JavaScript is disabled in your browser. Please enable JavaScript to view this website.
AB70536

Anti-MCAK antibody

Be the first to review this product! Submit a review

|

(2 Publications)

Rabbit Polyclonal MCAK antibody. Suitable for IP, IHC-P and reacts with Human samples. Cited in 2 publications. Immunogen corresponding to Synthetic Peptide within Human KIF2C.

View Alternative Names

KNSL6, KIF2C, Kinesin-like protein KIF2C, Kinesin-like protein 6, Mitotic centromere-associated kinesin, MCAK

2 Images
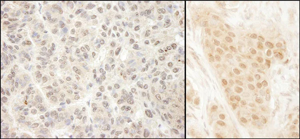
Immunohistochemistry (Formalin/PFA-fixed paraffin-embedded sections) - Anti-MCAK antibody (AB70536)
  • IHC-P

Supplier Data

Immunohistochemistry (Formalin/PFA-fixed paraffin-embedded sections) - Anti-MCAK antibody (AB70536)

Immunohistochemistry (Formalin/PFA-fixed paraffin-embedded sections) analysis of human skin carcinoma (left) and breast carcinoma (right) tissues labelling MCAK with ab70536 at 1/1000 (1µg/ml). Detection : DAB.

Immunoprecipitation - Anti-MCAK antibody (AB70536)
  • IP

Supplier Data

Immunoprecipitation - Anti-MCAK antibody (AB70536)

MCAK was immunoprecipitated from 1mg of HeLa (Human epithelial cell line from cervix adenocarcinoma) whole cell lysate with ab70536, ab264148 and ab264149 at 3 μg per reaction. Western blot was performed from the immunoprecipitate using ab264148 at 1 μg/ml.

Lane 1 : ab70536 IP in HeLa whole cell lysate.
Lane 2 : ab264148 IP in HeLa whole cell lysate.
Lane 3 : ab264149 IP in HeLa whole cell lysate.
Lane 4 : Control IgG.

Exposure time : 10 seconds.

Detection : Chemiluminescence

Lane 1:

Immunoprecipitation - Anti-MCAK antibody (<a href='/en-us/products/primary-antibodies/mcak-antibody-ab264148'>ab264148</a>)

Lane 1:

Immunoprecipitation - Anti-MCAK antibody (<a href='/en-us/products/primary-antibodies/mcak-antibody-ab264149'>ab264149</a>)

Lane 1:

Immunoprecipitation - Anti-MCAK antibody (ab70536)

Predicted band size: 81 kDa

false

Key facts

Host species

Rabbit

Clonality

Polyclonal

Isotype

IgG

Carrier free

No

Reacts with

Human

Applications

IP, IHC-P

applications

Immunogen

Synthetic Peptide within Human KIF2C. The exact immunogen used to generate this antibody is proprietary information.

Q99661

Reactivity data

{ "title": "Reactivity Data", "filters": { "stats": ["", "Species", "Dilution Info", "Notes"], "tabs": { "all-applications": {"fullname" : "All Applications", "shortname": "All Applications"}, "IP" : {"fullname" : "Immunoprecipitation", "shortname":"IP"}, "IHCP" : {"fullname" : "Immunohistochemistry (Formalin/PFA-fixed paraffin-embedded sections)", "shortname":"IHC-P"} }, "product-promise": { "all": "all", "testedAndGuaranteed": "tested", "guaranteed": "expected", "predicted": "predicted", "notRecommended": "not-recommended" } }, "values": { "Human": { "IP-species-checked": "testedAndGuaranteed", "IP-species-dilution-info": "", "IP-species-notes": "<p></p>", "IHCP-species-checked": "testedAndGuaranteed", "IHCP-species-dilution-info": "1/500 - 1/2000", "IHCP-species-notes": "<p></p>" } } }

Properties and storage information

Form
Liquid
Purification technique
Affinity purification Immunogen
Storage buffer
pH: 7 - 8 Preservative: 0.09% Sodium azide Constituents: PBS, 1.815% Tris, 1.764% Sodium citrate
Shipped at conditions
Blue Ice
Appropriate short-term storage conditions
+4°C
Appropriate long-term storage conditions
+4°C
Aliquoting information
Upon delivery aliquot
Storage information
Avoid freeze / thaw cycle

Supplementary information

This supplementary information is collated from multiple sources and compiled automatically.

