JavaScript is disabled in your browser. Please enable JavaScript to view this website.
AB4461

Anti-MCM2 antibody

5

(18 Reviews)

|

(66 Publications)

Anti-MCM2 antibody (ab4461) is a rabbit polyclonal antibody detecting MCM2 in Western Blot, IP, IHC-P. Suitable for Human, Mouse.

- Over 60 publications
- Trusted since 2003

View Alternative Names

BM28, CCNL1, CDCL1, KIAA0030, MCM2, DNA replication licensing factor MCM2, Minichromosome maintenance protein 2 homolog, Nuclear protein BM28

4 Images
Immunoprecipitation - Anti-MCM2 antibody (AB4461)
  • IP

Supplier Data

Immunoprecipitation - Anti-MCM2 antibody (AB4461)

MCM2 was immunoprecipitated from 1 mg per reaction of HEK-293T (Human epithelial cell line from embryonic kidney transformed with large T antigen) whole cell lysate with ab4461 at 3 μg per reaction. Western blot was performed from the immunoprecipitate using ab4461 at 1 μg/ml.

Lane 1 : Phospho MCM2 (S108) antibody IP in HEK-293T lysate.
Lane 2 : ab4461 IP in HEK-293T lysate.
Lane 3 : Control IgG instead of ab4461 in HEK-293T lysate.

NETN lysis buffer.
Exposure time : XXXX.

All lanes:

Immunoprecipitation - Anti-MCM2 antibody (ab4461)

Predicted band size: 102 kDa

false

Western blot - Anti-MCM2 antibody (AB4461)
  • WB

Supplier Data

Western blot - Anti-MCM2 antibody (AB4461)

All lanes:

Western blot - Anti-MCM2 antibody (ab4461) at 0.1 µg/mL

Lane 1:

HeLa (Human epithelial adenocarcinoma cell line) whole cell lysate at 50 µg

Lane 2:

HEK-293T (Human epithelial cell line from embryonic kidney transformed with large T antigen) whole cell lysate at 50 µg

Lane 3:

Jurkat (Human T cell leukemia cell line from peripheral blood) whole cell lysate at 50 µg

Lane 4:

TCMK-1 (Mouse kidney epithelial cell line) whole cell lysate at 50 µg

Lane 5:

NIH/3T3 (Mouse embryo fibroblast cell line) whole cell lysate at 50 µg

Predicted band size: 102 kDa

false

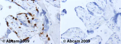
Immunohistochemistry (Formalin/PFA-fixed paraffin-embedded sections) - Anti-MCM2 antibody (AB4461)
  • IHC-P

Lab

Immunohistochemistry (Formalin/PFA-fixed paraffin-embedded sections) - Anti-MCM2 antibody (AB4461)

ab4461 staining MCM2 in Human placenta.
Left panel : with primary antibody at 4 ug/ml. Right panel : isotype control.
Sections were stained using an automated system (DAKO Autostainer Plus), at room temperature : sections were rehydrated and antigen retrieved with the Dako 3 in 1 AR buffers EDTA pH 9.0. Slides were peroxidase blocked in 3% H2O2 in methanol for 10 mins. They were then blocked with Dako Protein block for 10 minutes (containing casein 0.25% in PBS) then incubated with primary antibody for 20 min and detected with Dako envision flex amplification kit for 30 minutes. Colorimetric detection was completed with Diaminobenzidine for 5 minutes. Slides were counterstained with Haematoxylin and coverslipped under DePeX. Please note that for manual staining we recommend to optimize the primary antibody concentration and incubation time (overnight incubation), and amplification may be required.

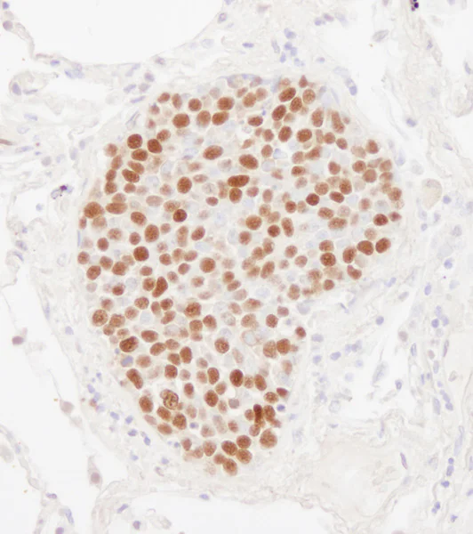
Immunohistochemistry (Formalin/PFA-fixed paraffin-embedded sections) - Anti-MCM2 antibody (AB4461)
  • IHC-P

Unknown

Immunohistochemistry (Formalin/PFA-fixed paraffin-embedded sections) - Anti-MCM2 antibody (AB4461)

Immunohistochemistry (Formalin/PFA-fixed paraffin-embedded sections) analysis of human small cell lung cancer tissue labeling MCM2 with ab4461 at 1/1000 (1μg/ml). Detection : DAB.

