JavaScript is disabled in your browser. Please enable JavaScript to view this website.
AB248222

Anti-MCM3 antibody [EPR7080] - BSA and Azide free

Be the first to review this product! Submit a review

|

(0 Publication)

Rabbit Recombinant Monoclonal MCM3 antibody. Carrier free. Suitable for IHC-P, WB, Flow Cyt (Intra) and reacts with Human, Mouse, Rat samples.

View Alternative Names

DNA replication licensing factor MCM3, DNA polymerase alpha holoenzyme-associated protein P1, P1-MCM3, RLF subunit beta, p102, MCM3

9 Images
Immunohistochemistry (Formalin/PFA-fixed paraffin-embedded sections) - Anti-MCM3 antibody [EPR7080] - BSA and Azide free (AB248222)
  • IHC-P

Unknown

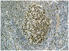
Immunohistochemistry (Formalin/PFA-fixed paraffin-embedded sections) - Anti-MCM3 antibody [EPR7080] - BSA and Azide free (AB248222)

This data was developed using ab128923, the same antibody clone in a different buffer formulation.

ab128923 showing positive staining in Breast carcinoma tissue.

Perform heat mediated antigen retrieval before commencing with IHC staining protocol.

Flow Cytometry (Intracellular) - Anti-MCM3 antibody [EPR7080] - BSA and Azide free (AB248222)
  • Flow Cyt (Intra)

Lab

Flow Cytometry (Intracellular) - Anti-MCM3 antibody [EPR7080] - BSA and Azide free (AB248222)

This data was developed using ab128923, the same antibody clone in a different buffer formulation.

Intracellular Flow Cytometry analysis of K562 (human chronic myelogenous leukemia) cells labeling MCM3 with unpurified ab128923 at 1/900 dilution (1ug/ml) (red). Cells were fixed with 4% paraformaldehyde and permeabilised with 90% methanol. A Goat anti rabbit IgG (Alexa Fluor® 488) (1/2000 dilution) was used as the secondary antibody. Rabbit monoclonal IgG (Black) was used as the isotype control, cells without incubation with primary antibody and secondary antibody (Blue) were used as the unlabeled control.

Immunohistochemistry (Formalin/PFA-fixed paraffin-embedded sections) - Anti-MCM3 antibody [EPR7080] - BSA and Azide free (AB248222)
  • IHC-P

Unknown

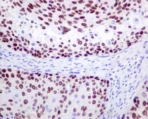
Immunohistochemistry (Formalin/PFA-fixed paraffin-embedded sections) - Anti-MCM3 antibody [EPR7080] - BSA and Azide free (AB248222)

This data was developed using ab128923, the same antibody clone in a different buffer formulation.

ab128923 showing positive staining in Cervical carcinoma tissue.

Perform heat mediated antigen retrieval before commencing with IHC staining protocol.

Immunohistochemistry (Formalin/PFA-fixed paraffin-embedded sections) - Anti-MCM3 antibody [EPR7080] - BSA and Azide free (AB248222)
  • IHC-P

Unknown

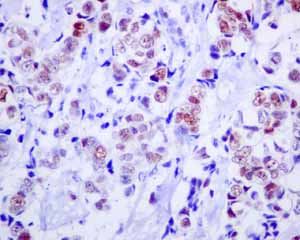
Immunohistochemistry (Formalin/PFA-fixed paraffin-embedded sections) - Anti-MCM3 antibody [EPR7080] - BSA and Azide free (AB248222)

This data was developed using ab128923, the same antibody clone in a different buffer formulation.

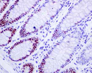
ab128923 at 1/100 dilution staining MCM3 in paraffin-embedded Human colon tissue by immunohistochemistry.

Perform heat mediated antigen retrieval before commencing with IHC staining protocol.

