JavaScript is disabled in your browser. Please enable JavaScript to view this website.
AB109133

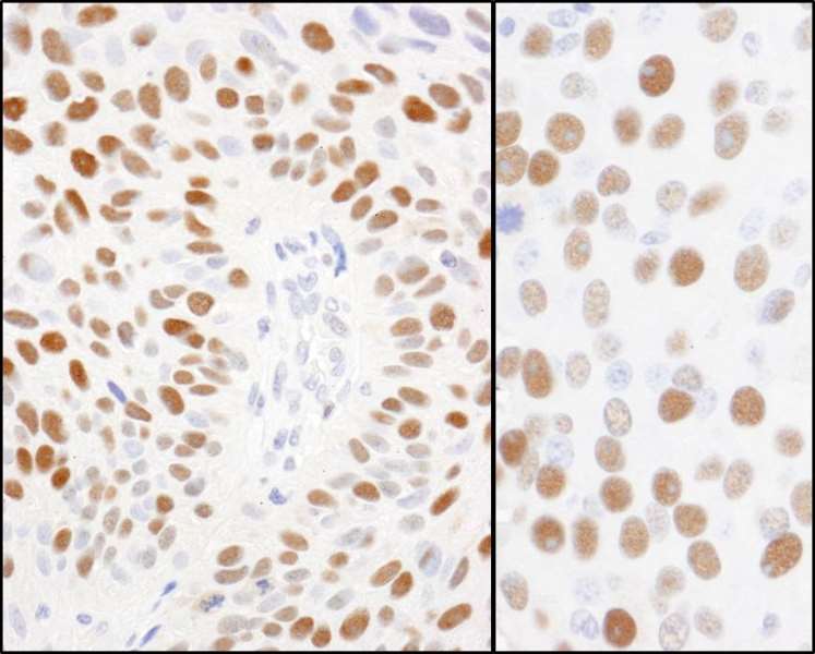
Anti-MCM2 (phospho S53) antibody [EP4120]

5

(4 Reviews)

|

(11 Publications)

Rabbit Recombinant Monoclonal MCM2 phospho S53 antibody. Suitable for IHC-P, WB, ICC/IF, Flow Cyt (Intra) and reacts with Human, Mouse, Rat samples. Cited in 11 publications.

View Alternative Names

BM28, CCNL1, CDCL1, KIAA0030, MCM2, DNA replication licensing factor MCM2, Minichromosome maintenance protein 2 homolog, Nuclear protein BM28

Key facts

Host species

Rabbit

Clonality

Monoclonal

Clone number

EP4120

Isotype

IgG

Carrier free

No

Reacts with

Mouse, Rat, Human

Applications

Flow Cyt (Intra), ICC/IF, WB, IHC-P

applications

Immunogen

The exact immunogen used to generate this antibody is proprietary information.

