JavaScript is disabled in your browser. Please enable JavaScript to view this website.
AB186822

Anti-MCL1 antibody [Y37] - BSA and Azide free

1

(1 Review)

|

(13 Publications)

Rabbit Recombinant Monoclonal MCL1 antibody. Carrier free. Suitable for ICC/IF, WB, Flow Cyt (Intra), IHC-P and reacts with Human samples. Cited in 13 publications.

View Alternative Names

BCL2L3, MCL1, Induced myeloid leukemia cell differentiation protein Mcl-1, Bcl-2-like protein 3, Bcl-2-related protein EAT/mcl1, mcl1/EAT, Bcl2-L-3

10 Images
Immunocytochemistry/ Immunofluorescence - Anti-MCL1 antibody [Y37] - BSA and Azide free (AB186822)
  • ICC/IF

Unknown

Immunocytochemistry/ Immunofluorescence - Anti-MCL1 antibody [Y37] - BSA and Azide free (AB186822)

Immunocytochemistry/Immunofluorescence analysis of HCT 116 (human colorectal carcinoma cell line) cells treated with wogonin (ab142471) labelling MCL1 with unpurified ab32087. Decrease of MCL1 expression correlates with increased concentration of wogonin, as described in literature. Cells were incubated at 37°C for 2h in media containing different concentrations of ab142471 (wogonin) in DMSO, fixed with 4% formaldehyde for 10 minutes at room temperature and blocked with PBS containing 10% goat serum, 0.3 M glycine, 1% BSA and 0.1% tween for 2h at room temperature. Staining of the treated cells with ab32087 (1/100) dilution was performed overnight at 4°C in PBS containing 1% BSA and 0.1% tween. A DyLight® 488 anti-rabbit polyclonal antibody (ab96899) at 1/250 dilution was used as the secondary antibody. DAPI (blue) was used as the nuclear counterstain.

This data was developed using the same antibody clone in a different buffer formulation containing PBS, BSA, glycerol, and sodium azide (ab32087).

Immunocytochemistry/ Immunofluorescence - Anti-MCL1 antibody [Y37] - BSA and Azide free (AB186822)
  • ICC/IF

Unknown

Immunocytochemistry/ Immunofluorescence - Anti-MCL1 antibody [Y37] - BSA and Azide free (AB186822)

Clone Y37 (ab186822) has been successfully conjugated by Abcam. This image was generated using Anti-MCL1 antibody [Y37] (Alexa Fluor® 488). Please refer to ab197529 for protocol details.

ab197529 staining MCL1 in HeLa cells. The cells were fixed with 100% methanol (5 min), permeabilised in 0.1% Triton X-100 for 5 minutes and then blocked in 1% BSA/10% normal goat serum/0.3M glycine in 0.1% PBS-Tween for 1h. The cells were then incubated with ab197529 at 1/100 dilution (shown in green) and ab195889, Mouse monoclonal [DM1A] to alpha Tubulin (Alexa Fluor® 594, shown in red) at 1/167 dilution overnight at +4°C. Nuclear DNA was labelled in blue with DAPI.

Image was taken with a confocal microscope (Leica-Microsystems, TCS SP8).

Flow Cytometry (Intracellular) - Anti-MCL1 antibody [Y37] - BSA and Azide free (AB186822)
  • Flow Cyt (Intra)

Unknown

Flow Cytometry (Intracellular) - Anti-MCL1 antibody [Y37] - BSA and Azide free (AB186822)

Intracellular Flow Cytometry analysis of Ramos (human Burkitt's lymphoma cell line) cells labelling MCL1 with purified ab32087 at 1/250 (red). Cells were fixed with 4% paraformaldehyde. A FITC-conjugated goat anti-rabbit IgG (1/500) was used as the secondary antibody. Black - Isotype control, rabbit monoclonal IgG. Blue - Unlabelled control, cells without incubation with primary and secondary antibodies.

This data was developed using the same antibody clone in a different buffer formulation containing PBS, BSA, glycerol, and sodium azide (ab32087).

Immunocytochemistry/ Immunofluorescence - Anti-MCL1 antibody [Y37] - BSA and Azide free (AB186822)
  • ICC/IF

Unknown

Immunocytochemistry/ Immunofluorescence - Anti-MCL1 antibody [Y37] - BSA and Azide free (AB186822)

This ICC/IF data was generated using the same anti-MCL1 antibody clone, Y37, in a different buffer formulation (cat# ab32087).

