JavaScript is disabled in your browser. Please enable JavaScript to view this website.
AB71706

Anti-MCAK antibody

Be the first to review this product! Submit a review

|

(5 Publications)

Rabbit Polyclonal MCAK antibody. Suitable for IP, WB, IHC-P and reacts with Mouse samples. Cited in 5 publications. Immunogen corresponding to Synthetic Peptide within Mouse Kinesin-like protein KIF2C.

View Alternative Names

Kinesin-like protein KIF2C, Mitotic centromere-associated kinesin, MCAK, Kif2c

3 Images
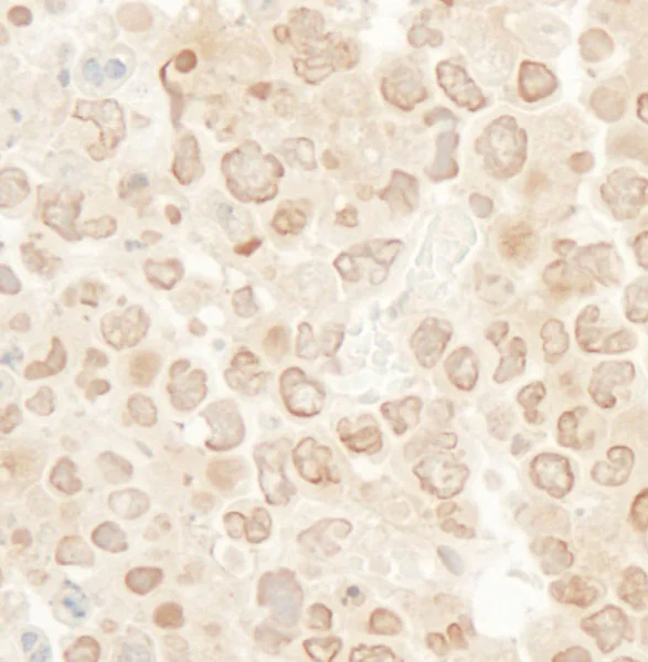
Immunohistochemistry (Formalin/PFA-fixed paraffin-embedded sections) - Anti-MCAK antibody (AB71706)
  • IHC-P

Unknown

Immunohistochemistry (Formalin/PFA-fixed paraffin-embedded sections) - Anti-MCAK antibody (AB71706)

Immunohistochemistry (Formalin/PFA-fixed paraffin-embedded sections) analysis of mouse hybridoma tumor tissue labelling MCAK with ab71706 at 1/1000 (1µg/ml). Detection : DAB.

Immunoprecipitation - Anti-MCAK antibody (AB71706)
  • IP

Unknown

Immunoprecipitation - Anti-MCAK antibody (AB71706)

MCAK antibody (ab71706) recognizing MCAK protein in NIH3T3 whole cell lysate (1 mg, 20% of IP loaded).
Lane 1 : MCAK antibody (ab71706) used for IP at 3 μg/mg lysate and for WB at 1.0 μg/ml.
Lane 2 : Non-Abcam MCAK antibody, specific for a downstream epitope of MCAK.
Lane 3 : Control IgG.
Detection by chemiluminescence with exposure time of 30 seconds.

All lanes:

Immunoprecipitation - Anti-MCAK antibody (ab71706)

Predicted band size: 81 kDa

false

Western blot - Anti-MCAK antibody (AB71706)
  • WB

Unknown

Western blot - Anti-MCAK antibody (AB71706)

All lanes:

Western blot - Anti-MCAK antibody (ab71706) at 0.1 µg/mL

Lane 1:

NIH3T3 whole cell lysate at 50 µg/mL

Lane 2:

NIH3T3 whole cell lysate at 15 µg/mL

Lane 3:

NIH3T3 whole cell lysate at 5 µg/mL

Predicted band size: 81 kDa

false

Exposure time: 3min

Key facts

Host species

Rabbit

Clonality

Polyclonal

Isotype

IgG

Carrier free

No

Reacts with

Mouse

Applications

IHC-P, WB, IP

applications

Immunogen

Synthetic Peptide within Mouse Kinesin-like protein KIF2C. The exact immunogen used to generate this antibody is proprietary information.

Q922S8

Specificity

Does not react with human MCAK.

Reactivity data

{ "title": "Reactivity Data", "filters": { "stats": ["", "Species", "Dilution Info", "Notes"], "tabs": { "all-applications": {"fullname" : "All Applications", "shortname": "All Applications"}, "IP" : {"fullname" : "Immunoprecipitation", "shortname":"IP"}, "WB" : {"fullname" : "Western blot", "shortname":"WB"}, "IHCP" : {"fullname" : "Immunohistochemistry (Formalin/PFA-fixed paraffin-embedded sections)", "shortname":"IHC-P"} }, "product-promise": { "all": "all", "testedAndGuaranteed": "tested", "guaranteed": "expected", "predicted": "predicted", "notRecommended": "not-recommended" } }, "values": { "Mouse": { "IP-species-checked": "testedAndGuaranteed", "IP-species-dilution-info": "2-5 µg/mg of lysate", "IP-species-notes": "<p></p>", "WB-species-checked": "testedAndGuaranteed", "WB-species-dilution-info": "1/2000 - 1/10000", "WB-species-notes": "<p></p>", "IHCP-species-checked": "testedAndGuaranteed", "IHCP-species-dilution-info": "1/500 - 1/2000", "IHCP-species-notes": "<p></p>" }, "Rat": { "IP-species-checked": "predicted", "IP-species-dilution-info": "", "IP-species-notes": "", "WB-species-checked": "predicted", "WB-species-dilution-info": "", "WB-species-notes": "", "IHCP-species-checked": "predicted", "IHCP-species-dilution-info": "", "IHCP-species-notes": "" } } }

