JavaScript is disabled in your browser. Please enable JavaScript to view this website.
AB325504

Anti-MBOAT7 antibody [EPR30427-503] - BSA and Azide free

Be the first to review this product! Submit a review

|

(0 Publication)

Rabbit Recombinant Monoclonal MBOA7 antibody. Carrier free. Suitable for IHC-P, ICC/IF, WB and reacts with Transfected cell lysate - Human, Human samples.

View Alternative Names

BB1, LENG4, OACT7, Membrane-bound acylglycerophosphatidylinositol O-acyltransferase MBOAT7, 1-acylglycerophosphatidylinositol O-acyltransferase, Bladder and breast carcinoma-overexpressed gene 1 protein, Leukocyte receptor cluster member 4, Lysophosphatidylinositol acyltransferase, Lysophospholipid acyltransferase 7, Membrane-bound O-acyltransferase domain-containing protein 7, LPIAT, Lyso-PI acyltransferase, LPLAT 7, O-acyltransferase domain-containing protein 7, h-mboa-7

10 Images
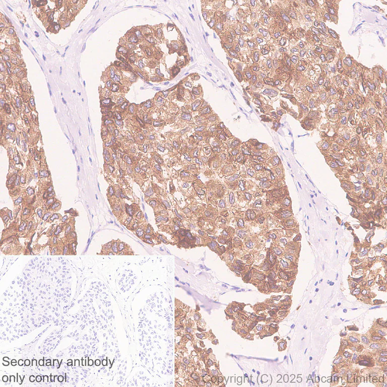
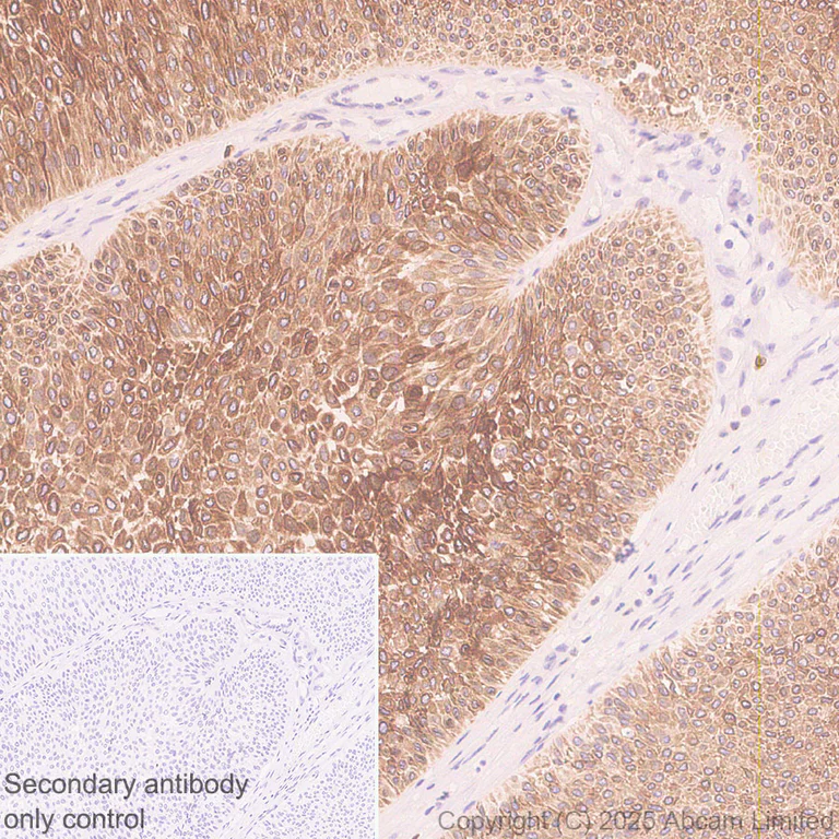
Immunohistochemistry (Formalin/PFA-fixed paraffin-embedded sections) - Anti-MBOAT7 antibody [EPR30427-503] - BSA and Azide free (AB325504)
  • IHC-P

Lab

Immunohistochemistry (Formalin/PFA-fixed paraffin-embedded sections) - Anti-MBOAT7 antibody [EPR30427-503] - BSA and Azide free (AB325504)

This data was developed using ab325494, the same antibody clone in a different buffer formulation.

