JavaScript is disabled in your browser. Please enable JavaScript to view this website.
AB108935

Anti-MCM2 antibody [EPR4120]

Be the first to review this product! Submit a review

|

(23 Publications)

Anti-MCM2 antibody [EPR4120] (ab108935) is a rabbit monoclonal antibody detecting MCM2 in Western Blot, Flow Cytometry (Intra), Flow Cytometry, IP, IHC-P, ICC/IF. Suitable for Human, Mouse, Rat.

- Biophysical QC for unrivalled batch-batch consistency
- Over 20 publications

View Alternative Names

BM28, CCNL1, CDCL1, KIAA0030, MCM2, DNA replication licensing factor MCM2, Minichromosome maintenance protein 2 homolog, Nuclear protein BM28

17 Images
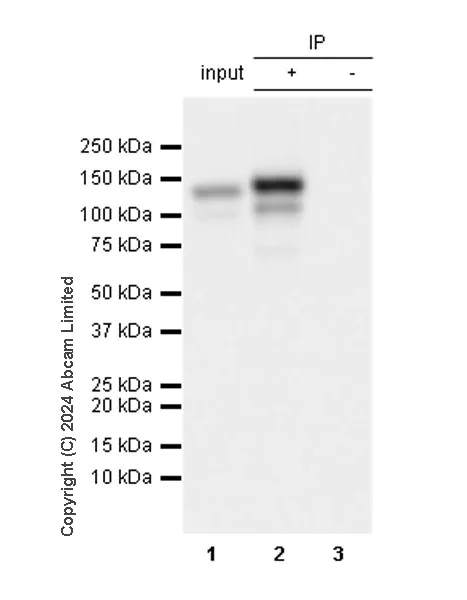
Immunoprecipitation - Anti-MCM2 antibody [EPR4120] (AB108935)
  • IP

Lab

Immunoprecipitation - Anti-MCM2 antibody [EPR4120] (AB108935)

MCM2 was immunoprecipitated from 0.35 mg NIH/3T3 (mouse embryonic fibroblast) whole cell lysate with ab108935 at 1/30 dilution (2ug in 0.35mg lysates). Western blot was performed on the immunoprecipitate using ab108935 at 1/1000 dilution.

Blocking and diluting buffer and concentration : 5% NFDM/TBST.

All lanes:

Immunoprecipitation - Anti-MCM2 antibody [EPR4120] (ab108935) at 1/30 dilution

Lane 1:

NIH/3T3 (mouse embryonic fibroblast) whole cell lysate (Input) at 10 µg

Lane 2:

NIH/3T3 (mouse embryonic fibroblast) whole cell lysate (+)

Secondary

All lanes:

Immunoprecipitation - VeriBlot for IP Detection Reagent (HRP) (<a href='/en-us/products/reagents/veriblot-for-ip-detection-reagent-hrp-ab131366'>ab131366</a>) at 1/5000 dilution

Observed band size: 130 kDa

false

Exposure time: 3s

Immunoprecipitation - Anti-MCM2 antibody [EPR4120] (AB108935)
  • IP

Lab

Immunoprecipitation - Anti-MCM2 antibody [EPR4120] (AB108935)

MCM2 was immunoprecipitated from 0.35 mg C6 (rat glial tumor glial cell) whole cell lysate with ab108935 at 1/30 dilution (2ug in 0.35mg lysates). Western blot was performed on the immunoprecipitate using ab108935 at 1/1000 dilution.

Blocking and diluting buffer and concentration : 5% NFDM/TBST.

