JavaScript is disabled in your browser. Please enable JavaScript to view this website.
AB232251

Anti-MBL1+MBL2 antibody [EPR18381-156] - BSA and Azide free

Be the first to review this product! Submit a review

|

(1 Publication)

Rabbit Recombinant Monoclonal Mannan Binding Lectin/MBL and Mannan Binding Lectin A antibody. Carrier free. Suitable for WB, IHC-P and reacts with Mouse, Human samples.

View Alternative Names

COLEC1, MBL, MBL2, Mannose-binding protein C, MBP-C, Collectin-1, MBP1, Mannan-binding protein, Mannose-binding lectin

3 Images
Immunohistochemistry (Formalin/PFA-fixed paraffin-embedded sections) - Anti-MBL1+MBL2 antibody [EPR18381-156] - BSA and Azide free (AB232251)
  • IHC-P

Supplier Data

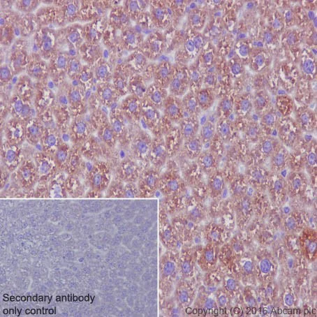
Immunohistochemistry (Formalin/PFA-fixed paraffin-embedded sections) - Anti-MBL1+MBL2 antibody [EPR18381-156] - BSA and Azide free (AB232251)

Immunohistochemical analysis of paraffin-embedded human liver tissue labeling Mannan Binding Lectin/MBL with ab190834 at 1/800 dilution, followed by Goat Anti-Rabbit IgG H&L (HRP) (ab97051) at 1/500 dilution. Cytoplasmic staining on human liver is observed. Counter stained with hematoxylin.

Secondary antibody only control : Used PBS instead of primary antibody, secondary antibody is Goat Anti-Rabbit IgG H&L (HRP)(ab97051) at 1/500 dilution.

This data was developed using the same antibody clone in a different buffer formulation containing PBS, BSA, glycerol, and sodium azide (ab190834).

Heat mediated antigen retrieval was performed with Tris/EDTA buffer pH 9.0 before commencing with IHC staining protocol.

Immunohistochemistry (Formalin/PFA-fixed paraffin-embedded sections) - Anti-MBL1+MBL2 antibody [EPR18381-156] - BSA and Azide free (AB232251)
  • IHC-P

Supplier Data

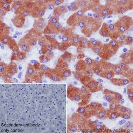
Immunohistochemistry (Formalin/PFA-fixed paraffin-embedded sections) - Anti-MBL1+MBL2 antibody [EPR18381-156] - BSA and Azide free (AB232251)

Immunohistochemical analysis of paraffin-embedded mouse liver tissue labeling Mannan Binding Lectin/MBL with ab190834 at 1/800 dilution, followed by Goat Anti-Rabbit IgG H&L (HRP) (ab97051) at 1/500 dilution. Cytoplasmic staining on mouse liver is observed. Counter stained with hematoxylin.

Secondary antibody only control : Used PBS instead of primary antibody, secondary antibody is Goat Anti-Rabbit IgG H&L (HRP)(ab97051) at 1/500 dilution.

This data was developed using the same antibody clone in a different buffer formulation containing PBS, BSA, glycerol, and sodium azide (ab190834).

Heat mediated antigen retrieval was performed with Tris/EDTA buffer pH 9.0 before commencing with IHC staining protocol.

Western blot - Anti-MBL1+MBL2 antibody [EPR18381-156] - BSA and Azide free (AB232251)
  • WB

Lab

Western blot - Anti-MBL1+MBL2 antibody [EPR18381-156] - BSA and Azide free (AB232251)

This data was developed using ab190834, the same antibody clone in a different buffer formulation.

Blocking and diluting buffer and concentration : 5% NFDM/TBST.

This antibody cross-reacts with human MBL1.