Immunohistochemical analysis of paraffin-embedded Human bladder cancer tissue labeling LENG4 with ab325494 at 1/500 (1.066 µg/ml) dilution, followed by a ready to use LeicaDS9800 (Bond™ Polymer Refine Detection).

Cytoplasmic staining on human bladder cancer.

The primary antibody was incubated for 30 mins at room temperature.

The immunostaining was performed on a Leica Biosystems BOND® RX instrument.

Counterstained with Hematoxylin.

Secondary antibody only control : Secondary antibody is a ready to use LeicaDS9800 (Bond™ Polymer Refine Detection).

Heat mediated antigen retrieval was performed with Tris-EDTA buffer (pH 9.0, Epitope Retrieval Solution2) for 20 mins

Immunohistochemistry (Formalin/PFA-fixed paraffin-embedded sections) - Anti-MBOAT7 antibody [EPR30427-503] - BSA and Azide free (AB325504)
  • IHC-P

Lab

Immunohistochemistry (Formalin/PFA-fixed paraffin-embedded sections) - Anti-MBOAT7 antibody [EPR30427-503] - BSA and Azide free (AB325504)

This data was developed using ab325494, the same antibody clone in a different buffer formulation.

Immunohistochemical analysis of paraffin-embedded Panel A : HEK-293T (human embryonic kidney epithelial cell) transfected with a MBOAT7 expression vector containing a his tag Panel B : HEK-293T (human embryonic kidney epithelial cell) transfected with a SPZ1 expression vector containing a his tag Panel C : HEK-293T (human embryonic kidney epithelial cell) transfected with an empty vector containing a myc-His-tag® tissue labeling LENG4 with ab325494 at 1/500 (1.066 µg/ml) dilution, followed by a ready to use LeicaDS9800 (Bond™ Polymer Refine Detection).

Positive staining on (A) HEK-293T transfected with a MBOAT7 expression vector containing a his tag, no staining on (B) HEK-293T transfected with a SPZ1 expression vector containing a his tag and (C) HEK-293T cells transfected with empty vector containing a myc-His-tag.

The primary antibody was incubated for 30 mins at room temperature.

The immunostaining was performed on a Leica Biosystems BOND® RX instrument.

Counterstained with Hematoxylin.

Secondary antibody only control : Secondary antibody is a ready to use LeicaDS9800 (Bond™ Polymer Refine Detection).

Heat mediated antigen retrieval was performed with Tris-EDTA buffer (pH 9.0, Epitope Retrieval Solution2) for 20 mins

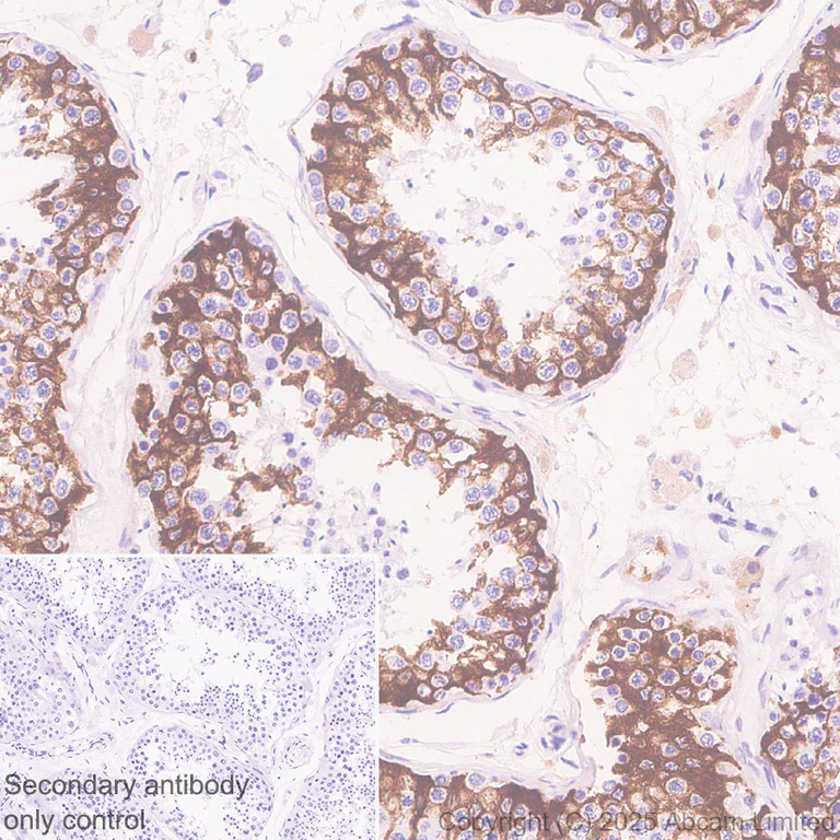
Immunohistochemistry (Formalin/PFA-fixed paraffin-embedded sections) - Anti-MBOAT7 antibody [EPR30427-503] - BSA and Azide free (AB325504)
  • IHC-P

