JavaScript is disabled in your browser. Please enable JavaScript to view this website.
AB128923

Anti-MCM3 antibody [EPR7080]

Be the first to review this product! Submit a review

|

(8 Publications)

Rabbit Recombinant Monoclonal MCM3 antibody. Suitable for IHC-P, WB, Flow Cyt (Intra) and reacts with Human, Rat, Mouse samples. Cited in 8 publications.

View Alternative Names

DNA replication licensing factor MCM3, DNA polymerase alpha holoenzyme-associated protein P1, P1-MCM3, RLF subunit beta, p102, MCM3

9 Images
Immunohistochemistry (Formalin/PFA-fixed paraffin-embedded sections) - Anti-MCM3 antibody [EPR7080] (AB128923)
  • IHC-P

Unknown

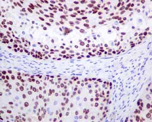
Immunohistochemistry (Formalin/PFA-fixed paraffin-embedded sections) - Anti-MCM3 antibody [EPR7080] (AB128923)

ab128923 showing positive staining in Breast carcinoma tissue.

Perform heat mediated antigen retrieval before commencing with IHC staining protocol.

Flow Cytometry (Intracellular) - Anti-MCM3 antibody [EPR7080] (AB128923)
  • Flow Cyt (Intra)

Lab

Flow Cytometry (Intracellular) - Anti-MCM3 antibody [EPR7080] (AB128923)

Intracellular Flow Cytometry analysis of K562 (human chronic myelogenous leukemia) cells labeling MCM3 with unpurified ab128923 at 1/900 dilution (1ug/ml) (red). Cells were fixed with 4% paraformaldehyde and permeabilised with 90% methanol. A Goat anti rabbit IgG (Alexa Fluorr® 488) (1/2000 dilution) was used as the secondary antibody. Rabbit monoclonal IgG (Black) was used as the isotype control, cells without incubation with primary antibody and secondary antibody (Blue) were used as the unlabeled control.

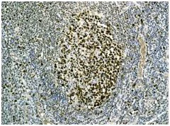
Immunohistochemistry (Formalin/PFA-fixed paraffin-embedded sections) - Anti-MCM3 antibody [EPR7080] (AB128923)
  • IHC-P

Unknown

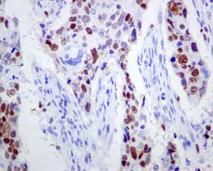
Immunohistochemistry (Formalin/PFA-fixed paraffin-embedded sections) - Anti-MCM3 antibody [EPR7080] (AB128923)

ab128923 showing positive staining in Cervical carcinoma tissue.

Perform heat mediated antigen retrieval before commencing with IHC staining protocol.

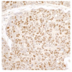
Immunohistochemistry (Formalin/PFA-fixed paraffin-embedded sections) - Anti-MCM3 antibody [EPR7080] (AB128923)
  • IHC-P

Unknown

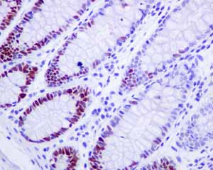
Immunohistochemistry (Formalin/PFA-fixed paraffin-embedded sections) - Anti-MCM3 antibody [EPR7080] (AB128923)

ab128923 at 1/100 dilution staining MCM3 in paraffin-embedded Human colon tissue by immunohistochemistry.

Perform heat mediated antigen retrieval before commencing with IHC staining protocol.

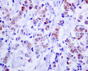
Immunohistochemistry (Formalin/PFA-fixed paraffin-embedded sections) - Anti-MCM3 antibody [EPR7080] (AB128923)
  • IHC-P

Unknown

Immunohistochemistry (Formalin/PFA-fixed paraffin-embedded sections) - Anti-MCM3 antibody [EPR7080] (AB128923)

ab128923 at 1/100 dilution staining MCM3 in paraffin-embedded Human tonsil tissue by immunohistochemistry.

Perform heat mediated antigen retrieval before commencing with IHC staining protocol.