Immunocytochemistry/Immunofluorescence analysis of H1299 cells labelling MCL1 with unpurified ab32087. Cells were PFA-fixed and permeabilized in 0.5% Triton X-100 prior to blocking in 3% Serum for 1 hour at 24°C. The primary antibody was diluted 1/100 and incubated with the sample for 1 hour at 24°C. The secondary antibody was an Alexa Fluor® 488-conjugated Goat anti-Rabbit polyclonal, diluted 1/2000. DAPI (blue) was used as the nuclear counterstain.

Immunocytochemistry/ Immunofluorescence - Anti-MCL1 antibody [Y37] - BSA and Azide free (AB186822)
  • ICC/IF

Unknown

Immunocytochemistry/ Immunofluorescence - Anti-MCL1 antibody [Y37] - BSA and Azide free (AB186822)

Immunocytochemistry/Immunofluorescence analysis of HCT 116 (human colorectal carcinoma cell line) cells labelling MCL1 with purified ab32087 at 1/500. Cells were fixed with 4% paraformaldehyde and permeabilized with 0.1% Triton X-100. ab150077, an Alexa Fluor® 488-conjugated goat anti-rabbit IgG (1/500) was used as the secondary antibody. DAPI (blue) was used as the nuclear counterstain. ab7291, a mouse anti-tubulin (1/1000) and ab150120, an Alexa Fluor® 594-conjugated goat anti-mouse IgG (1/1000) were also used.

Control 1 : primary antibody (1/100) and secondary antibody, ab150120, an Alexa Fluor® 594-conjugated goat anti-mouse IgG (1/500).

Control 2 : ab7291 (1/1000) and secondary antibody, ab150077, an Alexa Fluor® 488-conjugated goat anti-rabbit IgG (1/500).

This data was developed using the same antibody clone in a different buffer formulation containing PBS, BSA, glycerol, and sodium azide (ab32087).

Immunocytochemistry/ Immunofluorescence - Anti-MCL1 antibody [Y37] - BSA and Azide free (AB186822)
  • ICC/IF

Unknown

Immunocytochemistry/ Immunofluorescence - Anti-MCL1 antibody [Y37] - BSA and Azide free (AB186822)

Clone Y37 (ab186822) has been successfully conjugated by Abcam. This image was generated using Anti-MCL1 antibody [Y37] (Alexa Fluor® 647). Please refer to ab197035 for protocol details.

ab197035 staining MCL1 in HCT116 cells. The cells were fixed with 4% formaldehyde (10 min), permeabilized with 0.1% Triton X-100 for 5 minutes and then blocked with 1% BSA/10% normal goat serum/0.3M glycine in 0.1% PBS-Tween for 1h. The cells were then incubated overnight at +4°C with ab at a 1/100 dilution (shown in red) and ab195887, Mouse monoclonal to alpha Tubulin (Alexa Fluor® 488), at a 1/250 dilution (shown in green). Nuclear DNA was labelled with DAPI (shown in blue).

Image was taken with a confocal microscope (Leica-Microsystems, TCS SP8).

Flow Cytometry (Intracellular) - Anti-MCL1 antibody [Y37] - BSA and Azide free (AB186822)
  • Flow Cyt (Intra)

Unknown

Flow Cytometry (Intracellular) - Anti-MCL1 antibody [Y37] - BSA and Azide free (AB186822)

Intracellular Flow Cytometry analysis of A431 (human epidermoid carcinoma cell line) cells labelling MCL1 with unpurified ab32087 (red line). Cells were fixed with methanol (5 min) and then permeabilized with 0.1% PBS-Tween for 20 min. The cells were then incubated in 1x PBS / 10% normal goat serum / 0.3M glycine to block non-specific protein-protein interactions followed by the antibody (ab32087, 1μg/1x106 cells) for 30 min at 22°C. The secondary antibody used was DyLight® 488 goat anti-rabbit IgG (H+L) (ab96899) at 1/500 dilution for 30 min at 22°C.

Black - Isotype control, rabbit monoclonal IgG.

Acquisition of >5,000 events was performed. This antibody gave a decreased signal in A431 cells fixed with 4% paraformaldehyde (10 min)/permeabilized with 0.1% PBS-Tween used under the same conditions.