Lab

Immunohistochemistry (Formalin/PFA-fixed paraffin-embedded sections) - Anti-MBOAT7 antibody [EPR30427-503] - BSA and Azide free (AB325504)

This data was developed using ab325494, the same antibody clone in a different buffer formulation.

Immunohistochemical analysis of paraffin-embedded Human testis tissue labeling LENG4 with ab325494 at 1/500 (1.066 µg/ml) dilution, followed by a ready to use LeicaDS9800 (Bond™ Polymer Refine Detection).

Cytoplasmic staining on human testis.

The primary antibody was incubated for 30 mins at room temperature.

The immunostaining was performed on a Leica Biosystems BOND® RX instrument.

Counterstained with Hematoxylin.

Secondary antibody only control : Secondary antibody is a ready to use LeicaDS9800 (Bond™ Polymer Refine Detection).

Heat mediated antigen retrieval was performed with Tris-EDTA buffer (pH 9.0, Epitope Retrieval Solution2) for 20 mins

Immunohistochemistry (Formalin/PFA-fixed paraffin-embedded sections) - Anti-MBOAT7 antibody [EPR30427-503] - BSA and Azide free (AB325504)
  • IHC-P

Lab

Immunohistochemistry (Formalin/PFA-fixed paraffin-embedded sections) - Anti-MBOAT7 antibody [EPR30427-503] - BSA and Azide free (AB325504)

This data was developed using ab325494, the same antibody clone in a different buffer formulation.

Immunohistochemical analysis of paraffin-embedded Panel A : NIH : OVCAR-3 (human ovary adenocarcinoma epithelial cell) cell pellet Panel B : PC-3 (human prostate adenocarcinoma epithelial cell) cell pellet Panel C : SW620 (human colorectal adenocarcinoma epithelial cell) cell pellet Panel D : THP-1 (human monocytic leukemia monocyte) cell pellet tissue labeling LENG4 with ab325494 at 1/500 (1.066 µg/ml) dilution, followed by a ready to use LeicaDS9800 (Bond™ Polymer Refine Detection).

Positive staining on (A) NIH : OVCAR-3 and (B) PC-3, no staining in (C) SW620 and (D) THP-1.

The primary antibody was incubated for 30 mins at room temperature.

The immunostaining was performed on a Leica Biosystems BOND® RX instrument.

Counterstained with Hematoxylin.

Secondary antibody only control : Secondary antibody is a ready to use LeicaDS9800 (Bond™ Polymer Refine Detection).

Heat mediated antigen retrieval was performed with Tris-EDTA buffer (pH 9.0, Epitope Retrieval Solution2) for 20 mins

Immunohistochemistry (Formalin/PFA-fixed paraffin-embedded sections) - Anti-MBOAT7 antibody [EPR30427-503] - BSA and Azide free (AB325504)
  • IHC-P

Lab

Immunohistochemistry (Formalin/PFA-fixed paraffin-embedded sections) - Anti-MBOAT7 antibody [EPR30427-503] - BSA and Azide free (AB325504)

This data was developed using ab325494, the same antibody clone in a different buffer formulation.

Immunohistochemical analysis of paraffin-embedded Human breast cancer tissue labeling LENG4 with ab325494 at 1/500 (1.066 µg/ml) dilution, followed by a ready to use LeicaDS9800 (Bond™ Polymer Refine Detection).

Cytoplasmic staining on human breast cancer.

The primary antibody was incubated for 30 mins at room temperature.

The immunostaining was performed on a Leica Biosystems BOND® RX instrument.

Counterstained with Hematoxylin.

Secondary antibody only control : Secondary antibody is a ready to use LeicaDS9800 (Bond™ Polymer Refine Detection).

