JavaScript is disabled in your browser. Please enable JavaScript to view this website.
AB95361

Anti-MCM2 antibody [SP85]

Be the first to review this product! Submit a review

|

(2 Publications)

Rabbit Recombinant Monoclonal MCM2 antibody. Suitable for Flow Cyt (Intra), WB, IHC-P, ICC/IF, IP and reacts with Mouse, Rat, Human samples. Cited in 2 publications.

View Alternative Names

BM28, CCNL1, CDCL1, KIAA0030, MCM2, DNA replication licensing factor MCM2, Minichromosome maintenance protein 2 homolog, Nuclear protein BM28

15 Images
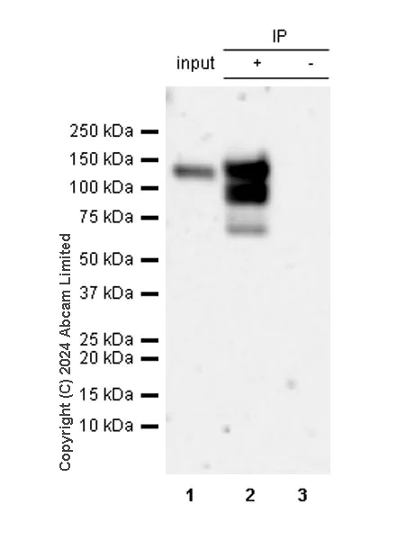
Immunoprecipitation - Anti-MCM2 antibody [SP85] (AB95361)
  • IP

Lab

Immunoprecipitation - Anti-MCM2 antibody [SP85] (AB95361)

MCM2 was immunoprecipitated from 0.35 mg Hela (human cervical adenocarcinoma epithelial cell) whole cell lysate with ab95361 at 1/30 dilution (2µg in 0.35mg lysates). Western blot was performed on the immunoprecipitate using ab95361 at 1/1000 dilution.

Blocking and diluting buffer and concentration : 5% NFDM/TBST.

All lanes:

Immunoprecipitation - Anti-MCM2 antibody [SP85] (ab95361) at 1/1000 dilution

Lane 1:

Hela (human cervical adenocarcinoma epithelial cell) whole cell lysate (Input) at 10 µg

Lane 2:

Hela (human cervical adenocarcinoma epithelial cell) whole cell lysate (+)

Lane 3:

Rabbit monoclonal IgG (<a href='/en-us/products/primary-antibodies/rabbit-igg-monoclonal-epr25a-isotype-control-ab172730'>ab172730</a>) instead of ab95361 in Hela whole cell lysate (-)

Secondary

All lanes:

Immunoprecipitation - VeriBlot for IP Detection Reagent (HRP) (<a href='/en-us/products/reagents/veriblot-for-ip-detection-reagent-hrp-ab131366'>ab131366</a>) at 1/5000 dilution

false

Exposure time: 37s

Immunohistochemistry (Formalin/PFA-fixed paraffin-embedded sections) - Anti-MCM2 antibody [SP85] (AB95361)
  • IHC-P

Lab

Immunohistochemistry (Formalin/PFA-fixed paraffin-embedded sections) - Anti-MCM2 antibody [SP85] (AB95361)

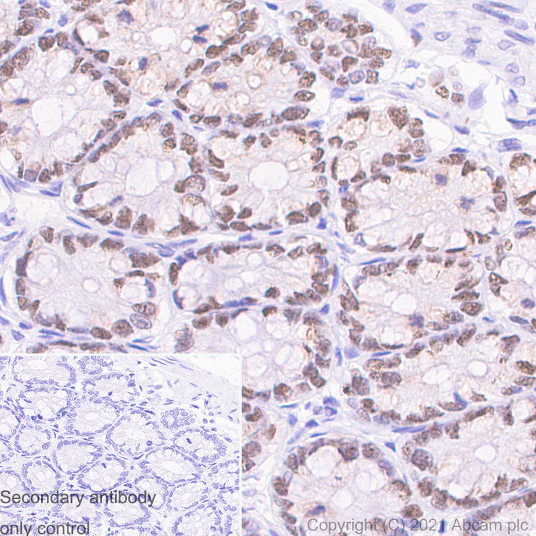
Immunohistochemical analysis of paraffin-embedded Rat colon tissue labeling MCM2 with ab95361 at 1/100 (0.06 µg/ml) dilution, followed by a ready to use Rabbit specific IHC polymer detection kit HRP/DAB (ab209101).