Key facts

Host species

Rabbit

Clonality

Polyclonal

Isotype

IgG

Carrier free

No

Reacts with

Mouse, Human

Applications

IP, IHC-P, WB

applications

Immunogen

Synthetic Peptide within Human MCM2. The exact immunogen used to generate this antibody is proprietary information.

P49736

Reactivity data

{ "title": "Reactivity Data", "filters": { "stats": ["", "Species", "Dilution Info", "Notes"], "tabs": { "all-applications": {"fullname" : "All Applications", "shortname": "All Applications"}, "IHCP" : {"fullname" : "Immunohistochemistry (Formalin/PFA-fixed paraffin-embedded sections)", "shortname":"IHC-P"}, "IP" : {"fullname" : "Immunoprecipitation", "shortname":"IP"}, "WB" : {"fullname" : "Western blot", "shortname":"WB"} }, "product-promise": { "all": "all", "testedAndGuaranteed": "tested", "guaranteed": "expected", "predicted": "predicted", "notRecommended": "not-recommended" } }, "values": { "Human": { "IHCP-species-checked": "testedAndGuaranteed", "IHCP-species-dilution-info": "1/2000 - 1/10000", "IHCP-species-notes": "<p></p> Perform heat-mediated antigen retrieval with citrate buffer pH 6 before commencing with IHC staining protocol.", "IP-species-checked": "testedAndGuaranteed", "IP-species-dilution-info": "2-5 µg/mg of lysate", "IP-species-notes": "<p></p>", "WB-species-checked": "testedAndGuaranteed", "WB-species-dilution-info": "1/1000 - 1/10000", "WB-species-notes": "<p></p>" }, "Mouse": { "IHCP-species-checked": "guaranteed", "IHCP-species-dilution-info": "1/2000 - 1/10000", "IHCP-species-notes": "<p></p> Perform heat-mediated antigen retrieval with citrate buffer pH 6 before commencing with IHC staining protocol.", "IP-species-checked": "guaranteed", "IP-species-dilution-info": "2-5 µg/mg of lysate", "IP-species-notes": "<p></p>", "WB-species-checked": "testedAndGuaranteed", "WB-species-dilution-info": "1/1000 - 1/10000", "WB-species-notes": "<p></p>" }, "Chimpanzee": { "IHCP-species-checked": "predicted", "IHCP-species-dilution-info": "", "IHCP-species-notes": "", "IP-species-checked": "predicted", "IP-species-dilution-info": "", "IP-species-notes": "", "WB-species-checked": "predicted", "WB-species-dilution-info": "", "WB-species-notes": "" }, "Gorilla": { "IHCP-species-checked": "predicted", "IHCP-species-dilution-info": "", "IHCP-species-notes": "", "IP-species-checked": "predicted", "IP-species-dilution-info": "", "IP-species-notes": "", "WB-species-checked": "predicted", "WB-species-dilution-info": "", "WB-species-notes": "" }, "Orangutan": { "IHCP-species-checked": "predicted", "IHCP-species-dilution-info": "", "IHCP-species-notes": "", "IP-species-checked": "predicted", "IP-species-dilution-info": "", "IP-species-notes": "", "WB-species-checked": "predicted", "WB-species-dilution-info": "", "WB-species-notes": "" } } }

Product details

What is this antibody validated in?
Anti-MCM2 antibody (ab4461) is a rabbit polyclonal antibody and is validated for use in Western Blot (WB), Immunoprecipitation (IP), Immunohistochemistry (IHC-P) in Human, Mouse samples.

What is the molecular weight of MCM2?
Anti-MCM2 (ab4461) specifically detects a band for MCM2 (UniProt: P49736) at a molecular weight of 100kDa.

Trusted by the scientific community
Anti-MCM2 (ab4461) was first used in a scientific publication in 2003 and has been cited over 60 times in peer-reviewed journals.

Reviewed by scientists
Anti-MCM2 (ab4461) has over 15 independent reviews from customers.

Properties and storage information

Form
Liquid
Purification technique
Affinity purification Immunogen
Storage buffer
pH: 7 - 8 Preservative: 0.1% Sodium azide Constituents: 1.815% Tris, 1.764% Sodium citrate, 0.021% PBS
Shipped at conditions
Blue Ice
Appropriate short-term storage conditions
+4°C
Appropriate long-term storage conditions
-20°C
Aliquoting information
Upon delivery aliquot
Storage information
Avoid freeze / thaw cycle

Supplementary information

This supplementary information is collated from multiple sources and compiled automatically.

