JavaScript is disabled in your browser. Please enable JavaScript to view this website.
AB250901

Anti-MBIP antibody [EPR13951] - BSA and Azide free

Be the first to review this product! Submit a review

|

(0 Publication)

Rabbit Recombinant Monoclonal MBIP antibody. Carrier free. Suitable for ICC/IF, WB, Flow Cyt (Intra), IHC-P and reacts with Human samples.

View Alternative Names

BM-015, MBIP, MAP3K12-binding inhibitory protein 1, MAPK upstream kinase-binding inhibitory protein, MUK-binding inhibitory protein

6 Images
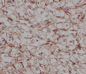
Immunohistochemistry (Formalin/PFA-fixed paraffin-embedded sections) - Anti-MBIP antibody [EPR13951] - BSA and Azide free (AB250901)
  • IHC-P

Supplier Data

Immunohistochemistry (Formalin/PFA-fixed paraffin-embedded sections) - Anti-MBIP antibody [EPR13951] - BSA and Azide free (AB250901)

This data was developed using ab186750, the same antibody clone in a different buffer formulation.

Immunohistochemical analysis of paraffin-embedded Human clear cell carcinoma of kidney tissue labeling MBIP with ab186750 at 1/250 dilution. Secondary ab : ready to use HRP Polymer for Rabbit IgG. Counter stain : Hematoxylin.

Perform heat mediated antigen retrieval with EDTA buffer pH 9 before commencing with IHC staining protocol.

Immunocytochemistry/ Immunofluorescence - Anti-MBIP antibody [EPR13951] - BSA and Azide free (AB250901)
  • ICC/IF

Supplier Data

Immunocytochemistry/ Immunofluorescence - Anti-MBIP antibody [EPR13951] - BSA and Azide free (AB250901)

This data was developed using ab186750, the same antibody clone in a different buffer formulation.

Immunofluorescence analysis of HeLa cells labeling MBIP with ab186750 at 1/500 dilution. Secondary antibody : Goat anti rabbit IgG (Alexa Fluor® 488). Fixative : 4% paraformaldehyde. Counter stain : Dapi (blue).

Immunohistochemistry (Formalin/PFA-fixed paraffin-embedded sections) - Anti-MBIP antibody [EPR13951] - BSA and Azide free (AB250901)
  • IHC-P

Supplier Data

Immunohistochemistry (Formalin/PFA-fixed paraffin-embedded sections) - Anti-MBIP antibody [EPR13951] - BSA and Azide free (AB250901)

This data was developed using ab186750, the same antibody clone in a different buffer formulation.

Immunohistochemical analysis of paraffin-embedded Human cardiac muscle tissue labeling MBIP with ab186750 at 1/250 dilution. Secondary antibody : Ready to use HRP Polymer for Rabbit IgG. Counter stain : Hematoxylin.

Perform heat mediated antigen retrieval with EDTA buffer pH 9 before commencing with IHC staining protocol.

Flow Cytometry (Intracellular) - Anti-MBIP antibody [EPR13951] - BSA and Azide free (AB250901)
  • Flow Cyt (Intra)

Supplier Data

Flow Cytometry (Intracellular) - Anti-MBIP antibody [EPR13951] - BSA and Azide free (AB250901)

This data was developed using ab186750, the same antibody clone in a different buffer formulation.

Intracellular flow cytometric analysis of HeLa cell labeling MBIP using ab186750 at 1/400 dilution. Secondary antibody : Goat anti rabbit IgG (FITC) at 1/400 dilution. Fixative : 2% paraformaldehyde. Isotype control : Rabbit monoclonal IgG.

Western blot - Anti-MBIP antibody [EPR13951] - BSA and Azide free (AB250901)
  • WB

Supplier Data

Western blot - Anti-MBIP antibody [EPR13951] - BSA and Azide free (AB250901)

This data was developed using ab186750, the same antibody clone in a different buffer formulation.

Blocking and dilution buffer : 5% NFDM/TBST.