Heat mediated antigen retrieval was performed with Tris-EDTA buffer (pH 9.0, Epitope Retrieval Solution2) for 20 mins

Immunocytochemistry/ Immunofluorescence - Anti-MBOAT7 antibody [EPR30427-503] - BSA and Azide free (AB325504)
  • ICC/IF

Lab

Immunocytochemistry/ Immunofluorescence - Anti-MBOAT7 antibody [EPR30427-503] - BSA and Azide free (AB325504)

This data was developed using ab325494, the same antibody clone in a different buffer formulation.

Immunofluorescent analysis of 100% methanol-fixed, 0.1% TritonX-100 permeabilized HT-1197(human urinary bladder carcinoma cell);THP-1(human monocytic leukemia monocyte) cells labelling LENG4 with ab325494 at 1/500 (1.066 µg/ml) dilution , followed by ab150081 Goat Anti-Rabbit IgG H&L (Alexa Fluor® 488) preadsorbed antibody at 1/1000 dilution (Green).

Confocal image showing cytoplasmic staining in HT-1197 cell line (shown in green). The counterstain was observed in magenta. Nuclear DNA was labelled with DAPI (shown in blue). Low expression : THP-1. Image was taken with a confocal microscope (Leica-Microsystems, TCS SP8).

Anti-KDEL mouse monoclonal antibody was used to counterstain tubulin at 1/1000 dilution (Magenta). The Nuclear counterstain was DAPI (Blue).

Secondary antibody only control : Secondary antibody is ab150081 Goat Anti-Rabbit IgG H&L (Alexa Fluor® 488) preadsorbed at 1/1000 dilution.

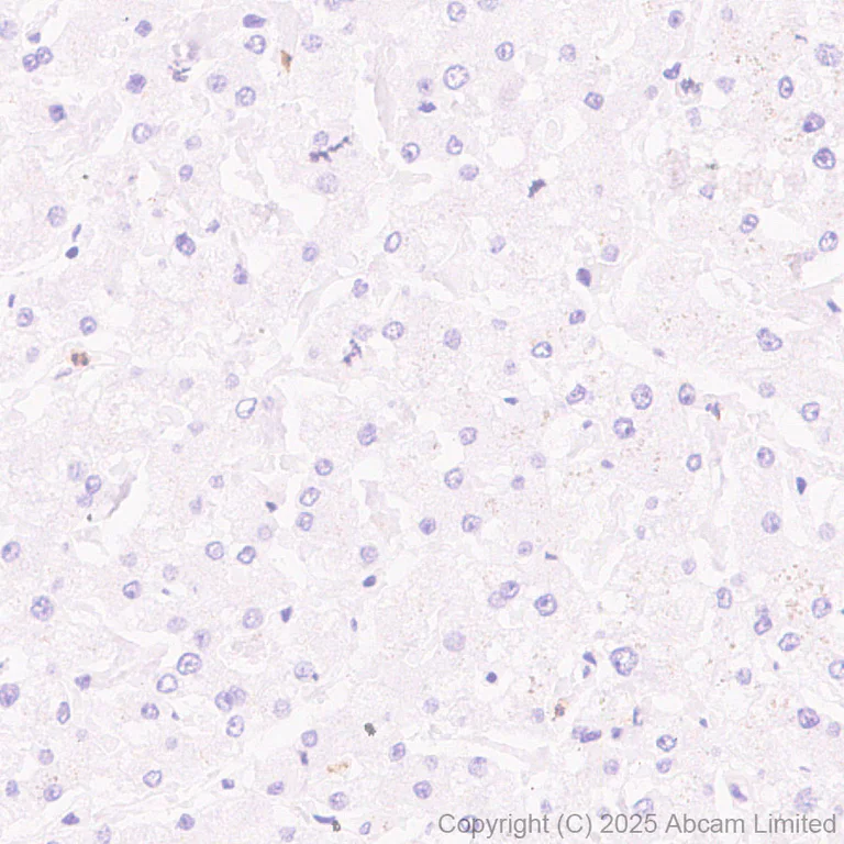
Immunohistochemistry (Formalin/PFA-fixed paraffin-embedded sections) - Anti-MBOAT7 antibody [EPR30427-503] - BSA and Azide free (AB325504)
  • IHC-P

Lab

Immunohistochemistry (Formalin/PFA-fixed paraffin-embedded sections) - Anti-MBOAT7 antibody [EPR30427-503] - BSA and Azide free (AB325504)

This data was developed using ab325494, the same antibody clone in a different buffer formulation.

