JavaScript is disabled in your browser. Please enable JavaScript to view this website.
AB274423

Anti-MCH antibody [EPR23778-94] - BSA and Azide free

Be the first to review this product! Submit a review

|

(0 Publication)

Rabbit Recombinant Monoclonal MCH antibody. Carrier free. Suitable for IHC-P, IHC-Fr and reacts with Human, Mouse, Rat samples.

View Alternative Names

MCH, PMCH, Pro-MCH

5 Images
Immunohistochemistry (Formalin/PFA-fixed paraffin-embedded sections) - Anti-MCH antibody [EPR23778-94] - BSA and Azide free (AB274423)
  • IHC-P

Unknown

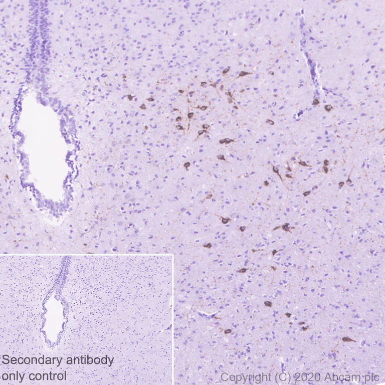
Immunohistochemistry (Formalin/PFA-fixed paraffin-embedded sections) - Anti-MCH antibody [EPR23778-94] - BSA and Azide free (AB274423)

This data was developed using ab274415, the same antibody clone in a different buffer formulation.

Immunohistochemical analysis of paraffin-embedded Rat hypothalamus tissue labeling PMCH with ab274415 at 1/2000 (0.271 ug/ml) dilution followed by a ready to use Rabbit specific IHC polymer detection kit HRP/DAB (ab209101). Positive staining on rat hypothalamus (PMID : 30420052). The section was incubated with ab274415 for 30 mins at room temperature. The immunostaining was performed on a Leica Biosystems BOND® RX instrument. Counterstained with Hematoxylin.

Secondary antibody only control : Secondary antibody is a ready to use Rabbit specific IHC polymer detection kit HRP/DAB (ab209101).

Heat mediated antigen retrieval with Tris-EDTA buffer (pH 9.0, epitope retrieval solution2) for 20 mins.

Immunohistochemistry (Frozen sections) - Anti-MCH antibody [EPR23778-94] - BSA and Azide free (AB274423)
  • IHC-Fr

Unknown

Immunohistochemistry (Frozen sections) - Anti-MCH antibody [EPR23778-94] - BSA and Azide free (AB274423)

This data was developed using ab274415, the same antibody clone in a different buffer formulation.

Immunohistochemical analysis of 4% PFA-fixed, 0.2% Triton X-100 permeabilized frozen Mouse hypothalamus tissue labeling PMCH with ab274415 at 1/500 (1.084 ug/ml) dilution followed by ab150077 Goat Anti-Rabbit IgG H&L (Alexa Fluor® 488) at 1/1000 dilution (Green). Positive staining on mouse hypothalamus is observed. The nuclear counterstain was DAPI (Blue).

Secondary antibody control : Secondary antibody is ab150077 Goat Anti-Rabbit IgG H&L (Alexa Fluor® 488) at 1/1000 dilution.

Heat mediated antigen retrieval using sodium citrate buffer (10mM citrate pH 6.0 + 0.05% Tween-20).

Immunohistochemistry (Frozen sections) - Anti-MCH antibody [EPR23778-94] - BSA and Azide free (AB274423)
  • IHC-Fr

Unknown

Immunohistochemistry (Frozen sections) - Anti-MCH antibody [EPR23778-94] - BSA and Azide free (AB274423)

This data was developed using ab274415, the same antibody clone in a different buffer formulation.

Immunohistochemical analysis of 4% PFA-fixed, 0.2% Triton X-100 permeabilized frozen Rat hypothalamus tissue labeling PMCH with ab274415 at 1/500 (1.084 ug/ml) dilution followed by ab150077 Goat Anti-Rabbit IgG H&L (Alexa Fluor® 488) at 1/1000 dilution (Green). Positive staining on rat hypothalamus is observed. The nuclear counterstain was DAPI (Blue).

Secondary antibody control : Secondary antibody is ab150077 Goat Anti-Rabbit IgG H&L (Alexa Fluor® 488) at 1/1000 dilution.

Heat mediated antigen retrieval using sodium citrate buffer (10mM citrate pH 6.0 + 0.05% Tween-20).

Immunohistochemistry (Formalin/PFA-fixed paraffin-embedded sections) - Anti-MCH antibody [EPR23778-94] - BSA and Azide free (AB274423)
  • IHC-P

Unknown

Immunohistochemistry (Formalin/PFA-fixed paraffin-embedded sections) - Anti-MCH antibody [EPR23778-94] - BSA and Azide free (AB274423)

This data was developed using ab274415, the same antibody clone in a different buffer formulation.

