JavaScript is disabled in your browser. Please enable JavaScript to view this website.
AB70367

Anti-MCM2 (phospho S53) antibody

Be the first to review this product! Submit a review

|

(4 Publications)

Rabbit Polyclonal MCM2 phospho S53 antibody. Suitable for IHC-P, WB and reacts with Mouse, Human samples. Cited in 4 publications. Immunogen corresponding to Synthetic Peptide within Human MCM2 phospho S53.

View Alternative Names

BM28, CCNL1, CDCL1, KIAA0030, MCM2, DNA replication licensing factor MCM2, Minichromosome maintenance protein 2 homolog, Nuclear protein BM28

3 Images
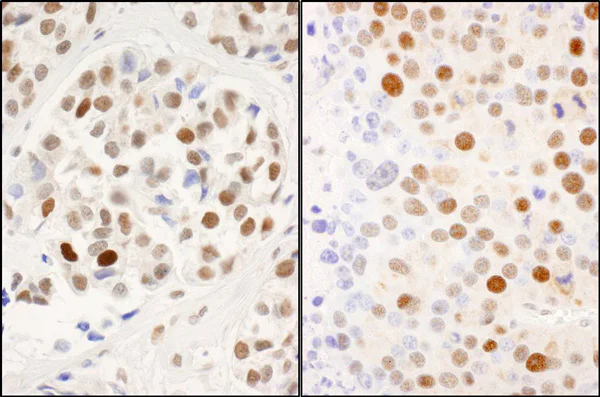
Immunohistochemistry (Formalin/PFA-fixed paraffin-embedded sections) - Anti-MCM2 (phospho S53) antibody (AB70367)
  • IHC-P

Unknown

Immunohistochemistry (Formalin/PFA-fixed paraffin-embedded sections) - Anti-MCM2 (phospho S53) antibody (AB70367)

Immunohistochemistry (Formalin/PFA-fixed paraffin-embedded sections) analysis of human breast carcinoma (left) and mouse renal cell carcinoma (right) tissues labelling MCM2 (phospho S53) with ab70367 at 1/200 (1µg/ml). Detection : DAB.

Western blot - Anti-MCM2 (phospho S53) antibody (AB70367)
  • WB

Unknown

Western blot - Anti-MCM2 (phospho S53) antibody (AB70367)

The bottom panel shows total MCM2 staining; the blot was stripped and then blotted with rabbit anti-total MCM2 antibody at 0.1 μg/ml. Detection : Chemiluminescence with exposure times of 3 minutes (upper panel) and 10 seconds (lower panel).

All lanes:

Western blot - Anti-MCM2 (phospho S53) antibody (ab70367) at 0.1 µg/mL

Lane 1:

Whole cell lysate from asynchronous 293T cells at 50 µg

Lane 2:

Whole cell lysate from asynchronous 293T cells treated with a phosphatase. at 50 µg

Predicted band size: 102 kDa

Observed band size: 117 kDa

false

Western blot - Anti-MCM2 (phospho S53) antibody (AB70367)
  • WB

CiteAb

Western blot - Anti-MCM2 (phospho S53) antibody (AB70367)

MCM2 (phospho S53) western blot using anti-MCM2 (phospho S53) antibody ab70367. Publication image and figure legend from Rodriguez-Acebes, S., Mourón, S., et al., 2018, J Biol Chem, PubMed 29959228.

ab70367 was used in this publication in western blot. This may not be the same as the application(s) guaranteed by Abcam. For a full list of applications guaranteed by Abcam for ab70367 please see the product overview.

