JavaScript is disabled in your browser. Please enable JavaScript to view this website.
AB317753

Anti-MCM2 antibody [RM1146] - BSA and Azide free

Be the first to review this product! Submit a review

|

(0 Publication)

Rabbit Recombinant Multiclonal MCM2 antibody. Carrier free. Suitable for Flow Cyt (Intra), ICC/IF, IHC-P, WB and reacts with Human, Mouse, Rat samples.

View Alternative Names

BM28, CCNL1, CDCL1, KIAA0030, MCM2, DNA replication licensing factor MCM2, Minichromosome maintenance protein 2 homolog, Nuclear protein BM28

13 Images
Immunohistochemistry (Formalin/PFA-fixed paraffin-embedded sections) - Anti-MCM2 antibody [RM1146] - BSA and Azide free (AB317753)
  • IHC-P

Supplier Data

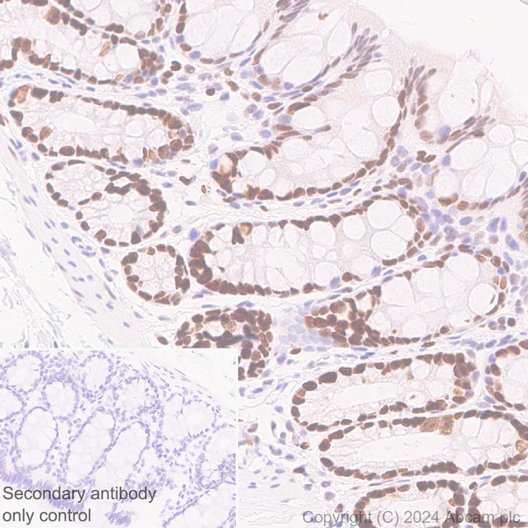
Immunohistochemistry (Formalin/PFA-fixed paraffin-embedded sections) - Anti-MCM2 antibody [RM1146] - BSA and Azide free (AB317753)

This data was developed using ab317752, the same antibody clone in a different buffer formulation.

Immunohistochemical analysis of paraffin-embedded Human colon carcinoma tissue labeling MCM2 with ab317752 at 1/4000 (0.127 ug/ml) dilution, followed by a ready to use LeicaDS9800 (Bond™ Polymer Refine Detection).

Positive staining on human colon carcinoma. The section was incubated with ab317752 for 30 mins at room temperature.
The immunostaining was performed on a Leica Biosystems BOND® RX instrument

Counterstained with Hematoxylin.

Secondary antibody only control : Secondary antibody is a ready to use LeicaDS9800 (Bond™ Polymer Refine Detection).

Heat mediated antigen retrieval was performed with Tris-EDTA buffer (pH 9.0, Epitope Retrieval Solution2) for 20 mins

Flow Cytometry (Intracellular) - Anti-MCM2 antibody [RM1146] - BSA and Azide free (AB317753)
  • Flow Cyt (Intra)

Supplier Data

Flow Cytometry (Intracellular) - Anti-MCM2 antibody [RM1146] - BSA and Azide free (AB317753)

This data was developed using ab317752, the same antibody clone in a different buffer formulation.

Flow cytometric analysis of 4% paraformaldehyde fixed 90% methanol permeabilized HeLa (human cervical adenocarcinoma epithelial cell) cells labelling MCM2 with ab317752 at 1/500 dilution (0.1 ug)/Red (Red) compared with a Rabbit monoclonal IgG (ab172730) (Black) isotype control and an unlabelled control (cells without incubation with primary antibody and secondary antibody) (Blue).

Goat Anti-Rabbit IgG (Alexa Fluor® 488, ab150081) at 1/5000 dilution was used as the secondary antibody.