This data was developed using the same antibody clone in a different buffer formulation containing PBS, BSA, glycerol, and sodium azide (ab32087).

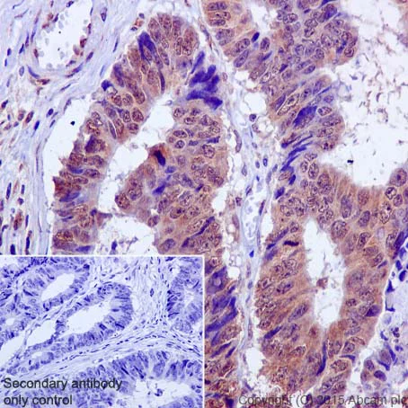
Immunohistochemistry (Formalin/PFA-fixed paraffin-embedded sections) - Anti-MCL1 antibody [Y37] - BSA and Azide free (AB186822)
  • IHC-P

Unknown

Immunohistochemistry (Formalin/PFA-fixed paraffin-embedded sections) - Anti-MCL1 antibody [Y37] - BSA and Azide free (AB186822)

This IHC data was generated using the same anti-MCL1 antibody clone, Y37, in a different buffer formulation (cat# ab32087).

Immunohistochemistry (Formalin/PFA-fixed paraffin-embedded sections) analysis of human colon adenocarcinoma tissue labelling MCL1 with purified ab32087 at 1/100. Heat mediated antigen retrieval was performed using Tris/EDTA buffer pH 9. ab97051, a goat anti-rabbit IgG H&L (HRP) was used as the secondary antibody (1/500). Negative control using PBS instead of primary antibody. Counterstained with hematoxylin.

Flow Cytometry (Intracellular) - Anti-MCL1 antibody [Y37] - BSA and Azide free (AB186822)
  • Flow Cyt (Intra)

Unknown

Flow Cytometry (Intracellular) - Anti-MCL1 antibody [Y37] - BSA and Azide free (AB186822)

Clone Y37 (ab186822) has been successfully conjugated by Abcam. This image was generated using Anti-MCL1 antibody [Y37] (PE). Please refer to ab209289 for protocol details.

Overlay histogram showing MCF7 cells stained with ab209289 (red line). The cells were fixed with 4% formaldehyde (10 min) and then permeabilized with 90% methanol for 30 min at -20°C. The cells were then incubated in 1x PBS / 10% normal goat serum to block non-specific protein-protein interactions followed by the antibody (ab209289, 1/2500 dilution) for 30 min at 22°C.

Isotype control antibody (black line) was rabbit IgG (monoclonal) Phycoerythrin (ab209478) used at the same concentration and conditions as the primary antibody. Unlabelled sample (blue line) was also used as a control.

Acquisition of >5,000 events were collected using a 50 mW Yellow/Green laser (561nm) and 586/15 bandpass filter.

Western blot - Anti-MCL1 antibody [Y37] - BSA and Azide free (AB186822)
  • WB

Lab

Western blot - Anti-MCL1 antibody [Y37] - BSA and Azide free (AB186822)

This data was developed using the same antibody clone in a different buffer formulation (ab32087).

Lanes 1-3 : Merged signal (red and green). Green - ab32087 observed at 37 kDa. Red - loading control ab7291 observed at 50 kDa.

ab32087 Anti-MCL1 antibody [Y37] was shown to specifically react with MCL1 in wild-type HEK293T cells. Loss of signal was observed when knockout cell line ab266838 (knockout cell lysate ab256986) was used. Wild-type and MCL1 knockout samples were subjected to SDS-PAGE. ab32087 and Anti-alpha Tubulin antibody [DM1A] - Loading Control (ab7291) were incubated overnight at 4°C at 1 in 1000 dilution and 1 in 20000 dilution respectively. Blots were developed with Goat anti-Rabbit IgG H&L (IRDye® 800CW) preadsorbed (ab216773) and Goat anti-Mouse IgG H&L (IRDye® 680RD) preadsorbed (ab216776) secondary antibodies at 1 in 20000 dilution for 1 hour at room temperature before imaging.