Immunohistochemical analysis of paraffin-embedded Human liver tissue labeling LENG4 with ab325494 at 1/500 (1.066 µg/ml) dilution, followed by a ready to use LeicaDS9800 (Bond™ Polymer Refine Detection).

Low expression : Nearly no staining in human liver.

The primary antibody was incubated for 30 mins at room temperature.

The immunostaining was performed on a Leica Biosystems BOND® RX instrument.

Counterstained with Hematoxylin.

Secondary antibody only control : Secondary antibody is a ready to use LeicaDS9800 (Bond™ Polymer Refine Detection).

Heat mediated antigen retrieval was performed with Tris-EDTA buffer (pH 9.0, Epitope Retrieval Solution2) for 20 mins

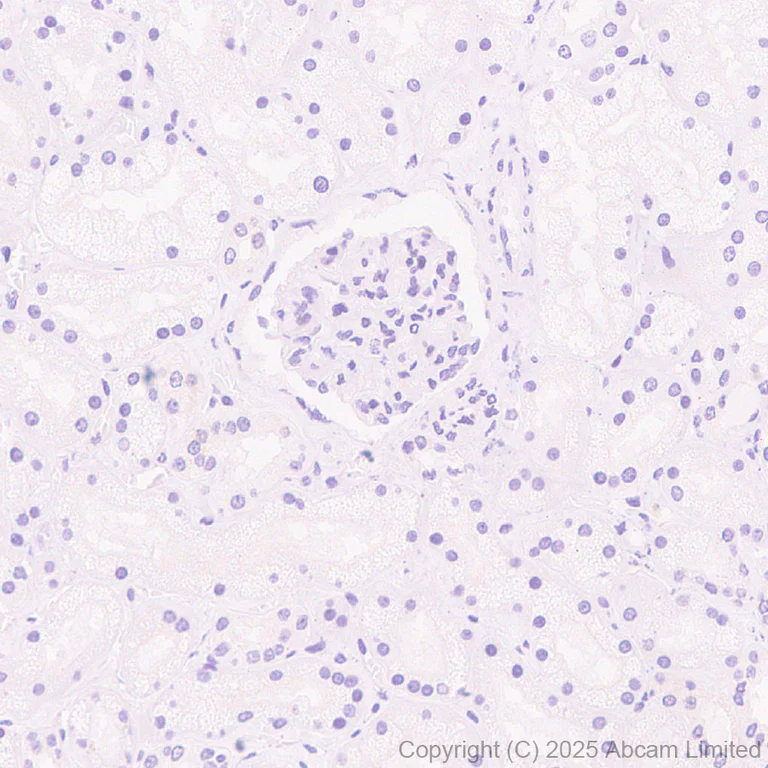
Immunohistochemistry (Formalin/PFA-fixed paraffin-embedded sections) - Anti-MBOAT7 antibody [EPR30427-503] - BSA and Azide free (AB325504)
  • IHC-P

Lab

Immunohistochemistry (Formalin/PFA-fixed paraffin-embedded sections) - Anti-MBOAT7 antibody [EPR30427-503] - BSA and Azide free (AB325504)

This data was developed using ab325494, the same antibody clone in a different buffer formulation.

Immunohistochemical analysis of paraffin-embedded Human kidney tissue labeling LENG4 with ab325494 at 1/500 (1.066 µg/ml) dilution, followed by a ready to use LeicaDS9800 (Bond™ Polymer Refine Detection).

Low expression : Nearly no staining in human kidney.

The primary antibody was incubated for 30 mins at room temperature.

The immunostaining was performed on a Leica Biosystems BOND® RX instrument.

Counterstained with Hematoxylin.

Secondary antibody only control : Secondary antibody is a ready to use LeicaDS9800 (Bond™ Polymer Refine Detection).

Heat mediated antigen retrieval was performed with Tris-EDTA buffer (pH 9.0, Epitope Retrieval Solution2) for 20 mins

Western blot - Anti-MBOAT7 antibody [EPR30427-503] - BSA and Azide free (AB325504)
  • WB

Lab

Western blot - Anti-MBOAT7 antibody [EPR30427-503] - BSA and Azide free (AB325504)

This data was developed using ab325494, the same antibody clone in a different buffer formulation.

