JavaScript is disabled in your browser. Please enable JavaScript to view this website.
AB17967

Anti-MCM5 antibody

5

(4 Reviews)

|

(29 Publications)

Rabbit Polyclonal MCM5 antibody. Suitable for IHC-P, WB and reacts with Human samples. Cited in 29 publications. Immunogen corresponding to Synthetic Peptide within Human MCM5.

View Alternative Names

CDC46, MCM5, DNA replication licensing factor MCM5, CDC46 homolog, P1-CDC46

2 Images
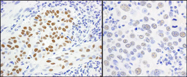
Immunohistochemistry (Formalin/PFA-fixed paraffin-embedded sections) - Anti-MCM5 antibody (AB17967)
  • IHC-P

Unknown

Immunohistochemistry (Formalin/PFA-fixed paraffin-embedded sections) - Anti-MCM5 antibody (AB17967)

Immunohistochemistry (Formalin/PFA-fixed paraffin-embedded sections) analysis of human lung carcinoma (left) and mouse renal cell carcinoma (right) tissues labelling MCM5 with ab17967 at 1/1000 (1µg/ml). Detection : DAB.

Western blot - Anti-MCM5 antibody (AB17967)
  • WB

Supplier Data

Western blot - Anti-MCM5 antibody (AB17967)

All lanes:

Western blot - Anti-MCM5 antibody (ab17967) at 0.05 µg/mL

Lane 1:

HeLa whole cell lysate at 50 µg

Lane 2:

Jurkat whole cell lysate at 50 µg

Predicted band size: 82 kDa

false

Exposure time: 10s

Key facts

Host species

Rabbit

Clonality

Polyclonal

Isotype

IgG

Carrier free

No

Reacts with

Human

Applications

IHC-P, WB

applications

Immunogen

Synthetic Peptide within Human MCM5. The exact immunogen used to generate this antibody is proprietary information.

P33992

Reactivity data

{ "title": "Reactivity Data", "filters": { "stats": ["", "Species", "Dilution Info", "Notes"], "tabs": { "all-applications": {"fullname" : "All Applications", "shortname": "All Applications"}, "IHCP" : {"fullname" : "Immunohistochemistry (Formalin/PFA-fixed paraffin-embedded sections)", "shortname":"IHC-P"}, "WB" : {"fullname" : "Western blot", "shortname":"WB"} }, "product-promise": { "all": "all", "testedAndGuaranteed": "tested", "guaranteed": "expected", "predicted": "predicted", "notRecommended": "not-recommended" } }, "values": { "Human": { "IHCP-species-checked": "testedAndGuaranteed", "IHCP-species-dilution-info": "1/500 - 1/2000", "IHCP-species-notes": "<p></p> Perform heat-mediated antigen retrieval with citrate buffer pH 6 before commencing with IHC staining protocol.", "WB-species-checked": "testedAndGuaranteed", "WB-species-dilution-info": "1/5000 - 1/20000", "WB-species-notes": "<p></p>" }, "Chimpanzee": { "IHCP-species-checked": "predicted", "IHCP-species-dilution-info": "", "IHCP-species-notes": "", "WB-species-checked": "predicted", "WB-species-dilution-info": "", "WB-species-notes": "" }, "Orangutan": { "IHCP-species-checked": "predicted", "IHCP-species-dilution-info": "", "IHCP-species-notes": "", "WB-species-checked": "predicted", "WB-species-dilution-info": "", "WB-species-notes": "" } } }

Properties and storage information

Form
Liquid
Purification technique
Affinity purification Immunogen
Storage buffer
pH: 7 - 8 Preservative: 0.1% Sodium azide Constituents: PBS, 1.815% Tris, 1.764% Sodium citrate
Shipped at conditions
Blue Ice
Appropriate short-term storage conditions
+4°C
Appropriate long-term storage conditions
+4°C
Aliquoting information
Upon delivery aliquot
Storage information
Avoid freeze / thaw cycle

Supplementary information

This supplementary information is collated from multiple sources and compiled automatically.

The protein MCM5 also known as Minichromosome Maintenance Complex Component 5 plays a significant role in DNA replication. It is a part of the minichromosome maintenance (MCM) family which consists of several proteins forming an important component of the pre-replication complex. MCM5 has a molecular mass of approximately 82 kDa. This protein is ubiquitously expressed in cells underlining its fundamental role in the cell cycle. The presence of MCM5 ensures the fidelity and timing of DNA replication initiation during the S phase of cell division.
Biological function summary

As a component of the MCM2-7 hexameric complex MCM5 contributes to the unwinding of DNA an essential step for replication. This complex acts as a helicase unwinding the DNA double helix at replication origins. This activity is required for laying down the replication fork and allowing access for the DNA polymerase. MCM5 integrates into the larger assembly of the replication machinery working in concert with cell cycle regulators to ensure proper cell cycle progression.

Pathways

MCM5 participates in DNA replication and cell cycle control pathways. It closely associates with the GINS complex and CDC45 forming the CMG (CDC45-MCM-GINS) complex which is critical for replication fork progression. MCM5 also interacts with the ATR-mediated DNA damage repair pathway. This relationship provides a checkpoint mechanism to halt replication in response to DNA damage allowing time for repair processes to maintain genomic stability.

MCM5 has implications in cancer and replication stress-related conditions. Overexpression or dysregulation of MCM5 can lead to uncontrolled cell proliferation contributing to oncogenesis. MCM5 has a notable connection to cyclin D1 and the Retinoblastoma (Rb) protein pathway often disrupted in cancers. Moreover in diseases characterized by replication stress such as certain neurodegenerative disorders improper MCM5 function can exacerbate genomic instability leading to disease progression.