Immunohistochemistry (Formalin/PFA-fixed paraffin-embedded sections) - Anti-MCM2 antibody [RM1146] - BSA and Azide free (AB317753)
  • IHC-P

Supplier Data

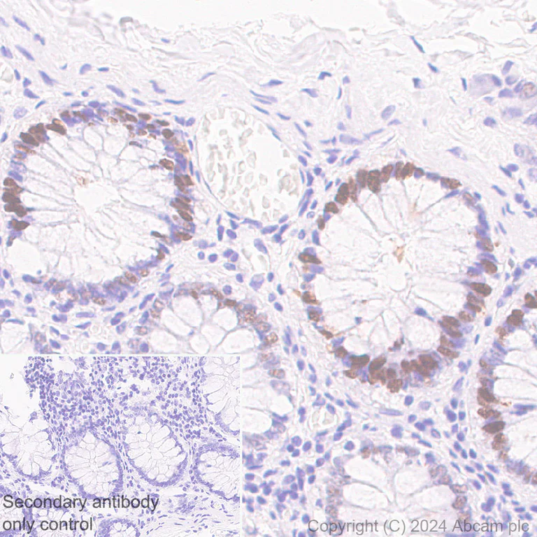
Immunohistochemistry (Formalin/PFA-fixed paraffin-embedded sections) - Anti-MCM2 antibody [RM1146] - BSA and Azide free (AB317753)

This data was developed using ab317752, the same antibody clone in a different buffer formulation.

Immunohistochemical analysis of paraffin-embedded Human colon tissue labeling MCM2 with ab317752 at 1/4000 (0.127 ug/ml) dilution, followed by a ready to use LeicaDS9800 (Bond™ Polymer Refine Detection).

Positive staining on human colon. The section was incubated with ab317752 for 30 mins at room temperature.
The immunostaining was performed on a Leica Biosystems BOND® RX instrument

Counterstained with Hematoxylin.

Secondary antibody only control : Secondary antibody is a ready to use LeicaDS9800 (Bond™ Polymer Refine Detection).

Heat mediated antigen retrieval was performed with Tris-EDTA buffer (pH 9.0, Epitope Retrieval Solution2) for 20 mins

Immunocytochemistry/ Immunofluorescence - Anti-MCM2 antibody [RM1146] - BSA and Azide free (AB317753)
  • ICC/IF

Supplier Data

Immunocytochemistry/ Immunofluorescence - Anti-MCM2 antibody [RM1146] - BSA and Azide free (AB317753)

This data was developed using ab317752, the same antibody clone in a different buffer formulation.

Immunofluorescent analysis of 4% Paraformaldehyde-fixed, 0.1% TritonX-100 permeabilized HeLa (human cervical adenocarcinoma epithelial cell) cells labelling MCM2 with ab317752 at 1/1000 (0.509 ug/ml) dilution, followed by ab150081 Goat Anti-Rabbit IgG H&L (Alexa Fluor® 488) preadsorbed antibody at 1/1000 2 ug/ml dilution (Green).

Confocal image showing nuclear staining in HeLa cell line (shown in green). The counterstain was observed in magenta. Nuclear DNA was labeled with DAPI (shown in blue).
Image was taken with a confocal microscope(Leica-Microsystems, TCS SP8).

ab195889 Anti-alpha Tubulin mouse monoclonal antibody - Microtubule Marker (Alexa Fluor® 594) was used to counterstain tubulin at 1/200 2.5ug/ml dilution (Magenta). The Nuclear counterstain was DAPI (Blue).

Secondary antibody only control : Secondary antibody is ab150081 Goat Anti-Rabbit IgG H&L (Alexa Fluor® 488) preadsorbed at 1/1000 2 ug/ml dilution.

Immunohistochemistry (Formalin/PFA-fixed paraffin-embedded sections) - Anti-MCM2 antibody [RM1146] - BSA and Azide free (AB317753)
  • IHC-P

Supplier Data

Immunohistochemistry (Formalin/PFA-fixed paraffin-embedded sections) - Anti-MCM2 antibody [RM1146] - BSA and Azide free (AB317753)

This data was developed using ab317752, the same antibody clone in a different buffer formulation.

Immunohistochemical analysis of paraffin-embedded Rat colon tissue labeling MCM2 with ab317752 at 1/4000 (0.127 ug/ml) dilution, followed by a ready to use LeicaDS9800 (Bond™ Polymer Refine Detection).

Positive staining on rat colon. The section was incubated with ab317752 for 30 mins at room temperature.
The immunostaining was performed on a Leica Biosystems BOND® RX instrument

Counterstained with Hematoxylin.

