JavaScript is disabled in your browser. Please enable JavaScript to view this website.
AB317088

Anti-MC1 Receptor antibody [HL1471]

Be the first to review this product! Submit a review

|

(0 Publication)

Rabbit Monoclonal MC1-R antibody. Suitable for IHC-P, WB and reacts with Human, Mouse, Rat, Transfected cell lysate samples. Immunogen corresponding to Synthetic Peptide within Human MC1R conjugated to Keyhole Limpet Haemocyanin.

View Alternative Names

MSHR, MC1R, Melanocyte-stimulating hormone receptor, MSH-R, Melanocortin receptor 1, MC1-R

5 Images
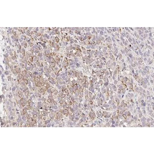
Immunohistochemistry (Formalin/PFA-fixed paraffin-embedded sections) - Anti-MC1 Receptor antibody [HL1471] (AB317088)
  • IHC-P

Supplier Data

Immunohistochemistry (Formalin/PFA-fixed paraffin-embedded sections) - Anti-MC1 Receptor antibody [HL1471] (AB317088)

ab317088 detects MC1 Receptor protein at cell membrane by immunohistochemical analysis. Sample : Paraffin-embedded A375 xenograft . ab317088 diluted at 1 : 100. Antigen Retrieval : Citrate buffer, pH 6.0, 15 min

Western blot - Anti-MC1 Receptor antibody [HL1471] (AB317088)
  • WB

Supplier Data

Western blot - Anti-MC1 Receptor antibody [HL1471] (AB317088)

Non-transfected (–) and transfected (+) A375 whole cell extracts (30 μg) were separated by 12% SDS-PAGE, and the membrane was blotted with ab317088 diluted at 1 : 5000. An HRP-conjugated anti-rabbit IgG antibody was used to detect the primary antibody.

All lanes:

Western blot - Anti-MC1 Receptor antibody [HL1471] (ab317088) at 1/5000 dilution

Lane 1:

Non-transfected (–) unboiled A375 whole cell extracts at 30 µg

Lane 2:

Transfected (+) unboiled A375 whole cell extracts at 30 µg

Secondary

All lanes:

HRP-conjugated anti-rabbit IgG antibody

false

Western blot - Anti-MC1 Receptor antibody [HL1471] (AB317088)
  • WB

Supplier Data

Western blot - Anti-MC1 Receptor antibody [HL1471] (AB317088)

Various whole cell extracts (30 μg) were separated by 12% SDS-PAGE, and the membrane was blotted with ab317088 diluted at 1 : 1000. An HRP-conjugated anti-rabbit IgG antibody was used to detect the primary antibody.

All lanes:

Western blot - Anti-MC1 Receptor antibody [HL1471] (ab317088) at 1/1000 dilution

Lane 1:

MCF-7 whole cell extracts at 30 µg

Lane 2:

MDA-MB-231 whole cell extracts at 30 µg

Secondary

All lanes:

HRP-conjugated anti-rabbit IgG antibody

false

Western blot - Anti-MC1 Receptor antibody [HL1471] (AB317088)
  • WB

Supplier Data

Western blot - Anti-MC1 Receptor antibody [HL1471] (AB317088)

Various tissue extracts (50 μg) were separated by 12% SDS-PAGE, and the membrane was blotted with ab317088 diluted at 1 : 1000. An HRP-conjugated anti-rabbit IgG antibody was used to detect the primary antibody.

All lanes:

Western blot - Anti-MC1 Receptor antibody [HL1471] (ab317088) at 1/1000 dilution

Lane 1:

Mouse tissue extracts at 50 µg

Lane 2:

Rat tissue extracts at 50 µg

Secondary

All lanes:

HRP-conjugated anti-rabbit IgG antibody

false

Western blot - Anti-MC1 Receptor antibody [HL1471] (AB317088)
  • WB

Supplier Data

Western blot - Anti-MC1 Receptor antibody [HL1471] (AB317088)

Various extracts (50 μg) were separated by 12% SDS-PAGE, and the membrane was blotted with ab317088 diluted at 1 : 1000. An HRP-conjugated anti-rabbit IgG antibody was used to detect the primary antibody.

All lanes:

Western blot - Anti-MC1 Receptor antibody [HL1471] (ab317088) at 1/1000 dilution

Lane 1:

Mouse cerebellum tissue extract at 50 µg

Lane 2:

Mouse muscle tissue extract at 50 µg

Secondary

All lanes:

HRP-conjugated anti-rabbit IgG antibody

false

Key facts

Host species

Rabbit

Clonality

Monoclonal

Clone number

HL1471

Isotype

IgG

Carrier free

No

Reacts with

Human, Mouse, Rat

Applications

IHC-P, WB

applications

Immunogen

Synthetic Peptide within Human MC1R conjugated to Keyhole Limpet Haemocyanin.