Western blot - Anti-MCM3 antibody [EPR7080] (AB128923)
  • WB

Unknown

Western blot - Anti-MCM3 antibody [EPR7080] (AB128923)

All lanes:

Western blot - Anti-MCM3 antibody [EPR7080] (ab128923) at 1/1000 dilution

Lane 1:

L6 cell lysate at 10 µg

Lane 2:

C6 cell lysate at 10 µg

Lane 3:

RAW 264.7 cell lysate at 10 µg

Lane 4:

PC-12 cell lysate at 10 µg

Lane 5:

NIH/3T3 cell lysate at 10 µg

Lane 6:

HeLa cell lysate at 10 µg

Lane 7:

K562 cell lysate at 10 µg

Lane 8:

HepG2 cell lysate at 10 µg

Lane 9:

U937 cell lysate at 10 µg

Lane 10:

293T cell lysate at 10 µg

Secondary

All lanes:

Goat anti-rabbit HRP at 1/2000 dilution

Predicted band size: 91 kDa

false

Immunohistochemistry (Formalin/PFA-fixed paraffin-embedded sections) - Anti-MCM3 antibody [EPR7080] (AB128923)
  • IHC-P

Unknown

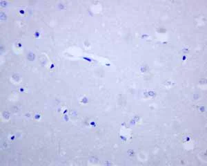
Immunohistochemistry (Formalin/PFA-fixed paraffin-embedded sections) - Anti-MCM3 antibody [EPR7080] (AB128923)

ab128923 showing negative staining in Normal brain tissue.

Perform heat mediated antigen retrieval before commencing with IHC staining protocol.

Immunohistochemistry (Formalin/PFA-fixed paraffin-embedded sections) - Anti-MCM3 antibody [EPR7080] (AB128923)
  • IHC-P

Unknown

Immunohistochemistry (Formalin/PFA-fixed paraffin-embedded sections) - Anti-MCM3 antibody [EPR7080] (AB128923)

ab128923 showing positive staining in Lung carcinoma tissue.

Perform heat mediated antigen retrieval before commencing with IHC staining protocol.

Immunohistochemistry (Formalin/PFA-fixed paraffin-embedded sections) - Anti-MCM3 antibody [EPR7080] (AB128923)
  • IHC-P

Unknown

Immunohistochemistry (Formalin/PFA-fixed paraffin-embedded sections) - Anti-MCM3 antibody [EPR7080] (AB128923)

ab128923 showing positive staining in Normal colon tissue.

Perform heat mediated antigen retrieval before commencing with IHC staining protocol.

  • Carrier free

    Anti-MCM3 antibody [EPR7080] - BSA and Azide free

Key facts

Host species

Rabbit

Clonality

Monoclonal

Clone number

EPR7080

Isotype

IgG

Carrier free

No

Reacts with

Mouse, Rat, Human

Applications

IHC-P, WB, Flow Cyt (Intra)

applications

Immunogen

The exact immunogen used to generate this antibody is proprietary information.