Secondary antibody only control : Secondary antibody is a ready to use LeicaDS9800 (Bond™ Polymer Refine Detection).

Heat mediated antigen retrieval was performed with Tris-EDTA buffer (pH 9.0, Epitope Retrieval Solution2) for 20 mins

Flow Cytometry (Intracellular) - Anti-MCM2 antibody [RM1146] - BSA and Azide free (AB317753)
  • Flow Cyt (Intra)

Supplier Data

Flow Cytometry (Intracellular) - Anti-MCM2 antibody [RM1146] - BSA and Azide free (AB317753)

This data was developed using ab317752, the same antibody clone in a different buffer formulation.

Flow cytometric analysis of 4% paraformaldehyde fixed 90% methanol permeabilized NIH/3T3 (mouse embryonic fibroblast) cells labelling MCM2 with ab317752 at 1/500 dilution (0.1 ug)/Red (Red) compared with a Rabbit monoclonal IgG (ab172730) (Black) isotype control and an unlabelled control (cells without incubation with primary antibody and secondary antibody) (Blue).

Goat Anti-Rabbit IgG (Alexa Fluor® 488, ab150081) at 1/5000 dilution was used as the secondary antibody.

Immunocytochemistry/ Immunofluorescence - Anti-MCM2 antibody [RM1146] - BSA and Azide free (AB317753)
  • ICC/IF

Supplier Data

Immunocytochemistry/ Immunofluorescence - Anti-MCM2 antibody [RM1146] - BSA and Azide free (AB317753)

This data was developed using ab317752, the same antibody clone in a different buffer formulation.

Immunofluorescent analysis of 4% Paraformaldehyde-fixed, 0.1% TritonX-100 permeabilized C6 (rat glial tumor glial cell) cells labelling MCM2 with ab317752 at 1/1000 (0.509 ug/ml) dilution, followed by ab150081 Goat Anti-Rabbit IgG H&L (Alexa Fluor® 488) preadsorbed antibody at 1/1000 2 ug/ml dilution (Green).

Confocal image showing nuclear staining in C6 cell line (shown in green). The counterstain was observed in magenta. Nuclear DNA was labeled with DAPI (shown in blue).
Image was taken with a confocal microscope(Leica-Microsystems, TCS SP8).

ab195889 Anti-alpha Tubulin mouse monoclonal antibody - Microtubule Marker (Alexa Fluor® 594) was used to counterstain tubulin at 1/200 2.5ug/ml dilution (Magenta). The Nuclear counterstain was DAPI (Blue).

Secondary antibody only control : Secondary antibody is ab150081 Goat Anti-Rabbit IgG H&L (Alexa Fluor® 488) preadsorbed at 1/1000 2 ug/ml dilution.

Flow Cytometry (Intracellular) - Anti-MCM2 antibody [RM1146] - BSA and Azide free (AB317753)
  • Flow Cyt (Intra)

Supplier Data

Flow Cytometry (Intracellular) - Anti-MCM2 antibody [RM1146] - BSA and Azide free (AB317753)

This data was developed using ab317752, the same antibody clone in a different buffer formulation.

Flow cytometric analysis of 4% paraformaldehyde fixed 90% methanol permeabilized C6 (rat glial tumor glial cell) cells labelling MCM2 with ab317752 at 1/500 dilution (0.1 ug)/Red (Red) compared with a Rabbit monoclonal IgG (ab172730) (Black) isotype control and an unlabelled control (cells without incubation with primary antibody and secondary antibody) (Blue).

Goat Anti-Rabbit IgG (Alexa Fluor® 488, ab150081) at 1/5000 dilution was used as the secondary antibody.

Immunocytochemistry/ Immunofluorescence - Anti-MCM2 antibody [RM1146] - BSA and Azide free (AB317753)
  • ICC/IF

Supplier Data

Immunocytochemistry/ Immunofluorescence - Anti-MCM2 antibody [RM1146] - BSA and Azide free (AB317753)

This data was developed using ab317752, the same antibody clone in a different buffer formulation.