Nuclear staining on rat colon. The section was incubated with ab95361 for 10 mins at room temperature.
The immunostaining was performed on a Leica Biosystems BOND® RX instrument
Counterstained with hematoxylin.

Secondary antibody only control : Secondary antibody is a ready to use a ready to use Rabbit specific IHC polymer detection kit HRP/DAB (ab209101).

Heat mediated antigen retrieval was performed with Tris-EDTA buffer (pH 9.0, Epitope Retrieval Solution2) for 10 mins

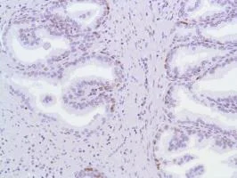
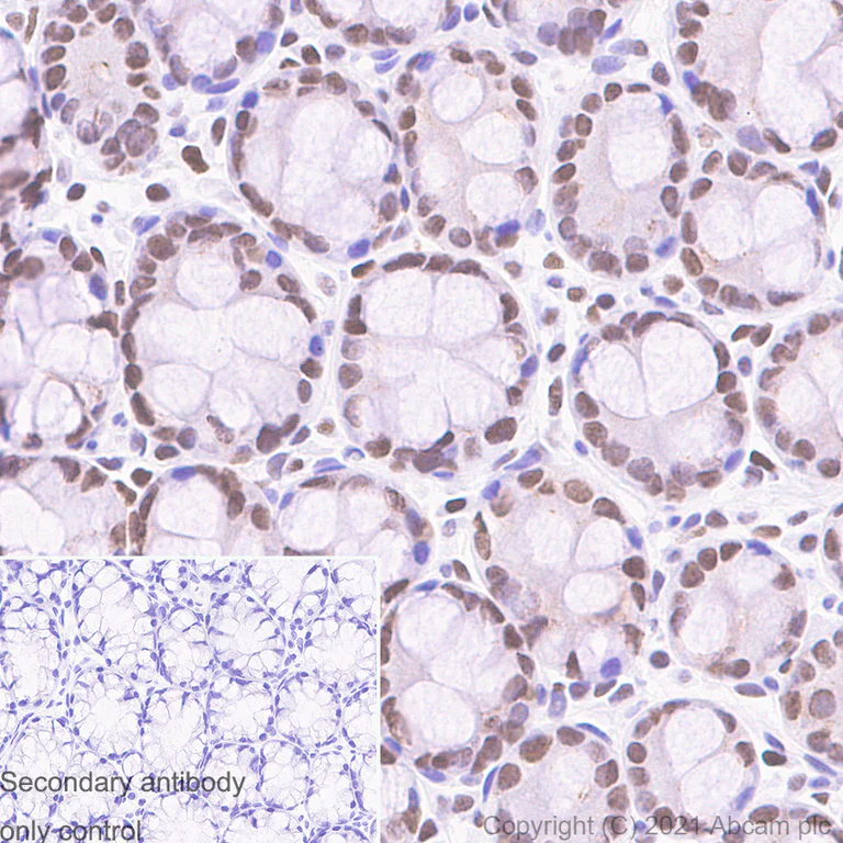
Immunohistochemistry (Formalin/PFA-fixed paraffin-embedded sections) - Anti-MCM2 antibody [SP85] (AB95361)
  • IHC-P

Lab

Immunohistochemistry (Formalin/PFA-fixed paraffin-embedded sections) - Anti-MCM2 antibody [SP85] (AB95361)

Immunohistochemical analysis of paraffin-embedded Mouse colon tissue labeling MCM2 with ab95361 at 1/100 (0.06 µg/ml) dilution, followed by a ready to use Rabbit specific IHC polymer detection kit HRP/DAB (ab209101).

Nuclear staining on mouse colon. The section was incubated with ab95361 for 10 mins at room temperature.
The immunostaining was performed on a Leica Biosystems BOND® RX instrument
Counterstained with hematoxylin.

Secondary antibody only control : Secondary antibody is a ready to use a ready to use Rabbit specific IHC polymer detection kit HRP/DAB (ab209101).

