JavaScript is disabled in your browser. Please enable JavaScript to view this website.
AB84497

Anti-MCAF1 antibody

Be the first to review this product! Submit a review

|

(8 Publications)

Rabbit Polyclonal MCAF1 antibody. Suitable for IHC-P and reacts with Mouse, Human samples. Cited in 8 publications. Immunogen corresponding to Synthetic Peptide within Human ATF7IP aa 1-100.

View Alternative Names

MCAF, MCAF1, ATF7IP, Activating transcription factor 7-interacting protein 1, ATF-interacting protein, ATF7-interacting protein, ATFa-associated modulator, MBD1-containing chromatin-associated factor 1, P621, ATF-IP, hAM

2 Images
Immunohistochemistry (Formalin/PFA-fixed paraffin-embedded sections) - Anti-MCAF1 antibody (AB84497)
  • IHC-P

Unknown

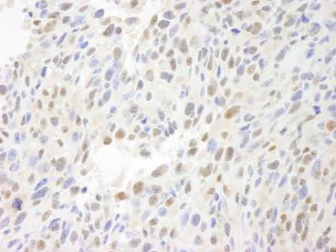
Immunohistochemistry (Formalin/PFA-fixed paraffin-embedded sections) - Anti-MCAF1 antibody (AB84497)

ab84497, at 1/250 dilution, staining MCAF1 in formalin-fixed, paraffin-embedded human small cell lung cancer by Immunohistochemistry, using DAB staining.

Immunohistochemistry (Formalin/PFA-fixed paraffin-embedded sections) - Anti-MCAF1 antibody (AB84497)
  • IHC-P

Unknown

Immunohistochemistry (Formalin/PFA-fixed paraffin-embedded sections) - Anti-MCAF1 antibody (AB84497)

ab84497, at 1/250 dilution, staining MCAF1 in formalin-fixed, paraffin-embedded mouse squamous cell carcinoma by Immunohistochemistry, using DAB staining.

Key facts

Host species

Rabbit

Clonality

Polyclonal

Isotype

IgG

Carrier free

No

Reacts with

Mouse, Human

Applications

IHC-P

applications

Immunogen

Synthetic Peptide within Human ATF7IP aa 1-100. The exact immunogen used to generate this antibody is proprietary information.

Q6VMQ6

Reactivity data

{ "title": "Reactivity Data", "filters": { "stats": ["", "Species", "Dilution Info", "Notes"], "tabs": { "all-applications": {"fullname" : "All Applications", "shortname": "All Applications"}, "IHCP" : {"fullname" : "Immunohistochemistry (Formalin/PFA-fixed paraffin-embedded sections)", "shortname":"IHC-P"} }, "product-promise": { "all": "all", "testedAndGuaranteed": "tested", "guaranteed": "expected", "predicted": "predicted", "notRecommended": "not-recommended" } }, "values": { "Human": { "IHCP-species-checked": "testedAndGuaranteed", "IHCP-species-dilution-info": "1/100 - 1/500", "IHCP-species-notes": "<p>Epitope exposure is recommended. Epitope exposure with citrate buffer will enhance staining.</p>" }, "Mouse": { "IHCP-species-checked": "testedAndGuaranteed", "IHCP-species-dilution-info": "1/100 - 1/500", "IHCP-species-notes": "<p>Epitope exposure is recommended. Epitope exposure with citrate buffer will enhance staining.</p>" }, "Chimpanzee": { "IHCP-species-checked": "predicted", "IHCP-species-dilution-info": "", "IHCP-species-notes": "" }, "Cow": { "IHCP-species-checked": "predicted", "IHCP-species-dilution-info": "", "IHCP-species-notes": "" }, "Dog": { "IHCP-species-checked": "predicted", "IHCP-species-dilution-info": "", "IHCP-species-notes": "" }, "Elephant": { "IHCP-species-checked": "predicted", "IHCP-species-dilution-info": "", "IHCP-species-notes": "" }, "Gorilla": { "IHCP-species-checked": "predicted", "IHCP-species-dilution-info": "", "IHCP-species-notes": "" }, "Horse": { "IHCP-species-checked": "predicted", "IHCP-species-dilution-info": "", "IHCP-species-notes": "" }, "Orangutan": { "IHCP-species-checked": "predicted", "IHCP-species-dilution-info": "", "IHCP-species-notes": "" }, "Pig": { "IHCP-species-checked": "predicted", "IHCP-species-dilution-info": "", "IHCP-species-notes": "" }, "Rhesus monkey": { "IHCP-species-checked": "predicted", "IHCP-species-dilution-info": "", "IHCP-species-notes": "" } } }

Properties and storage information

Form
Liquid
Purification technique
Affinity purification Immunogen
Storage buffer
pH: 6.8 - 7.4 Preservative: 0.09% Sodium azide Constituents: Tris buffered saline, 0.1% BSA
Shipped at conditions
Blue Ice
Appropriate short-term storage conditions
+4°C
Appropriate long-term storage conditions
-20°C
Aliquoting information
Upon delivery aliquot
Storage information
Avoid freeze / thaw cycle

Supplementary information

This supplementary information is collated from multiple sources and compiled automatically.

MCAF1 also known as MBD1-containing chromatin-associated factor 1 functions as a transcriptional co-regulator interacting with various other proteins. With a molecular mass of approximately 89 kDa MCAF1 connects with methyl-CpG binding domains to regulate gene expression. The protein is highly expressed in tissues like the brain liver and spleen indicating its broad participation in important cellular processes.
Biological function summary

MCAF1 acts as a bridge between components of the chromatin and transcription machinery. It forms complexes with other proteins such as MBD1 and SETDB1 to influence gene silencing. These interactions allow MCAF1 to participate in the regulation of gene activation and repression via chromatin remodeling. Its role in modifying chromatin structure underlines its importance in controlling essential cellular functions like differentiation and proliferation.

