JavaScript is disabled in your browser. Please enable JavaScript to view this website.
AB133325

Anti-MCM2 antibody [EPR3727]

Be the first to review this product! Submit a review

|

(5 Publications)

Rabbit Recombinant Monoclonal MCM2 antibody. Suitable for IHC-P, IP, WB, ICC/IF, Flow Cyt (Intra) and reacts with Human samples. Cited in 5 publications.

View Alternative Names

BM28, CCNL1, CDCL1, KIAA0030, MCM2, DNA replication licensing factor MCM2, Minichromosome maintenance protein 2 homolog, Nuclear protein BM28

12 Images
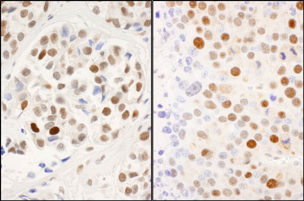
Immunohistochemistry (Formalin/PFA-fixed paraffin-embedded sections) - Anti-MCM2 antibody [EPR3727] (AB133325)
  • IHC-P

Unknown

Immunohistochemistry (Formalin/PFA-fixed paraffin-embedded sections) - Anti-MCM2 antibody [EPR3727] (AB133325)

Immunohistochemical analysis of paraffin embedded Human Urinary bladder transitional carcinoma tissue using ab133325 showing +ve staining.

Perform heat mediated antigen retrieval with citrate buffer pH 6 before commencing with IHC staining protocol.

Flow Cytometry (Intracellular) - Anti-MCM2 antibody [EPR3727] (AB133325)
  • Flow Cyt (Intra)

Lab

Flow Cytometry (Intracellular) - Anti-MCM2 antibody [EPR3727] (AB133325)

Intracellular Flow Cytometry analysis of HeLa (human cervix adenocarcinoma) cells labeling MCM2 with unpurified ab133325 at 1/200 dilution (10ug/ml) (red). Cells were fixed with 4% paraformaldehyde and permeabilised with 90% methanol. A Goat anti rabbit IgG (Alexa Fluor® 488) (1/2000 dilution) was used as the secondary antibody. Rabbit monoclonal IgG (Black) was used as the isotype control, cells without incubation with primary antibody and secondary antibody (Blue) were used as the unlabeled control.

Immunohistochemistry (Formalin/PFA-fixed paraffin-embedded sections) - Anti-MCM2 antibody [EPR3727] (AB133325)
  • IHC-P

Unknown

Immunohistochemistry (Formalin/PFA-fixed paraffin-embedded sections) - Anti-MCM2 antibody [EPR3727] (AB133325)

Immunohistochemical analysis of paraffin embedded normal Human heart tissue using ab133325 showing -ve staining.

Perform heat mediated antigen retrieval with citrate buffer pH 6 before commencing with IHC staining protocol.

Immunohistochemistry (Formalin/PFA-fixed paraffin-embedded sections) - Anti-MCM2 antibody [EPR3727] (AB133325)
  • IHC-P

Unknown

Immunohistochemistry (Formalin/PFA-fixed paraffin-embedded sections) - Anti-MCM2 antibody [EPR3727] (AB133325)

Immunohistochemical analysis of paraffin embedded Human Breast carcinoma tissue using ab133325 showing +ve staining.

Perform heat mediated antigen retrieval with citrate buffer pH 6 before commencing with IHC staining protocol.

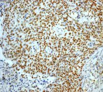
Immunohistochemistry (Formalin/PFA-fixed paraffin-embedded sections) - Anti-MCM2 antibody [EPR3727] (AB133325)
  • IHC-P

Unknown

Immunohistochemistry (Formalin/PFA-fixed paraffin-embedded sections) - Anti-MCM2 antibody [EPR3727] (AB133325)

Immunohistochemical analysis of paraffin-embedded Human cervical carcinoma tissue labelling MCM2 with ab133325 at 1/100 dilution.

Perform heat mediated antigen retrieval with citrate buffer pH 6 before commencing with IHC staining protocol.

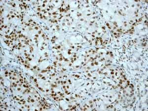
Immunohistochemistry (Formalin/PFA-fixed paraffin-embedded sections) - Anti-MCM2 antibody [EPR3727] (AB133325)
  • IHC-P

Unknown

Immunohistochemistry (Formalin/PFA-fixed paraffin-embedded sections) - Anti-MCM2 antibody [EPR3727] (AB133325)

Immunohistochemical analysis of paraffin embedded normal Human breast tissue using ab133325 showing +ve staining.