All lanes:

Immunoprecipitation - Anti-MCM2 antibody [EPR4120] (ab108935) at 1/30 dilution

Lane 1:

C6 (rat glial tumor glial cell) whole cell lysate (Input) at 10 µg

Lane 2:

C6 (rat glial tumor glial cell) whole cell lysate (+)

Secondary

All lanes:

Immunoprecipitation - VeriBlot for IP Detection Reagent (HRP) (<a href='/en-us/products/reagents/veriblot-for-ip-detection-reagent-hrp-ab131366'>ab131366</a>) at 1/5000 dilution

Observed band size: 130 kDa

false

Exposure time: 3s

Western blot - Anti-MCM2 antibody [EPR4120] (AB108935)
  • WB

Lab

Western blot - Anti-MCM2 antibody [EPR4120] (AB108935)

Blocking buffer : 5% NFDM/TBST

Dilution buffer : 5% NFDM/TBST

All lanes:

Western blot - Anti-MCM2 antibody [EPR4120] (ab108935) at 1/8500 dilution

Lane 1:

HeLa cell lysate at 10 µg

Lane 2:

Mouse kidney tissue lysate at 10 µg

Secondary

All lanes:

HRP goat anti-rabbit (H+L) at 1/1000 dilution

Predicted band size: 102 kDa

Observed band size: 125 kDa

false

Western blot - Anti-MCM2 antibody [EPR4120] (AB108935)
  • WB

Lab

Western blot - Anti-MCM2 antibody [EPR4120] (AB108935)

Blocking buffer : 5% NFDM/TBST

Dilution buffer : 5% NFDM/TBST

All lanes:

Western blot - Anti-MCM2 antibody [EPR4120] (ab108935) at 1/5000 dilution

Lane 1:

HeLa cell lysate at 10 µg

Lane 2:

Mouse kidney tissue lysate at 10 µg

Secondary

All lanes:

HRP goat anti-rabbit (H+L) at 1/1000 dilution

Predicted band size: 102 kDa

Observed band size: 125 kDa

false

Western blot - Anti-MCM2 antibody [EPR4120] (AB108935)
  • WB

Unknown

Western blot - Anti-MCM2 antibody [EPR4120] (AB108935)

All lanes:

Western blot - Anti-MCM2 antibody [EPR4120] (ab108935) at 1/10000 dilution

Lane 1:

MCF-7 cell lysate at 10 µg

Lane 2:

Ramos cell lysate at 10 µg

Lane 3:

SW480 cell lysate at 10 µg

Lane 4:

Molt-4 cell lysate at 10 µg

Lane 5:

Jurkat cell lysate at 10 µg

Lane 6:

HeLa cell lysate at 10 µg

Predicted band size: 102 kDa

false

Immunocytochemistry/ Immunofluorescence - Anti-MCM2 antibody [EPR4120] (AB108935)
  • ICC/IF

Unknown

Immunocytochemistry/ Immunofluorescence - Anti-MCM2 antibody [EPR4120] (AB108935)

Unpurified ab108935 at a 1/100 dilution staining MCM2 in HeLa cells.

Immunocytochemistry/ Immunofluorescence - Anti-MCM2 antibody [EPR4120] (AB108935)
  • ICC/IF

Lab

Immunocytochemistry/ Immunofluorescence - Anti-MCM2 antibody [EPR4120] (AB108935)

Immunofluorescent staining of MCF7 cells (fixed with 4% PFA) with purified ab108935 at a dilution of 1/600. An Alexa Fluor® 555 goat anti-rabbit antibody was used as the secondary at a dilution of 1/200. The panel on the right shows the DAPI counter-staining.

Immunohistochemistry (Formalin/PFA-fixed paraffin-embedded sections) - Anti-MCM2 antibody [EPR4120] (AB108935)
  • IHC-P

Unknown

Immunohistochemistry (Formalin/PFA-fixed paraffin-embedded sections) - Anti-MCM2 antibody [EPR4120] (AB108935)

Immunohistochemical staining of MCM2 in paraffin-embedded human tonsil tissue with unpurified ab108395 at a 1/250 dilution.