Heat mediated antigen retrieval was performed with Tris-EDTA buffer (pH 9.0, Epitope Retrieval Solution2) for 10 mins

Immunoprecipitation - Anti-MCM2 antibody [SP85] (AB95361)
  • IP

Lab

Immunoprecipitation - Anti-MCM2 antibody [SP85] (AB95361)

MCM2 was immunoprecipitated from 0.35 mg C6 (rat glial tumor glial cell) whole cell lysate with ab95361 at 1/30 dilution (2µg in 0.35mg lysates). Western blot was performed on the immunoprecipitate using ab95361 at 1/1000 dilution.

Blocking and diluting buffer and concentration : 5% NFDM/TBST.

All lanes:

Immunoprecipitation - Anti-MCM2 antibody [SP85] (ab95361) at 1/1000 dilution

Lane 1:

C6 (rat glial tumor glial cell) whole cell lysate (Input) at 10 µg

Lane 2:

C6 (rat glial tumor glial cell) whole cell lysate (+)

Lane 3:

Rabbit monoclonal IgG (<a href='/en-us/products/primary-antibodies/rabbit-igg-monoclonal-epr25a-isotype-control-ab172730'>ab172730</a>) instead of ab95361 in C6 whole cell lysate (-)

Secondary

All lanes:

Immunoprecipitation - VeriBlot for IP Detection Reagent (HRP) (<a href='/en-us/products/reagents/veriblot-for-ip-detection-reagent-hrp-ab131366'>ab131366</a>) at 1/5000 dilution

false

Immunoprecipitation - Anti-MCM2 antibody [SP85] (AB95361)
  • IP

Lab

Immunoprecipitation - Anti-MCM2 antibody [SP85] (AB95361)

MCM2 was immunoprecipitated from 0.35 mg NIH/3T3 (mouse embryonic fibroblast) whole cell lysate with ab95361 at 1/30 dilution (2µg in 0.35mg lysates). Western blot was performed on the immunoprecipitate using ab95361 at 1/1000 dilution.

Blocking and diluting buffer and concentration : 5% NFDM/TBST.

All lanes:

Immunoprecipitation - Anti-MCM2 antibody [SP85] (ab95361) at 1/1000 dilution

Lane 1:

NIH/3T3 (mouse embryonic fibroblast) whole cell lysate (Input) at 10 µg

Lane 2:

NIH/3T3 (mouse embryonic fibroblast) whole cell lysate (+)

Lane 3:

Rabbit monoclonal IgG (<a href='/en-us/products/primary-antibodies/rabbit-igg-monoclonal-epr25a-isotype-control-ab172730'>ab172730</a>) instead of ab95361 in NIH/3T3 whole cell lysate (-)

Secondary

All lanes:

Immunoprecipitation - VeriBlot for IP Detection Reagent (HRP) (<a href='/en-us/products/reagents/veriblot-for-ip-detection-reagent-hrp-ab131366'>ab131366</a>) at 1/5000 dilution

false

Exposure time: 103s

Immunocytochemistry/ Immunofluorescence - Anti-MCM2 antibody [SP85] (AB95361)
  • ICC/IF

Unknown

Immunocytochemistry/ Immunofluorescence - Anti-MCM2 antibody [SP85] (AB95361)

Immunocytochemistry/ Immunofluorescence analysis of HeLa (human cervix adenocarcinoma epithelial cell) cells labeling MCM2 with purified ab95361 at 1/50 (2.5 μg/ml). Cells were fixed in 4% paraformaldehyde and permeabilized with 0.1% Triton X-100. Cells were counterstained with ab195889 Anti-alpha Tubulin antibody [DM1A] - Microtubule Marker (Alexa Fluor® 594) 1/200 (2.5 μg/ml). Goat anti rabbit IgG (Alexa Fluor® 488, ab150077) was used as the secondary antibody at 1/1000 (2 μg/ml) dilution. DAPI was used as nuclear counterstain. PBS instead of the primary antibody was used as the secondary antibody only control.

Western blot - Anti-MCM2 antibody [SP85] (AB95361)
  • WB

Unknown

Western blot - Anti-MCM2 antibody [SP85] (AB95361)

All lanes:

Western blot - Anti-MCM2 antibody [SP85] (ab95361) at 1/100 dilution

All lanes:

lysate prepared from HeLa cells

false

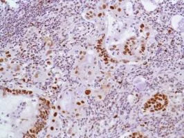
Immunohistochemistry (Formalin/PFA-fixed paraffin-embedded sections) - Anti-MCM2 antibody [SP85] (AB95361)
  • IHC-P

Supplier Data

Immunohistochemistry (Formalin/PFA-fixed paraffin-embedded sections) - Anti-MCM2 antibody [SP85] (AB95361)

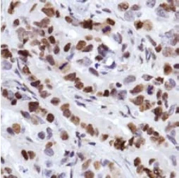
ab95361, at 1/100 dilution, staining MCM2 in formalin-fixed, paraffin-embedded Human rectal carcinoma tissue by Immunohistochemistry.