Perform heat mediated antigen retrieval with citrate buffer pH 6 before commencing with IHC staining protocol.

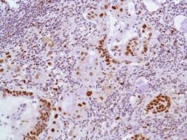
Immunohistochemistry (Formalin/PFA-fixed paraffin-embedded sections) - Anti-MCM2 antibody [EPR3727] (AB133325)
  • IHC-P

Unknown

Immunohistochemistry (Formalin/PFA-fixed paraffin-embedded sections) - Anti-MCM2 antibody [EPR3727] (AB133325)

Immunohistochemical analysis of paraffin embedded Human Clear cell carcinoma of kidney tissue using ab133325 showing +ve staining.

Perform heat mediated antigen retrieval with citrate buffer pH 6 before commencing with IHC staining protocol.

Immunocytochemistry/ Immunofluorescence - Anti-MCM2 antibody [EPR3727] (AB133325)
  • ICC/IF

Unknown

Immunocytochemistry/ Immunofluorescence - Anti-MCM2 antibody [EPR3727] (AB133325)

Immunofluorescent analysis of HeLa cells labelling MCM2 with ab133325 at 1/100 dilution.

Immunohistochemistry (Formalin/PFA-fixed paraffin-embedded sections) - Anti-MCM2 antibody [EPR3727] (AB133325)
  • IHC-P

Unknown

Immunohistochemistry (Formalin/PFA-fixed paraffin-embedded sections) - Anti-MCM2 antibody [EPR3727] (AB133325)

Immunohistochemical analysis of paraffin-embedded Human tonsil tissue labelling MCM2 with ab133325 at 1/100 dilution.

Perform heat mediated antigen retrieval with citrate buffer pH 6 before commencing with IHC staining protocol.

Immunohistochemistry (Formalin/PFA-fixed paraffin-embedded sections) - Anti-MCM2 antibody [EPR3727] (AB133325)
  • IHC-P

Unknown

Immunohistochemistry (Formalin/PFA-fixed paraffin-embedded sections) - Anti-MCM2 antibody [EPR3727] (AB133325)

Immunohistochemical analysis of paraffin embedded normal Human colon tissue using ab133325 showing +ve staining.

Perform heat mediated antigen retrieval with citrate buffer pH 6 before commencing with IHC staining protocol.

Immunoprecipitation - Anti-MCM2 antibody [EPR3727] (AB133325)
  • IP

Supplier Data

Immunoprecipitation - Anti-MCM2 antibody [EPR3727] (AB133325)

MCM2 was immunoprecipitated from Jurkat (Human T cell leukemia cell line from peripheral blood) with ab133325 at 1/60 dilution.

Exposue time : 10 second.

All lanes:

Immunoprecipitation - Anti-MCM2 antibody [EPR3727] (ab133325)

Predicted band size: 102 kDa

false

Western blot - Anti-MCM2 antibody [EPR3727] (AB133325)
  • WB

Unknown

Western blot - Anti-MCM2 antibody [EPR3727] (AB133325)

All lanes:

Western blot - Anti-MCM2 antibody [EPR3727] (ab133325) at 1/1000 dilution

Lane 1:

HeLa cell lysate at 10 µg

Lane 2:

Jurkat cell lysate at 10 µg

Lane 3:

MCF-7 cell lysate at 10 µg

Secondary

All lanes:

HRP labelled goat anti-rabbit at 1/2000 dilution

Predicted band size: 102 kDa

false

Key facts

Host species

Rabbit

Clonality

Monoclonal

Clone number

EPR3727

Isotype

IgG

Carrier free

No

Reacts with

Human

Applications

Flow Cyt (Intra), IHC-P, ICC/IF, WB, IP

applications

Immunogen

The exact immunogen used to generate this antibody is proprietary information.