All lanes:

Western blot - Anti-MBIP antibody [EPR13951] (<a href='/en-us/products/primary-antibodies/mbip-antibody-epr13951-ab186750'>ab186750</a>) at 1/10000 dilution

Lane 1:

Hela cell lysate at 20 µg

Lane 2:

293 cell lysate at 20 µg

Secondary

All lanes:

Goat Anti-Rabbit IgG, (H+L), Peroxidase conjugated at 1/1000 dilution

Predicted band size: 39 kDa

false

Western blot - Anti-MBIP antibody [EPR13951] - BSA and Azide free (AB250901)
  • WB

Supplier Data

Western blot - Anti-MBIP antibody [EPR13951] - BSA and Azide free (AB250901)

This data was developed using ab186750, the same antibody clone in a different buffer formulation.

Blocking and dilution buffer : 5% NFDM/TBST.

All lanes:

Western blot - Anti-MBIP antibody [EPR13951] (<a href='/en-us/products/primary-antibodies/mbip-antibody-epr13951-ab186750'>ab186750</a>) at 1/10000 dilution

Lane 1:

Human fetal lung tissue lysate at 10 µg

Lane 2:

Human fetal heart tissue lysate at 10 µg

Secondary

All lanes:

Anti-Rabbit IgG (HRP), specific to the non-reduced form of IgG at 1/1000 dilution

Predicted band size: 39 kDa

false

Key facts

Host species

Rabbit

Clonality

Monoclonal

Clone number

EPR13951

Isotype

IgG

Carrier free

Yes

Reacts with

Human

Applications

IHC-P, Flow Cyt (Intra), ICC/IF, WB

applications

Immunogen

The exact immunogen used to generate this antibody is proprietary information.

Reactivity data

{ "title": "Reactivity Data", "filters": { "stats": ["", "Species", "Dilution Info", "Notes"], "tabs": { "all-applications": {"fullname" : "All Applications", "shortname": "All Applications"}, "ICCIF" : {"fullname" : "Immunocytochemistry/ Immunofluorescence", "shortname":"ICC/IF"}, "WB" : {"fullname" : "Western blot", "shortname":"WB"}, "FlowCytIntra" : {"fullname" : "Flow Cytometry (Intracellular)", "shortname":"Flow Cyt (Intra)"}, "IHCP" : {"fullname" : "Immunohistochemistry (Formalin/PFA-fixed paraffin-embedded sections)", "shortname":"IHC-P"} }, "product-promise": { "all": "all", "testedAndGuaranteed": "tested", "guaranteed": "expected", "predicted": "predicted", "notRecommended": "not-recommended" } }, "values": { "Human": { "ICCIF-species-checked": "testedAndGuaranteed", "ICCIF-species-dilution-info": "", "ICCIF-species-notes": "<p></p>", "WB-species-checked": "testedAndGuaranteed", "WB-species-dilution-info": "", "WB-species-notes": "<p></p>", "FlowCytIntra-species-checked": "testedAndGuaranteed", "FlowCytIntra-species-dilution-info": "", "FlowCytIntra-species-notes": "<p></p>", "IHCP-species-checked": "testedAndGuaranteed", "IHCP-species-dilution-info": "", "IHCP-species-notes": "<p></p>" }, "Mouse": { "ICCIF-species-checked": "predicted", "ICCIF-species-dilution-info": "", "ICCIF-species-notes": "", "WB-species-checked": "predicted", "WB-species-dilution-info": "", "WB-species-notes": "", "FlowCytIntra-species-checked": "predicted", "FlowCytIntra-species-dilution-info": "", "FlowCytIntra-species-notes": "", "IHCP-species-checked": "predicted", "IHCP-species-dilution-info": "", "IHCP-species-notes": "" }, "Rat": { "ICCIF-species-checked": "predicted", "ICCIF-species-dilution-info": "", "ICCIF-species-notes": "", "WB-species-checked": "predicted", "WB-species-dilution-info": "", "WB-species-notes": "", "FlowCytIntra-species-checked": "predicted", "FlowCytIntra-species-dilution-info": "", "FlowCytIntra-species-notes": "", "IHCP-species-checked": "predicted", "IHCP-species-dilution-info": "", "IHCP-species-notes": "" } } }

Product details

ab250901 is the carrier-free version of ab186750.