Reactivity data

{ "title": "Reactivity Data", "filters": { "stats": ["", "Species", "Dilution Info", "Notes"], "tabs": { "all-applications": {"fullname" : "All Applications", "shortname": "All Applications"}, "IHCP" : {"fullname" : "Immunohistochemistry (Formalin/PFA-fixed paraffin-embedded sections)", "shortname":"IHC-P"}, "IP" : {"fullname" : "Immunoprecipitation", "shortname":"IP"}, "FlowCyt" : {"fullname" : "Flow Cytometry", "shortname":"Flow Cyt"}, "WB" : {"fullname" : "Western blot", "shortname":"WB"}, "ICCIF" : {"fullname" : "Immunocytochemistry/ Immunofluorescence", "shortname":"ICC/IF"}, "FlowCytIntra" : {"fullname" : "Flow Cytometry (Intracellular)", "shortname":"Flow Cyt (Intra)"} }, "product-promise": { "all": "all", "testedAndGuaranteed": "tested", "guaranteed": "expected", "predicted": "predicted", "notRecommended": "not-recommended" } }, "values": { "Human": { "IHCP-species-checked": "testedAndGuaranteed", "IHCP-species-dilution-info": "1/2400", "IHCP-species-notes": "<p></p> Perform heat-mediated antigen retrieval before commencing with IHC staining protocol.", "IP-species-checked": "notRecommended", "IP-species-dilution-info": "", "IP-species-notes": "<p></p>", "FlowCyt-species-checked": "notRecommended", "FlowCyt-species-dilution-info": "", "FlowCyt-species-notes": "<p></p>", "WB-species-checked": "testedAndGuaranteed", "WB-species-dilution-info": "1/1000", "WB-species-notes": "<p></p>", "ICCIF-species-checked": "testedAndGuaranteed", "ICCIF-species-dilution-info": "1/50", "ICCIF-species-notes": "<p></p>", "FlowCytIntra-species-checked": "testedAndGuaranteed", "FlowCytIntra-species-dilution-info": "1/20", "FlowCytIntra-species-notes": "<p></p>" }, "Mouse": { "IHCP-species-checked": "testedAndGuaranteed", "IHCP-species-dilution-info": "1/2400", "IHCP-species-notes": "<p></p> Perform heat-mediated antigen retrieval before commencing with IHC staining protocol.", "IP-species-checked": "notRecommended", "IP-species-dilution-info": "", "IP-species-notes": "", "FlowCyt-species-checked": "notRecommended", "FlowCyt-species-dilution-info": "", "FlowCyt-species-notes": "", "WB-species-checked": "testedAndGuaranteed", "WB-species-dilution-info": "1/1000", "WB-species-notes": "<p></p>", "ICCIF-species-checked": "guaranteed", "ICCIF-species-dilution-info": "", "ICCIF-species-notes": "", "FlowCytIntra-species-checked": "guaranteed", "FlowCytIntra-species-dilution-info": "", "FlowCytIntra-species-notes": "" }, "Rat": { "IHCP-species-checked": "testedAndGuaranteed", "IHCP-species-dilution-info": "1/2400", "IHCP-species-notes": "<p></p> Perform heat-mediated antigen retrieval before commencing with IHC staining protocol.", "IP-species-checked": "notRecommended", "IP-species-dilution-info": "", "IP-species-notes": "", "FlowCyt-species-checked": "notRecommended", "FlowCyt-species-dilution-info": "", "FlowCyt-species-notes": "", "WB-species-checked": "testedAndGuaranteed", "WB-species-dilution-info": "1/1000", "WB-species-notes": "<p></p>", "ICCIF-species-checked": "guaranteed", "ICCIF-species-dilution-info": "", "ICCIF-species-notes": "", "FlowCytIntra-species-checked": "guaranteed", "FlowCytIntra-species-dilution-info": "", "FlowCytIntra-species-notes": "" } } }

Product details

Patented technology
Our RabMAb® technology is a patented hybridoma-based technology for making rabbit monoclonal antibodies. For details on our patents, please refer to RabMAb® patents.

What are the advantages of a recombinant monoclonal antibody?
This product is a recombinant monoclonal antibody, which offers several advantages including:

  • - High batch-to-batch consistency and reproducibility
  • - Improved sensitivity and specificity
  • - Long-term security of supply
  • - Animal-free batch production

For more information, read more on recombinant antibodies.

Properties and storage information

Form
Liquid
Purification technique
Affinity purification Protein A
Storage buffer
pH: 7.2 - 7.4 Preservative: 0.01% Sodium azide Constituents: PBS, 40% Glycerol (glycerin, glycerine), 0.05% BSA
Shipped at conditions
Blue Ice
Appropriate short-term storage conditions
+4°C
Appropriate long-term storage conditions
-20°C
Storage information
Stable for 12 months at -20°C

Supplementary information

This supplementary information is collated from multiple sources and compiled automatically.