Reactivity data

{ "title": "Reactivity Data", "filters": { "stats": ["", "Species", "Dilution Info", "Notes"], "tabs": { "all-applications": {"fullname" : "All Applications", "shortname": "All Applications"}, "IHCP" : {"fullname" : "Immunohistochemistry (Formalin/PFA-fixed paraffin-embedded sections)", "shortname":"IHC-P"}, "IP" : {"fullname" : "Immunoprecipitation", "shortname":"IP"}, "WB" : {"fullname" : "Western blot", "shortname":"WB"}, "ICCIF" : {"fullname" : "Immunocytochemistry/ Immunofluorescence", "shortname":"ICC/IF"}, "FlowCytIntra" : {"fullname" : "Flow Cytometry (Intracellular)", "shortname":"Flow Cyt (Intra)"} }, "product-promise": { "all": "all", "testedAndGuaranteed": "tested", "guaranteed": "expected", "predicted": "predicted", "notRecommended": "not-recommended" } }, "values": { "Human": { "IHCP-species-checked": "testedAndGuaranteed", "IHCP-species-dilution-info": "1/100 - 1/200", "IHCP-species-notes": "<p></p>", "IP-species-checked": "testedAndGuaranteed", "IP-species-dilution-info": "1/10 - 1/100", "IP-species-notes": "<p></p>", "WB-species-checked": "testedAndGuaranteed", "WB-species-dilution-info": "1/1000 - 1/10000", "WB-species-notes": "<p></p>", "ICCIF-species-checked": "testedAndGuaranteed", "ICCIF-species-dilution-info": "1/100 - 1/200", "ICCIF-species-notes": "<p></p>", "FlowCytIntra-species-checked": "testedAndGuaranteed", "FlowCytIntra-species-dilution-info": "", "FlowCytIntra-species-notes": "<p></p>" } } }

Product details

Species reactivity
Mouse, Rat: We have preliminary internal testing data to indicate this antibody may not react with these species.
Please contact us for more information.

Patented technology
Our RabMAb® technology is a patented hybridoma-based technology for making rabbit monoclonal antibodies. For details on our patents, please refer to RabMAb® patents.

What are the advantages of a recombinant monoclonal antibody?
This product is a recombinant monoclonal antibody, which offers several advantages including:

  • - High batch-to-batch consistency and reproducibility
  • - Improved sensitivity and specificity
  • - Long-term security of supply
  • - Animal-free batch production

For more information, read more on recombinant antibodies.

Properties and storage information

Form
Liquid
Purification technique
Affinity purification Protein A
Storage buffer
pH: 7.2 - 7.4 Preservative: 0.05% Sodium azide Constituents: 50% Tissue culture supernatant, 40% Glycerol (glycerin, glycerine), 9.85% Tris glycine, 0.1% BSA
Shipped at conditions
Blue Ice
Appropriate short-term storage conditions
+4°C
Appropriate long-term storage conditions
-20°C
Storage information
Stable for 12 months at -20°C

Supplementary information

This supplementary information is collated from multiple sources and compiled automatically.

MCM2 or Minichromosome Maintenance Complex Component 2 is a protein involved in the initiation of DNA replication. It plays a central role in the formation of the pre-replication complex which is necessary for DNA unwinding and replication fork progression. The molecular weight of MCM2 is approximately 100 kDa. It is expressed ubiquitously in proliferating cells as its function is necessary for DNA replication. Researchers often use terms like MCM-2 MC M2 or PMC M2 when discussing varying aspects of its function and interaction with other proteins in scientific literature.
Biological function summary

MCM2 is part of the heterohexameric MCM complex including other proteins like MCM3 to MCM7. This complex serves as a helicase unwinding DNA to allow replication machinery access to the template strand. The activity of the MCM complex is tightly regulated to ensure that every section of genomic DNA is replicated once per cell cycle. Its proper function ensures genetic information replication accuracy and contributes to genome stability.

Pathways

MCM2 participates in essential biological processes such as the DNA replication pathway and the cell cycle regulatory pathway. The presence of MCM2 is critical for the G1/S transition phase of the cell cycle. It interacts with other proteins including CDC45 and GINS forming the active CMG helicase complex. This complex is pivotal in orchestrating the replication machinery and signaling pathway responses to ensure appropriate replication origin firing and accurate DNA synthesis.