MBL could be cleaved by multiple MMPs (PMID : 11891230).

All lanes:

Western blot - Anti-MBL1+MBL2 antibody [EPR18381-156] (<a href='/en-us/products/primary-antibodies/mbl1mbl2-antibody-epr18381-156-ab190834'>ab190834</a>) at 1/2000 dilution

Lane 1:

293T (Human embryonic kidney epithelial cell) transfected with an empty vector (vector control), containing a HA tag, whole cell lysate at 20 µg

Lane 2:

293T transfected with MBL2 expression vector containing a HA tag, whole cell lysate at 20 µg

Lane 3:

293T transfected with MBL1 expression vector containing a HA tag, whole cell lysate at 20 µg

Secondary

All lanes:

Western blot - Goat Anti-Rabbit IgG H&L (HRP) (<a href='/en-us/products/secondary-antibodies/goat-rabbit-igg-h-l-hrp-ab97051'>ab97051</a>) at 1/20000 dilution

Observed band size: 20-40 kDa

false

Exposure time: 1s

Key facts

Host species

Rabbit

Clonality

Monoclonal

Clone number

EPR18381-156

Isotype

IgG

Carrier free

Yes

Reacts with

Mouse, Human

Applications

WB, IHC-P

applications

Immunogen

The exact immunogen used to generate this antibody is proprietary information.

Reactivity data

{ "title": "Reactivity Data", "filters": { "stats": ["", "Species", "Dilution Info", "Notes"], "tabs": { "all-applications": {"fullname" : "All Applications", "shortname": "All Applications"}, "WB" : {"fullname" : "Western blot", "shortname":"WB"}, "IHCP" : {"fullname" : "Immunohistochemistry (Formalin/PFA-fixed paraffin-embedded sections)", "shortname":"IHC-P"} }, "product-promise": { "all": "all", "testedAndGuaranteed": "tested", "guaranteed": "expected", "predicted": "predicted", "notRecommended": "not-recommended" } }, "values": { "Human": { "WB-species-checked": "guaranteed", "WB-species-dilution-info": "", "WB-species-notes": "<p>This antibody is not suitable for human species in WB application due to non-specific staining and high background in human cell and tissue lysates.</p>", "IHCP-species-checked": "testedAndGuaranteed", "IHCP-species-dilution-info": "", "IHCP-species-notes": "<p></p> Perform heat-mediated antigen retrieval with Tris/EDTA buffer pH 9.0 before commencing with IHC staining protocol." }, "Mouse": { "WB-species-checked": "guaranteed", "WB-species-dilution-info": "", "WB-species-notes": "<p>This antibody is not suitable for human species in WB application due to non-specific staining and high background in human cell and tissue lysates.</p>", "IHCP-species-checked": "predicted", "IHCP-species-dilution-info": "", "IHCP-species-notes": "" } } }

Product details

ab232251 is the carrier-free version of ab190834.

Patented technology
Our RabMAb® technology is a patented hybridoma-based technology for making rabbit monoclonal antibodies. For details on our patents, please refer to RabMAb® patents.

What are the advantages of a recombinant monoclonal antibody?
This product is a recombinant monoclonal antibody, which offers several advantages including:

  • - High batch-to-batch consistency and reproducibility
  • - Improved sensitivity and specificity
  • - Long-term security of supply
  • - Animal-free batch production

For more information, read more on recombinant antibodies.

Conjugation ready
Our carrier-free antibodies are typically supplied in a PBS-only formulation, purified and free of BSA, sodium azide and glycerol. This conjugation-ready format is designed for use with fluorochromes, metal isotopes, oligonucleotides, and enzymes, which makes them ideal for antibody labelling, functional and cell-based assays, flow-based assays (e.g. mass cytometry) and Multiplex Imaging applications.

Use our conjugation kits for antibody conjugates that are ready-to-use in as little as 20 minutes with 1 minute hands-on-time and 100% antibody recovery: available for fluorescent dyes, HRP, biotin and gold.

