JavaScript is disabled in your browser. Please enable JavaScript to view this website.
AB240052

Anti-MCM2 (phospho S40) antibody [EPR4170(2)] - BSA and Azide free

Be the first to review this product! Submit a review

|

(1 Publication)

Rabbit Recombinant Monoclonal MCM2 phospho S40 antibody. Carrier free. Suitable for IHC-P, WB and reacts with Human samples. Cited in 1 publication.

View Alternative Names

BM28, CCNL1, CDCL1, KIAA0030, MCM2, DNA replication licensing factor MCM2, Minichromosome maintenance protein 2 homolog, Nuclear protein BM28

1 Images
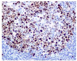
Immunohistochemistry (Formalin/PFA-fixed paraffin-embedded sections) - Anti-MCM2 (phospho S40) antibody [EPR4170(2)] - BSA and Azide free (AB240052)
  • IHC-P

Unknown

Immunohistochemistry (Formalin/PFA-fixed paraffin-embedded sections) - Anti-MCM2 (phospho S40) antibody [EPR4170(2)] - BSA and Azide free (AB240052)

Immunohistochemical analysis of paraffin embedded Human tonsil tissue labelling MCM2 (phospho S40) with ab133243 at 1/50 dilution.

This data was developed using the same antibody clone in a different buffer formulation containing PBS, BSA, glycerol, and sodium azide (ab133243).

Perform heat mediated antigen retrieval with citrate buffer pH 6 before commencing with IHC staining protocol.

  • Unconjugated

    Anti-MCM2 (phospho S40) antibody [EPR4170(2)]

Key facts

Host species

Rabbit

Clonality

Monoclonal

Clone number

EPR4170(2)

Isotype

IgG

Carrier free

Yes

Reacts with

Human

Applications

WB, IHC-P

applications

Immunogen

The exact immunogen used to generate this antibody is proprietary information.

Reactivity data

{ "title": "Reactivity Data", "filters": { "stats": ["", "Species", "Dilution Info", "Notes"], "tabs": { "all-applications": {"fullname" : "All Applications", "shortname": "All Applications"}, "IHCP" : {"fullname" : "Immunohistochemistry (Formalin/PFA-fixed paraffin-embedded sections)", "shortname":"IHC-P"}, "FlowCyt" : {"fullname" : "Flow Cytometry", "shortname":"Flow Cyt"}, "WB" : {"fullname" : "Western blot", "shortname":"WB"}, "ICCIF" : {"fullname" : "Immunocytochemistry/ Immunofluorescence", "shortname":"ICC/IF"} }, "product-promise": { "all": "all", "testedAndGuaranteed": "tested", "guaranteed": "expected", "predicted": "predicted", "notRecommended": "not-recommended" } }, "values": { "Human": { "IHCP-species-checked": "testedAndGuaranteed", "IHCP-species-dilution-info": "", "IHCP-species-notes": "<p></p>", "FlowCyt-species-checked": "notRecommended", "FlowCyt-species-dilution-info": "", "FlowCyt-species-notes": "<p></p>", "WB-species-checked": "guaranteed", "WB-species-dilution-info": "", "WB-species-notes": "<p></p>", "ICCIF-species-checked": "notRecommended", "ICCIF-species-dilution-info": "", "ICCIF-species-notes": "<p></p>" }, "Mouse": { "IHCP-species-checked": "predicted", "IHCP-species-dilution-info": "", "IHCP-species-notes": "", "FlowCyt-species-checked": "notRecommended", "FlowCyt-species-dilution-info": "", "FlowCyt-species-notes": "", "WB-species-checked": "predicted", "WB-species-dilution-info": "", "WB-species-notes": "", "ICCIF-species-checked": "notRecommended", "ICCIF-species-dilution-info": "", "ICCIF-species-notes": "" }, "Rat": { "IHCP-species-checked": "predicted", "IHCP-species-dilution-info": "", "IHCP-species-notes": "", "FlowCyt-species-checked": "notRecommended", "FlowCyt-species-dilution-info": "", "FlowCyt-species-notes": "", "WB-species-checked": "predicted", "WB-species-dilution-info": "", "WB-species-notes": "", "ICCIF-species-checked": "notRecommended", "ICCIF-species-dilution-info": "", "ICCIF-species-notes": "" } } }

Product details

ab240052 is the carrier-free version of ab133243.

Patented technology
Our RabMAb® technology is a patented hybridoma-based technology for making rabbit monoclonal antibodies. For details on our patents, please refer to RabMAb® patents.

What are the advantages of a recombinant monoclonal antibody?
This product is a recombinant monoclonal antibody, which offers several advantages including:

  • - High batch-to-batch consistency and reproducibility
  • - Improved sensitivity and specificity
  • - Long-term security of supply
  • - Animal-free batch production

For more information, read more on recombinant antibodies.