MCM2 or Minichromosome Maintenance Complex Component 2 is a protein involved in the initiation of DNA replication. It plays a central role in the formation of the pre-replication complex which is necessary for DNA unwinding and replication fork progression. The molecular weight of MCM2 is approximately 100 kDa. It is expressed ubiquitously in proliferating cells as its function is necessary for DNA replication. Researchers often use terms like MCM-2 MC M2 or PMC M2 when discussing varying aspects of its function and interaction with other proteins in scientific literature.
Biological function summary

MCM2 is part of the heterohexameric MCM complex including other proteins like MCM3 to MCM7. This complex serves as a helicase unwinding DNA to allow replication machinery access to the template strand. The activity of the MCM complex is tightly regulated to ensure that every section of genomic DNA is replicated once per cell cycle. Its proper function ensures genetic information replication accuracy and contributes to genome stability.

Pathways

MCM2 participates in essential biological processes such as the DNA replication pathway and the cell cycle regulatory pathway. The presence of MCM2 is critical for the G1/S transition phase of the cell cycle. It interacts with other proteins including CDC45 and GINS forming the active CMG helicase complex. This complex is pivotal in orchestrating the replication machinery and signaling pathway responses to ensure appropriate replication origin firing and accurate DNA synthesis.

MCM2 is often associated with cancer and some types of genomic instability disorders. Its overexpression can lead to uncontrolled cell proliferation a hallmark of cancer. MCM2 expression levels can be a marker in distinguishing certain tumors acting as a potential therapeutic target. The protein's interaction with components like cyclin-dependent kinases (CDKs) can influence pathways leading to malignant transformation and suggests its involvement in tumorigenesis and potential as a target for anticuerpos or antibodies in disease treatment.

Product protocols

For this product, it's our understanding that no specific protocols are required. You can visit:

Target data

Acts as a component of the MCM2-7 complex (MCM complex) which is the replicative helicase essential for 'once per cell cycle' DNA replication initiation and elongation in eukaryotic cells. Core component of CDC45-MCM-GINS (CMG) helicase, the molecular machine that unwinds template DNA during replication, and around which the replisome is built (PubMed : 32453425, PubMed : 34694004, PubMed : 34700328, PubMed : 35585232). The active ATPase sites in the MCM2-7 ring are formed through the interaction surfaces of two neighboring subunits such that a critical structure of a conserved arginine finger motif is provided in trans relative to the ATP-binding site of the Walker A box of the adjacent subunit. The six ATPase active sites, however, are likely to contribute differentially to the complex helicase activity (PubMed : 32453425). Required for the entry in S phase and for cell division (PubMed : 8175912). Plays a role in terminally differentiated hair cells development of the cochlea and induces cells apoptosis (PubMed : 26196677).
See full target information MCM2

Publications (66)

Recent publications for all applications. Explore the full list and refine your search

Cell transplantation 32:9636897231200059 PubMed37724837

2023

Establishing an Efficient Electroporation-Based Method to Manipulate Target Gene Expression in the Axolotl Brain.

Applications

Unspecified application

Species

Unspecified reactive species

Sulei Fu,Cheng Peng,Yan-Yun Zeng,Yuanhui Qiu,Yanmei Liu,Ji-Feng Fei

PNAS nexus 2:pgad202 PubMed37388922

2023

A PITX2-HTR1B pathway regulates the asymmetric development of female gonads in chickens.

Applications

Unspecified application

Species

Unspecified reactive species

Zhelun Peng,Qiu Man,Lu Meng,Sheng Wang,Hao Cai,Chuansheng Zhang,Xianyao Li,Heng Wang,Guiyu Zhu

Nature communications 14:2428 PubMed37105990

2023

Pathway choice in the alternative telomere lengthening in neoplasia is dictated by replication fork processing mediated by EXD2's nuclease activity.

Applications

Unspecified application

Species

Unspecified reactive species

Ronan Broderick,Veronica Cherdyntseva,Jadwiga Nieminuszczy,Eleni Dragona,Maria Kyriakaki,Theodora Evmorfopoulou,Sarantis Gagos,Wojciech Niedzwiedz

iScience 26:106093 PubMed36843845

2023

Prenatal low-dose methylmercury exposure causes premature neuronal differentiation and autism-like behaviors in a rodent model.

Applications

Unspecified application

Species

Unspecified reactive species

Allison Loan,Joseph Wai-Hin Leung,David P Cook,Chelsea Ko,Barbara C Vanderhyden,Jing Wang,Hing Man Chan

iScience 26:105974 PubMed36756367

2023

Risk model based on minichromosome maintenance 2 using objective assessment for predicting survival of neuroblastoma.