Immunohistochemistry (Formalin/PFA-fixed paraffin-embedded sections) - Anti-MCM3 antibody [EPR7080] - BSA and Azide free (AB248222)
  • IHC-P

Unknown

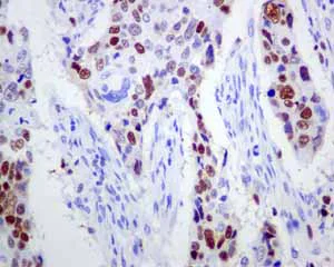
Immunohistochemistry (Formalin/PFA-fixed paraffin-embedded sections) - Anti-MCM3 antibody [EPR7080] - BSA and Azide free (AB248222)

This data was developed using ab128923, the same antibody clone in a different buffer formulation.

ab128923 at 1/100 dilution staining MCM3 in paraffin-embedded Human tonsil tissue by immunohistochemistry.

Perform heat mediated antigen retrieval before commencing with IHC staining protocol.

Western blot - Anti-MCM3 antibody [EPR7080] - BSA and Azide free (AB248222)
  • WB

Unknown

Western blot - Anti-MCM3 antibody [EPR7080] - BSA and Azide free (AB248222)

This data was developed using ab128923, the same antibody clone in a different buffer formulation.

All lanes:

Western blot - Anti-MCM3 antibody [EPR7080] (<a href='/en-us/products/primary-antibodies/mcm3-antibody-epr7080-ab128923'>ab128923</a>) at 1/1000 dilution

Lane 1:

L6 cell lysate at 10 µg

Lane 2:

C6 cell lysate at 10 µg

Lane 3:

RAW 264.7 cell lysate at 10 µg

Lane 4:

PC-12 cell lysate at 10 µg

Lane 5:

NIH/3T3 cell lysate at 10 µg

Lane 6:

HeLa cell lysate at 10 µg

Lane 7:

K562 cell lysate at 10 µg

Lane 8:

HepG2 cell lysate at 10 µg

Lane 9:

U937 cell lysate at 10 µg

Lane 10:

293T cell lysate at 10 µg

Secondary

All lanes:

Goat anti-rabbit HRP at 1/2000 dilution

Predicted band size: 91 kDa

false

Immunohistochemistry (Formalin/PFA-fixed paraffin-embedded sections) - Anti-MCM3 antibody [EPR7080] - BSA and Azide free (AB248222)
  • IHC-P

Unknown

Immunohistochemistry (Formalin/PFA-fixed paraffin-embedded sections) - Anti-MCM3 antibody [EPR7080] - BSA and Azide free (AB248222)

This data was developed using ab128923, the same antibody clone in a different buffer formulation.

ab128923 showing negative staining in Normal brain tissue.

Perform heat mediated antigen retrieval before commencing with IHC staining protocol.

Immunohistochemistry (Formalin/PFA-fixed paraffin-embedded sections) - Anti-MCM3 antibody [EPR7080] - BSA and Azide free (AB248222)
  • IHC-P

Unknown

Immunohistochemistry (Formalin/PFA-fixed paraffin-embedded sections) - Anti-MCM3 antibody [EPR7080] - BSA and Azide free (AB248222)

This data was developed using ab128923, the same antibody clone in a different buffer formulation.

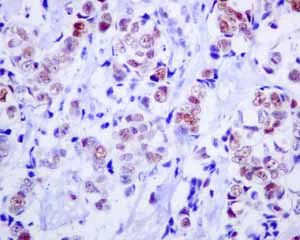
ab128923 showing positive staining in Lung carcinoma tissue.

Perform heat mediated antigen retrieval before commencing with IHC staining protocol.

Immunohistochemistry (Formalin/PFA-fixed paraffin-embedded sections) - Anti-MCM3 antibody [EPR7080] - BSA and Azide free (AB248222)
  • IHC-P

Unknown

Immunohistochemistry (Formalin/PFA-fixed paraffin-embedded sections) - Anti-MCM3 antibody [EPR7080] - BSA and Azide free (AB248222)

This data was developed using ab128923, the same antibody clone in a different buffer formulation.

ab128923 showing positive staining in Normal colon tissue.