Blocking and diluting buffer and concentration : 5% NFDM/TBST.

Low expression : lymph node, liver

Samples are non-boiled as boiling may cause protein aggregation.

In Western blot, Anti-GAPDH antibody [EPR16891] - Loading Control (ab181602) (1 : 200000) (36KDa).

All lanes:

Western blot - Anti-MBOAT7 antibody [EPR30427-503] (<a href='/en-us/products/primary-antibodies/mboat7-antibody-epr30427-503-ab325494'>ab325494</a>) at 1/1000 dilution

Lane 1:

Human adrenal gland tissue lysate at 20 µg

Lane 2:

Human testis tissue lysate at 20 µg

Lane 3:

Human lymph node tissue lysate at 20 µg

Lane 4:

Human liver tissue lysate at 20 µg

Secondary

All lanes:

Goat Anti-Rabbit IgG (HRP) with minimal cross-reactivity with human IgG at 1/2000 dilution

Observed band size: 40 kDa,36 kDa

false

Exposure time: 180s

Western blot - Anti-MBOAT7 antibody [EPR30427-503] - BSA and Azide free (AB325504)
  • WB

Lab

Western blot - Anti-MBOAT7 antibody [EPR30427-503] - BSA and Azide free (AB325504)

This data was developed using ab325494, the same antibody clone in a different buffer formulation.

Blocking and diluting buffer and concentration : 5% NFDM/TBST.

Low expression : THP-1, SW620

Samples are non-boiled as boiling may cause protein aggregation.

In Western blot, Anti-GAPDH antibody [EPR16891] - Loading Control (ab181602) (1 : 200000) (36KDa).

All lanes:

Western blot - Anti-MBOAT7 antibody [EPR30427-503] (<a href='/en-us/products/primary-antibodies/mboat7-antibody-epr30427-503-ab325494'>ab325494</a>) at 1/1000 dilution

Lane 1:

A-172 (human brain glioblastoma cell ) whole cell lysate at 40 µg

Lane 2:

HT-1197 (human urinary bladder carcinoma cell ) whole cell lysate at 40 µg

Lane 3:

NIH:OVCAR-3 (human ovary adenocarcinoma epithelial cell) whole cell lysate at 40 µg

Lane 4:

PC-3 (human prostate adenocarcinoma epithelial cell) whole cell lysate at 40 µg

Lane 5:

THP-1 (human monocytic leukemia monocyte) whole cell lysate at 40 µg

Lane 6:

SW620 (human colorectal adenocarcinoma epithelial cell) whole cell lysate at 40 µg

Secondary

All lanes:

Western blot - Goat Anti-Rabbit IgG H&L (HRP) (<a href='/en-us/products/secondary-antibodies/goat-rabbit-igg-h-l-hrp-ab97051'>ab97051</a>) at 1/100000 dilution

Observed band size: 40 kDa,36 kDa

false

Exposure time: 180s

Key facts

Host species

Rabbit

Clonality

Monoclonal

Clone number

EPR30427-503

Isotype

IgG

Carrier free

Yes

Reacts with

Human

Applications

IHC-P, WB, ICC/IF

applications

Immunogen

The exact immunogen used to generate this antibody is proprietary information.