MCM2 is often associated with cancer and some types of genomic instability disorders. Its overexpression can lead to uncontrolled cell proliferation a hallmark of cancer. MCM2 expression levels can be a marker in distinguishing certain tumors acting as a potential therapeutic target. The protein's interaction with components like cyclin-dependent kinases (CDKs) can influence pathways leading to malignant transformation and suggests its involvement in tumorigenesis and potential as a target for anticuerpos or antibodies in disease treatment.

Product protocols

For this product, it's our understanding that no specific protocols are required. You can visit:

Target data

Acts as a component of the MCM2-7 complex (MCM complex) which is the replicative helicase essential for 'once per cell cycle' DNA replication initiation and elongation in eukaryotic cells. Core component of CDC45-MCM-GINS (CMG) helicase, the molecular machine that unwinds template DNA during replication, and around which the replisome is built (PubMed : 32453425, PubMed : 34694004, PubMed : 34700328, PubMed : 35585232). The active ATPase sites in the MCM2-7 ring are formed through the interaction surfaces of two neighboring subunits such that a critical structure of a conserved arginine finger motif is provided in trans relative to the ATP-binding site of the Walker A box of the adjacent subunit. The six ATPase active sites, however, are likely to contribute differentially to the complex helicase activity (PubMed : 32453425). Required for the entry in S phase and for cell division (PubMed : 8175912). Plays a role in terminally differentiated hair cells development of the cochlea and induces cells apoptosis (PubMed : 26196677).
See full target information MCM2

Publications (5)

Recent publications for all applications. Explore the full list and refine your search

Nucleic acids research 53: PubMed40498073

2025

R-2-hydroxyglutarate-mediated inhibition of KDM4A compromises telomere integrity.

Applications

Unspecified application

Species

Unspecified reactive species

Florence Couteau,Laurence M Gagné,Karine Boulay,Philippe Rousseau,Mélissa Carbonneau,Mary McQuaid,Jyoti Sharma,Christina Sawchyn,Erlinda Fernandez,Dagmar Glatz,Rana Rizk,Marie-Eve Lalonde,Yosra Mehrjoo,Tsz Wai Chu,Gaël Moquin-Beaudry,Christian Beauséjour,Mikhail Sergeev,Santiago Costantino,Daina Avizonis,Ivan Topisirovic,Nada Jabado,Hugo Wurtele,Chantal Autexier,Frédérick A Mallette

PLoS pathogens 21:e1012697 PubMed40203066

2025

The splicing factor kinase, SR protein kinase 1 (SRPK1) is essential for late events in the human papillomavirus life cycle.

Applications

Unspecified application

Species

Unspecified reactive species

Arwa A A Faizo,Clare Bellward,Hegel R Hernandez-Lopez,Andrew Stevenson,Quan Gu,Sheila V Graham

Cell death discovery 6:89 PubMed33014433

2020

Protein kinase D1 phosphorylation of KAT7 enhances its protein stability and promotes replication licensing and cell proliferation.

Applications

Unspecified application

Species

Unspecified reactive species

Yao Liang,Yuanyuan Su,Chenzhong Xu,Na Zhang,Doudou Liu,Guodong Li,Tanjun Tong,Jun Chen

PloS one 8:e58169 PubMed23472152

2013

Concordant and discordant regulation of target genes by miR-31 and its isoforms.

Applications

WB

Species

Human

Yu-Tzu Chan,You-Chin Lin,Ruey-Jen Lin,Huan-Hsien Kuo,Wai-Cheng Thang,Kuo-Ping Chiu,Alice L Yu

Cancer cell international 12:3 PubMed22300067

2012

Suppressive effects of liquid crystal compounds on the growth of U937 human leukemic monocyte lymphoma cells.

Applications

WB

Species

Unspecified reactive species

Junya Ishikawa,Yuuka Takahashi,Masaharu Hazawa,Yukako Fukushi,Atsushi Yoshizawa,Ikuo Kashiwakura
View all publications

Product promise

We are committed to supporting your work with high-quality reagents, and we're here for you every step of the way. In the unlikely event that one of our products does not perform as expected, you're protected by our Product Promise.
For full details, please see our Terms & Conditions

Please note: All products are 'FOR RESEARCH USE ONLY. NOT FOR USE IN DIAGNOSTIC OR THERAPEUTIC PROCEDURES'.

For licensing inquiries, please contact partnerships@abcam.com