Immunofluorescent analysis of 4% Paraformaldehyde-fixed, 0.1% TritonX-100 permeabilized NIH/3T3 (mouse embryonic fibroblast) cells labelling MCM2 with ab317752 at 1/1000 (0.509 ug/ml) dilution, followed by ab150081 Goat Anti-Rabbit IgG H&L (Alexa Fluor® 488) preadsorbed antibody at 1/1000 2 ug/ml dilution (Green).

Confocal image showing nuclear staining in NIH/3T3 cell line (shown in green). The counterstain was observed in magenta. Nuclear DNA was labeled with DAPI (shown in blue).
Image was taken with a confocal microscope(Leica-Microsystems, TCS SP8).

ab195889 Anti-alpha Tubulin mouse monoclonal antibody - Microtubule Marker (Alexa Fluor® 594) was used to counterstain tubulin at 1/200 2.5ug/ml dilution (Magenta). The Nuclear counterstain was DAPI (Blue).

Secondary antibody only control : Secondary antibody is ab150081 Goat Anti-Rabbit IgG H&L (Alexa Fluor® 488) preadsorbed at 1/1000 2 ug/ml dilution.

Immunohistochemistry (Formalin/PFA-fixed paraffin-embedded sections) - Anti-MCM2 antibody [RM1146] - BSA and Azide free (AB317753)
  • IHC-P

Supplier Data

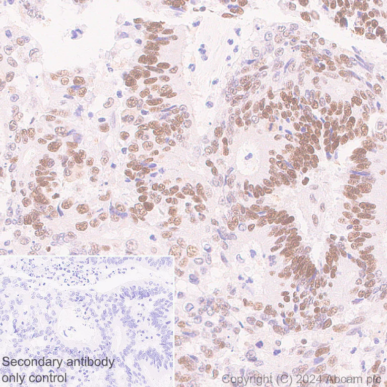
Immunohistochemistry (Formalin/PFA-fixed paraffin-embedded sections) - Anti-MCM2 antibody [RM1146] - BSA and Azide free (AB317753)

This data was developed using ab317752, the same antibody clone in a different buffer formulation.

Immunohistochemical analysis of paraffin-embedded Mouse colon tissue labeling MCM2 with ab317752 at 1/4000 (0.127 ug/ml) dilution, followed by a ready to use LeicaDS9800 (Bond™ Polymer Refine Detection).

Positive staining on mouse colon. The section was incubated with ab317752 for 30 mins at room temperature.
The immunostaining was performed on a Leica Biosystems BOND® RX instrument

Counterstained with Hematoxylin.

Secondary antibody only control : Secondary antibody is a ready to use LeicaDS9800 (Bond™ Polymer Refine Detection).

Heat mediated antigen retrieval was performed with Tris-EDTA buffer (pH 9.0, Epitope Retrieval Solution2) for 20 mins

Western blot - Anti-MCM2 antibody [RM1146] - BSA and Azide free (AB317753)
  • WB

Supplier Data

Western blot - Anti-MCM2 antibody [RM1146] - BSA and Azide free (AB317753)

This data was developed using ab317752, the same antibody clone in a different buffer formulation.

The lysates were freshly made and used for Western Blotting immediately to minimize protein degradation.

All lanes:

Western blot - Anti-MCM2 antibody [RM1146] (<a href='/en-us/products/primary-antibodies/mcm2-antibody-rm1146-ab317752'>ab317752</a>) at 1/1000 dilution

Lane 1:

HeLa (human cervical adenocarcinoma epithelial cell) whole cell lysate at 20 µg with NFDM/TBST

Lane 2:

293T (human embryonic kidney epithelial cell) whole cell lysate at 20 µg with NFDM/TBST

Lane 3:

NIH/3T3 (mouse embryonic fibroblast) whole cell lysate at 20 µg with NFDM/TBST

Lane 4:

PC-12 (rat adrenal gland pheochromocytoma cell) whole cell lysate at 20 µg with NFDM/TBST

Secondary

All lanes:

Western blot - Goat Anti-Rabbit IgG H&L (HRP) (<a href='/en-us/products/secondary-antibodies/goat-rabbit-igg-h-l-hrp-ab97051'>ab97051</a>) at 1/100000 dilution

Observed band size: 130 kDa

false

Exposure time: 10s

Western blot - Anti-MCM2 antibody [RM1146] - BSA and Azide free (AB317753)
  • WB

Supplier Data

Western blot - Anti-MCM2 antibody [RM1146] - BSA and Azide free (AB317753)

This data was developed using ab317752, the same antibody clone in a different buffer formulation.