Immunocytochemistry/ Immunofluorescence - Anti-MCM2 antibody [SP85] (AB95361)
  • ICC/IF

Unknown

Immunocytochemistry/ Immunofluorescence - Anti-MCM2 antibody [SP85] (AB95361)

Immunocytochemistry/ Immunofluorescence analysis of NIH/3T3 (mouse embryonic fibroblast) cells labeling MCM2 with purified ab95361 at 1/50 (2.5 μg/ml). Cells were fixed in 4% paraformaldehyde and permeabilized with 0.1% Triton X-100. Cells were counterstained with ab195889 Anti-alpha Tubulin antibody [DM1A] - Microtubule Marker (Alexa Fluor® 594) 1/200 (2.5 μg/ml). Goat anti rabbit IgG (Alexa Fluor® 488, ab150077) was used as the secondary antibody at 1/1000 (2 μg/ml) dilution. DAPI was used as nuclear counterstain. PBS instead of the primary antibody was used as the secondary antibody only control.

Flow Cytometry (Intracellular) - Anti-MCM2 antibody [SP85] (AB95361)
  • Flow Cyt (Intra)

Unknown

Flow Cytometry (Intracellular) - Anti-MCM2 antibody [SP85] (AB95361)

Flow cytometry analysis of C6 (rat glial tumor glial cell) labeling MCM2 with purified ab95361 at 1/200 dilution (0.615 μg/ml) (red). Cells were fixed with 4% paraformaldehyde and permeabilised with 90% methanol. Goat anti rabbit IgG (Alexa Fluor® 488, ab150077) at 1/2000 dilution was used as a secondary antibody. Isotype control - Rabbit monoclonal IgG (ab172730) (black). Unlableled control - Unlabelled cells (blue).

Flow Cytometry (Intracellular) - Anti-MCM2 antibody [SP85] (AB95361)
  • Flow Cyt (Intra)

Unknown

Flow Cytometry (Intracellular) - Anti-MCM2 antibody [SP85] (AB95361)

Flow cytometry analysis of NIH/3T3 (mouse embryonic fibroblast) labeling MCM2 with purified ab95361 at 1/200 dilution (0.615 μg/ml) (red). Cells were fixed with 4% paraformaldehyde and permeabilised with 90% methanol. Goat anti rabbit IgG (Alexa Fluor® 488, ab150077) at 1/2000 dilution was used as a secondary antibody. Isotype control - Rabbit monoclonal IgG (ab172730) (black). Unlableled control - Unlabelled cells (blue).

Flow Cytometry (Intracellular) - Anti-MCM2 antibody [SP85] (AB95361)
  • Flow Cyt (Intra)

Supplier Data

Flow Cytometry (Intracellular) - Anti-MCM2 antibody [SP85] (AB95361)

Flow cytometric analysis using rabbit anti-MCM2 (SP85) antibody ab95361(1/100) in HeLa cells (green) compared to negative control of rabbit IgG (blue).

Immunohistochemistry (Formalin/PFA-fixed paraffin-embedded sections) - Anti-MCM2 antibody [SP85] (AB95361)
  • IHC-P

Supplier Data

Immunohistochemistry (Formalin/PFA-fixed paraffin-embedded sections) - Anti-MCM2 antibody [SP85] (AB95361)

ab95361,at 1/100 dilution,staining MCM2 in formalin-fixed,paraffin-embedded Human prostate tissue by Immunohistochemistry.

Immunohistochemistry (Formalin/PFA-fixed paraffin-embedded sections) - Anti-MCM2 antibody [SP85] (AB95361)
  • IHC-P

Supplier Data

Immunohistochemistry (Formalin/PFA-fixed paraffin-embedded sections) - Anti-MCM2 antibody [SP85] (AB95361)

ab95361,at 1/100 dilution,staining MCM2 in formalin-fixed,paraffin-embedded Human pancreas adenocarcinoma tissue by Immunohistochemistry.