Perform heat mediated antigen retrieval before commencing with IHC staining protocol.

Key facts

Host species

Rabbit

Clonality

Monoclonal

Clone number

EPR7080

Isotype

IgG

Carrier free

Yes

Reacts with

Mouse, Rat, Human

Applications

WB, IHC-P, Flow Cyt (Intra)

applications

Immunogen

The exact immunogen used to generate this antibody is proprietary information.

Reactivity data

{ "title": "Reactivity Data", "filters": { "stats": ["", "Species", "Dilution Info", "Notes"], "tabs": { "all-applications": {"fullname" : "All Applications", "shortname": "All Applications"}, "IHCP" : {"fullname" : "Immunohistochemistry (Formalin/PFA-fixed paraffin-embedded sections)", "shortname":"IHC-P"}, "IP" : {"fullname" : "Immunoprecipitation", "shortname":"IP"}, "WB" : {"fullname" : "Western blot", "shortname":"WB"}, "FlowCytIntra" : {"fullname" : "Flow Cytometry (Intracellular)", "shortname":"Flow Cyt (Intra)"} }, "product-promise": { "all": "all", "testedAndGuaranteed": "tested", "guaranteed": "expected", "predicted": "predicted", "notRecommended": "not-recommended" } }, "values": { "Human": { "IHCP-species-checked": "testedAndGuaranteed", "IHCP-species-dilution-info": "", "IHCP-species-notes": "<p></p>", "IP-species-checked": "notRecommended", "IP-species-dilution-info": "", "IP-species-notes": "<p></p>", "WB-species-checked": "guaranteed", "WB-species-dilution-info": "", "WB-species-notes": "", "FlowCytIntra-species-checked": "testedAndGuaranteed", "FlowCytIntra-species-dilution-info": "", "FlowCytIntra-species-notes": "<p></p>" }, "Mouse": { "IHCP-species-checked": "guaranteed", "IHCP-species-dilution-info": "", "IHCP-species-notes": "<p></p>", "IP-species-checked": "notRecommended", "IP-species-dilution-info": "", "IP-species-notes": "<p></p>", "WB-species-checked": "testedAndGuaranteed", "WB-species-dilution-info": "", "WB-species-notes": "<p></p>", "FlowCytIntra-species-checked": "guaranteed", "FlowCytIntra-species-dilution-info": "", "FlowCytIntra-species-notes": "<p></p>" }, "Rat": { "IHCP-species-checked": "guaranteed", "IHCP-species-dilution-info": "", "IHCP-species-notes": "<p></p>", "IP-species-checked": "notRecommended", "IP-species-dilution-info": "", "IP-species-notes": "<p></p>", "WB-species-checked": "testedAndGuaranteed", "WB-species-dilution-info": "", "WB-species-notes": "<p></p>", "FlowCytIntra-species-checked": "guaranteed", "FlowCytIntra-species-dilution-info": "", "FlowCytIntra-species-notes": "<p></p>" } } }

Product details

ab248222 is the carrier-free version of ab128923.

Patented technology
Our RabMAb® technology is a patented hybridoma-based technology for making rabbit monoclonal antibodies. For details on our patents, please refer to RabMAb® patents.

What are the advantages of a recombinant monoclonal antibody?
This product is a recombinant monoclonal antibody, which offers several advantages including:

  • - High batch-to-batch consistency and reproducibility
  • - Improved sensitivity and specificity
  • - Long-term security of supply
  • - Animal-free batch production

For more information, read more on recombinant antibodies.

Conjugation ready
Our carrier-free antibodies are typically supplied in a PBS-only formulation, purified and free of BSA, sodium azide and glycerol. This conjugation-ready format is designed for use with fluorochromes, metal isotopes, oligonucleotides, and enzymes, which makes them ideal for antibody labelling, functional and cell-based assays, flow-based assays (e.g. mass cytometry) and Multiplex Imaging applications.