The CDC7i test determines that low FR is the primary effect of PrimPol down-regulation.A, schematic of the simultaneous reduction in FR and IOD (higher origin density) caused by PrimPol down-regulation in HeLa cells (data shown in C–H). The CDC7i test can be applied. B, immunoblots showing the down-regulation of PrimPol and the effect of CDC7i on MCM2 phosphorylation at Ser-53. MEK2 levels are shown as a loading control. The first two lanes show serial 2-fold dilutions of the control condition (third lane) for comparison purposes. C–E, the result of applying the APH test. HeLa cells were treated with doxycycline for 4 days to induce shPrimPol, and 5 μm APH was added for 2 h when indicated. C, distribution of FR values (from left to right; n = 617, 615, 617, and 627). D, origin activity as determined by percentage of first-label origin structures (left panel; n = 1037, 1037, 1013, and 1044 total structures) and distribution of IOD values (right panel; n = 102, 107, 105, and 103). E, representative images of DNA fibers in HeLa cells treated as in C and D. Scale bar = 10 μm. F–H, HeLa cells were treated with doxycycline for 4 days to induce shPrimPol, and 60 μm CDC7i was added for 12 h when indicated. F, distribution of FR values (from left to right, n = 934, 979, 901, and 914). G, origin activity determined by percentage of first-label origin structures (left panel; n = 1514, 1588, 1641, and 1525 total structures) and distribution of IOD values (right panel; n = 141, 157, 37, and 39). H, representative images of DNA fibers in HeLa cells treated as indicated in F and G. Scale bar = 10 μm. In the dot plots, median values are indicated by horizontal lines. Bar graphs represent mean ± S.D. In C–E, data were pooled from two independent experiments. In F–H, data were pooled from three independent experiments.

false

Key facts

Host species

Rabbit

Clonality

Polyclonal

Isotype

IgG

Carrier free

No

Reacts with

Mouse, Human

Applications

IHC-P, WB

applications

Immunogen

Synthetic Peptide within Human MCM2 phospho S53. The exact immunogen used to generate this antibody is proprietary information.