Immunohistochemical analysis of paraffin-embedded Mouse hypothalamus tissue labeling PMCH with ab274415 at 1/2000 (0.271 ug/ml) dilution followed by a ready to use Rabbit specific IHC polymer detection kit HRP/DAB (ab209101). Positive staining on mouse hypothalamus (PMID : 30420052). The section was incubated with ab274415 for 30 mins at room temperature. The immunostaining was performed on a Leica Biosystems BOND® RX instrument. Counterstained with Hematoxylin.

Secondary antibody only control : Secondary antibody is a ready to use Rabbit specific IHC polymer detection kit HRP/DAB (ab209101).

Heat mediated antigen retrieval with Tris-EDTA buffer (pH 9.0, epitope retrieval solution2) for 20 mins.

Immunohistochemistry (Formalin/PFA-fixed paraffin-embedded sections) - Anti-MCH antibody [EPR23778-94] - BSA and Azide free (AB274423)
  • IHC-P

Unknown

Immunohistochemistry (Formalin/PFA-fixed paraffin-embedded sections) - Anti-MCH antibody [EPR23778-94] - BSA and Azide free (AB274423)

This data was developed using ab274415, the same antibody clone in a different buffer formulation.

Immunohistochemical analysis of paraffin-embedded Human hypothalamus tissue labeling PMCH with ab274415 at 1/2000 (0.271 ug/ml) dilution followed by a ready to use Rabbit specific IHC polymer detection kit HRP/DAB (ab209101). Positive staining on human hypothalamus (PMID : 30420052). The section was incubated with ab274415 for 30 mins at room temperature. The immunostaining was performed on a Leica Biosystems BOND® RX instrument. Counterstained with Hematoxylin.

Secondary antibody only control : Secondary antibody is a ready to use Rabbit specific IHC polymer detection kit HRP/DAB (ab209101).

Heat mediated antigen retrieval with Tris-EDTA buffer (pH 9.0, epitope retrieval solution2) for 20 mins.

Key facts

Host species

Rabbit

Clonality

Monoclonal

Clone number

EPR23778-94

Isotype

IgG

Carrier free

Yes

Reacts with

Mouse, Rat, Human

Applications

IHC-Fr, IHC-P

applications

Immunogen

The exact immunogen used to generate this antibody is proprietary information.

Specificity

This antibody recognizes the PMCH chain.

Reactivity data

{ "title": "Reactivity Data", "filters": { "stats": ["", "Species", "Dilution Info", "Notes"], "tabs": { "all-applications": {"fullname" : "All Applications", "shortname": "All Applications"}, "IHCP" : {"fullname" : "Immunohistochemistry (Formalin/PFA-fixed paraffin-embedded sections)", "shortname":"IHC-P"}, "ICCIF" : {"fullname" : "Immunocytochemistry/ Immunofluorescence", "shortname":"ICC/IF"}, "IP" : {"fullname" : "Immunoprecipitation", "shortname":"IP"}, "WB" : {"fullname" : "Western blot", "shortname":"WB"}, "IHCFr" : {"fullname" : "Immunohistochemistry (Frozen sections)", "shortname":"IHC-Fr"} }, "product-promise": { "all": "all", "testedAndGuaranteed": "tested", "guaranteed": "expected", "predicted": "predicted", "notRecommended": "not-recommended" } }, "values": { "Human": { "IHCP-species-checked": "testedAndGuaranteed", "IHCP-species-dilution-info": "", "IHCP-species-notes": "<p></p>", "ICCIF-species-checked": "notRecommended", "ICCIF-species-dilution-info": "", "ICCIF-species-notes": "<p></p>", "IP-species-checked": "notRecommended", "IP-species-dilution-info": "", "IP-species-notes": "<p></p>", "WB-species-checked": "notRecommended", "WB-species-dilution-info": "", "WB-species-notes": "<p></p>", "IHCFr-species-checked": "guaranteed", "IHCFr-species-dilution-info": "", "IHCFr-species-notes": "" }, "Mouse": { "IHCP-species-checked": "testedAndGuaranteed", "IHCP-species-dilution-info": "", "IHCP-species-notes": "<p></p>", "ICCIF-species-checked": "notRecommended", "ICCIF-species-dilution-info": "", "ICCIF-species-notes": "<p></p>", "IP-species-checked": "notRecommended", "IP-species-dilution-info": "", "IP-species-notes": "<p></p>", "WB-species-checked": "notRecommended", "WB-species-dilution-info": "", "WB-species-notes": "<p></p>", "IHCFr-species-checked": "testedAndGuaranteed", "IHCFr-species-dilution-info": "", "IHCFr-species-notes": "<p>Heat mediated antigen retrieval using sodium citrate buffer (10mM citrate pH 6.0 + 0.05% Tween-20).</p>" }, "Rat": { "IHCP-species-checked": "testedAndGuaranteed", "IHCP-species-dilution-info": "", "IHCP-species-notes": "<p></p>", "ICCIF-species-checked": "notRecommended", "ICCIF-species-dilution-info": "", "ICCIF-species-notes": "<p></p>", "IP-species-checked": "notRecommended", "IP-species-dilution-info": "", "IP-species-notes": "<p></p>", "WB-species-checked": "notRecommended", "WB-species-dilution-info": "", "WB-species-notes": "<p></p>", "IHCFr-species-checked": "testedAndGuaranteed", "IHCFr-species-dilution-info": "", "IHCFr-species-notes": "<p>Heat mediated antigen retrieval using sodium citrate buffer (10mM citrate pH 6.0 + 0.05% Tween-20).</p>" } } }

