JavaScript is disabled in your browser. Please enable JavaScript to view this website.
AB264114

Anti-MCM2 (phospho S108) antibody

Be the first to review this product! Submit a review

|

(1 Publication)

Rabbit Polyclonal MCM2 phospho S108 antibody. Suitable for IHC-P, WB and reacts with Mouse, Human samples. Cited in 1 publication. Immunogen corresponding to Synthetic Peptide within Human MCM2 phospho S108.

View Alternative Names

BM28, CCNL1, CDCL1, KIAA0030, MCM2, DNA replication licensing factor MCM2, Minichromosome maintenance protein 2 homolog, Nuclear protein BM28

3 Images
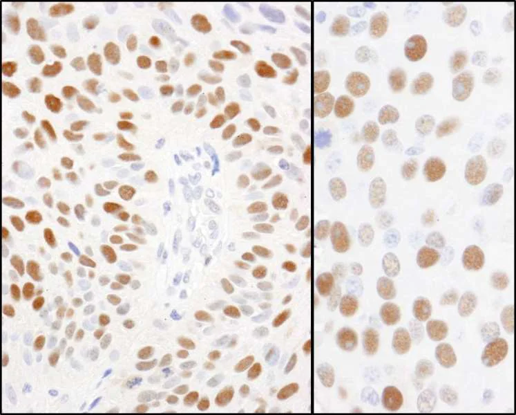
Immunohistochemistry (Formalin/PFA-fixed paraffin-embedded sections) - Anti-MCM2 (phospho S108) antibody (AB264114)
  • IHC-P

Unknown

Immunohistochemistry (Formalin/PFA-fixed paraffin-embedded sections) - Anti-MCM2 (phospho S108) antibody (AB264114)

Formalin/PFA-fixed paraffin-embedded sections of human breast carcinoma (left panel) and mouse renal cell carcinoma (right panel) stained for MCM2 using ab264114 at a 1/5000 dilution. Detection : DAB.

Western blot - Anti-MCM2 (phospho S108) antibody (AB264114)
  • WB

Supplier Data

Western blot - Anti-MCM2 (phospho S108) antibody (AB264114)

An alternative anti-phospho MCM2 (S108) antibody was used for the immunoprecipitation. ab264114 was used for Western Blotting.

All lanes:

Western blot - Anti-MCM2 (phospho S108) antibody (ab264114) at 1/5000 dilution

Lane 1:

HEK-293T treated with etoposide (100 µM, 2h), then following immunoprecipitation, treated with phosphatases

Lane 2:

HEK-293T treated with etoposide (100 µM, 2h), then following immunoprecipitation, mock treated with phosphatases

Lane 3:

HEK-293T mock treated with etoposide (100 µM, 2h), then following immunoprecipitation, treated with phosphatases

Lane 4:

HEK-293T mock treated with etoposide (100 µM, 2h), then following immunoprecipitation, mock treated with phosphatases

Lane 5:

HEK-293T treated with etoposide (100 µM, 2h), then following immunoprecipitation, with normal IgG, treated with phosphatases

Predicted band size: 102 kDa

false

Exposure time: 10s

Western blot - Anti-MCM2 (phospho S108) antibody (AB264114)
  • WB

Supplier Data

Western blot - Anti-MCM2 (phospho S108) antibody (AB264114)

Detection : Chemiluminescence with an exposure time of 10 seconds

All lanes:

Western blot - Anti-MCM2 (phospho S108) antibody (ab264114) at 1/5000 dilution

Lane 1:

HEK-293T whole cell lysate treated with 100µM etoposide for 2 hours (+) at 50 µg

Lane 2:

HEK-293T whole cell lysate mock treated (-) at 50 µg

Lane 3:

HEK-293T whole cell lysate treated with 100µM etoposide for 2 hours (+) at 15 µg

Lane 4:

HEK-293T whole cell lysate mock treated (+) at 15 µg

Lane 5:

NIH/3T3 whole cell lysate treated with 100µM etoposide for 2 hours (+) at 50 µg

Predicted band size: 102 kDa

false

Key facts

Host species

Rabbit

Clonality

Polyclonal

Isotype

IgG

Carrier free

No

Reacts with

Mouse, Human

Applications

IHC-P, WB

applications

Immunogen

Synthetic Peptide within Human MCM2 phospho S108. The exact immunogen used to generate this antibody is proprietary information.