Immunocytochemistry/ Immunofluorescence - Anti-MCM2 antibody [EPR4120] (AB108935)
  • ICC/IF

Lab

Immunocytochemistry/ Immunofluorescence - Anti-MCM2 antibody [EPR4120] (AB108935)

Immunocytochemistry/Immunofluorescence analysis of MCF7 (Human breast adenocarcinoma cell line) labeling MCM2 with purified ab108935 at 1/1000. Cells were fixed with 4% PFA and permeabilized with 0.1% triton X-100. ab150077 Goat anti rabbit IgG (Alexa Fluor® 488) at 1/1000 was used as the secondary antibody. Nuclei were counterstained with DAPI. PBS was used instead of the primary antibody as the negative control.

Immunohistochemistry (Formalin/PFA-fixed paraffin-embedded sections) - Anti-MCM2 antibody [EPR4120] (AB108935)
  • IHC-P

Lab

Immunohistochemistry (Formalin/PFA-fixed paraffin-embedded sections) - Anti-MCM2 antibody [EPR4120] (AB108935)

Immunohistochemical staining of paraffin embedded human tonsil with purified ab108935 at a working dilution of 1 in 200. The secondary antibody used is a HRP polymer for rabbit IgG. The sample is counter-stained with hematoxylin. Antigen retrieval was perfomed using Tris-EDTA buffer pH 9.0.

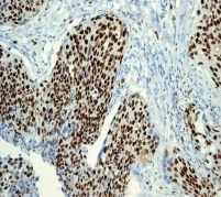
Immunohistochemistry (Formalin/PFA-fixed paraffin-embedded sections) - Anti-MCM2 antibody [EPR4120] (AB108935)
  • IHC-P

Lab

Immunohistochemistry (Formalin/PFA-fixed paraffin-embedded sections) - Anti-MCM2 antibody [EPR4120] (AB108935)

Immunohistochemical staining of paraffin embedded rat liver with purified ab108935 at a working dilution of 1 in 200. The secondary antibody used is a HRP polymer for rabbit IgG. The sample is counter-stained with hematoxylin. Antigen retrieval was perfomed using Tris-EDTA buffer pH 9.0.

Immunocytochemistry/ Immunofluorescence - Anti-MCM2 antibody [EPR4120] (AB108935)
  • ICC/IF

Lab

Immunocytochemistry/ Immunofluorescence - Anti-MCM2 antibody [EPR4120] (AB108935)

Immunofluorescent staining of MCF7 cells (fixed with 4% PFA) with unpurified ab108935 at a dilution of 1/250. An Alexa Fluor® 555 goat anti-rabbit antibody was used as the secondary at a dilution of 1/200. The panel on the right shows the DAPI counter-staining.

Flow Cytometry (Intracellular) - Anti-MCM2 antibody [EPR4120] (AB108935)
  • Flow Cyt (Intra)

Lab

Flow Cytometry (Intracellular) - Anti-MCM2 antibody [EPR4120] (AB108935)

Intracellular Flow Cytometry analysis of HeLa (human cervix adenocarcinoma) cells labeling MCM2 with unpurified ab108935 at 1/160 dilution (10ug/ml) (red). Cells were fixed with 4% paraformaldehyde and permeabilised with 90% methanol. A Goat anti rabbit IgG (Alexa Fluor® 488) (1/2000 dilution) was used as the secondary antibody. Rabbit monoclonal IgG (Black) was used as the isotype control, cells without incubation with primary antibody and secondary antibody (Blue) was used as the unlabeled control.

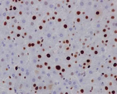
Immunohistochemistry (Formalin/PFA-fixed paraffin-embedded sections) - Anti-MCM2 antibody [EPR4120] (AB108935)
  • IHC-P

Unknown

Immunohistochemistry (Formalin/PFA-fixed paraffin-embedded sections) - Anti-MCM2 antibody [EPR4120] (AB108935)

Immunohistochemical staining of MCM2 in paraffin-embedded human squamous cell cervical carcinoma tissue with unpurified ab108395 at a 1/250 dilution.

