testedAndGuaranteed", "FlowCytIntra-species-dilution-info": "1/50", "FlowCytIntra-species-notes": "<p></p>", "IHCP-species-checked": "notRecommended", "IHCP-species-dilution-info": "", "IHCP-species-notes": "<p></p>", "ICCIF-species-checked": "notRecommended", "ICCIF-species-dilution-info": "", "ICCIF-species-notes": "<p></p>", "IP-species-checked": "notRecommended", "IP-species-dilution-info": "", "IP-species-notes": "<p></p>" }, "Mouse": { "WB-species-checked": "notRecommended", "WB-species-dilution-info": "", "WB-species-notes": "<p></p>", "FlowCytIntra-species-checked": "notRecommended", "FlowCytIntra-species-dilution-info": "", "FlowCytIntra-species-notes": "", "IHCP-species-checked": "notRecommended", "IHCP-species-dilution-info": "", "IHCP-species-notes": "<p></p>", "ICCIF-species-checked": "notRecommended", "ICCIF-species-dilution-info": "", "ICCIF-species-notes": "", "IP-species-checked": "notRecommended", "IP-species-dilution-info": "", "IP-species-notes": "<p></p>" }, "Rat": { "WB-species-checked": "notRecommended", "WB-species-dilution-info": "", "WB-species-notes": "<p></p>", "FlowCytIntra-species-checked": "notRecommended", "FlowCytIntra-species-dilution-info": "", "FlowCytIntra-species-notes": "", "IHCP-species-checked": "notRecommended", "IHCP-species-dilution-info": "", "IHCP-species-notes": "<p></p>", "ICCIF-species-checked": "notRecommended", "ICCIF-species-dilution-info": "", "ICCIF-species-notes": "", "IP-species-checked": "notRecommended", "IP-species-dilution-info": "", "IP-species-notes": "" } } }

Product details

Patented technology
Our RabMAb® technology is a patented hybridoma-based technology for making rabbit monoclonal antibodies. For details on our patents, please refer to RabMAb® patents.

What are the advantages of a recombinant monoclonal antibody?
This product is a recombinant monoclonal antibody, which offers several advantages including:

  • - High batch-to-batch consistency and reproducibility
  • - Improved sensitivity and specificity
  • - Long-term security of supply
  • - Animal-free batch production

For more information, read more on recombinant antibodies.

Properties and storage information

Form
Liquid
Purification technique
Affinity purification Protein A
Storage buffer
pH: 7.2 - 7.4 Preservative: 0.01% Sodium azide Constituents: PBS, 40% Glycerol (glycerin, glycerine), 0.05% BSA
Shipped at conditions
Blue Ice
Appropriate short-term storage duration
1-2 weeks
Appropriate short-term storage conditions
+4°C
Appropriate long-term storage conditions
-20°C
Aliquoting information
Upon delivery aliquot
Storage information
Avoid freeze / thaw cycle

Supplementary information

This supplementary information is collated from multiple sources and compiled automatically.

The MBD4 protein also known as MED1 is essential in DNA repair and gene regulation. MBD4 contains a methyl-CpG-binding domain allowing it to bind specifically to methylated DNA. The protein has a molecular weight of about 63 kDa. It is expressed in various tissues with higher levels in bone marrow and lymphoid tissues. MBD4 can recognize and excise mismatched T/G base pairs at methylated CpG sites which is important for maintaining genomic stability.
Biological function summary

MBD4 participates in the protection of genome integrity. It is involved in the DNA demethylation process ensuring proper gene expression patterns. MBD4 functions as part of complex DNA repair machinery. By working with other repair proteins MBD4 facilitates the correction of errors arising during DNA replication and demethylation reducing the risk of mutation accumulation and genomic instability.

Pathways

MBD4 plays a significant role in the base excision repair (BER) pathway. This pathway is key for correcting DNA damage caused by deamination and other forms of DNA alteration. In the BER pathway MBD4 cooperates with proteins like DNA glycosylases to identify and remove incorrect bases from the DNA strand. MBD4 also interacts with transcriptional regulation pathways influencing how genes are expressed in response to changes in the epigenetic landscape.

The malfunction of MBD4 links to colorectal cancer and other forms of cancer. Deficiency or mutations in the MBD4 gene increase the likelihood of mutation accumulation leading to tumorigenesis. MBD4's interactions with other proteins involved in DNA repair such as MLH1 highlight its role in maintaining DNA integrity. Genetic instability from impaired MBD4 function could trigger or exacerbate progression of cancerous conditions.

Product protocols

For this product, it's our understanding that no specific protocols are required. You can visit:

Target data

Mismatch-specific DNA N-glycosylase involved in DNA repair. Has thymine glycosylase activity and is specific for G : T mismatches within methylated and unmethylated CpG sites. Can also remove uracil or 5-fluorouracil in G : U mismatches. Has no lyase activity. Was first identified as methyl-CpG-binding protein.
See full target information MBD4

Product promise

We are committed to supporting your work with high-quality reagents, and we're here for you every step of the way. In the unlikely event that one of our products does not perform as expected, you're protected by our Product Promise.
For full details, please see our Terms & Conditions

Please note: All products are 'FOR RESEARCH USE ONLY. NOT FOR USE IN DIAGNOSTIC OR THERAPEUTIC PROCEDURES'.

For licensing inquiries, please contact partnerships@abcam.com