Reactivity data

{ "title": "Reactivity Data", "filters": { "stats": ["", "Species", "Dilution Info", "Notes"], "tabs": { "all-applications": {"fullname" : "All Applications", "shortname": "All Applications"}, "IHCP" : {"fullname" : "Immunohistochemistry (Formalin/PFA-fixed paraffin-embedded sections)", "shortname":"IHC-P"}, "ICCIF" : {"fullname" : "Immunocytochemistry/ Immunofluorescence", "shortname":"ICC/IF"}, "WB" : {"fullname" : "Western blot", "shortname":"WB"} }, "product-promise": { "all": "all", "testedAndGuaranteed": "tested", "guaranteed": "expected", "predicted": "predicted", "notRecommended": "not-recommended" } }, "values": { "Human": { "IHCP-species-checked": "testedAndGuaranteed", "IHCP-species-dilution-info": "", "IHCP-species-notes": "<p></p>", "ICCIF-species-checked": "testedAndGuaranteed", "ICCIF-species-dilution-info": "", "ICCIF-species-notes": "<p></p>", "WB-species-checked": "testedAndGuaranteed", "WB-species-dilution-info": "", "WB-species-notes": "<p></p>" }, "Mouse": { "IHCP-species-checked": "notRecommended", "IHCP-species-dilution-info": "", "IHCP-species-notes": "<p></p>", "ICCIF-species-checked": "notRecommended", "ICCIF-species-dilution-info": "", "ICCIF-species-notes": "<p></p>", "WB-species-checked": "notRecommended", "WB-species-dilution-info": "", "WB-species-notes": "<p></p>" }, "Rat": { "IHCP-species-checked": "notRecommended", "IHCP-species-dilution-info": "", "IHCP-species-notes": "", "ICCIF-species-checked": "notRecommended", "ICCIF-species-dilution-info": "", "ICCIF-species-notes": "", "WB-species-checked": "notRecommended", "WB-species-dilution-info": "", "WB-species-notes": "<p></p>" }, "Transfected cell lysate - Human": { "IHCP-species-checked": "testedAndGuaranteed", "IHCP-species-dilution-info": "", "IHCP-species-notes": "<p></p>", "ICCIF-species-checked": "notRecommended", "ICCIF-species-dilution-info": "", "ICCIF-species-notes": "", "WB-species-checked": "notRecommended", "WB-species-dilution-info": "", "WB-species-notes": "" } } }

Product details

Patented technology
Our RabMAb® technology is a patented hybridoma-based technology for making rabbit monoclonal antibodies. For details on our patents, please refer to RabMAb® patents.

What are the advantages of a recombinant monoclonal antibody?
This product is a recombinant monoclonal antibody, which offers several advantages including:

  • - High batch-to-batch consistency and reproducibility
  • - Improved sensitivity and specificity
  • - Long-term security of supply
  • - Animal-free batch production

For more information, read more on recombinant antibodies.

Conjugation ready
Our carrier-free antibodies are typically supplied in a PBS-only formulation, purified and free of BSA, sodium azide and glycerol. This conjugation-ready format is designed for use with fluorochromes, metal isotopes, oligonucleotides, and enzymes, which makes them ideal for antibody labelling, functional and cell-based assays, flow-based assays (e.g. mass cytometry) and Multiplex Imaging applications.

Use our conjugation kits for antibody conjugates that are ready-to-use in as little as 20 minutes with 1 minute hands-on-time and 100% antibody recovery: available for fluorescent dyes, HRP, biotin and gold.

Compatibility
This product is compatible with the Maxpar® Antibody Labeling Kit from Fluidigm, without the need for antibody preparation. Maxpar® is a trademark of Fluidigm Canada Inc.

Properties and storage information

Form
Liquid
Purification technique
Affinity purification Protein A
Storage buffer
pH: 7.2 - 7.4 Constituents: PBS
Shipped at conditions
Blue Ice
Appropriate short-term storage conditions
+4°C
Appropriate long-term storage conditions
+4°C
Storage information
Do Not Freeze

Product protocols

For this product, it's our understanding that no specific protocols are required. You can visit:

Target data

Acyltransferase which catalyzes the transfer of an acyl group from an acyl-CoA to a lysophosphatidylinositol (1-acylglycerophosphatidylinositol or LPI) leading to the production of a phosphatidylinositol (1,2-diacyl-sn-glycero-3-phosphoinositol or PI) and participates in the reacylation step of the phospholipid remodeling pathway also known as the Lands cycle (PubMed : 18094042, PubMed : 18772128). Prefers arachidonoyl-CoA as the acyl donor, thus contributing to the regulation of free levels arachidonic acid in cell (PubMed : 18094042, PubMed : 18772128). In liver, participates in the regulation of triglyceride metabolism through the phosphatidylinositol acyl-chain remodeling regulation (PubMed : 32253259).
See full target information MBOAT7

Product promise

We are committed to supporting your work with high-quality reagents, and we're here for you every step of the way. In the unlikely event that one of our products does not perform as expected, you're protected by our Product Promise.
For full details, please see our Terms & Conditions

Please note: All products are 'FOR RESEARCH USE ONLY. NOT FOR USE IN DIAGNOSTIC OR THERAPEUTIC PROCEDURES'.

For licensing inquiries, please contact partnerships@abcam.com