Immunohistochemistry (Formalin/PFA-fixed paraffin-embedded sections) - Anti-MCM2 antibody [EPR4120] (AB108935)
  • IHC-P

Lab

Immunohistochemistry (Formalin/PFA-fixed paraffin-embedded sections) - Anti-MCM2 antibody [EPR4120] (AB108935)

Immunohistochemical staining of paraffin embedded rat liver with unpurified ab108935 at a working dilution of 1 in 100. The secondary antibody used is a HRP polymer for rabbit IgG. The sample is counter-stained with hematoxylin. Antigen retrieval was perfomed using Tris-EDTA buffer pH 9.0.

Western blot - Anti-MCM2 antibody [EPR4120] (AB108935)
  • WB

Lab

Western blot - Anti-MCM2 antibody [EPR4120] (AB108935)

Blocking buffer : 5% NFDM/TBST

Dilution buffer : 5% NFDM/TBST

All lanes:

Western blot - Anti-MCM2 antibody [EPR4120] (ab108935) at 1/8500 dilution

All lanes:

Jurkat cell lysate at 10 µg

Secondary

All lanes:

HRP goat anti-rabbit (H+L) at 1/1000 dilution

Predicted band size: 102 kDa

Observed band size: 125 kDa

false

OI-RD Scanning - Anti-MCM2 antibody [EPR4120] (AB108935)
  • OI-RD Scanning

Unknown

OI-RD Scanning - Anti-MCM2 antibody [EPR4120] (AB108935)

We have systematically measured KD (the equilibrium dissociation constant between the antibody and its antigen), of more than 840 recombinant antibodies to assess not only their individual KD values but also to see the average affinity of antibody. Based on the comparison with published literature values for mouse monoclonal antibodies, Recombinant antibodies appear to be on average 1-2 order of magnitude higher affinity.

Key facts

Host species

Rabbit

Clonality

Monoclonal

Clone number

EPR4120

Isotype

IgG

Carrier free

No

Reacts with

Mouse, Rat, Human

Applications

IHC-P, WB, ICC/IF, IP, Flow Cyt (Intra)

applications

Immunogen

The exact immunogen used to generate this antibody is proprietary information.