Compatibility
This product is compatible with the Maxpar® Antibody Labeling Kit from Fluidigm, without the need for antibody preparation. Maxpar® is a trademark of Fluidigm Canada Inc.

Properties and storage information

Form
Liquid
Purification technique
Affinity purification Protein A
Storage buffer
pH: 7.2 - 7.4 Constituents: PBS
Shipped at conditions
Blue Ice
Appropriate short-term storage conditions
+4°C
Appropriate long-term storage conditions
+4°C
Storage information
Do Not Freeze

Supplementary information

This supplementary information is collated from multiple sources and compiled automatically.

Mannan Binding Lectin often referred to as MBL is an important player in the innate immune system. It is known alternatively as mannose-binding lectin or mannan-binding protein. The mass of MBL is approximately 32 to 34 kilodaltons and it is primarily produced in the liver. MBL circulates in the bloodstream where it can recognize patterns on the surface of pathogens such as bacteria and viruses through its lectin-binding domain. This recognition leads to the activation of other components that play roles in immune response.
Biological function summary

Mannan Binding Lectin serves a significant role in immune defense by binding to carbohydrate structures on pathogens. It is part of a complex known as the lectin pathway of the complement system one of three pathways that activate the complement system to enhance pathogen removal. MBL can activate through a series of proteases leading to opsonization cell lysis and inflammation which are vital responses to infection.

Pathways

Mannan recognition by MBL initiates the lectin pathway an essential component of the complement system. This pathway converges with the classical and alternative pathways to enhance the immune response. MBL works closely with MBL-associated serine proteases (MASPs) particularly MASP-1 and MASP-2 which cleave complement proteins resulting in pathogen opsonization and membrane attack complex formation. These actions are tightly regulated and ensure effective defense against invaders.

Deficiencies or polymorphisms in MBL can lead to increased susceptibility to infections and developmental complications of the immune system. Individuals with low MBL levels may experience recurrent respiratory infections or other bacterial infections due to inadequate complement activation. Moreover variations in the MBL protein have connections with autoimmune diseases such as systemic lupus erythematosus where MBL levels might influence disease severity. In these conditions altered interactions with other immune proteins like C4 and C3 may contribute to pathological responses.

Product protocols

For this product, it's our understanding that no specific protocols are required. You can visit:

Target data

Calcium-dependent lectin involved in innate immune defense (PubMed : 35102342). Binds mannose, fucose and N-acetylglucosamine on different microorganisms and activates the lectin complement pathway. Binds to late apoptotic cells, as well as to apoptotic blebs and to necrotic cells, but not to early apoptotic cells, facilitating their uptake by macrophages. May bind DNA. Upon SARS coronavirus-2/SARS-CoV-2 infection, activates the complement lectin pathway which leads to the inhibition SARS-CoV-2 infection and a reduction of the induced inflammatory response (PubMed : 35102342).
See full target information MBL2

Additional targets

Mbl1

Publications (1)

Recent publications for all applications. Explore the full list and refine your search

Translational lung cancer research 10:2523-2538 PubMed34295659

2021

One carbon metabolism in human lung cancer.

Applications

Unspecified application

Species

Unspecified reactive species

Sha Yao,Luogen Peng,Omar Elakad,Stefan Küffer,Marc Hinterthaner,Bernhard C Danner,Alexander von Hammerstein-Equord,Philipp Ströbel,Hanibal Bohnenberger
View all publications

Product promise

We are committed to supporting your work with high-quality reagents, and we're here for you every step of the way. In the unlikely event that one of our products does not perform as expected, you're protected by our Product Promise.
For full details, please see our Terms & Conditions

Please note: All products are 'FOR RESEARCH USE ONLY. NOT FOR USE IN DIAGNOSTIC OR THERAPEUTIC PROCEDURES'.

For licensing inquiries, please contact partnerships@abcam.com