Conjugation ready
Our carrier-free antibodies are typically supplied in a PBS-only formulation, purified and free of BSA, sodium azide and glycerol. This conjugation-ready format is designed for use with fluorochromes, metal isotopes, oligonucleotides, and enzymes, which makes them ideal for antibody labelling, functional and cell-based assays, flow-based assays (e.g. mass cytometry) and Multiplex Imaging applications.

Use our conjugation kits for antibody conjugates that are ready-to-use in as little as 20 minutes with 1 minute hands-on-time and 100% antibody recovery: available for fluorescent dyes, HRP, biotin and gold.

Compatibility
This product is compatible with the Maxpar® Antibody Labeling Kit from Fluidigm, without the need for antibody preparation. Maxpar® is a trademark of Fluidigm Canada Inc.

Properties and storage information

Form
Liquid
Purification technique
Affinity purification Protein A
Storage buffer
pH: 7.2 - 7.4 Constituents: PBS
Shipped at conditions
Blue Ice
Appropriate short-term storage conditions
+4°C
Appropriate long-term storage conditions
+4°C
Storage information
Do Not Freeze

Supplementary information

This supplementary information is collated from multiple sources and compiled automatically.

MCM2 or Minichromosome Maintenance Complex Component 2 is a protein involved in the initiation of DNA replication. It plays a central role in the formation of the pre-replication complex which is necessary for DNA unwinding and replication fork progression. The molecular weight of MCM2 is approximately 100 kDa. It is expressed ubiquitously in proliferating cells as its function is necessary for DNA replication. Researchers often use terms like MCM-2 MC M2 or PMC M2 when discussing varying aspects of its function and interaction with other proteins in scientific literature.
Biological function summary

MCM2 is part of the heterohexameric MCM complex including other proteins like MCM3 to MCM7. This complex serves as a helicase unwinding DNA to allow replication machinery access to the template strand. The activity of the MCM complex is tightly regulated to ensure that every section of genomic DNA is replicated once per cell cycle. Its proper function ensures genetic information replication accuracy and contributes to genome stability.

Pathways

MCM2 participates in essential biological processes such as the DNA replication pathway and the cell cycle regulatory pathway. The presence of MCM2 is critical for the G1/S transition phase of the cell cycle. It interacts with other proteins including CDC45 and GINS forming the active CMG helicase complex. This complex is pivotal in orchestrating the replication machinery and signaling pathway responses to ensure appropriate replication origin firing and accurate DNA synthesis.

MCM2 is often associated with cancer and some types of genomic instability disorders. Its overexpression can lead to uncontrolled cell proliferation a hallmark of cancer. MCM2 expression levels can be a marker in distinguishing certain tumors acting as a potential therapeutic target. The protein's interaction with components like cyclin-dependent kinases (CDKs) can influence pathways leading to malignant transformation and suggests its involvement in tumorigenesis and potential as a target for anticuerpos or antibodies in disease treatment.

Product protocols

For this product, it's our understanding that no specific protocols are required. You can visit:

Target data

Acts as a component of the MCM2-7 complex (MCM complex) which is the replicative helicase essential for 'once per cell cycle' DNA replication initiation and elongation in eukaryotic cells. Core component of CDC45-MCM-GINS (CMG) helicase, the molecular machine that unwinds template DNA during replication, and around which the replisome is built (PubMed : 32453425, PubMed : 34694004, PubMed : 34700328, PubMed : 35585232). The active ATPase sites in the MCM2-7 ring are formed through the interaction surfaces of two neighboring subunits such that a critical structure of a conserved arginine finger motif is provided in trans relative to the ATP-binding site of the Walker A box of the adjacent subunit. The six ATPase active sites, however, are likely to contribute differentially to the complex helicase activity (PubMed : 32453425). Required for the entry in S phase and for cell division (PubMed : 8175912). Plays a role in terminally differentiated hair cells development of the cochlea and induces cells apoptosis (PubMed : 26196677).
See full target information MCM2 phospho S40

Publications (1)

Recent publications for all applications. Explore the full list and refine your search

Frontiers in molecular biosciences 9:1055356 PubMed36518851

2022

The copper transporter CTR1 and cisplatin accumulation at the single-cell level by LA-ICP-TOFMS.

Applications

Unspecified application

Species

Unspecified reactive species

Anna Schoeberl,Michael Gutmann,Sarah Theiner,Mario Corte-Rodríguez,Gabriel Braun,Petra Vician,Walter Berger,Gunda Koellensperger
View all publications

Product promise

We are committed to supporting your work with high-quality reagents, and we're here for you every step of the way. In the unlikely event that one of our products does not perform as expected, you're protected by our Product Promise.
For full details, please see our Terms & Conditions

Please note: All products are 'FOR RESEARCH USE ONLY. NOT FOR USE IN DIAGNOSTIC OR THERAPEUTIC PROCEDURES'.

For licensing inquiries, please contact partnerships@abcam.com