Flow Cytometry (Intracellular) - Anti-MCM2 antibody [SP85] (AB95361)
  • Flow Cyt (Intra)

Unknown

Flow Cytometry (Intracellular) - Anti-MCM2 antibody [SP85] (AB95361)

Flow cytometry analysis of HeLa (human cervix adenocarcinoma epithelial cell) labeling MCM2 with purified ab95361 at 1/200 dilution (0.615 μg/ml) (red). Cells were fixed with 4% paraformaldehyde and permeabilised with 90% methanol. Goat anti rabbit IgG (Alexa Fluor® 488, ab150077) at 1/2000 dilution was used as a secondary antibody. Isotype control - Rabbit monoclonal IgG (ab172730) (black). Unlableled control - Unlabelled cells (blue).

Key facts

Host species

Rabbit

Clonality

Monoclonal

Clone number

SP85

Isotype

IgG

Carrier free

No

Reacts with

Mouse, Rat

Applications

IHC-P, Flow Cyt (Intra), WB, IP, ICC/IF

applications

Immunogen

The exact immunogen used to generate this antibody is proprietary information.

Reactivity data

{ "title": "Reactivity Data", "filters": { "stats": ["", "Species", "Dilution Info", "Notes"], "tabs": { "all-applications": {"fullname" : "All Applications", "shortname": "All Applications"}, "FlowCytIntra" : {"fullname" : "Flow Cytometry (Intracellular)", "shortname":"Flow Cyt (Intra)"}, "WB" : {"fullname" : "Western blot", "shortname":"WB"}, "IHCP" : {"fullname" : "Immunohistochemistry (Formalin/PFA-fixed paraffin-embedded sections)", "shortname":"IHC-P"}, "ICCIF" : {"fullname" : "Immunocytochemistry/ Immunofluorescence", "shortname":"ICC/IF"}, "IP" : {"fullname" : "Immunoprecipitation", "shortname":"IP"} }, "product-promise": { "all": "all", "testedAndGuaranteed": "tested", "guaranteed": "expected", "predicted": "predicted", "notRecommended": "not-recommended" } }, "values": { "Human": { "FlowCytIntra-species-checked": "testedAndGuaranteed", "FlowCytIntra-species-dilution-info": "1/200", "FlowCytIntra-species-notes": "<p><a href='/en-us/products/primary-antibodies/rabbit-igg-monoclonal-epr25a-isotype-control-ab172730'>ab172730</a> - Rabbit monoclonal IgG, is suitable for use as an isotype control with this antibody.</p>", "WB-species-checked": "testedAndGuaranteed", "WB-species-dilution-info": "", "WB-species-notes": "<p></p>", "IHCP-species-checked": "testedAndGuaranteed", "IHCP-species-dilution-info": "1/100", "IHCP-species-notes": "<p>Antigen retrieval is recommended by the following method: boil tissue section in 1mM EDTA, pH 8.0 for 10 min followed by cooling at RT for 20 min.</p>", "ICCIF-species-checked": "testedAndGuaranteed", "ICCIF-species-dilution-info": "1/50", "ICCIF-species-notes": "<p></p>", "IP-species-checked": "testedAndGuaranteed", "IP-species-dilution-info": "1/30", "IP-species-notes": "<p></p>" }, "Mouse": { "FlowCytIntra-species-checked": "testedAndGuaranteed", "FlowCytIntra-species-dilution-info": "1/200", "FlowCytIntra-species-notes": "<p><a href='/en-us/products/primary-antibodies/rabbit-igg-monoclonal-epr25a-isotype-control-ab172730'>ab172730</a> - Rabbit monoclonal IgG, is suitable for use as an isotype control with this antibody.</p>", "WB-species-checked": "guaranteed", "WB-species-dilution-info": "", "WB-species-notes": "", "IHCP-species-checked": "testedAndGuaranteed", "IHCP-species-dilution-info": "1/100", "IHCP-species-notes": "<p></p> Perform heat-mediated antigen retrieval with Tris/EDTA buffer pH 9.0 before commencing with IHC staining protocol.", "ICCIF-species-checked": "testedAndGuaranteed", "ICCIF-species-dilution-info": "1/50", "ICCIF-species-notes": "<p></p>", "IP-species-checked": "testedAndGuaranteed", "IP-species-dilution-info": "1/30", "IP-species-notes": "<p></p>" }, "Rat": { "FlowCytIntra-species-checked": "testedAndGuaranteed", "FlowCytIntra-species-dilution-info": "1/200", "FlowCytIntra-species-notes": "<p><a href='/en-us/products/primary-antibodies/rabbit-igg-monoclonal-epr25a-isotype-control-ab172730'>ab172730</a> - Rabbit monoclonal IgG, is suitable for use as an isotype control with this antibody.</p>", "WB-species-checked": "guaranteed", "WB-species-dilution-info": "", "WB-species-notes": "", "IHCP-species-checked": "testedAndGuaranteed", "IHCP-species-dilution-info": "1/100", "IHCP-species-notes": "<p></p> Perform heat-mediated antigen retrieval with Tris/EDTA buffer pH 9.0 before commencing with IHC staining protocol.", "ICCIF-species-checked": "testedAndGuaranteed", "ICCIF-species-dilution-info": "1/50", "ICCIF-species-notes": "<p></p>", "IP-species-checked": "testedAndGuaranteed", "IP-species-dilution-info": "1/30", "IP-species-notes": "<p></p>" }, "Cow": { "FlowCytIntra-species-checked": "predicted", "FlowCytIntra-species-dilution-info": "", "FlowCytIntra-species-notes": "", "WB-species-checked": "predicted", "WB-species-dilution-info": "", "WB-species-notes": "", "IHCP-species-checked": "predicted", "IHCP-species-dilution-info": "", "IHCP-species-notes": "", "ICCIF-species-checked": "predicted", "ICCIF-species-dilution-info": "", "ICCIF-species-notes": "", "IP-species-checked": "predicted", "IP-species-dilution-info": "", "IP-species-notes": "" }, "Dog": { "FlowCytIntra-species-checked": "predicted", "FlowCytIntra-species-dilution-info": "", "FlowCytIntra-species-notes": "", "WB-species-checked": "predicted", "WB-species-dilution-info": "", "WB-species-notes": "", "IHCP-species-checked": "predicted", "IHCP-species-dilution-info": "", "IHCP-species-notes": "", "ICCIF-species-checked": "predicted", "ICCIF-species-dilution-info": "", "ICCIF-species-notes": "", "IP-species-checked": "predicted", "IP-species-dilution-info": "", "IP-species-notes": "" } } }

