JavaScript is disabled in your browser. Please enable JavaScript to view this website.
AB250966

Anti-MCEMP1 antibody [EPR14393] - BSA and Azide free

Be the first to review this product! Submit a review

|

(1 Publication)

Rabbit Recombinant Monoclonal MCEMP1 antibody. Carrier free. Suitable for WB, IHC-P and reacts with Human samples. Cited in 1 publication.

View Alternative Names

C19orf59, MCEMP1, Mast cell-expressed membrane protein 1

2 Images
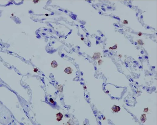
Immunohistochemistry (Formalin/PFA-fixed paraffin-embedded sections) - Anti-MCEMP1 antibody [EPR14393] - BSA and Azide free (AB250966)
  • IHC-P

Supplier Data

Immunohistochemistry (Formalin/PFA-fixed paraffin-embedded sections) - Anti-MCEMP1 antibody [EPR14393] - BSA and Azide free (AB250966)

This data was developed using ab188572, the same antibody clone in a different buffer formulation.

Immunohistochemical analysis of paraffin-embedded Human lung tissue labeling MCEMP1 with ab188572 at 1/100. A prediluted HRP Polymer for Rabbit IgG was used as the secondary antibody.

Perform heat mediated antigen retrieval with Tris/EDTA buffer pH 9.0 before commencing with IHC staining protocol.

Western blot - Anti-MCEMP1 antibody [EPR14393] - BSA and Azide free (AB250966)
  • WB

Supplier Data

Western blot - Anti-MCEMP1 antibody [EPR14393] - BSA and Azide free (AB250966)

This data was developed using ab188572, the same antibody clone in a different buffer formulation.

All lanes:

Western blot - Anti-MCEMP1 antibody [EPR14393] - C-terminal (<a href='/en-us/products/primary-antibodies/mcemp1-antibody-epr14393-c-terminal-ab188572'>ab188572</a>) at 1/1000 dilution

All lanes:

THP-1 lysate at 20 µg

Secondary

All lanes:

Goat Anti-Rabbit IgG, (H+L), Peroxidase conjugated at 1/1000 dilution

Predicted band size: 21 kDa

Observed band size: 21 kDa

false

Key facts

Host species

Rabbit

Clonality

Monoclonal

Clone number

EPR14393

Isotype

IgG

Carrier free

Yes

Reacts with

Human

Applications

WB, IHC-P

applications

Immunogen

The exact immunogen used to generate this antibody is proprietary information.

Reactivity data

{ "title": "Reactivity Data", "filters": { "stats": ["", "Species", "Dilution Info", "Notes"], "tabs": { "all-applications": {"fullname" : "All Applications", "shortname": "All Applications"}, "WB" : {"fullname" : "Western blot", "shortname":"WB"}, "IHCP" : {"fullname" : "Immunohistochemistry (Formalin/PFA-fixed paraffin-embedded sections)", "shortname":"IHC-P"} }, "product-promise": { "all": "all", "testedAndGuaranteed": "tested", "guaranteed": "expected", "predicted": "predicted", "notRecommended": "not-recommended" } }, "values": { "Human": { "WB-species-checked": "testedAndGuaranteed", "WB-species-dilution-info": "", "WB-species-notes": "<p></p>", "IHCP-species-checked": "testedAndGuaranteed", "IHCP-species-dilution-info": "", "IHCP-species-notes": "<p></p>" } } }

Product details

ab250966 is the carrier-free version of ab188572.

Conjugation ready
Our carrier-free antibodies are typically supplied in a PBS-only formulation, purified and free of BSA, sodium azide and glycerol. This conjugation-ready format is designed for use with fluorochromes, metal isotopes, oligonucleotides, and enzymes, which makes them ideal for antibody labelling, functional and cell-based assays, flow-based assays (e.g. mass cytometry) and Multiplex Imaging applications.

Use our conjugation kits for antibody conjugates that are ready-to-use in as little as 20 minutes with 1 minute hands-on-time and 100% antibody recovery: available for fluorescent dyes, HRP, biotin and gold.

Compatibility
This product is compatible with the Maxpar® Antibody Labeling Kit from Fluidigm, without the need for antibody preparation. Maxpar® is a trademark of Fluidigm Canada Inc.

Properties and storage information

Form
Liquid
Purification technique
Affinity purification Protein A
Storage buffer
pH: 7.2 - 7.4 Constituents: PBS
Shipped at conditions
Blue Ice
Appropriate short-term storage conditions
+4°C
Appropriate long-term storage conditions
+4°C
Storage information
Do Not Freeze

Supplementary information

This supplementary information is collated from multiple sources and compiled automatically.

MCEMP1 also known as Mast Cell Expressed Membrane Protein 1 is a protein that plays an important role in cellular functions. The protein has a molecular mass of approximately 17 kDa. MCEMP1 is mainly expressed on the cell membranes of mast cells which are involved in immune system responses. This expression pattern suggests MCEMP1's involvement in processes closely tied to mast cell biology.
Biological function summary

This protein has significant roles in mast cell activation and signal transduction. MCEMP1 is not part of a known protein complex but it influences mast cell degranulation where cells release histamine and other mediators. This activity places MCEMP1 as an influential protein impacting the body's response to allergens and infections.

Pathways

MCEMP1 is important for pathways related to immune system signaling and allergic responses. In the immune signaling pathway MCEMP1 impacts mast cell mediator release interacting with proteins such as FcεRI a high-affinity receptor for IgE. Another related pathway involves inflammatory responses where MCEMP1 further regulates signals that contribute to the body's defense mechanism against pathogens.

MCEMP1 is linked to allergic reactions and asthma. These conditions often result from excessive activation of mast cells where MCEMP1 plays a regulatory function. The protein interacts closely with FcεRI in asthma a chronic condition characterized by airway inflammation. Understanding the role of MCEMP1 in these disorders helps in exploring potential therapeutic targets for managing allergic conditions.

Product protocols

For this product, it's our understanding that no specific protocols are required. You can visit:

Publications (1)

Recent publications for all applications. Explore the full list and refine your search

Genes 14: PubMed37239471

2023

Differential Regulation of POC5 by ERα in Human Normal and Scoliotic Cells.

Applications

Unspecified application

Species

Unspecified reactive species

Amani Hassan,Edward T Bagu,Shunmoogum A Patten,Sirinart Molidperee,Stefan Parent,Soraya Barchi,Isabelle Villemure,André Tremblay,Florina Moldovan
View all publications

Product promise

We are committed to supporting your work with high-quality reagents, and we're here for you every step of the way. In the unlikely event that one of our products does not perform as expected, you're protected by our Product Promise.
For full details, please see our Terms & Conditions

Please note: All products are 'FOR RESEARCH USE ONLY. NOT FOR USE IN DIAGNOSTIC OR THERAPEUTIC PROCEDURES'.

For licensing inquiries, please contact partnerships@abcam.com