Patented technology
Our RabMAb® technology is a patented hybridoma-based technology for making rabbit monoclonal antibodies. For details on our patents, please refer to RabMAb® patents.

What are the advantages of a recombinant monoclonal antibody?
This product is a recombinant monoclonal antibody, which offers several advantages including:

  • - High batch-to-batch consistency and reproducibility
  • - Improved sensitivity and specificity
  • - Long-term security of supply
  • - Animal-free batch production

For more information, read more on recombinant antibodies.

Conjugation ready
Our carrier-free antibodies are typically supplied in a PBS-only formulation, purified and free of BSA, sodium azide and glycerol. This conjugation-ready format is designed for use with fluorochromes, metal isotopes, oligonucleotides, and enzymes, which makes them ideal for antibody labelling, functional and cell-based assays, flow-based assays (e.g. mass cytometry) and Multiplex Imaging applications.

Use our conjugation kits for antibody conjugates that are ready-to-use in as little as 20 minutes with 1 minute hands-on-time and 100% antibody recovery: available for fluorescent dyes, HRP, biotin and gold.

Compatibility
This product is compatible with the Maxpar® Antibody Labeling Kit from Fluidigm, without the need for antibody preparation. Maxpar® is a trademark of Fluidigm Canada Inc.

Properties and storage information

Form
Liquid
Purification technique
Affinity purification Protein A
Storage buffer
pH: 7.2 - 7.4 Constituents: PBS
Shipped at conditions
Blue Ice
Appropriate short-term storage conditions
+4°C
Appropriate long-term storage conditions
+4°C
Storage information
Do Not Freeze

Supplementary information

This supplementary information is collated from multiple sources and compiled automatically.

MBIP also known as Mps-One Binder kinase activator-like protein 1 acts mechanically by being a component of certain cellular complexes involved in intracellular signaling. It has a molecular mass of approximately 25 kDa. Expression of MBIP occurs in many tissues but it is found at higher levels in brain and kidney tissues suggesting its significant role in these areas.
Biological function summary

MBIP regulates signaling pathways that control cell growth development and differentiation. As a part of the c-Jun N-terminal kinase (JNK) signalosome complex MBIP influences pathways that mediate responses to stress and inflammatory stimuli. The presence of MBIP in these complexes emphasizes its role in modulating the cellular response to environmental changes shedding light on how it contributes to maintaining cellular homeostasis.

Pathways

MBIP functions within the JNK signaling and the domino effect on MAP kinase pathways. In the JNK pathway MBIP interacts closely with proteins such as MKK4 and JNKs to ensure proper signal transduction and cellular outcomes. Its activity helps mediate cellular responses modulating processes like apoptosis and cell survival indicating its importance in maintaining cellular balance and health.

MBIP shows relevance to conditions like cancer and neurodegenerative diseases. Aberrant MBIP expression or activity can disrupt the JNK pathway leading to uncontrolled cell proliferation in cancer or altered neuronal functioning in conditions like Alzheimer's disease. Connections between MBIP and other proteins such as JNKs and MKK4 highlight its influence on pathological developments in these disorders providing a critical link between cellular signaling and disease progression.

Product protocols

For this product, it's our understanding that no specific protocols are required. You can visit:

Target data

Inhibits the MAP3K12 activity to induce the activation of the JNK/SAPK pathway. Component of the ATAC complex, a complex with histone acetyltransferase activity on histones H3 and H4.
See full target information MBIP

Product promise

We are committed to supporting your work with high-quality reagents, and we're here for you every step of the way. In the unlikely event that one of our products does not perform as expected, you're protected by our Product Promise.
For full details, please see our Terms & Conditions

Please note: All products are 'FOR RESEARCH USE ONLY. NOT FOR USE IN DIAGNOSTIC OR THERAPEUTIC PROCEDURES'.

For licensing inquiries, please contact partnerships@abcam.com