Reactivity data

{ "title": "Reactivity Data", "filters": { "stats": ["", "Species", "Dilution Info", "Notes"], "tabs": { "all-applications": {"fullname" : "All Applications", "shortname": "All Applications"}, "IP" : {"fullname" : "Immunoprecipitation", "shortname":"IP"}, "WB" : {"fullname" : "Western blot", "shortname":"WB"}, "ICCIF" : {"fullname" : "Immunocytochemistry/ Immunofluorescence", "shortname":"ICC/IF"}, "FlowCytIntra" : {"fullname" : "Flow Cytometry (Intracellular)", "shortname":"Flow Cyt (Intra)"}, "IHCP" : {"fullname" : "Immunohistochemistry (Formalin/PFA-fixed paraffin-embedded sections)", "shortname":"IHC-P"} }, "product-promise": { "all": "all", "testedAndGuaranteed": "tested", "guaranteed": "expected", "predicted": "predicted", "notRecommended": "not-recommended" } }, "values": { "Human": { "IP-species-checked": "guaranteed", "IP-species-dilution-info": "", "IP-species-notes": "", "WB-species-checked": "testedAndGuaranteed", "WB-species-dilution-info": "1/1000 - 1/10000", "WB-species-notes": "<p><strong>For unpurified, use 1/1000 - 1/5000.</strong></p>", "ICCIF-species-checked": "testedAndGuaranteed", "ICCIF-species-dilution-info": "1/1000", "ICCIF-species-notes": "<p><strong>For unpurified, use 1/250</strong>.</p>", "FlowCytIntra-species-checked": "testedAndGuaranteed", "FlowCytIntra-species-dilution-info": "", "FlowCytIntra-species-notes": "<p></p>", "IHCP-species-checked": "testedAndGuaranteed", "IHCP-species-dilution-info": "1/200", "IHCP-species-notes": "<p><strong>For unpurified, use 1/100.</strong></p>" }, "Mouse": { "IP-species-checked": "testedAndGuaranteed", "IP-species-dilution-info": "", "IP-species-notes": "<p></p>", "WB-species-checked": "testedAndGuaranteed", "WB-species-dilution-info": "1/1000 - 1/10000", "WB-species-notes": "<p><strong>For unpurified, use 1/1000 - 1/5000.</strong></p>", "ICCIF-species-checked": "guaranteed", "ICCIF-species-dilution-info": "", "ICCIF-species-notes": "", "FlowCytIntra-species-checked": "guaranteed", "FlowCytIntra-species-dilution-info": "", "FlowCytIntra-species-notes": "", "IHCP-species-checked": "guaranteed", "IHCP-species-dilution-info": "", "IHCP-species-notes": "" }, "Rat": { "IP-species-checked": "testedAndGuaranteed", "IP-species-dilution-info": "", "IP-species-notes": "<p></p>", "WB-species-checked": "guaranteed", "WB-species-dilution-info": "", "WB-species-notes": "", "ICCIF-species-checked": "guaranteed", "ICCIF-species-dilution-info": "", "ICCIF-species-notes": "", "FlowCytIntra-species-checked": "guaranteed", "FlowCytIntra-species-dilution-info": "", "FlowCytIntra-species-notes": "", "IHCP-species-checked": "testedAndGuaranteed", "IHCP-species-dilution-info": "1/200", "IHCP-species-notes": "<p><strong>For unpurified, use 1/100.</strong></p>" } } }

Product details

What is this antibody validated in?
Anti-MCM2 antibody [EPR4120] (ab108935) is a rabbit recombinant monoclonal antibody and is validated for use in Western Blot (WB), Flow Cytometry (Intra), Flow Cytometry (Flow Cyt), Immunoprecipitation (IP), Immunohistochemistry (IHC-P), Immunocytochemistry/immunofluorescence (ICC/IF) in Human, Mouse, Rat samples.

What is the molecular weight of MCM2?
Anti-MCM2 [EPR4120] (ab108935) specifically detects a band for MCM2 (UniProt: P49736) at a molecular weight of 102kDa.

Trusted by the scientific community
Anti-MCM2 [EPR4120] (ab108935) was first used in a scientific publication in 2011 and has been cited over 20 times in peer-reviewed journals.

Trial sizes available!
Test your antibody or perform pre-screening before committing to a larger quantity. Sold in 10µl. Discover our selection of trial-size antibodies.

Other related products
We have a range of other formats of antibody clone [EPR4120] also available for your convenience: ab108935, Alexa Fluor® 488 - ab223402, Alexa Fluor® 647 - ab223403, Carrier free - ab226044, PE - ab303154, APC - ab303155, HRP - ab303156, Alkaline Phosphatase - ab308707, Alexa Fluor® 594 - ab310426, Alexa Fluor® 555 - ab311952, Alexa Fluor® 568 - ab312425, Alexa Fluor® 750 - ab320919

Patented technology
Our RabMAb® technology is a patented hybridoma-based technology for making rabbit monoclonal antibodies. For details on our patents, please refer to RabMAb® patents.

What are the advantages of a recombinant monoclonal antibody?
This product is a recombinant monoclonal antibody, which offers several advantages including:

  • - High batch-to-batch consistency and reproducibility
  • - Improved sensitivity and specificity
  • - Long-term security of supply
  • - Animal-free batch production

For more information, read more on recombinant antibodies.