Product details

ab274423 is the carrier-free version of ab274415.

Patented technology
Our RabMAb® technology is a patented hybridoma-based technology for making rabbit monoclonal antibodies. For details on our patents, please refer to RabMAb® patents.

What are the advantages of a recombinant monoclonal antibody?
This product is a recombinant monoclonal antibody, which offers several advantages including:

  • - High batch-to-batch consistency and reproducibility
  • - Improved sensitivity and specificity
  • - Long-term security of supply
  • - Animal-free batch production

For more information, read more on recombinant antibodies.

Conjugation ready
Our carrier-free antibodies are typically supplied in a PBS-only formulation, purified and free of BSA, sodium azide and glycerol. This conjugation-ready format is designed for use with fluorochromes, metal isotopes, oligonucleotides, and enzymes, which makes them ideal for antibody labelling, functional and cell-based assays, flow-based assays (e.g. mass cytometry) and Multiplex Imaging applications.

Use our conjugation kits for antibody conjugates that are ready-to-use in as little as 20 minutes with 1 minute hands-on-time and 100% antibody recovery: available for fluorescent dyes, HRP, biotin and gold.

Compatibility
This product is compatible with the Maxpar® Antibody Labeling Kit from Fluidigm, without the need for antibody preparation. Maxpar® is a trademark of Fluidigm Canada Inc.

Properties and storage information

Form
Liquid
Purification technique
Affinity purification Protein A
Storage buffer
pH: 7.2 - 7.4 Constituents: PBS
Shipped at conditions
Blue Ice
Appropriate short-term storage conditions
+4°C
Appropriate long-term storage conditions
+4°C
Storage information
Do Not Freeze

Supplementary information

This supplementary information is collated from multiple sources and compiled automatically.

Melanin-concentrating hormone (MCH) originally isolated from fish is a peptide hormone that plays a significant role in energy balance and feeding behavior. It is about 19 amino acids long in humans and has a molecular mass of approximately 2.4 kDa. MCH is mainly expressed in the lateral hypothalamus and zona incerta of the brain which suggests its central role in neurologic function. This peptide binds to MCH receptor 1 (MCHR1) influencing various signaling pathways.
Biological function summary

MCH affects a range of physiological processes and is part of the neuropeptide signaling system. It regulates feeding and energy homeostasis by influencing appetite increase and reducing energy expenditure. MCH operates within a complex network of neurotransmitters and hormones in the central nervous system. Its interactions with other neuropeptides such as neuropeptide Y (NPY) and agouti-related peptide (AgRP) support its role in the complex regulation of energy homeostasis.

Pathways

MCH engages in signaling linked to G-protein coupled receptors (GPCRs) connecting with pathways that regulate food intake and energy management. It influences the orexin/hypocretin pathway which also modulates sleep-wake cycles and arousal states. The interaction with orexin highlights MCH's broad regulatory influence balancing energy levels and adaptive responses. The protein's signaling is associated with molecules like leptin and insulin marking its integration into wider metabolic pathways.

MCH is linked to obesity and mood disorders due to its influence on appetite and emotional regulation. A dysregulated MCH signaling pathway is associated with overeating and weight gain highlighting its role in obesity physiology. Additionally altered levels of MCH could contribute to mood disorders such as depression where its interaction with serotonin and dopamine pathways may impact emotional stability.

Product protocols

For this product, it's our understanding that no specific protocols are required. You can visit:

Target data

MCH may act as a neurotransmitter or neuromodulator in a broad array of neuronal functions directed toward the regulation of goal-directed behavior, such as food intake, and general arousal. May also have a role in spermatocyte differentiation.
See full target information PMCH

Product promise

We are committed to supporting your work with high-quality reagents, and we're here for you every step of the way. In the unlikely event that one of our products does not perform as expected, you're protected by our Product Promise.
For full details, please see our Terms & Conditions

Please note: All products are 'FOR RESEARCH USE ONLY. NOT FOR USE IN DIAGNOSTIC OR THERAPEUTIC PROCEDURES'.

For licensing inquiries, please contact partnerships@abcam.com