The MCAK protein also known as KIF2C (kinesin family member 2C) is a motor protein that makes depolymerization of microtubules. It serves an important role in the regulation of microtubule dynamics during mitosis. MCAK has a molecular mass of approximately 81 kDa. Expression of MCAK is mostly found in actively dividing cells such as those in tissues with high turnover rates including the skin intestinal lining and specific tumors. This protein is critical for the proper formation and functioning of the mitotic spindle during cell division.
Biological function summary

The MCAK protein contributes to accurate chromosome segregation. MCAK performs its functions by binding to microtubule ends and removing tubulin subunits thereby aiding in microtubule disassembly. It functions within the mitotic spindle apparatus and ensures that chromosomes align properly and evenly separate to opposite poles of the dividing cell. This activity is not part of a complex but acts independently to correct improper microtubule attachments.

Pathways

MCAK plays a significant role in mitotic and cell cycle pathways. It coordinates with other proteins like Aurora B kinase which is involved in correcting improper kinetochore-microtubule attachments to maintain chromosome stability during mitosis. MCAK interacts with proteins controlling cell cycle checkpoints overlapping with pathways ensuring cells do not progress with errors in chromosome segregation.

Aberrant regulation of the MCAK protein can lead to chromosomal instability often observed in cancers such as colorectal and breast cancer. This instability can drive tumorigenesis where loss of proper chromosome segregation leads to aneuploidy and cancer progression. In these cancers MCAK may interact with other proteins such as Aurora kinases revealing potential therapeutic targets for intervention in malignancies with defective mitotic processes.

Product protocols

For this product, it's our understanding that no specific protocols are required. You can visit:

Target data

In complex with KIF18B, constitutes the major microtubule plus-end depolymerizing activity in mitotic cells (PubMed : 21820309). Regulates the turnover of microtubules at the kinetochore and functions in chromosome segregation during mitosis (PubMed : 19060894). Plays a role in chromosome congression and is required for the lateral to end-on conversion of the chromosome-microtubule attachment (PubMed : 23891108).
See full target information KIF2C

Publications (2)

Recent publications for all applications. Explore the full list and refine your search

Cancer medicine 14:e70915 PubMed40292920

2025

Elevated KIF2C Expression Drives Osteosarcoma Progression by Modulating the Wnt/β-Catenin Signaling Pathway and Contributing to an Immunosuppressive Tumor Microenvironment.

Applications

Unspecified application

Species

Unspecified reactive species

Ya-Yun Liu,Wu Sun,Lin Liu,Jin-Hui Cheng,Jing-Tang Li,Zu-Tai Huang,Min Ouyang

Frontiers in oncology 10:598238 PubMed33489896

2021

The RNA-Binding Protein DDX18 Promotes Gastric Cancer by Affecting the Maturation of MicroRNA-21.

Applications

Unspecified application

Species

Unspecified reactive species

Yeqian Zhang,Fengrong Yu,Bo Ni,Qing Li,Seong-Woo Bae,Jong-Ho Choi,Han-Kwang Yang,Seong-Ho Kong,Chunchao Zhu
View all publications

Product promise

We are committed to supporting your work with high-quality reagents, and we're here for you every step of the way. In the unlikely event that one of our products does not perform as expected, you're protected by our Product Promise.
For full details, please see our Terms & Conditions

Please note: All products are 'FOR RESEARCH USE ONLY. NOT FOR USE IN DIAGNOSTIC OR THERAPEUTIC PROCEDURES'.

For licensing inquiries, please contact partnerships@abcam.com