Reactivity data

{ "title": "Reactivity Data", "filters": { "stats": ["", "Species", "Dilution Info", "Notes"], "tabs": { "all-applications": {"fullname" : "All Applications", "shortname": "All Applications"}, "IHCP" : {"fullname" : "Immunohistochemistry (Formalin/PFA-fixed paraffin-embedded sections)", "shortname":"IHC-P"}, "IP" : {"fullname" : "Immunoprecipitation", "shortname":"IP"}, "WB" : {"fullname" : "Western blot", "shortname":"WB"}, "FlowCytIntra" : {"fullname" : "Flow Cytometry (Intracellular)", "shortname":"Flow Cyt (Intra)"} }, "product-promise": { "all": "all", "testedAndGuaranteed": "tested", "guaranteed": "expected", "predicted": "predicted", "notRecommended": "not-recommended" } }, "values": { "Human": { "IHCP-species-checked": "testedAndGuaranteed", "IHCP-species-dilution-info": "1/100 - 1/250", "IHCP-species-notes": "<p></p>", "IP-species-checked": "notRecommended", "IP-species-dilution-info": "", "IP-species-notes": "<p></p>", "WB-species-checked": "testedAndGuaranteed", "WB-species-dilution-info": "1/1000 - 1/10000", "WB-species-notes": "<p></p>", "FlowCytIntra-species-checked": "testedAndGuaranteed", "FlowCytIntra-species-dilution-info": "", "FlowCytIntra-species-notes": "<p></p>" }, "Mouse": { "IHCP-species-checked": "guaranteed", "IHCP-species-dilution-info": "", "IHCP-species-notes": "", "IP-species-checked": "notRecommended", "IP-species-dilution-info": "", "IP-species-notes": "<p></p>", "WB-species-checked": "testedAndGuaranteed", "WB-species-dilution-info": "1/1000 - 1/10000", "WB-species-notes": "<p></p>", "FlowCytIntra-species-checked": "guaranteed", "FlowCytIntra-species-dilution-info": "", "FlowCytIntra-species-notes": "" }, "Rat": { "IHCP-species-checked": "guaranteed", "IHCP-species-dilution-info": "", "IHCP-species-notes": "", "IP-species-checked": "notRecommended", "IP-species-dilution-info": "", "IP-species-notes": "<p></p>", "WB-species-checked": "testedAndGuaranteed", "WB-species-dilution-info": "1/1000 - 1/10000", "WB-species-notes": "<p></p>", "FlowCytIntra-species-checked": "guaranteed", "FlowCytIntra-species-dilution-info": "", "FlowCytIntra-species-notes": "" } } }

Product details

Patented technology
Our RabMAb® technology is a patented hybridoma-based technology for making rabbit monoclonal antibodies. For details on our patents, please refer to RabMAb® patents.

What are the advantages of a recombinant monoclonal antibody?
This product is a recombinant monoclonal antibody, which offers several advantages including:

  • - High batch-to-batch consistency and reproducibility
  • - Improved sensitivity and specificity
  • - Long-term security of supply
  • - Animal-free batch production

For more information, read more on recombinant antibodies.

Properties and storage information

Form
Liquid
Purification technique
Affinity purification Protein A
Storage buffer
pH: 7.2 - 7.4 Preservative: 0.01% Sodium azide Constituents: PBS, 50% Tissue culture supernatant, 40% Glycerol (glycerin, glycerine), 0.05% BSA
Shipped at conditions
Blue Ice
Appropriate short-term storage conditions
+4°C
Appropriate long-term storage conditions
-20°C
Aliquoting information
Upon delivery aliquot
Storage information
Avoid freeze / thaw cycle

Supplementary information

This supplementary information is collated from multiple sources and compiled automatically.

The Minichromosome Maintenance Complex Component 3 also called MCM3 plays an important role in DNA replication. It is part of the MCM complex which acts as a helicase that unwinds DNA as part of its function. MCM3 has a molecular mass of approximately 100 kDa and is expressed across various tissues reflecting its fundamental role in cell cycle regulation. Researchers have identified MCM3’s presence not only in proliferating cells but also in areas of high DNA replication demand such as during embryonic development.
Biological function summary

The MCM3 protein is critical in establishing the prereplication complex which initiates DNA synthesis. It forms a heterohexamer along with other MCM proteins (MCM2 MCM4 MCM5 MCM6 and MCM7) constituting the core of the replication licensing system. By controlling the replication fork progression MCM3 ensures precise replication and genome stability. The complex’s activity is essential for the successful transition from the G1 phase to the S phase of the cell cycle.

Pathways

MCM3 is an important component of the cell cycle control pathway and DNA damage response pathway. It interacts with other key proteins such as CDC6 and CDT1 which regulate its loading onto chromatin. MCM3's helicase activity is an integral part of the replication machinery ensuring that DNA replication proceeds smoothly and accurately. By coordinating with proteins like Cyclin E MCM3 helps maintain the fidelity and timing of DNA replication safeguarding the genetic material.