P49736

Reactivity data

{ "title": "Reactivity Data", "filters": { "stats": ["", "Species", "Dilution Info", "Notes"], "tabs": { "all-applications": {"fullname" : "All Applications", "shortname": "All Applications"}, "IHCP" : {"fullname" : "Immunohistochemistry (Formalin/PFA-fixed paraffin-embedded sections)", "shortname":"IHC-P"}, "WB" : {"fullname" : "Western blot", "shortname":"WB"} }, "product-promise": { "all": "all", "testedAndGuaranteed": "tested", "guaranteed": "expected", "predicted": "predicted", "notRecommended": "not-recommended" } }, "values": { "Human": { "IHCP-species-checked": "testedAndGuaranteed", "IHCP-species-dilution-info": "1/1000 - 1/5000", "IHCP-species-notes": "<p></p> Perform heat-mediated antigen retrieval with citrate buffer pH 6 before commencing with IHC staining protocol.", "WB-species-checked": "testedAndGuaranteed", "WB-species-dilution-info": "1/5000 - 1/10000", "WB-species-notes": "<p></p>" }, "Mouse": { "IHCP-species-checked": "testedAndGuaranteed", "IHCP-species-dilution-info": "1/1000 - 1/5000", "IHCP-species-notes": "<p></p> Perform heat-mediated antigen retrieval with citrate buffer pH 6 before commencing with IHC staining protocol.", "WB-species-checked": "testedAndGuaranteed", "WB-species-dilution-info": "1/5000 - 1/10000", "WB-species-notes": "<p></p>" } } }

Properties and storage information

Form
Liquid
Purification technique
Affinity purification Immunogen
Storage buffer
pH: 7 - 8 Preservative: 0.09% Sodium azide Constituents: Tris citrate/phosphate
Shipped at conditions
Blue Ice
Appropriate short-term storage duration
1-2 weeks
Appropriate short-term storage conditions
+4°C
Appropriate long-term storage conditions
-20°C
Aliquoting information
Upon delivery aliquot
Storage information
Avoid freeze / thaw cycle

Supplementary information

This supplementary information is collated from multiple sources and compiled automatically.

MCM2 or Minichromosome Maintenance Complex Component 2 is a protein involved in the initiation of DNA replication. It plays a central role in the formation of the pre-replication complex which is necessary for DNA unwinding and replication fork progression. The molecular weight of MCM2 is approximately 100 kDa. It is expressed ubiquitously in proliferating cells as its function is necessary for DNA replication. Researchers often use terms like MCM-2 MC M2 or PMC M2 when discussing varying aspects of its function and interaction with other proteins in scientific literature.
Biological function summary

MCM2 is part of the heterohexameric MCM complex including other proteins like MCM3 to MCM7. This complex serves as a helicase unwinding DNA to allow replication machinery access to the template strand. The activity of the MCM complex is tightly regulated to ensure that every section of genomic DNA is replicated once per cell cycle. Its proper function ensures genetic information replication accuracy and contributes to genome stability.

Pathways

MCM2 participates in essential biological processes such as the DNA replication pathway and the cell cycle regulatory pathway. The presence of MCM2 is critical for the G1/S transition phase of the cell cycle. It interacts with other proteins including CDC45 and GINS forming the active CMG helicase complex. This complex is pivotal in orchestrating the replication machinery and signaling pathway responses to ensure appropriate replication origin firing and accurate DNA synthesis.

MCM2 is often associated with cancer and some types of genomic instability disorders. Its overexpression can lead to uncontrolled cell proliferation a hallmark of cancer. MCM2 expression levels can be a marker in distinguishing certain tumors acting as a potential therapeutic target. The protein's interaction with components like cyclin-dependent kinases (CDKs) can influence pathways leading to malignant transformation and suggests its involvement in tumorigenesis and potential as a target for anticuerpos or antibodies in disease treatment.

Product protocols

For this product, it's our understanding that no specific protocols are required. You can visit:

Target data

Acts as a component of the MCM2-7 complex (MCM complex) which is the replicative helicase essential for 'once per cell cycle' DNA replication initiation and elongation in eukaryotic cells. Core component of CDC45-MCM-GINS (CMG) helicase, the molecular machine that unwinds template DNA during replication, and around which the replisome is built (PubMed : 32453425, PubMed : 34694004, PubMed : 34700328, PubMed : 35585232). The active ATPase sites in the MCM2-7 ring are formed through the interaction surfaces of two neighboring subunits such that a critical structure of a conserved arginine finger motif is provided in trans relative to the ATP-binding site of the Walker A box of the adjacent subunit. The six ATPase active sites, however, are likely to contribute differentially to the complex helicase activity (PubMed : 32453425). Required for the entry in S phase and for cell division (PubMed : 8175912). Plays a role in terminally differentiated hair cells development of the cochlea and induces cells apoptosis (PubMed : 26196677).
See full target information MCM2 phospho S108

Publications (1)

Recent publications for all applications. Explore the full list and refine your search

Journal of cellular and molecular medicine 21:3066-3075 PubMed28580627

2017

Age-related modulation of angiogenesis-regulating factors in the swine meniscus.

Applications

Unspecified application

Species

Unspecified reactive species

Alessia Di Giancamillo,Daniela Deponti,Silvia Modina,Irene Tessaro,Cinzia Domeneghini,Giuseppe Maria Peretti
View all publications

Product promise

We are committed to supporting your work with high-quality reagents, and we're here for you every step of the way. In the unlikely event that one of our products does not perform as expected, you're protected by our Product Promise.
For full details, please see our Terms & Conditions

Please note: All products are 'FOR RESEARCH USE ONLY. NOT FOR USE IN DIAGNOSTIC OR THERAPEUTIC PROCEDURES'.

For licensing inquiries, please contact partnerships@abcam.com