All lanes:

Western blot - Anti-MCL1 antibody [Y37] (<a href='/en-us/products/primary-antibodies/mcl1-antibody-y37-ab32087'>ab32087</a>) at 1/1000 dilution

Lane 1:

Wild-type HEK293T cell lysate at 20 µg

Lane 2:

MCL1 knockout HEK293T cell lysate at 20 µg

Lane 2:

Western blot - Human MCL1 knockout HEK-293T cell line (<a href='/en-us/products/cell-lines/human-mcl1-knockout-hek-293t-cell-line-ab266838'>ab266838</a>)

Lane 3:

Ramos cell lysate at 20 µg

Secondary

All lanes:

Western blot - Goat anti-Rabbit IgG H&L (IRDye® 800CW) preadsorbed (<a href='/en-us/products/secondary-antibodies/goat-rabbit-igg-h-l-irdye-800cw-preadsorbed-ab216773'>ab216773</a>) at 1/10000 dilution

Predicted band size: 37 kDa

Observed band size: 37 kDa

false

Key facts

Host species

Rabbit

Clonality

Monoclonal

Clone number

Y37

Isotype

IgG

Carrier free

Yes

Reacts with

Mouse, Rat, Human

Applications

ICC/IF, WB, Flow Cyt (Intra), IHC-P

applications

Immunogen

The exact immunogen used to generate this antibody is proprietary information.

Specificity

This antibody recognises MCL1. The antibody does not cross-react with other Bcl-2 family members.

Reactivity data

{ "title": "Reactivity Data", "filters": { "stats": ["", "Species", "Dilution Info", "Notes"], "tabs": { "all-applications": {"fullname" : "All Applications", "shortname": "All Applications"}, "ICCIF" : {"fullname" : "Immunocytochemistry/ Immunofluorescence", "shortname":"ICC/IF"}, "WB" : {"fullname" : "Western blot", "shortname":"WB"}, "FlowCytIntra" : {"fullname" : "Flow Cytometry (Intracellular)", "shortname":"Flow Cyt (Intra)"}, "IHCP" : {"fullname" : "Immunohistochemistry (Formalin/PFA-fixed paraffin-embedded sections)", "shortname":"IHC-P"} }, "product-promise": { "all": "all", "testedAndGuaranteed": "tested", "guaranteed": "expected", "predicted": "predicted", "notRecommended": "not-recommended" } }, "values": { "Human": { "ICCIF-species-checked": "testedAndGuaranteed", "ICCIF-species-dilution-info": "", "ICCIF-species-notes": "<p></p>", "WB-species-checked": "testedAndGuaranteed", "WB-species-dilution-info": "", "WB-species-notes": "<p>Can be blocked with MCL1 peptide (<a href='/en-us/products/unavailable/mcl1-peptide-ab199979'>ab199979</a>).</p>", "FlowCytIntra-species-checked": "testedAndGuaranteed", "FlowCytIntra-species-dilution-info": "", "FlowCytIntra-species-notes": "<p><a href='/en-us/products/primary-antibodies/rabbit-igg-monoclonal-epr25a-isotype-control-low-endotoxin-azide-free-ab199376'>ab199376</a> - Rabbit monoclonal IgG, is suitable for use as an isotype control with this antibody.</p>", "IHCP-species-checked": "testedAndGuaranteed", "IHCP-species-dilution-info": "", "IHCP-species-notes": "<p></p>" }, "Mouse": { "ICCIF-species-checked": "predicted", "ICCIF-species-dilution-info": "", "ICCIF-species-notes": "", "WB-species-checked": "predicted", "WB-species-dilution-info": "", "WB-species-notes": "", "FlowCytIntra-species-checked": "predicted", "FlowCytIntra-species-dilution-info": "", "FlowCytIntra-species-notes": "", "IHCP-species-checked": "predicted", "IHCP-species-dilution-info": "", "IHCP-species-notes": "" }, "Rat": { "ICCIF-species-checked": "predicted", "ICCIF-species-dilution-info": "", "ICCIF-species-notes": "", "WB-species-checked": "predicted", "WB-species-dilution-info": "", "WB-species-notes": "", "FlowCytIntra-species-checked": "predicted", "FlowCytIntra-species-dilution-info": "", "FlowCytIntra-species-notes": "", "IHCP-species-checked": "predicted", "IHCP-species-dilution-info": "", "IHCP-species-notes": "" } } }

Product details

ab186822 is the carrier-free version of ab32087.

Patented technology
Our RabMAb® technology is a patented hybridoma-based technology for making rabbit monoclonal antibodies. For details on our patents, please refer to RabMAb® patents.