Properties and storage information

Form
Liquid
Purification technique
Affinity purification Immunogen
Storage buffer
pH: 7 - 8 Preservative: 0.09% Sodium azide Constituents: PBS, 1.815% Tris, 1.764% Sodium citrate
Shipped at conditions
Blue Ice
Appropriate short-term storage conditions
+4°C
Appropriate long-term storage conditions
+4°C
Aliquoting information
Upon delivery aliquot
Storage information
Avoid freeze / thaw cycle

Supplementary information

This supplementary information is collated from multiple sources and compiled automatically.

The MCAK protein also known as KIF2C (kinesin family member 2C) is a motor protein that makes depolymerization of microtubules. It serves an important role in the regulation of microtubule dynamics during mitosis. MCAK has a molecular mass of approximately 81 kDa. Expression of MCAK is mostly found in actively dividing cells such as those in tissues with high turnover rates including the skin intestinal lining and specific tumors. This protein is critical for the proper formation and functioning of the mitotic spindle during cell division.
Biological function summary

The MCAK protein contributes to accurate chromosome segregation. MCAK performs its functions by binding to microtubule ends and removing tubulin subunits thereby aiding in microtubule disassembly. It functions within the mitotic spindle apparatus and ensures that chromosomes align properly and evenly separate to opposite poles of the dividing cell. This activity is not part of a complex but acts independently to correct improper microtubule attachments.

Pathways

MCAK plays a significant role in mitotic and cell cycle pathways. It coordinates with other proteins like Aurora B kinase which is involved in correcting improper kinetochore-microtubule attachments to maintain chromosome stability during mitosis. MCAK interacts with proteins controlling cell cycle checkpoints overlapping with pathways ensuring cells do not progress with errors in chromosome segregation.

Aberrant regulation of the MCAK protein can lead to chromosomal instability often observed in cancers such as colorectal and breast cancer. This instability can drive tumorigenesis where loss of proper chromosome segregation leads to aneuploidy and cancer progression. In these cancers MCAK may interact with other proteins such as Aurora kinases revealing potential therapeutic targets for intervention in malignancies with defective mitotic processes.

Product protocols

For this product, it's our understanding that no specific protocols are required. You can visit:

Target data

In complex with KIF18B, constitutes the major microtubule plus-end depolymerizing activity in mitotic cells (PubMed : 14980225). Regulates the turnover of microtubules at the kinetochore and functions in chromosome segregation during mitosis. Plays a role in chromosome congression and is required for the lateral to end-on conversion of the chromosome-microtubule attachment (By similarity).
See full target information Kinesin-like protein KIF2C

Publications (5)

Recent publications for all applications. Explore the full list and refine your search

Nature cell biology 27:959-971 PubMed40514430

2025

Cell state-specific cytoplasmic density controls spindle architecture and scaling.

Applications

Unspecified application

Species

Unspecified reactive species

Tobias Kletter,Omar Muñoz,Sebastian Reusch,Abin Biswas,Aliaksandr Halavatyi,Beate Neumann,Benno Kuropka,Vasily Zaburdaev,Simone Reber

Cell reports 43:114020 PubMed38554280

2024

An autophagy program that promotes T cell egress from the lymph node controls responses to immune checkpoint blockade.

Applications

Unspecified application

Species

Unspecified reactive species

Diede Houbaert,Apostolos Panagiotis Nikolakopoulos,Kathryn A Jacobs,Odeta Meçe,Jana Roels,Gautam Shankar,Madhur Agrawal,Sanket More,Maarten Ganne,Kristine Rillaerts,Louis Boon,Magdalena Swoboda,Max Nobis,Larissa Mourao,Francesca Bosisio,Niels Vandamme,Gabriele Bergers,Colinda L G J Scheele,Patrizia Agostinis

The Journal of cell biology 222: PubMed36459065

2022

α-Tubulin detyrosination links the suppression of MCAK activity with taxol cytotoxicity.

Applications

Unspecified application

Species

Unspecified reactive species

Danilo Lopes,Alexandre L Seabra,Bernardo Orr,Helder Maiato

Frontiers in genetics 13:817656 PubMed35991567

2022

Identification of aberrantly methylated differentially expressed genes and pro-tumorigenic role of KIF2C in melanoma.

Applications

Unspecified application

Species

Unspecified reactive species

Chun-Hui Huang,Wei Han,Yi-Zhu Wu,Guo-Liang Shen

Experimental and therapeutic medicine 22:1094 PubMed34504548

2021

KIF2C promotes the proliferation of hepatocellular carcinoma cells and .

Applications

Unspecified application

Species

Unspecified reactive species

Zhenya Gao,Huanxia Jia,Fang Yu,Hongfang Guo,Baoyu Li
View all publications

Product promise

We are committed to supporting your work with high-quality reagents, and we're here for you every step of the way. In the unlikely event that one of our products does not perform as expected, you're protected by our Product Promise.
For full details, please see our Terms & Conditions

Please note: All products are 'FOR RESEARCH USE ONLY. NOT FOR USE IN DIAGNOSTIC OR THERAPEUTIC PROCEDURES'.

For licensing inquiries, please contact partnerships@abcam.com