Properties and storage information

Form
Liquid
Purification technique
Affinity purification Protein A
Storage buffer
pH: 7.2 - 7.4 Preservative: 0.01% Sodium azide Constituents: 59% PBS, 40% Glycerol (glycerin, glycerine), 0.05% BSA
Shipped at conditions
Blue Ice
Appropriate short-term storage duration
1-2 weeks
Appropriate short-term storage conditions
+4°C
Appropriate long-term storage conditions
-20°C
Aliquoting information
Upon delivery aliquot
Storage information
Stable for 12 months at -20°C

Supplementary information

This supplementary information is collated from multiple sources and compiled automatically.

MCM2 or Minichromosome Maintenance Complex Component 2 is a protein involved in the initiation of DNA replication. It plays a central role in the formation of the pre-replication complex which is necessary for DNA unwinding and replication fork progression. The molecular weight of MCM2 is approximately 100 kDa. It is expressed ubiquitously in proliferating cells as its function is necessary for DNA replication. Researchers often use terms like MCM-2 MC M2 or PMC M2 when discussing varying aspects of its function and interaction with other proteins in scientific literature.
Biological function summary

MCM2 is part of the heterohexameric MCM complex including other proteins like MCM3 to MCM7. This complex serves as a helicase unwinding DNA to allow replication machinery access to the template strand. The activity of the MCM complex is tightly regulated to ensure that every section of genomic DNA is replicated once per cell cycle. Its proper function ensures genetic information replication accuracy and contributes to genome stability.

Pathways

MCM2 participates in essential biological processes such as the DNA replication pathway and the cell cycle regulatory pathway. The presence of MCM2 is critical for the G1/S transition phase of the cell cycle. It interacts with other proteins including CDC45 and GINS forming the active CMG helicase complex. This complex is pivotal in orchestrating the replication machinery and signaling pathway responses to ensure appropriate replication origin firing and accurate DNA synthesis.

MCM2 is often associated with cancer and some types of genomic instability disorders. Its overexpression can lead to uncontrolled cell proliferation a hallmark of cancer. MCM2 expression levels can be a marker in distinguishing certain tumors acting as a potential therapeutic target. The protein's interaction with components like cyclin-dependent kinases (CDKs) can influence pathways leading to malignant transformation and suggests its involvement in tumorigenesis and potential as a target for anticuerpos or antibodies in disease treatment.

Product protocols

For this product, it's our understanding that no specific protocols are required. You can visit:

Target data

Acts as a component of the MCM2-7 complex (MCM complex) which is the replicative helicase essential for 'once per cell cycle' DNA replication initiation and elongation in eukaryotic cells. Core component of CDC45-MCM-GINS (CMG) helicase, the molecular machine that unwinds template DNA during replication, and around which the replisome is built (PubMed : 32453425, PubMed : 34694004, PubMed : 34700328, PubMed : 35585232). The active ATPase sites in the MCM2-7 ring are formed through the interaction surfaces of two neighboring subunits such that a critical structure of a conserved arginine finger motif is provided in trans relative to the ATP-binding site of the Walker A box of the adjacent subunit. The six ATPase active sites, however, are likely to contribute differentially to the complex helicase activity (PubMed : 32453425). Required for the entry in S phase and for cell division (PubMed : 8175912). Plays a role in terminally differentiated hair cells development of the cochlea and induces cells apoptosis (PubMed : 26196677).
See full target information MCM2

Publications (23)

Recent publications for all applications. Explore the full list and refine your search

BMC pulmonary medicine 23:507 PubMed38093266

2023

Knockdown of MRPL35 promotes cell apoptosis and inhibits cell proliferation in non-small-cell lung cancer.

Applications

Unspecified application

Species

Unspecified reactive species

Chengling Zhao,Lei Chen,Zhixin Jin,Haitao Liu,Chao Ma,Hangtian Zhou,Lingling Xu,Sihui Zhou,Yan Shi,Wei Li,Yuqing Chen,Chengli Dou,Xiaojing Wang

Stem cells international 2023:2826815 PubMed37964983

2023

A Novel Molecular Classification Method for Glioblastoma Based on Tumor Cell Differentiation Trajectories.