P49736

Reactivity data

{ "title": "Reactivity Data", "filters": { "stats": ["", "Species", "Dilution Info", "Notes"], "tabs": { "all-applications": {"fullname" : "All Applications", "shortname": "All Applications"}, "IHCP" : {"fullname" : "Immunohistochemistry (Formalin/PFA-fixed paraffin-embedded sections)", "shortname":"IHC-P"}, "WB" : {"fullname" : "Western blot", "shortname":"WB"} }, "product-promise": { "all": "all", "testedAndGuaranteed": "tested", "guaranteed": "expected", "predicted": "predicted", "notRecommended": "not-recommended" } }, "values": { "Human": { "IHCP-species-checked": "testedAndGuaranteed", "IHCP-species-dilution-info": "1/100 - 1/500", "IHCP-species-notes": "<p></p> Perform heat-mediated antigen retrieval with citrate buffer pH 6 before commencing with IHC staining protocol.", "WB-species-checked": "testedAndGuaranteed", "WB-species-dilution-info": "1/1000 - 1/2500", "WB-species-notes": "<p></p>" }, "Mouse": { "IHCP-species-checked": "testedAndGuaranteed", "IHCP-species-dilution-info": "1/100 - 1/500", "IHCP-species-notes": "<p></p> Perform heat-mediated antigen retrieval with citrate buffer pH 6 before commencing with IHC staining protocol.", "WB-species-checked": "guaranteed", "WB-species-dilution-info": "", "WB-species-notes": "" }, "Rat": { "IHCP-species-checked": "predicted", "IHCP-species-dilution-info": "", "IHCP-species-notes": "", "WB-species-checked": "predicted", "WB-species-dilution-info": "", "WB-species-notes": "" }, "Chicken": { "IHCP-species-checked": "predicted", "IHCP-species-dilution-info": "", "IHCP-species-notes": "", "WB-species-checked": "predicted", "WB-species-dilution-info": "", "WB-species-notes": "" }, "Chimpanzee": { "IHCP-species-checked": "predicted", "IHCP-species-dilution-info": "", "IHCP-species-notes": "", "WB-species-checked": "predicted", "WB-species-dilution-info": "", "WB-species-notes": "" }, "Cow": { "IHCP-species-checked": "predicted", "IHCP-species-dilution-info": "", "IHCP-species-notes": "", "WB-species-checked": "predicted", "WB-species-dilution-info": "", "WB-species-notes": "" }, "Dog": { "IHCP-species-checked": "predicted", "IHCP-species-dilution-info": "", "IHCP-species-notes": "", "WB-species-checked": "predicted", "WB-species-dilution-info": "", "WB-species-notes": "" }, "Gorilla": { "IHCP-species-checked": "predicted", "IHCP-species-dilution-info": "", "IHCP-species-notes": "", "WB-species-checked": "predicted", "WB-species-dilution-info": "", "WB-species-notes": "" }, "Guinea pig": { "IHCP-species-checked": "predicted", "IHCP-species-dilution-info": "", "IHCP-species-notes": "", "WB-species-checked": "predicted", "WB-species-dilution-info": "", "WB-species-notes": "" }, "Horse": { "IHCP-species-checked": "predicted", "IHCP-species-dilution-info": "", "IHCP-species-notes": "", "WB-species-checked": "predicted", "WB-species-dilution-info": "", "WB-species-notes": "" }, "Orangutan": { "IHCP-species-checked": "predicted", "IHCP-species-dilution-info": "", "IHCP-species-notes": "", "WB-species-checked": "predicted", "WB-species-dilution-info": "", "WB-species-notes": "" }, "Pig": { "IHCP-species-checked": "predicted", "IHCP-species-dilution-info": "", "IHCP-species-notes": "", "WB-species-checked": "predicted", "WB-species-dilution-info": "", "WB-species-notes": "" }, "Rabbit": { "IHCP-species-checked": "predicted", "IHCP-species-dilution-info": "", "IHCP-species-notes": "", "WB-species-checked": "predicted", "WB-species-dilution-info": "", "WB-species-notes": "" }, "Rhesus monkey": { "IHCP-species-checked": "predicted", "IHCP-species-dilution-info": "", "IHCP-species-notes": "", "WB-species-checked": "predicted", "WB-species-dilution-info": "", "WB-species-notes": "" }, "Turkey": { "IHCP-species-checked": "predicted", "IHCP-species-dilution-info": "", "IHCP-species-notes": "", "WB-species-checked": "predicted", "WB-species-dilution-info": "", "WB-species-notes": "" }, "Zebrafish": { "IHCP-species-checked": "predicted", "IHCP-species-dilution-info": "", "IHCP-species-notes": "", "WB-species-checked": "predicted", "WB-species-dilution-info": "", "WB-species-notes": "" } } }

Properties and storage information

Form
Liquid
Purification technique
Affinity purification Immunogen
Storage buffer
pH: 6.8 - 7.4 Preservative: 0.09% Sodium azide Constituents: Tris buffered saline, 0.1% BSA
Shipped at conditions
Blue Ice
Appropriate short-term storage conditions
+4°C
Appropriate long-term storage conditions
+4°C
Aliquoting information
Upon delivery aliquot
Storage information
Avoid freeze / thaw cycle

Supplementary information

This supplementary information is collated from multiple sources and compiled automatically.

MCM2 or Minichromosome Maintenance Complex Component 2 is a protein involved in the initiation of DNA replication. It plays a central role in the formation of the pre-replication complex which is necessary for DNA unwinding and replication fork progression. The molecular weight of MCM2 is approximately 100 kDa. It is expressed ubiquitously in proliferating cells as its function is necessary for DNA replication. Researchers often use terms like MCM-2 MC M2 or PMC M2 when discussing varying aspects of its function and interaction with other proteins in scientific literature.
Biological function summary

MCM2 is part of the heterohexameric MCM complex including other proteins like MCM3 to MCM7. This complex serves as a helicase unwinding DNA to allow replication machinery access to the template strand. The activity of the MCM complex is tightly regulated to ensure that every section of genomic DNA is replicated once per cell cycle. Its proper function ensures genetic information replication accuracy and contributes to genome stability.