Applications

Unspecified application

Species

Unspecified reactive species

Liang Zeng,Xiao-Yun Liu,Lei Miao,Kai Chen,Hui Xu,Liang-Jun Qin,Meng Li,Kai Liu,Jiahao Feng,Hai-Yun Wang

Medicina (Kaunas, Lithuania) 59: PubMed36676734

2023

The Correlation between Proliferative Immunohistochemical Markers and Papillary Thyroid Carcinoma Aggressiveness.

Applications

Unspecified application

Species

Unspecified reactive species

Mohammad Sheikh-Ahmad,Yara Shalata,Jacob Bejar,Hila Kreizman Shefer,Majd F Sirhan,Monica Laniado,Ibrahim Matter,Abed Agbarya,Maria Reut,Ekaterina Yovanovich,Leonard Saiegh

eLife 11: PubMed36354740

2022

Mcm2 promotes stem cell differentiation via its ability to bind H3-H4.

Applications

Unspecified application

Species

Unspecified reactive species

Xiaowei Xu,Xu Hua,Kyle Brown,Xiaojun Ren,Zhiguo Zhang

International journal of molecular sciences 23: PubMed36293494

2022

Cabozantinib-Loaded PLGA Nanoparticles: A Potential Adjuvant Strategy for Surgically Resected High-Risk Non-Metastatic Renal Cell Carcinoma.

Applications

Unspecified application

Species

Unspecified reactive species

Hye Won Lee,Hee Seung Seo,Seon-Yong Yeom,Se-Na Kim,Cho Rim Kim,Dae-Hwan Park,Wooram Park,Young Bin Choy,Chun Gwon Park,Seong Il Seo

Cell death & disease 13:838 PubMed36175396

2022

Retinoic acid and RARγ maintain satellite cell quiescence through regulation of translation initiation.

Applications

Unspecified application

Species

Unspecified reactive species

Wenzhe Luo,Yueyuan Xu,Ruige Liu,Yinlong Liao,Sheng Wang,Haoyuan Zhang,Xinyun Li,Heng Wang

International journal of molecular sciences 23: PubMed35682855

2022

Omega-6 Polyunsaturated Fatty Acids Enhance Tumor Aggressiveness in Experimental Lung Cancer Model: Important Role of Oxylipins.

Applications

Unspecified application

Species

Unspecified reactive species

Mayra Montecillo-Aguado,Belen Tirado-Rodriguez,Gabriela Antonio-Andres,Mario Morales-Martinez,Zhen Tong,Jun Yang,Bruce D Hammock,Rogelio Hernandez-Pando,Sara Huerta-Yepez
View all publications

Product promise

We are committed to supporting your work with high-quality reagents, and we're here for you every step of the way. In the unlikely event that one of our products does not perform as expected, you're protected by our Product Promise.
For full details, please see our Terms & Conditions

Associated Products

Select an associated product type
Alternative Product
Primary Antibodies

AB223403

Alexa Fluor® 647 Anti-MCM2 antibody [EPR4120]

primary-antibodies

alexa-fluor-647-mcm2-antibody-epr4120-ab223403

0

(0 reviews)

Alternative Product
Primary Antibodies

AB133325

Anti-MCM2 antibody [EPR3727]

primary-antibodies

mcm2-antibody-epr3727-ab133325

0

(0 reviews)

Alternative Product
Primary Antibodies

AB133243

Anti-MCM2 (phospho S40) antibody [EPR4170(2)]

primary-antibodies

mcm2-phospho-s40-antibody-epr41702-ab133243

5

(2 reviews)

Alternative Product
Primary Antibodies

AB108935

Anti-MCM2 antibody [EPR4120]

primary-antibodies

mcm2-antibody-epr4120-ab108935

0

(0 reviews)

Alternative Product
Primary Antibodies

AB109270

Anti-MCM2 (phospho S41) antibody [EPR4171]

primary-antibodies

mcm2-phospho-s41-antibody-epr4171-ab109270

0

(0 reviews)

Alternative Product
Primary Antibodies

AB109133

Anti-MCM2 (phospho S53) antibody [EP4120]

primary-antibodies

mcm2-phospho-s53-antibody-ep4120-ab109133

5

(4 reviews)

Alternative Product
Primary Antibodies

AB109271

Anti-MCM2 (phospho S108) antibody [EPR4121]

primary-antibodies

mcm2-phospho-s108-antibody-epr4121-ab109271

0

(0 reviews)

Please note: All products are 'FOR RESEARCH USE ONLY. NOT FOR USE IN DIAGNOSTIC OR THERAPEUTIC PROCEDURES'.

For licensing inquiries, please contact partnerships@abcam.com