Applications

Unspecified application

Species

Unspecified reactive species

Guanghao Zhang,Xiaolong Xu,Luojiang Zhu,Sisi Li,Rundong Chen,Nan Lv,Zifu Li,Jing Wang,Qiang Li,Wang Zhou,Pengfei Yang,Jianmin Liu

Journal of gynecologic oncology 34:e2 PubMed36245223

2022

Evaluation of CD4 cells infiltration as a prognostic factor in cervical intraepithelial neoplasia 2.

Applications

Unspecified application

Species

Unspecified reactive species

Guanliang Chen,Takashi Iwata,Masaki Sugawara,Hiroshi Nishio,Yuki Katoh,Iwao Kukimoto,Daisuke Aoki

Frontiers in oncology 12:1000925 PubMed36248994

2022

A functional role for Serum Amyloid A in the molecular regulation of autophagy in breast cancer.

Applications

Unspecified application

Species

Unspecified reactive species

Manisha du Plessis,Tanja Andrea Davis,Daniel Wilhelm Olivier,Willem Johan Simon de Villiers,Anna-Mart Engelbrecht

Disease markers 2022:6967573 PubMed36193504

2022

miR-602 Activates NRF2 Antioxidant Pathways to Protect HBMECs from OGD/R-Induced Oxidative Stress via Targeting KEAP1 and HRD1.

Applications

Unspecified application

Species

Unspecified reactive species

Chunli Ma,Lei Yang,Qiang Gao,Lihua Wang

eLife 11: PubMed36082941

2022

Arbidol inhibits human esophageal squamous cell carcinoma growth in vitro and in vivo through suppressing ataxia telangiectasia and Rad3-related protein kinase.

Applications

Unspecified application

Species

Unspecified reactive species

Ning Yang,Xuebo Lu,Yanan Jiang,Lili Zhao,Donghao Wang,Yaxing Wei,Yin Yu,Myoung Ok Kim,Kyle Vaughn Laster,Xin Li,Baoyin Yuan,Zigang Dong,Kangdong Liu

PloS one 17:e0270880 PubMed35857794

2022

ATF4 promotes brain vascular smooth muscle cells proliferation, invasion and migration by targeting miR-552-SKI axis.

Applications

Unspecified application

Species

Unspecified reactive species

Meina Feng,Qin Zhou,Wenxian Tu,Yunfeng Wang,Yuanmin Du,Kang Xu

Journal of oncology 2022:8326940 PubMed35874635

2022

MACC1 Promotes the Progression and Is a Novel Biomarker for Predicting Immunotherapy Response in Colorectal Cancer.

Applications

Unspecified application

Species

Unspecified reactive species

Man Xiong,Mingsen Wang,Youhong Yan,Xiaowu Chen,Wanwei Guo,Ming Xu,Shaoyan Guo,Yeyang Wang

Frontiers in bioscience (Landmark edition) 27:25 PubMed35090330

2022

Effect of gigantol on the proliferation of hepatocellular carcinoma cells tested by a network-based pharmacological approach and experiments.

Applications

Unspecified application

Species

Unspecified reactive species

Shujie Li,Hualing Li,Dandan Yin,Xiaojing Xue,Xiaoling Chen,Xiaoyue Li,Junwei Li,Yongxiang Yi

Biochimica et biophysica acta. Molecular basis of disease 1867:166237 PubMed34339838

2021

San1 deficiency leads to cardiomyopathy due to excessive R-loop-associated DNA damage and cardiomyocyte hypoplasia.