The lysates were freshly made and used for Western Blotting immediately to minimize protein degradation.

The expression profile/ molecular weight observed is consistent with what has been described in the literature (PMID : 15210935 and PMID : 22123827).

All lanes:

Western blot - Anti-MCM2 antibody [RM1146] (<a href='/en-us/products/primary-antibodies/mcm2-antibody-rm1146-ab317752'>ab317752</a>) at 1/1000 dilution

Lane 1:

C6 (rat glial tumor glial cell) whole cell lysate at 20 µg with NFDM/TBST

Lane 2:

Neuro-2a (mouse neuroblastoma neuroblast) whole cell lysate at 20 µg with NFDM/TBST

Lane 3:

U-87 MG (human glioblastoma-astrocytoma epithelial cell) whole cell lysate at 20 µg with NFDM/TBST

Lane 4:

SH-SY5Y (human neuroblastoma epithelial cell) whole cell lysate at 20 µg with NFDM/TBST

Secondary

All lanes:

Western blot - Goat Anti-Rabbit IgG H&L (HRP) (<a href='/en-us/products/secondary-antibodies/goat-rabbit-igg-h-l-hrp-ab97051'>ab97051</a>) at 1/100000 dilution

Observed band size: 130 kDa

false

Exposure time: 10s

Western blot - Anti-MCM2 antibody [RM1146] - BSA and Azide free (AB317753)
  • WB

Supplier Data

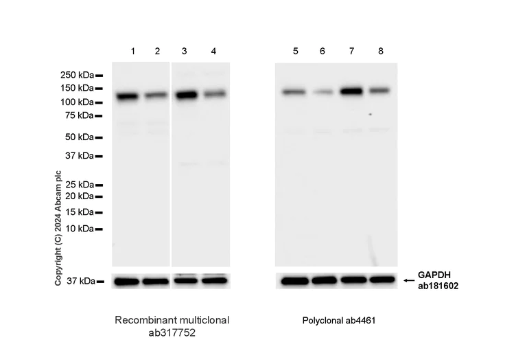
Western blot - Anti-MCM2 antibody [RM1146] - BSA and Azide free (AB317753)

This data was developed using ab317752, the same antibody clone in a different buffer formulation.

The lysates were freshly made and used for Western Blotting immediately to minimize protein degradation.

Anti-MCM2 antibody (ab317752) staining at 1/1000 dilution showed similar expression profile/ molecular weight with Anti-MCM2 antibody (ab4461) at 1/1000 dilution.

In Western blot, Anti-GAPDH antibody [EPR16891] - Loading Control (ab181602) staining at 1/200000 dilution.

Exposure time : Lane 1-2 : 6 seconds Lane 3-8 : 10 seconds

All lanes:

Western blot - Anti-MCM2 antibody [RM1146] (<a href='/en-us/products/primary-antibodies/mcm2-antibody-rm1146-ab317752'>ab317752</a>) at 1/1000 dilution

Lanes 1 and 5:

NIH/3T3 (mouse embryonic fibroblast) transfected with scrambled siRNA control, whole cell lysate at 20 µg with NFDM/TBST

Lanes 2 and 6:

NIH/3T3 transfected with siRNA specifically targeti MCM2, whole cell lysate at 20 µg with NFDM/TBST

Lanes 3 and 7:

293T (human embryonic kidney epithelial cell) transfected with scrambled siRNA control, whole cell lysate at 20 µg with NFDM/TBST

Lanes 4 and 8:

293T transfected with siRNA specifically targeti MCM2, whole cell lysate at 20 µg with NFDM/TBST

Secondary

All lanes:

Western blot - Goat Anti-Rabbit IgG H&L (HRP) (<a href='/en-us/products/secondary-antibodies/goat-rabbit-igg-h-l-hrp-ab97051'>ab97051</a>) at 1/100000 dilution

Observed band size: 130 kDa,36 kDa

false

Key facts

Host species

Rabbit

Clonality

Multiclonal

Clone number

RM1146

Isotype

IgG

Carrier free

Yes

Reacts with

Human, Mouse, Rat

Applications

Flow Cyt (Intra), ICC/IF, IHC-P, WB

applications

Immunogen

The exact immunogen used to generate this antibody is proprietary information.