Properties and storage information

Form
Liquid
Purification technique
Affinity purification Protein A/G
Purification notes
Purified from TCS by protein A/G.
Storage buffer
pH: 7.6 Preservative: 0.1% Sodium azide Constituents: PBS, 1% BSA
Shipped at conditions
Blue Ice
Appropriate short-term storage conditions
+4°C
Appropriate long-term storage conditions
+4°C

Supplementary information

This supplementary information is collated from multiple sources and compiled automatically.

MCM2 or Minichromosome Maintenance Complex Component 2 is a protein involved in the initiation of DNA replication. It plays a central role in the formation of the pre-replication complex which is necessary for DNA unwinding and replication fork progression. The molecular weight of MCM2 is approximately 100 kDa. It is expressed ubiquitously in proliferating cells as its function is necessary for DNA replication. Researchers often use terms like MCM-2 MC M2 or PMC M2 when discussing varying aspects of its function and interaction with other proteins in scientific literature.
Biological function summary

MCM2 is part of the heterohexameric MCM complex including other proteins like MCM3 to MCM7. This complex serves as a helicase unwinding DNA to allow replication machinery access to the template strand. The activity of the MCM complex is tightly regulated to ensure that every section of genomic DNA is replicated once per cell cycle. Its proper function ensures genetic information replication accuracy and contributes to genome stability.

Pathways

MCM2 participates in essential biological processes such as the DNA replication pathway and the cell cycle regulatory pathway. The presence of MCM2 is critical for the G1/S transition phase of the cell cycle. It interacts with other proteins including CDC45 and GINS forming the active CMG helicase complex. This complex is pivotal in orchestrating the replication machinery and signaling pathway responses to ensure appropriate replication origin firing and accurate DNA synthesis.