Irregular expression or function of MCM3 has been linked to cancer and genomic instability disorders. Cancer cells often exhibit high levels of MCM3 which correlates with increased proliferation rates and aggressive tumor growth. Connections between MCM3 and the p53 protein highlight its potential role in tumorigenesis as p53 mutations often result in loss of genome integrity which MCM3 helps to safeguard. As such MCM3 serves not only as a marker for cancer diagnosis but also potentially as a therapeutic target.

Product protocols

For this product, it's our understanding that no specific protocols are required. You can visit:

Target data

Acts as a component of the MCM2-7 complex (MCM complex) which is the replicative helicase essential for 'once per cell cycle' DNA replication initiation and elongation in eukaryotic cells. Core component of CDC45-MCM-GINS (CMG) helicase, the molecular machine that unwinds template DNA during replication, and around which the replisome is built (PubMed : 32453425, PubMed : 34694004, PubMed : 34700328, PubMed : 35585232). The active ATPase sites in the MCM2-7 ring are formed through the interaction surfaces of two neighboring subunits such that a critical structure of a conserved arginine finger motif is provided in trans relative to the ATP-binding site of the Walker A box of the adjacent subunit. The six ATPase active sites, however, are likely to contribute differentially to the complex helicase activity (PubMed : 32453425). Required for the entry in S phase and for cell division (Probable).
See full target information MCM3

Publications (8)

Recent publications for all applications. Explore the full list and refine your search

Translational cancer research 13:173-190 PubMed38410201

2024

Preparation of hepatocellular carcinoma mRNA vaccines based on potential tumor targets and immunophenotypes.

Applications

Unspecified application

Species

Unspecified reactive species

Hai-Kuo Wang,Xuan-Hao Xu,Si-Ming Wang,He-Yun Zhang

Virchows Archiv : an international journal of pathology 480:855-871 PubMed34782936

2021

MCM3 is a novel proliferation marker associated with longer survival for patients with tubo-ovarian high-grade serous carcinoma.

Applications

Unspecified application

Species

Unspecified reactive species

Eun Young Kang,Joshua Millstein,Gordana Popovic,Nicola S Meagher,Adelyn Bolithon,Aline Talhouk,Derek S Chiu,Michael S Anglesio,Betty Leung,Katrina Tang,Neil Lambie,Marina Pavanello,Annalyn Da-Anoy,Diether Lambrechts,Liselore Loverix,Siel Olbrecht,Christiani Bisinotto,Jesus Garcia-Donas,Sergio Ruiz-Llorente,Monica Yagüe-Fernandez,Robert P Edwards,Esther Elishaev,Alexander Olawaiye,Sarah Taylor,Beyhan Ataseven,Andreas du Bois,Philipp Harter,Jenny Lester,Claus K Høgdall,Sebastian M Armasu,Yajue Huang,Robert A Vierkant,Chen Wang,Stacey J Winham,Sabine Heublein,Felix K F Kommoss,Daniel W Cramer,Naoko Sasamoto,Lilian van-Wagensveld,Maria Lycke,Constantina Mateoiu,Janine Joseph,Malcolm C Pike,Kunle Odunsi,Chiu-Chen Tseng,Celeste L Pearce,Sanela Bilic,Thomas P Conrads,Arndt Hartmann,Alexander Hein,Michael E Jones,Yee Leung,Matthias W Beckmann,Matthias Ruebner,Minouk J Schoemaker,Kathryn L Terry,Mona A El-Bahrawy,Penny Coulson,John L Etter,Katherine LaVigne-Mager,Juergen Andress,Marcel Grube,Anna Fischer,Nina Neudeck,Greg Robertson,Rhonda Farrell,Ellen Barlow,Carmel Quinn,Anusha Hettiaratchi,Yovanni Casablanca,Ramona Erber,Colin J R Stewart,Adeline Tan,Yu Yu,Jessica Boros,Alison H Brand,Paul R Harnett,Catherine J Kennedy,Nikilyn Nevins,Terry Morgan,Peter A Fasching,Ignace Vergote,Anthony J Swerdlow,Francisco J Candido Dos Reis,G Larry Maxwell,Susan L Neuhausen,Arantzazu Barquin-Garcia,Francesmary Modugno,Kirsten B Moysich,Philip J Crowe,Akira Hirasawa,Florian Heitz,Beth Y Karlan,Ellen L Goode,Peter Sinn,Hugo M Horlings,Estrid Høgdall,Karin Sundfeldt,Stefan Kommoss,Annette Staebler,Anna H Wu,Paul A Cohen,Anna DeFazio,Cheng-Han Lee,Helen Steed,Nhu D Le,Simon A Gayther,Kate Lawrenson,Paul D P Pharoah,Gottfried Konecny,Linda S Cook,Susan J Ramus,Linda E Kelemen,Martin Köbel