Pathways

MCAF1 integrates into gene expression regulatory pathways and chromatin organization. It closely interacts with proteins such as SETDB1 and MBD1 to mediate the silencing pathway. The protein modulates pathway activities by changing the chromatin state impacting the expression of genes involved in cellular growth and division. These interactions make MCAF1 a significant player in transcriptional regulation through chromatin modifications.

Scientists have linked MCAF1 to neurological disorders and cancers. Aberrant expression or mutations in MCAF1 or its partner proteins like SETDB1 can contribute to cancer progression and metastasis by altering gene expression. In neurological contexts MCAF1 may play roles in disorders where chromatin remodeling impacts neuronal function. Understanding its interactions provides insights into disease mechanisms and highlights potential targets for therapeutic intervention.

Product protocols

For this product, it's our understanding that no specific protocols are required. You can visit:

Target data

Recruiter that couples transcriptional factors to general transcription apparatus and thereby modulates transcription regulation and chromatin formation. Can both act as an activator or a repressor depending on the context. Required for HUSH-mediated heterochromatin formation and gene silencing (PubMed : 27732843). Mediates MBD1-dependent transcriptional repression, probably by recruiting complexes containing SETDB1 (PubMed : 12665582). Stabilizes SETDB1, is required to stimulate histone methyltransferase activity of SETDB1 and facilitates the conversion of dimethylated to trimethylated H3 'Lys-9' (H3K9me3). The complex formed with MBD1 and SETDB1 represses transcription and couples DNA methylation and histone H3 'Lys-9' trimethylation (H3K9me3) (PubMed : 14536086, PubMed : 27732843). Facilitates telomerase TERT and TERC gene expression by SP1 in cancer cells (PubMed : 19106100).
See full target information ATF7IP

Publications (8)

Recent publications for all applications. Explore the full list and refine your search

iScience 28:113059 PubMed40727931

2025

MGA directly recruits SETDB1/ATF7IP for histone H3K9me3 mark on meiosis-related genes in mouse embryonic stem cells.

Applications

Unspecified application

Species

Unspecified reactive species

Kousuke Uranishi,Masataka Hirasaki,Masazumi Nishimoto,Robert J Klose,Akihiko Okuda,Ayumu Suzuki

iScience 26:107126 PubMed37426340

2023

Genome-wide CRISPR-Cas9 screen analyzed by SLIDER identifies network of repressor complexes that regulate TRIM24.

Applications

Unspecified application

Species

Unspecified reactive species

Lalit R Patel,Sabrina A Stratton,Megan McLaughlin,Patrick Krause,Kendra Allton,Andrés López Rivas,Daniela Barbosa,Traver Hart,Michelle C Barton

Journal of immunology (Baltimore, Md. : 1950) 208:1155-1169 PubMed35110421

2022

ATF7ip Targets Transposable Elements for H3K9me3 Deposition to Modify CD8 T Cell Effector and Memory Responses.

Applications

Unspecified application

Species

Unspecified reactive species

Jun Hyung Sin,Sujit Kashyap,Dante Acenas,Jessica T Cortez,James Lee,Alexander Marson,Mehrdad Matloubian,Michael R Waterfield

Epigenetics & chromatin 13:52 PubMed33256805

2020

The fibronectin type-III (FNIII) domain of ATF7IP contributes to efficient transcriptional silencing mediated by the SETDB1 complex.

Applications

Unspecified application

Species

Unspecified reactive species

Takeshi Tsusaka,Kei Fukuda,Chikako Shimura,Masaki Kato,Yoichi Shinkai

EMBO reports 20:e48297 PubMed31576654

2019

ATF7IP regulates SETDB1 nuclear localization and increases its ubiquitination.

Applications

Unspecified application

Species

Unspecified reactive species

Takeshi Tsusaka,Chikako Shimura,Yoichi Shinkai

The Journal of experimental medicine 216:2024-2037 PubMed31217192

2019

The epigenetic regulator ATF7ip inhibits expression, regulating Th17 responses.

Applications

Unspecified application

Species

Unspecified reactive species

Jun Hyung Sin,Cassandra Zuckerman,Jessica T Cortez,Walter L Eckalbar,David J Erle,Mark S Anderson,Michael R Waterfield

Epigenetics & chromatin 11:56 PubMed30286792

2018

Tri-methylation of ATF7IP by G9a/GLP recruits the chromodomain protein MPP8.

Applications

Unspecified application

Species

Unspecified reactive species

Takeshi Tsusaka,Masaki Kikuchi,Tadahiro Shimazu,Takehiro Suzuki,Yoshihiro Sohtome,Mai Akakabe,Mikiko Sodeoka,Naoshi Dohmae,Takashi Umehara,Yoichi Shinkai

Epigenetics & chromatin 7:12 PubMed25028596

2014

The Mbd1-Atf7ip-Setdb1 pathway contributes to the maintenance of X chromosome inactivation.

Applications

Unspecified application

Species

Mouse

Alissa Minkovsky,Anna Sahakyan,Elyse Rankin-Gee,Giancarlo Bonora,Sanjeet Patel,Kathrin Plath
View all publications

Product promise

We are committed to supporting your work with high-quality reagents, and we're here for you every step of the way. In the unlikely event that one of our products does not perform as expected, you're protected by our Product Promise.
For full details, please see our Terms & Conditions

Please note: All products are 'FOR RESEARCH USE ONLY. NOT FOR USE IN DIAGNOSTIC OR THERAPEUTIC PROCEDURES'.

For licensing inquiries, please contact partnerships@abcam.com