MCM2 or Minichromosome Maintenance Complex Component 2 is a protein involved in the initiation of DNA replication. It plays a central role in the formation of the pre-replication complex which is necessary for DNA unwinding and replication fork progression. The molecular weight of MCM2 is approximately 100 kDa. It is expressed ubiquitously in proliferating cells as its function is necessary for DNA replication. Researchers often use terms like MCM-2 MC M2 or PMC M2 when discussing varying aspects of its function and interaction with other proteins in scientific literature.
Biological function summary

MCM2 is part of the heterohexameric MCM complex including other proteins like MCM3 to MCM7. This complex serves as a helicase unwinding DNA to allow replication machinery access to the template strand. The activity of the MCM complex is tightly regulated to ensure that every section of genomic DNA is replicated once per cell cycle. Its proper function ensures genetic information replication accuracy and contributes to genome stability.

Pathways

MCM2 participates in essential biological processes such as the DNA replication pathway and the cell cycle regulatory pathway. The presence of MCM2 is critical for the G1/S transition phase of the cell cycle. It interacts with other proteins including CDC45 and GINS forming the active CMG helicase complex. This complex is pivotal in orchestrating the replication machinery and signaling pathway responses to ensure appropriate replication origin firing and accurate DNA synthesis.

MCM2 is often associated with cancer and some types of genomic instability disorders. Its overexpression can lead to uncontrolled cell proliferation a hallmark of cancer. MCM2 expression levels can be a marker in distinguishing certain tumors acting as a potential therapeutic target. The protein's interaction with components like cyclin-dependent kinases (CDKs) can influence pathways leading to malignant transformation and suggests its involvement in tumorigenesis and potential as a target for anticuerpos or antibodies in disease treatment.

Product protocols

For this product, it's our understanding that no specific protocols are required. You can visit:

Target data

Acts as a component of the MCM2-7 complex (MCM complex) which is the replicative helicase essential for 'once per cell cycle' DNA replication initiation and elongation in eukaryotic cells. Core component of CDC45-MCM-GINS (CMG) helicase, the molecular machine that unwinds template DNA during replication, and around which the replisome is built (PubMed : 32453425, PubMed : 34694004, PubMed : 34700328, PubMed : 35585232). The active ATPase sites in the MCM2-7 ring are formed through the interaction surfaces of two neighboring subunits such that a critical structure of a conserved arginine finger motif is provided in trans relative to the ATP-binding site of the Walker A box of the adjacent subunit. The six ATPase active sites, however, are likely to contribute differentially to the complex helicase activity (PubMed : 32453425). Required for the entry in S phase and for cell division (PubMed : 8175912). Plays a role in terminally differentiated hair cells development of the cochlea and induces cells apoptosis (PubMed : 26196677).
See full target information MCM2 phospho S53

Publications (11)

Recent publications for all applications. Explore the full list and refine your search

PLoS pathogens 20:e1012663 PubMed39636788

2024

Single-cell analysis reveals host S phase drives large T antigen expression during BK polyomavirus infection.

Applications

Unspecified application

Species

Unspecified reactive species

Jason M Needham,Sarah E Perritt,Sunnie R Thompson

International journal of molecular sciences 24: PubMed37445805

2023

Firing of Replication Origins Is Disturbed by a CDK4/6 Inhibitor in a pRb-Independent Manner.

Applications

Unspecified application

Species

Unspecified reactive species

Su-Jung Kim,Chrystelle Maric,Lina-Marie Briu,Fabien Fauchereau,Giuseppe Baldacci,Michelle Debatisse,Stéphane Koundrioukoff,Jean-Charles Cadoret

Cell reports 39:110871 PubMed35649380

2022

Disrupted control of origin activation compromises genome integrity upon destabilization of Polε and dysfunction of the TRP53-CDKN1A/P21 axis.

Applications

Unspecified application

Species

Unspecified reactive species

Valerie Borel,Stefan Boeing,Niek Van Wietmarschen,Sriram Sridharan,Bethany Rebekah Hill,Luigi Ombrato,Jimena Perez-Lloret,Deb Jackson,Robert Goldstone,Simon J Boulton,Andre Nussenzweig,Roberto Bellelli

Genome medicine 13:166 PubMed34663432

2021

Targeting CDC7 potentiates ATR-CHK1 signaling inhibition through induction of DNA replication stress in liver cancer.