Reactivity data

{ "title": "Reactivity Data", "filters": { "stats": ["", "Species", "Dilution Info", "Notes"], "tabs": { "all-applications": {"fullname" : "All Applications", "shortname": "All Applications"}, "FlowCytIntra" : {"fullname" : "Flow Cytometry (Intracellular)", "shortname":"Flow Cyt (Intra)"}, "ICCIF" : {"fullname" : "Immunocytochemistry/ Immunofluorescence", "shortname":"ICC/IF"}, "IHCP" : {"fullname" : "Immunohistochemistry (Formalin/PFA-fixed paraffin-embedded sections)", "shortname":"IHC-P"}, "WB" : {"fullname" : "Western blot", "shortname":"WB"} }, "product-promise": { "all": "all", "testedAndGuaranteed": "tested", "guaranteed": "expected", "predicted": "predicted", "notRecommended": "not-recommended" } }, "values": { "Human": { "FlowCytIntra-species-checked": "testedAndGuaranteed", "FlowCytIntra-species-dilution-info": "", "FlowCytIntra-species-notes": "<p></p>", "ICCIF-species-checked": "testedAndGuaranteed", "ICCIF-species-dilution-info": "", "ICCIF-species-notes": "<p></p>", "IHCP-species-checked": "testedAndGuaranteed", "IHCP-species-dilution-info": "", "IHCP-species-notes": "<p></p>", "WB-species-checked": "testedAndGuaranteed", "WB-species-dilution-info": "", "WB-species-notes": "<p></p>" }, "Mouse": { "FlowCytIntra-species-checked": "testedAndGuaranteed", "FlowCytIntra-species-dilution-info": "", "FlowCytIntra-species-notes": "<p></p>", "ICCIF-species-checked": "testedAndGuaranteed", "ICCIF-species-dilution-info": "", "ICCIF-species-notes": "<p></p>", "IHCP-species-checked": "testedAndGuaranteed", "IHCP-species-dilution-info": "", "IHCP-species-notes": "<p></p>", "WB-species-checked": "testedAndGuaranteed", "WB-species-dilution-info": "", "WB-species-notes": "<p></p>" }, "Rat": { "FlowCytIntra-species-checked": "testedAndGuaranteed", "FlowCytIntra-species-dilution-info": "", "FlowCytIntra-species-notes": "<p></p>", "ICCIF-species-checked": "testedAndGuaranteed", "ICCIF-species-dilution-info": "", "ICCIF-species-notes": "<p></p>", "IHCP-species-checked": "testedAndGuaranteed", "IHCP-species-dilution-info": "", "IHCP-species-notes": "<p></p>", "WB-species-checked": "testedAndGuaranteed", "WB-species-dilution-info": "", "WB-species-notes": "<p></p>" } } }

Product details

ab317753 is the carrier-free version of ab317752.

What are recombinant multiclonals?
Recombinant multiclonals are a mixture of recombinant antibodies co-expressed from a library of heavy and light chains. They offer several advantages including:

  • - The sensitivity of polyclonal antibodies by recognising multiple epitopes
  • - High batch-to-batch consistency and reproducibility
  • - Improved sensitivity and specificity
  • - Long-term security of supply
  • - Animal-free batch production

View our range of recombinant multiclonal antibodies.

Patented technology
Our RabMAb® technology is a patented hybridoma-based technology for making rabbit monoclonal antibodies. For details on our patents, please refer to RabMAb® patents.

Conjugation ready
Our carrier-free antibodies are typically supplied in a PBS-only formulation, purified and free of BSA, sodium azide and glycerol. This conjugation-ready format is designed for use with fluorochromes, metal isotopes, oligonucleotides, and enzymes, which makes them ideal for antibody labelling, functional and cell-based assays, flow-based assays (e.g. mass cytometry) and Multiplex Imaging applications.

