JavaScript is disabled in your browser. Please enable JavaScript to view this website.
AB217849

Anti-MCHR-1 antibody

Be the first to review this product! Submit a review

|

(1 Publication)

Rabbit Polyclonal MCHR-1 antibody. Suitable for IHC-P and reacts with Rat samples. Cited in 1 publication. Immunogen corresponding to Synthetic Peptide within Human MCHR1 aa 50-150 conjugated to Keyhole Limpet Haemocyanin.

View Alternative Names

GPR24, SLC1, MCHR1, Melanin-concentrating hormone receptor 1, MCH receptor 1, MCH-R1, MCHR-1, G-protein coupled receptor 24, MCH-1R, SLC-1, Somatostatin receptor-like protein, MCH1R, MCHR

1 Images
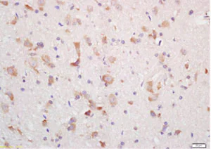
Immunohistochemistry (Formalin/PFA-fixed paraffin-embedded sections) - Anti-MCHR-1 antibody (AB217849)
  • IHC-P

Supplier Data

Immunohistochemistry (Formalin/PFA-fixed paraffin-embedded sections) - Anti-MCHR-1 antibody (AB217849)

Immunohistochemical analysis of paraffin embedded, formalin fixed rat brain tissue labeling MCHR-1 using ab217849 at 1/200 dilution. Followed by conjugation to the secondary antibody and DAB staining.

Key facts

Host species

Rabbit

Clonality

Polyclonal

Isotype

IgG

Carrier free

No

Reacts with

Rat

Applications

IHC-P

applications

Immunogen

Synthetic Peptide within Human MCHR1 aa 50-150 conjugated to Keyhole Limpet Haemocyanin. The exact immunogen used to generate this antibody is proprietary information.

Q99705

Reactivity data

{ "title": "Reactivity Data", "filters": { "stats": ["", "Species", "Dilution Info", "Notes"], "tabs": { "all-applications": {"fullname" : "All Applications", "shortname": "All Applications"}, "IHCP" : {"fullname" : "Immunohistochemistry (Formalin/PFA-fixed paraffin-embedded sections)", "shortname":"IHC-P"} }, "product-promise": { "all": "all", "testedAndGuaranteed": "tested", "guaranteed": "expected", "predicted": "predicted", "notRecommended": "not-recommended" } }, "values": { "Human": { "IHCP-species-checked": "predicted", "IHCP-species-dilution-info": "", "IHCP-species-notes": "" }, "Mouse": { "IHCP-species-checked": "predicted", "IHCP-species-dilution-info": "", "IHCP-species-notes": "" }, "Rat": { "IHCP-species-checked": "testedAndGuaranteed", "IHCP-species-dilution-info": "1/100 - 1/500", "IHCP-species-notes": "<p></p>" } } }

Properties and storage information

Form
Liquid
Purification technique
Affinity purification Protein A
Storage buffer
pH: 7.4 Preservative: 0.02% Proclin 300 Constituents: 50% Glycerol (glycerin, glycerine), 48.98% TBS, 1X, 1% BSA
Shipped at conditions
Blue Ice
Appropriate short-term storage duration
1-2 weeks
Appropriate short-term storage conditions
+4°C
Appropriate long-term storage conditions
-20°C
Aliquoting information
Upon delivery aliquot
Storage information
Avoid freeze / thaw cycle

Supplementary information

This supplementary information is collated from multiple sources and compiled automatically.

MCHR-1 also known as melanin-concentrating hormone receptor 1 is a G protein-coupled receptor that binds the melanin-concentrating hormone (MCH). This receptor has a molecular mass of approximately 45 kDa. MCHR-1 is expressed in several areas of the brain including the hypothalamus olfactory bulb and cerebral cortex. It also appears in peripheral tissues such as the gastrointestinal tract and kidneys.
Biological function summary

MCHR-1 involves regulation of energy homeostasis and feeding behavior. It does not function as part of a larger protein complex but operates primarily by binding MCH which modulates neurotransmitter activity. This interaction affects neural circuits controlling body weight and food intake. Additionally MCHR-1 participates in processes related to the reward system and stress response.

Pathways

MCHR-1 plays an essential role in melanin-concentrating hormone signaling pathway which directly impacts the hypothalamic regulation of appetite and energy expenditure. It therefore connects with proteins like orexin which also influence energy balance and arousal states. Moreover this receptor is involved in intracellular signaling pathways through G proteins affecting cyclic AMP levels and calcium mobilization.

MCHR-1 associates with obesity and depression. Dysregulation of MCHR-1 activity can lead to changes in body weight and metabolic issues making it a potential target for anti-obesity drugs. Additionally the receptor has links to depressive disorders as imbalance in MCH signaling can influence mood and stress response. In this context MCHR-1 activity intersects with serotonin systems in the brain which are important in mood regulation.

Product protocols

For this product, it's our understanding that no specific protocols are required. You can visit:

Target data

Receptor for melanin-concentrating hormone, coupled to both G proteins that inhibit adenylyl cyclase and G proteins that activate phosphoinositide hydrolysis.
See full target information MCHR1

Publications (1)

Recent publications for all applications. Explore the full list and refine your search

Cell metabolism 34:106-124.e10 PubMed34986329

2022

A purine metabolic checkpoint that prevents autoimmunity and autoinflammation.

Applications

Unspecified application

Species

Unspecified reactive species

Svetlana Saveljeva,Gavin W Sewell,Katharina Ramshorn,M Zaeem Cader,James A West,Simon Clare,Lea-Maxie Haag,Rodrigo Pereira de Almeida Rodrigues,Lukas W Unger,Ana Belén Iglesias-Romero,Lorraine M Holland,Christophe Bourges,Muhammad N Md-Ibrahim,James O Jones,Richard S Blumberg,James C Lee,Nicole C Kaneider,Trevor D Lawley,Allan Bradley,Gordon Dougan,Arthur Kaser
View all publications

Product promise

We are committed to supporting your work with high-quality reagents, and we're here for you every step of the way. In the unlikely event that one of our products does not perform as expected, you're protected by our Product Promise.
For full details, please see our Terms & Conditions

Please note: All products are 'FOR RESEARCH USE ONLY. NOT FOR USE IN DIAGNOSTIC OR THERAPEUTIC PROCEDURES'.

For licensing inquiries, please contact partnerships@abcam.com