Applications

Unspecified application

Species

Unspecified reactive species

Yuchen Guo,Jun Wang,Bente Benedict,Chen Yang,Frank van Gemert,Xuhui Ma,Dongmei Gao,Hui Wang,Shu Zhang,Cor Lieftink,Roderick L Beijersbergen,Hein Te Riele,Xiaohang Qiao,Qiang Gao,Chong Sun,Wenxin Qin,René Bernards,Cun Wang

Nucleic acids research 48:7844-7855 PubMed32652013

2020

A kinase-independent function for AURORA-A in replisome assembly during DNA replication initiation.

Applications

Unspecified application

Species

Unspecified reactive species

Estrella Guarino Almeida,Xavier Renaudin,Ashok R Venkitaraman

Nature communications 11:2109 PubMed32355159

2020

Timed inhibition of CDC7 increases CRISPR-Cas9 mediated templated repair.

Applications

Unspecified application

Species

Unspecified reactive species

Beeke Wienert,David N Nguyen,Alexis Guenther,Sharon J Feng,Melissa N Locke,Stacia K Wyman,Jiyung Shin,Katelynn R Kazane,Georgia L Gregory,Matthew A M Carter,Francis Wright,Bruce R Conklin,Alex Marson,Chris D Richardson,Jacob E Corn

Nature 574:268-272 PubMed31578521

2019

Inducing and exploiting vulnerabilities for the treatment of liver cancer.

Applications

Unspecified application

Species

Unspecified reactive species

Cun Wang,Serena Vegna,Haojie Jin,Bente Benedict,Cor Lieftink,Christel Ramirez,Rodrigo Leite de Oliveira,Ben Morris,Jules Gadiot,Wei Wang,Aimée du Chatinier,Liqin Wang,Dongmei Gao,Bastiaan Evers,Guangzhi Jin,Zheng Xue,Arnout Schepers,Fleur Jochems,Antonio Mulero Sanchez,Sara Mainardi,Hein Te Riele,Roderick L Beijersbergen,Wenxin Qin,Leila Akkari,René Bernards

Molecular cell 76:516-527.e7 PubMed31492635

2019

PTEN Suppresses Glycolysis by Dephosphorylating and Inhibiting Autophosphorylated PGK1.

Applications

Unspecified application

Species

Unspecified reactive species

Xu Qian,Xinjian Li,Zhumei Shi,Yan Xia,Qingsong Cai,Daqian Xu,Lin Tan,Linyong Du,Yanhua Zheng,Dan Zhao,Chuanbao Zhang,Philip L Lorenzi,Yongping You,Bing-Hua Jiang,Tao Jiang,Haitao Li,Zhimin Lu

Molecular cell 72:650-660.e8 PubMed30392930

2018

Nuclear PGK1 Alleviates ADP-Dependent Inhibition of CDC7 to Promote DNA Replication.

Applications

Unspecified application

Species

Unspecified reactive species

Xinjian Li,Xu Qian,Hongfei Jiang,Yan Xia,Yanhua Zheng,Jing Li,Bi-Jun Huang,Jing Fang,Chao-Nan Qian,Tao Jiang,Yi-Xin Zeng,Zhimin Lu

Oncogene 36:5808-5818 PubMed28604743

2017

Shortage of dNTPs underlies altered replication dynamics and DNA breakage in the absence of the APC/C cofactor Cdh1.

Applications

Unspecified application

Species

Unspecified reactive species

J Garzón,R Rodríguez,Z Kong,A Chabes,S Rodríguez-Acebes,J Méndez,S Moreno,I García-Higuera
View all publications

Product promise

We are committed to supporting your work with high-quality reagents, and we're here for you every step of the way. In the unlikely event that one of our products does not perform as expected, you're protected by our Product Promise.
For full details, please see our Terms & Conditions

Please note: All products are 'FOR RESEARCH USE ONLY. NOT FOR USE IN DIAGNOSTIC OR THERAPEUTIC PROCEDURES'.

For licensing inquiries, please contact partnerships@abcam.com