Pathways

MCM2 participates in essential biological processes such as the DNA replication pathway and the cell cycle regulatory pathway. The presence of MCM2 is critical for the G1/S transition phase of the cell cycle. It interacts with other proteins including CDC45 and GINS forming the active CMG helicase complex. This complex is pivotal in orchestrating the replication machinery and signaling pathway responses to ensure appropriate replication origin firing and accurate DNA synthesis.

MCM2 is often associated with cancer and some types of genomic instability disorders. Its overexpression can lead to uncontrolled cell proliferation a hallmark of cancer. MCM2 expression levels can be a marker in distinguishing certain tumors acting as a potential therapeutic target. The protein's interaction with components like cyclin-dependent kinases (CDKs) can influence pathways leading to malignant transformation and suggests its involvement in tumorigenesis and potential as a target for anticuerpos or antibodies in disease treatment.

Product protocols

For this product, it's our understanding that no specific protocols are required. You can visit:

Target data

Acts as a component of the MCM2-7 complex (MCM complex) which is the replicative helicase essential for 'once per cell cycle' DNA replication initiation and elongation in eukaryotic cells. Core component of CDC45-MCM-GINS (CMG) helicase, the molecular machine that unwinds template DNA during replication, and around which the replisome is built (PubMed : 32453425, PubMed : 34694004, PubMed : 34700328, PubMed : 35585232). The active ATPase sites in the MCM2-7 ring are formed through the interaction surfaces of two neighboring subunits such that a critical structure of a conserved arginine finger motif is provided in trans relative to the ATP-binding site of the Walker A box of the adjacent subunit. The six ATPase active sites, however, are likely to contribute differentially to the complex helicase activity (PubMed : 32453425). Required for the entry in S phase and for cell division (PubMed : 8175912). Plays a role in terminally differentiated hair cells development of the cochlea and induces cells apoptosis (PubMed : 26196677).
See full target information MCM2 phospho S53

Publications (4)

Recent publications for all applications. Explore the full list and refine your search

Nature communications 16:5706 PubMed40593507

2025

DNA polymerase α/primase extraction from chromatin by VCP/p97 restricts ATR activation during unperturbed DNA replication.

Applications

Unspecified application

Species

Unspecified reactive species

Sara Rodríguez-Acebes,Rodrigo Martín-Rufo,Alicia Gómez-Moya,Scott B Churcher,Alejandro Fernández-Llorente,Guillermo de la Vega-Barranco,Alejandra Perona,Pilar Oroz,Elena Martín-Doncel,Luis Ignacio Toledo,Juan Méndez,Emilio Lecona

The Journal of biological chemistry 293:12855-12861 PubMed29959228

2018

Uncoupling fork speed and origin activity to identify the primary cause of replicative stress phenotypes.

Applications

Unspecified application

Species

Unspecified reactive species

Sara Rodriguez-Acebes,Silvana Mourón,Juan Méndez

Nature communications 9:1590 PubMed29686321

2018

Chromatin conformation regulates the coordination between DNA replication and transcription.

Applications

Unspecified application

Species

Unspecified reactive species

Ricardo Almeida,José Miguel Fernández-Justel,Cristina Santa-María,Jean-Charles Cadoret,Laura Cano-Aroca,Rodrigo Lombraña,Gonzalo Herranz,Alessandra Agresti,María Gómez

Nature 467:343-6 PubMed20818375

2010

Phosphorylation of MLL by ATR is required for execution of mammalian S-phase checkpoint.

Applications

WB

Species

Human

Han Liu,Shugaku Takeda,Rakesh Kumar,Todd D Westergard,Eric J Brown,Tej K Pandita,Emily H-Y Cheng,James J-D Hsieh
View all publications

Product promise

We are committed to supporting your work with high-quality reagents, and we're here for you every step of the way. In the unlikely event that one of our products does not perform as expected, you're protected by our Product Promise.
For full details, please see our Terms & Conditions

Please note: All products are 'FOR RESEARCH USE ONLY. NOT FOR USE IN DIAGNOSTIC OR THERAPEUTIC PROCEDURES'.

For licensing inquiries, please contact partnerships@abcam.com