Life sciences 272:119227 PubMed33607151

2021

Identification of MCM family as potential therapeutic and prognostic targets for hepatocellular carcinoma based on bioinformatics and experiments.

Applications

Unspecified application

Species

Unspecified reactive species

Yu Lei,Shuhui Wang,Jingmei Liu,Wei Yan,Ping Han,Dean Tian

OncoTargets and therapy 13:12015-12025 PubMed33244243

2020

Huaier Suppresses the Hepatocellular Carcinoma Cell Cycle by Regulating Minichromosome Maintenance Proteins.

Applications

Unspecified application

Species

Unspecified reactive species

Yongjie Niu,Liang Shan,Han Gao,Congcong Zhang,Zijun Qian,Zhixian Wang,Xin Xu,Xiao Zhang,Jiayi Wang,Lifang Ma,Liyun Chen,Yongchun Yu

Oncology letters 20:308 PubMed33093917

2020

Diagnostic and prognostic value of MCM3 and its interacting proteins in hepatocellular carcinoma.

Applications

Unspecified application

Species

Unspecified reactive species

Hong-Tao Li,Bing Wei,Zhou-Quan Li,Xiao Wang,Wen-Xian Jia,Yan-Zhen Xu,Jia-Yi Liu,Meng-Nan Shao,Sui-Xia Chen,Nan-Fang Mo,Dong Zhao,Wen-Pu Zuo,Jian Qin,Ping Li,Qin-Le Zhang,Xiao-Li Yang

BioMed research international 2020:3574261 PubMed32964028

2020

Identification of the DNA Replication Regulator MCM Complex Expression and Prognostic Significance in Hepatic Carcinoma.

Applications

Unspecified application

Species

Unspecified reactive species

Ting Cao,Shi-Jie Yi,Li-Xin Wang,Juan-Xia Zhao,Jiao Xiao,Ni Xie,Zhi Zeng,Qi Han,Hai-Ou Tang,Yu-Kun Li,Juan Zou,Qing Wu

Cell death & disease 9:1035 PubMed30305611

2018

Demethylzeylasteral inhibits glioma growth by regulating the miR-30e-5p/MYBL2 axis.

Applications

Unspecified application

Species

Unspecified reactive species

Kui Zhang,Gang Fu,Guangzhao Pan,Chongyang Li,Li Shen,Renjian Hu,Shunqin Zhu,Yibiao Chen,Hongjuan Cui

Oncotarget 7:3921-33 PubMed26646797

2015

Up-regulation of REG3A in colorectal cancer cells confers proliferation and correlates with colorectal cancer risk.

Applications

WB

Species

Unspecified reactive species

Ying Ye,Ling Xiao,Su-Juan Wang,Wei Yue,Qiao-Shan Yin,Meng-Yao Sun,Wei Xia,Zhi-Yi Shao,Hong Zhang
View all publications

Product promise

We are committed to supporting your work with high-quality reagents, and we're here for you every step of the way. In the unlikely event that one of our products does not perform as expected, you're protected by our Product Promise.
For full details, please see our Terms & Conditions

Please note: All products are 'FOR RESEARCH USE ONLY. NOT FOR USE IN DIAGNOSTIC OR THERAPEUTIC PROCEDURES'.

For licensing inquiries, please contact partnerships@abcam.com