Q01726

Reactivity data

{ "title": "Reactivity Data", "filters": { "stats": ["", "Species", "Dilution Info", "Notes"], "tabs": { "all-applications": {"fullname" : "All Applications", "shortname": "All Applications"}, "IHCP" : {"fullname" : "Immunohistochemistry (Formalin/PFA-fixed paraffin-embedded sections)", "shortname":"IHC-P"}, "WB" : {"fullname" : "Western blot", "shortname":"WB"} }, "product-promise": { "all": "all", "testedAndGuaranteed": "tested", "guaranteed": "expected", "predicted": "predicted", "notRecommended": "not-recommended" } }, "values": { "Human": { "IHCP-species-checked": "testedAndGuaranteed", "IHCP-species-dilution-info": "1/100 - 1/1000", "IHCP-species-notes": "<p></p>", "WB-species-checked": "testedAndGuaranteed", "WB-species-dilution-info": "1/500 - 1/3000", "WB-species-notes": "<p></p>" }, "Mouse": { "IHCP-species-checked": "guaranteed", "IHCP-species-dilution-info": "", "IHCP-species-notes": "", "WB-species-checked": "testedAndGuaranteed", "WB-species-dilution-info": "1/500 - 1/3000", "WB-species-notes": "<p></p>" }, "Rat": { "IHCP-species-checked": "guaranteed", "IHCP-species-dilution-info": "", "IHCP-species-notes": "", "WB-species-checked": "testedAndGuaranteed", "WB-species-dilution-info": "1/500 - 1/3000", "WB-species-notes": "<p></p>" }, "Transfected cell lysate": { "IHCP-species-checked": "notRecommended", "IHCP-species-dilution-info": "", "IHCP-species-notes": "", "WB-species-checked": "testedAndGuaranteed", "WB-species-dilution-info": "1/500 - 1/3000", "WB-species-notes": "<p></p>" } } }

Properties and storage information

Form
Liquid
Storage buffer
pH: 7.4 Constituents: PBS
Shipped at conditions
Blue Ice
Appropriate short-term storage duration
1-2 weeks
Appropriate short-term storage conditions
+4°C
Appropriate long-term storage conditions
-20°C
Aliquoting information
Upon delivery aliquot
Storage information
Avoid freeze / thaw cycle

Supplementary information

This supplementary information is collated from multiple sources and compiled automatically.

The MC1-R also known as the melanocortin 1 receptor is a protein that plays an important role in the regulation of skin and hair pigmentation. It is a G-protein-coupled receptor with a molecular mass of approximately 37 kDa. The receptor is expressed mainly in melanocytes the cells responsible for producing melanin in the skin and hair. Additionally it appears in other cells such as keratinocytes and certain types of immune cells. By binding specific ligands the MC1-R triggers a cascade of intracellular signals that influence melanin production.
Biological function summary

The MC1-R affects pigmentation by increasing the synthesis of eumelanin the dark pigment in the skin and hair while reducing pheomelanin the red or yellow pigment. It functions as part of a complex with other melanocortin receptors working in coordination to modulate the overall pigmentation process in response to environmental cues like ultraviolet radiation. The receptor achieves this by impacting key enzymes involved in melanin production such as tyrosinase.

Pathways

The MC1-R is part of the melanogenesis pathway a critical process for pigmentation protection against UV radiation and development. It interacts with other melanocortin receptors and is activated by melanocyte-stimulating hormones (MSH). The receptor plays a role in the cyclic adenosine monophosphate (cAMP) signaling pathway where it regulates the activity of the protein kinase A (PKA) an essential step in upregulating melanin synthesis. The cAMP pathway also links MC1-R with other related proteins such as CREB which further regulates gene expression.

MC1-R mutations or dysregulations associate with conditions like melanoma and oculocutaneous albinism. In melanoma alterations in MC1-R signaling can lead to increased susceptibility to UV-induced damage as the protective eumelanin is reduced. The receptor also interacts with the protein p53 well known for its role in tumor suppression highlighting its significance in cancer biology. In oculocutaneous albinism MC1-R dysfunction results in decreased melanin production leading to pigmentation deficits and increased risks of skin cancers.

Product protocols

For this product, it's our understanding that no specific protocols are required. You can visit:

Target data

Receptor for MSH (alpha, beta and gamma) and ACTH (PubMed : 11442765, PubMed : 11707265, PubMed : 1325670, PubMed : 1516719, PubMed : 8463333). The activity of this receptor is mediated by G proteins which activate adenylate cyclase (PubMed : 11707265, PubMed : 1325670, PubMed : 16463023, PubMed : 19737927). Mediates melanogenesis, the production of eumelanin (black/brown) and phaeomelanin (red/yellow), via regulation of cAMP signaling in melanocytes (PubMed : 31097585).
See full target information MC1R

Additional targets

Mc1r

Product promise

We are committed to supporting your work with high-quality reagents, and we're here for you every step of the way. In the unlikely event that one of our products does not perform as expected, you're protected by our Product Promise.
For full details, please see our Terms & Conditions

Please note: All products are 'FOR RESEARCH USE ONLY. NOT FOR USE IN DIAGNOSTIC OR THERAPEUTIC PROCEDURES'.

For licensing inquiries, please contact partnerships@abcam.com