Applications

Unspecified application

Species

Unspecified reactive species

Zhiheng Liu,Xu Gao,Zhou Zhou,Sung Wook Kang,Yong Yang,Hao Liu,Chunqin Zhang,Zheng Wen,Xiaoquan Rao,Daowen Wang,Donnell White,Qinglin Yang,Qinqiang Long
View all publications

Product promise

We are committed to supporting your work with high-quality reagents, and we're here for you every step of the way. In the unlikely event that one of our products does not perform as expected, you're protected by our Product Promise.
For full details, please see our Terms & Conditions

Associated Products

Select an associated product type
Alternative Product
Primary Antibodies

AB6153

Anti-MCM2 antibody [CRCT2.1 (D1.9H5)]

primary-antibodies

mcm2-antibody-crct21-d19h5-ab6153

5

(7 reviews)

Alternative Product
Primary Antibodies

AB4461

Anti-MCM2 antibody

primary-antibodies

mcm2-antibody-ab4461

5

(18 reviews)

Alternative Product
Primary Antibodies

AB3723

Anti-MCM2 antibody

primary-antibodies

mcm2-antibody-ab3723

5

(1 reviews)

Alternative Product
Primary Antibodies

AB264114

Anti-MCM2 (phospho S108) antibody

primary-antibodies

mcm2-phospho-s108-antibody-ab264114

0

(0 reviews)

Alternative Product
Primary Antibodies

AB70367

Anti-MCM2 (phospho S53) antibody

primary-antibodies

mcm2-phospho-s53-antibody-ab70367

0

(0 reviews)

Alternative Product
Primary Antibodies

AB95361

Anti-MCM2 antibody [SP85]

primary-antibodies

mcm2-antibody-sp85-ab95361

0

(0 reviews)

Alternative Product
Primary Antibodies

AB133325

Anti-MCM2 antibody [EPR3727]

primary-antibodies

mcm2-antibody-epr3727-ab133325

0

(0 reviews)

Alternative Product
Primary Antibodies

AB133243

Anti-MCM2 (phospho S40) antibody [EPR4170(2)]

primary-antibodies

mcm2-phospho-s40-antibody-epr41702-ab133243

5

(2 reviews)

Alternative Product
Primary Antibodies

AB109270

Anti-MCM2 (phospho S41) antibody [EPR4171]

primary-antibodies

mcm2-phospho-s41-antibody-epr4171-ab109270

0

(0 reviews)

Alternative Product
Primary Antibodies

AB170873

Anti-MCM2 (phospho S139) antibody [EPR10819]

primary-antibodies

mcm2-phospho-s139-antibody-epr10819-ab170873

0

(0 reviews)

Alternative Product
Primary Antibodies

AB109133

Anti-MCM2 (phospho S53) antibody [EP4120]

primary-antibodies

mcm2-phospho-s53-antibody-ep4120-ab109133

5

(4 reviews)

Alternative Product
Primary Antibodies

AB240933

Anti-MCM2 antibody [SP85] - BSA and Azide free

primary-antibodies

mcm2-antibody-sp85-bsa-and-azide-free-ab240933

0

(0 reviews)

Alternative Product
Primary Antibodies

AB240052

Anti-MCM2 (phospho S40) antibody [EPR4170(2)] - BSA and Azide free

primary-antibodies

mcm2-phospho-s40-antibody-epr41702-bsa-and-azide-free-ab240052

0

(0 reviews)

Alternative Product
Primary Antibodies

AB70371

Anti-MCM2 (phospho S40 + S41) antibody

primary-antibodies

mcm2-phospho-s40-s41-antibody-ab70371

0

(0 reviews)

Alternative Product
Primary Antibodies

AB109271

Anti-MCM2 (phospho S108) antibody [EPR4121]

primary-antibodies

mcm2-phospho-s108-antibody-epr4121-ab109271

0

(0 reviews)

Please note: All products are 'FOR RESEARCH USE ONLY. NOT FOR USE IN DIAGNOSTIC OR THERAPEUTIC PROCEDURES'.

For licensing inquiries, please contact partnerships@abcam.com