Use our conjugation kits for antibody conjugates that are ready-to-use in as little as 20 minutes with 1 minute hands-on-time and 100% antibody recovery: available for fluorescent dyes, HRP, biotin and gold.

Compatibility
This product is compatible with the Maxpar® Antibody Labeling Kit from Fluidigm, without the need for antibody preparation. Maxpar® is a trademark of Fluidigm Canada Inc.

Properties and storage information

Form
Liquid
Purification technique
Affinity purification Protein A
Storage buffer
pH: 7.2 - 7.4 Constituents: 100% PBS
Shipped at conditions
Blue Ice
Appropriate short-term storage conditions
+4°C
Appropriate long-term storage conditions
+4°C

Supplementary information

This supplementary information is collated from multiple sources and compiled automatically.

MCM2 or Minichromosome Maintenance Complex Component 2 is a protein involved in the initiation of DNA replication. It plays a central role in the formation of the pre-replication complex which is necessary for DNA unwinding and replication fork progression. The molecular weight of MCM2 is approximately 100 kDa. It is expressed ubiquitously in proliferating cells as its function is necessary for DNA replication. Researchers often use terms like MCM-2 MC M2 or PMC M2 when discussing varying aspects of its function and interaction with other proteins in scientific literature.
Biological function summary

MCM2 is part of the heterohexameric MCM complex including other proteins like MCM3 to MCM7. This complex serves as a helicase unwinding DNA to allow replication machinery access to the template strand. The activity of the MCM complex is tightly regulated to ensure that every section of genomic DNA is replicated once per cell cycle. Its proper function ensures genetic information replication accuracy and contributes to genome stability.

Pathways

MCM2 participates in essential biological processes such as the DNA replication pathway and the cell cycle regulatory pathway. The presence of MCM2 is critical for the G1/S transition phase of the cell cycle. It interacts with other proteins including CDC45 and GINS forming the active CMG helicase complex. This complex is pivotal in orchestrating the replication machinery and signaling pathway responses to ensure appropriate replication origin firing and accurate DNA synthesis.

MCM2 is often associated with cancer and some types of genomic instability disorders. Its overexpression can lead to uncontrolled cell proliferation a hallmark of cancer. MCM2 expression levels can be a marker in distinguishing certain tumors acting as a potential therapeutic target. The protein's interaction with components like cyclin-dependent kinases (CDKs) can influence pathways leading to malignant transformation and suggests its involvement in tumorigenesis and potential as a target for anticuerpos or antibodies in disease treatment.

Product protocols

For this product, it's our understanding that no specific protocols are required. You can visit:

Target data

Acts as a component of the MCM2-7 complex (MCM complex) which is the replicative helicase essential for 'once per cell cycle' DNA replication initiation and elongation in eukaryotic cells. Core component of CDC45-MCM-GINS (CMG) helicase, the molecular machine that unwinds template DNA during replication, and around which the replisome is built (PubMed : 32453425, PubMed : 34694004, PubMed : 34700328, PubMed : 35585232). The active ATPase sites in the MCM2-7 ring are formed through the interaction surfaces of two neighboring subunits such that a critical structure of a conserved arginine finger motif is provided in trans relative to the ATP-binding site of the Walker A box of the adjacent subunit. The six ATPase active sites, however, are likely to contribute differentially to the complex helicase activity (PubMed : 32453425). Required for the entry in S phase and for cell division (PubMed : 8175912). Plays a role in terminally differentiated hair cells development of the cochlea and induces cells apoptosis (PubMed : 26196677).
See full target information MCM2

Product promise

We are committed to supporting your work with high-quality reagents, and we're here for you every step of the way. In the unlikely event that one of our products does not perform as expected, you're protected by our Product Promise.
For full details, please see our Terms & Conditions

Please note: All products are 'FOR RESEARCH USE ONLY. NOT FOR USE IN DIAGNOSTIC OR THERAPEUTIC PROCEDURES'.

For licensing inquiries, please contact partnerships@abcam.com