What are the advantages of a recombinant monoclonal antibody?
This product is a recombinant monoclonal antibody, which offers several advantages including:

  • - High batch-to-batch consistency and reproducibility
  • - Improved sensitivity and specificity
  • - Long-term security of supply
  • - Animal-free batch production

For more information, read more on recombinant antibodies.

Conjugation ready
Our carrier-free antibodies are typically supplied in a PBS-only formulation, purified and free of BSA, sodium azide and glycerol. This conjugation-ready format is designed for use with fluorochromes, metal isotopes, oligonucleotides, and enzymes, which makes them ideal for antibody labelling, functional and cell-based assays, flow-based assays (e.g. mass cytometry) and Multiplex Imaging applications.

Use our conjugation kits for antibody conjugates that are ready-to-use in as little as 20 minutes with 1 minute hands-on-time and 100% antibody recovery: available for fluorescent dyes, HRP, biotin and gold.

Compatibility
This product is compatible with the Maxpar® Antibody Labeling Kit from Fluidigm, without the need for antibody preparation. Maxpar® is a trademark of Fluidigm Canada Inc.

Properties and storage information

Form
Liquid
Purification technique
Affinity purification Protein A
Storage buffer
pH: 7.2 - 7.4 Constituents: PBS
Shipped at conditions
Blue Ice
Appropriate short-term storage conditions
+4°C
Appropriate long-term storage conditions
+4°C
Storage information
Do Not Freeze

Supplementary information

This supplementary information is collated from multiple sources and compiled automatically.

MCL1 also known as myeloid cell leukemia sequence 1 is an anti-apoptotic member of the BCL-2 family. This protein plays an important role in regulating cell survival by inhibiting apoptosis. MCL1 has a molecular weight of approximately 37 kDa. It is primarily expressed in the mitochondria and can be found in various tissues including heart liver placenta and kidneys.
Biological function summary

MCL1 protein functions to maintain cell viability by counteracting pro-apoptotic stimuli. It interacts within the cell as part of a complex network involving other BCL-2 family proteins. MCL1 binds and sequesters BH3-only proteins and Bax therefore preventing them from initiating the apoptotic cascade. This interaction helps cells survive under stress conditions by temporarily inhibiting apoptosis.

Pathways

MCL1 plays a significant role in the intrinsic (mitochondrial) apoptosis pathway and the cell signaling pathways that facilitate cell survival and proliferation. In the mitochondrial pathway it works closely with other BCL-2 family members like BCL-xL and BCL-2 itself to control the permeability of the mitochondrial outer membrane and thereby influence cytochrome c release. The PI3K/AKT pathway can also regulate MCL1 leading to increases in its expression and stability which promotes cell survival.

Researchers have linked alterations in MCL1 expression to various cancers including leukemia and lymphoma. Overexpression of MCL1 can contribute to chemoresistance in cancer cells by preventing apoptosis. This protein's function is also connected to cardiomyopathies where altered MCL1 expression in cardiac tissue can influence cell death and survival outcomes. BCL-2 and BCL-xL closely related proteins also implicate in these conditions highlighting the central role of the apoptotic regulatory network in disease development.

Product protocols

For this product, it's our understanding that no specific protocols are required. You can visit:

Target data

Involved in the regulation of apoptosis versus cell survival, and in the maintenance of viability but not of proliferation. Mediates its effects by interactions with a number of other regulators of apoptosis. Isoform 1 inhibits apoptosis. Isoform 2 promotes apoptosis.
See full target information MCL1

Publications (13)

Recent publications for all applications. Explore the full list and refine your search

Blood 122:1669-77 PubMed23869083

2013

Targeting apoptosis to induce stable mixed hematopoietic chimerism and long-term allograft survival without myelosuppressive conditioning in mice.

Applications

Unspecified application

Species

Unspecified reactive species

Pietro E Cippà,Sarah S Gabriel,Jin Chen,Philip D Bardwell,Andrew Bushell,Annick Guimezanes,Anna K Kraus,Thomas Wekerle,Rudolf P Wüthrich,Thomas Fehr

Molecular cancer therapeutics 12:1471-80 PubMed23704793

2013

Novel curcumin-loaded magnetic nanoparticles for pancreatic cancer treatment.