MCM2 is often associated with cancer and some types of genomic instability disorders. Its overexpression can lead to uncontrolled cell proliferation a hallmark of cancer. MCM2 expression levels can be a marker in distinguishing certain tumors acting as a potential therapeutic target. The protein's interaction with components like cyclin-dependent kinases (CDKs) can influence pathways leading to malignant transformation and suggests its involvement in tumorigenesis and potential as a target for anticuerpos or antibodies in disease treatment.

Product protocols

For this product, it's our understanding that no specific protocols are required. You can visit:

Target data

Acts as a component of the MCM2-7 complex (MCM complex) which is the replicative helicase essential for 'once per cell cycle' DNA replication initiation and elongation in eukaryotic cells. Core component of CDC45-MCM-GINS (CMG) helicase, the molecular machine that unwinds template DNA during replication, and around which the replisome is built (PubMed : 32453425, PubMed : 34694004, PubMed : 34700328, PubMed : 35585232). The active ATPase sites in the MCM2-7 ring are formed through the interaction surfaces of two neighboring subunits such that a critical structure of a conserved arginine finger motif is provided in trans relative to the ATP-binding site of the Walker A box of the adjacent subunit. The six ATPase active sites, however, are likely to contribute differentially to the complex helicase activity (PubMed : 32453425). Required for the entry in S phase and for cell division (PubMed : 8175912). Plays a role in terminally differentiated hair cells development of the cochlea and induces cells apoptosis (PubMed : 26196677).
See full target information MCM2

Publications (2)

Recent publications for all applications. Explore the full list and refine your search

Molecular cell 82:463-478.e11 PubMed34741808

2021

Hybridization-proximity labeling reveals spatially ordered interactions of nuclear RNA compartments.

Applications

Unspecified application

Species

Unspecified reactive species

Karen Yap,Tek Hong Chung,Eugene V Makeyev

Glia 68:2361-2376 PubMed32469469

2020

Morphological and molecular alterations of reactive astrocytes without proliferation in cerebral cortex of an APP/PS1 transgenic mouse model and Alzheimer's patients.

Applications

Unspecified application

Species

Unspecified reactive species

Kun-Yu Li,Pi-Fang Gong,Jia-Tong Li,Nan-Jie Xu,Song Qin
View all publications

Product promise

We are committed to supporting your work with high-quality reagents, and we're here for you every step of the way. In the unlikely event that one of our products does not perform as expected, you're protected by our Product Promise.
For full details, please see our Terms & Conditions

Associated Products

Select an associated product type
Alternative Product
Primary Antibodies

AB264114

Anti-MCM2 (phospho S108) antibody

primary-antibodies

mcm2-phospho-s108-antibody-ab264114

0

(0 reviews)

Alternative Product
Primary Antibodies

AB223403

Alexa Fluor® 647 Anti-MCM2 antibody [EPR4120]

primary-antibodies

alexa-fluor-647-mcm2-antibody-epr4120-ab223403

0

(0 reviews)

Alternative Product
Primary Antibodies

AB133325

Anti-MCM2 antibody [EPR3727]

primary-antibodies

mcm2-antibody-epr3727-ab133325

0

(0 reviews)

Alternative Product
Primary Antibodies

AB133243

Anti-MCM2 (phospho S40) antibody [EPR4170(2)]

primary-antibodies

mcm2-phospho-s40-antibody-epr41702-ab133243

5

(2 reviews)

Alternative Product
Primary Antibodies

AB108935

Anti-MCM2 antibody [EPR4120]

primary-antibodies

mcm2-antibody-epr4120-ab108935

0

(0 reviews)

Alternative Product
Primary Antibodies

AB109270

Anti-MCM2 (phospho S41) antibody [EPR4171]

primary-antibodies

mcm2-phospho-s41-antibody-epr4171-ab109270

0

(0 reviews)

Alternative Product
Primary Antibodies

AB109133

Anti-MCM2 (phospho S53) antibody [EP4120]

primary-antibodies

mcm2-phospho-s53-antibody-ep4120-ab109133

5

(4 reviews)

Alternative Product
Primary Antibodies

AB109271

Anti-MCM2 (phospho S108) antibody [EPR4121]

primary-antibodies

mcm2-phospho-s108-antibody-epr4121-ab109271

0

(0 reviews)

Please note: All products are 'FOR RESEARCH USE ONLY. NOT FOR USE IN DIAGNOSTIC OR THERAPEUTIC PROCEDURES'.

For licensing inquiries, please contact partnerships@abcam.com