Use our conjugation kits for antibody conjugates that are ready-to-use in as little as 20 minutes with 1 minute hands-on-time and 100% antibody recovery: available for fluorescent dyes, HRP, biotin and gold.

Compatibility
This product is compatible with the Maxpar® Antibody Labeling Kit from Fluidigm, without the need for antibody preparation. Maxpar® is a trademark of Fluidigm Canada Inc.

Properties and storage information

Form
Liquid
Purification technique
Affinity purification Protein A
Storage buffer
pH: 7.2 - 7.4 Constituents: PBS
Shipped at conditions
Blue Ice
Appropriate short-term storage conditions
+4°C
Appropriate long-term storage conditions
+4°C
Storage information
Do Not Freeze

Supplementary information

This supplementary information is collated from multiple sources and compiled automatically.

The Minichromosome Maintenance Complex Component 3 also called MCM3 plays an important role in DNA replication. It is part of the MCM complex which acts as a helicase that unwinds DNA as part of its function. MCM3 has a molecular mass of approximately 100 kDa and is expressed across various tissues reflecting its fundamental role in cell cycle regulation. Researchers have identified MCM3’s presence not only in proliferating cells but also in areas of high DNA replication demand such as during embryonic development.
Biological function summary

The MCM3 protein is critical in establishing the prereplication complex which initiates DNA synthesis. It forms a heterohexamer along with other MCM proteins (MCM2 MCM4 MCM5 MCM6 and MCM7) constituting the core of the replication licensing system. By controlling the replication fork progression MCM3 ensures precise replication and genome stability. The complex’s activity is essential for the successful transition from the G1 phase to the S phase of the cell cycle.

Pathways

MCM3 is an important component of the cell cycle control pathway and DNA damage response pathway. It interacts with other key proteins such as CDC6 and CDT1 which regulate its loading onto chromatin. MCM3's helicase activity is an integral part of the replication machinery ensuring that DNA replication proceeds smoothly and accurately. By coordinating with proteins like Cyclin E MCM3 helps maintain the fidelity and timing of DNA replication safeguarding the genetic material.

Irregular expression or function of MCM3 has been linked to cancer and genomic instability disorders. Cancer cells often exhibit high levels of MCM3 which correlates with increased proliferation rates and aggressive tumor growth. Connections between MCM3 and the p53 protein highlight its potential role in tumorigenesis as p53 mutations often result in loss of genome integrity which MCM3 helps to safeguard. As such MCM3 serves not only as a marker for cancer diagnosis but also potentially as a therapeutic target.

Product protocols

For this product, it's our understanding that no specific protocols are required. You can visit:

Target data

Acts as a component of the MCM2-7 complex (MCM complex) which is the replicative helicase essential for 'once per cell cycle' DNA replication initiation and elongation in eukaryotic cells. Core component of CDC45-MCM-GINS (CMG) helicase, the molecular machine that unwinds template DNA during replication, and around which the replisome is built (PubMed : 32453425, PubMed : 34694004, PubMed : 34700328, PubMed : 35585232). The active ATPase sites in the MCM2-7 ring are formed through the interaction surfaces of two neighboring subunits such that a critical structure of a conserved arginine finger motif is provided in trans relative to the ATP-binding site of the Walker A box of the adjacent subunit. The six ATPase active sites, however, are likely to contribute differentially to the complex helicase activity (PubMed : 32453425). Required for the entry in S phase and for cell division (Probable).
See full target information MCM3

Product promise

We are committed to supporting your work with high-quality reagents, and we're here for you every step of the way. In the unlikely event that one of our products does not perform as expected, you're protected by our Product Promise.
For full details, please see our Terms & Conditions

Please note: All products are 'FOR RESEARCH USE ONLY. NOT FOR USE IN DIAGNOSTIC OR THERAPEUTIC PROCEDURES'.

For licensing inquiries, please contact partnerships@abcam.com