Product protocols

For this product, it's our understanding that no specific protocols are required. You can visit:

Target data

Acts as a component of the MCM2-7 complex (MCM complex) which is the replicative helicase essential for 'once per cell cycle' DNA replication initiation and elongation in eukaryotic cells. Core component of CDC45-MCM-GINS (CMG) helicase, the molecular machine that unwinds template DNA during replication, and around which the replisome is built (PubMed : 16899510, PubMed : 32453425, PubMed : 34694004, PubMed : 34700328, PubMed : 35585232). The active ATPase sites in the MCM2-7 ring are formed through the interaction surfaces of two neighboring subunits such that a critical structure of a conserved arginine finger motif is provided in trans relative to the ATP-binding site of the Walker A box of the adjacent subunit. The six ATPase active sites, however, are likely to contribute differentially to the complex helicase activity (PubMed : 32453425).
See full target information MCM5

Publications (29)

Recent publications for all applications. Explore the full list and refine your search

Nature communications 14:5147 PubMed37620345

2023

RNAPII-dependent ATM signaling at collisions with replication forks.

Applications

Unspecified application

Species

Unspecified reactive species

Elias Einig,Chao Jin,Valentina Andrioletti,Boris Macek,Nikita Popov

iScience 26:105974 PubMed36756367

2023

Risk model based on minichromosome maintenance 2 using objective assessment for predicting survival of neuroblastoma.

Applications

Unspecified application

Species

Unspecified reactive species

Liang Zeng,Xiao-Yun Liu,Lei Miao,Kai Chen,Hui Xu,Liang-Jun Qin,Meng Li,Kai Liu,Jiahao Feng,Hai-Yun Wang

Nature communications 13:6090 PubMed36241664

2022

Solving the MCM paradox by visualizing the scaffold of CMG helicase at active replisomes.

Applications

Unspecified application

Species

Unspecified reactive species

Hana Polasek-Sedlackova,Thomas C R Miller,Jana Krejci,Maj-Britt Rask,Jiri Lukas

Signal transduction and targeted therapy 7:102 PubMed35414135

2022

LSD1 is required for euchromatic origin firing and replication timing.

Applications

Unspecified application

Species

Unspecified reactive species

Yue Wang,Yunchao Huang,Edith Cheng,Xinhua Liu,Yu Zhang,Jianguo Yang,Jordan T F Young,Grant W Brown,Xiaohan Yang,Yongfeng Shang

Pharmaceuticals (Basel, Switzerland) 15: PubMed35337060

2022

A Combined Treatment with Berberine and Andrographis Exhibits Enhanced Anti-Cancer Activity through Suppression of DNA Replication in Colorectal Cancer.

Applications

Unspecified application

Species

Unspecified reactive species

Yinghui Zhao,Souvick Roy,Chuanxin Wang,Ajay Goel

Life science alliance 5: PubMed35091422

2022

Refining the domain architecture model of the replication origin firing factor Treslin/TICRR.

Applications

Unspecified application

Species

Unspecified reactive species

Pedro Ferreira,Luis Sanchez-Pulido,Anika Marko,Chris P Ponting,Dominik Boos

Communications biology 4:767 PubMed34158617

2021

The γ-tubulin meshwork assists in the recruitment of PCNA to chromatin in mammalian cells.

Applications

Unspecified application

Species

Unspecified reactive species

Matthieu Corvaisier,Jingkai Zhou,Darina Malycheva,Nicola Cornella,Dimitrios Chioureas,Nina M S Gustafsson,Catalina Ana Rosselló,Silvia Ayora,Tongbin Li,Kristina Ekström-Holka,Karin Jirström,Lisa Lindström,Maria Alvarado-Kristensson

Clinical epigenetics 13:37 PubMed33596994

2021

BRG1 knockdown inhibits proliferation through multiple cellular pathways in prostate cancer.

Applications

Unspecified application

Species

Unspecified reactive species

Katherine A Giles,Cathryn M Gould,Joanna Achinger-Kawecka,Scott G Page,Georgia R Kafer,Samuel Rogers,Phuc-Loi Luu,Anthony J Cesare,Susan J Clark,Phillippa C Taberlay

Nature 587:297-302 PubMed33087936

2020

Equilibrium between nascent and parental MCM proteins protects replicating genomes.

Applications

Unspecified application

Species

Unspecified reactive species

Hana Sedlackova,Maj-Britt Rask,Rajat Gupta,Chunaram Choudhary,Kumar Somyajit,Jiri Lukas

Nature communications 11:3951 PubMed32769987

2020

DONSON and FANCM associate with different replisomes distinguished by replication timing and chromatin domain.

Applications

Unspecified application

Species

Unspecified reactive species

Jing Zhang,Marina A Bellani,Ryan C James,Durga Pokharel,Yongqing Zhang,John J Reynolds,Gavin S McNee,Andrew P Jackson,Grant S Stewart,Michael M Seidman
View all publications

Product promise

We are committed to supporting your work with high-quality reagents, and we're here for you every step of the way. In the unlikely event that one of our products does not perform as expected, you're protected by our Product Promise.
For full details, please see our Terms & Conditions

Please note: All products are 'FOR RESEARCH USE ONLY. NOT FOR USE IN DIAGNOSTIC OR THERAPEUTIC PROCEDURES'.

For licensing inquiries, please contact partnerships@abcam.com