Applications

Unspecified application

Species

Unspecified reactive species

Murali M Yallapu,Mara C Ebeling,Sheema Khan,Vasudha Sundram,Neeraj Chauhan,Brij K Gupta,Susan E Puumala,Meena Jaggi,Subhash C Chauhan

Molecular therapy : the journal of the American So 21:816-24 PubMed23380818

2013

Enhanced intrapulmonary delivery of anticancer siRNA for lung cancer therapy using cationic ethylphosphocholine-based nanolipoplexes.

Applications

WB

Species

Unspecified reactive species

Gayong Shim,Hyun-Woo Choi,Sangbin Lee,Junhyeok Choi,Yong Hee Yu,Da-Eui Park,Yongseok Choi,Chan-Wha Kim,Yu-Kyoung Oh

Cancer research 72:1825-35 PubMed22311672

2012

Retinoic acid/alpha-interferon combination inhibits growth and promotes apoptosis in mantle cell lymphoma through Akt-dependent modulation of critical targets.

Applications

Unspecified application

Species

Human

Jessica Dal Col,Katy Mastorci,Damiana Antonia Faè,Elena Muraro,Debora Martorelli,Giorgio Inghirami,Riccardo Dolcetti

Blood 118:4150-8 PubMed21844565

2011

SET oncoprotein overexpression in B-cell chronic lymphocytic leukemia and non-Hodgkin lymphoma: a predictor of aggressive disease and a new treatment target.

Applications

Unspecified application

Species

Unspecified reactive species

Dale J Christensen,Youwei Chen,Jessica Oddo,Karen M Matta,Jessica Neil,Evan D Davis,Alicia D Volkheimer,Mark C Lanasa,Daphne R Friedman,Barbara K Goodman,Jon P Gockerman,Louis F Diehl,Carlos M de Castro,Joseph O Moore,Michael P Vitek,J Brice Weinberg

Blood 116:1433-42 PubMed20525924

2010

The human stem cell hierarchy is defined by a functional dependence on Mcl-1 for self-renewal capacity.

Applications

Flow Cyt

Species

Human

Clinton J V Campbell,Jung Bok Lee,Marilyne Levadoux-Martin,Tracy Wynder,Anargyros Xenocostas,Brian Leber,Mickie Bhatia

PloS one 5:e9924 PubMed20360986

2010

Use of human cancer cell lines mitochondria to explore the mechanisms of BH3 peptides and ABT-737-induced mitochondrial membrane permeabilization.

Applications

WB

Species

Human

Nelly Buron,Mathieu Porceddu,Magali Brabant,Diana Desgué,Cindy Racoeur,Myriam Lassalle,Christine Péchoux,Pierre Rustin,Etienne Jacotot,Annie Borgne-Sanchez

Cancer cell 17:249-61 PubMed20227039

2010

Genetic dissection of the oncogenic mTOR pathway reveals druggable addiction to translational control via 4EBP-eIF4E.

Applications

Flow Cyt

Species

Mouse

Andrew C Hsieh,Maria Costa,Ornella Zollo,Cole Davis,Morris E Feldman,Joseph R Testa,Oded Meyuhas,Kevan M Shokat,Davide Ruggero

American journal of respiratory cell and molecular 43:376-85 PubMed19880821

2009

Epithelial ablation of Bcl-XL increases sensitivity to oxygen without disrupting lung development.

Applications

Unspecified application

Species

Unspecified reactive species

Rhonda J Staversky,Peter F Vitiello,Min Yee,Linda M Callahan,David A Dean,Michael A O'Reilly

Genes & development 22:2178-88 PubMed18708578

2008

Tumorigenic activity and therapeutic inhibition of Rheb GTPase.

Applications

WB

Species

Mouse

Konstantinos J Mavrakis,Hong Zhu,Ricardo L A Silva,John R Mills,Julie Teruya-Feldstein,Scott W Lowe,Wayne Tam,Jerry Pelletier,Hans-Guido Wendel
View all publications

Product promise

We are committed to supporting your work with high-quality reagents, and we're here for you every step of the way. In the unlikely event that one of our products does not perform as expected, you're protected by our Product Promise.
For full details, please see our Terms & Conditions

Please note: All products are 'FOR RESEARCH USE ONLY. NOT FOR USE IN DIAGNOSTIC OR THERAPEUTIC PROCEDURES'.

For licensing inquiries, please contact partnerships@abcam.com