JavaScript is disabled in your browser. Please enable JavaScript to view this website.
AB75975

Anti-MCM5 antibody [EP2683Y]

5

(1 Review)

|

(17 Publications)

Rabbit Recombinant Monoclonal MCM5 antibody. Suitable for IHC-P, ICC/IF, IP, WB, Flow Cyt (Intra) and reacts with Human, Mouse samples. Cited in 17 publications.

View Alternative Names

CDC46, MCM5, DNA replication licensing factor MCM5, CDC46 homolog, P1-CDC46

5 Images
Immunocytochemistry/ Immunofluorescence - Anti-MCM5 antibody [EP2683Y] (AB75975)
  • ICC/IF

Lab

Immunocytochemistry/ Immunofluorescence - Anti-MCM5 antibody [EP2683Y] (AB75975)

Immunocytochemistry analysis of MCF7 (Human breast adenocarcinoma epithelial cell) cells labeling MCM5 with Purified ab75975 at 1 : 50 dilution (2.1 µg/ml). Cells were fixed in 4% Paraformaldehyde and permeabilized with 0.1% tritonX-100. Cells were counterstained with ab195889 Anti-alpha Tubulin antibody [DM1A] - Microtubule Marker (Alexa Fluor® 594) 1 : 200 (2.5 µg/ml). Goat anti rabbit IgG (Alexa Fluor® 488,ab150077) was used as the secondary antibody at 1 : 1000 (2 µg/ml) dilution. DAPI (blue) was used as nuclear counterstain. PBS instead of the primary antibody was used as the secondary antibody only control.

Flow Cytometry (Intracellular) - Anti-MCM5 antibody [EP2683Y] (AB75975)
  • Flow Cyt (Intra)

Lab

Flow Cytometry (Intracellular) - Anti-MCM5 antibody [EP2683Y] (AB75975)

Intracellular Flow Cytometry analysis of MCF7 (Human breast adenocarcinoma epithelial cell) cells labeling MCM5 with Purified ab75975 at 1/20 dilution (10 μg/ml) (Red). Cells were fixed with 4% Paraformaldehyde and permeabilised with 90% Methanol. A Goat anti rabbit IgG (Alexa Fluor® 488 ,ab150077) secondary antibody was used at 1/2000. Isotype control - Rabbit monoclonal IgG (Black). Unlabeled control - Cell without incubation with primary antibody and secondary antibody (Blue).

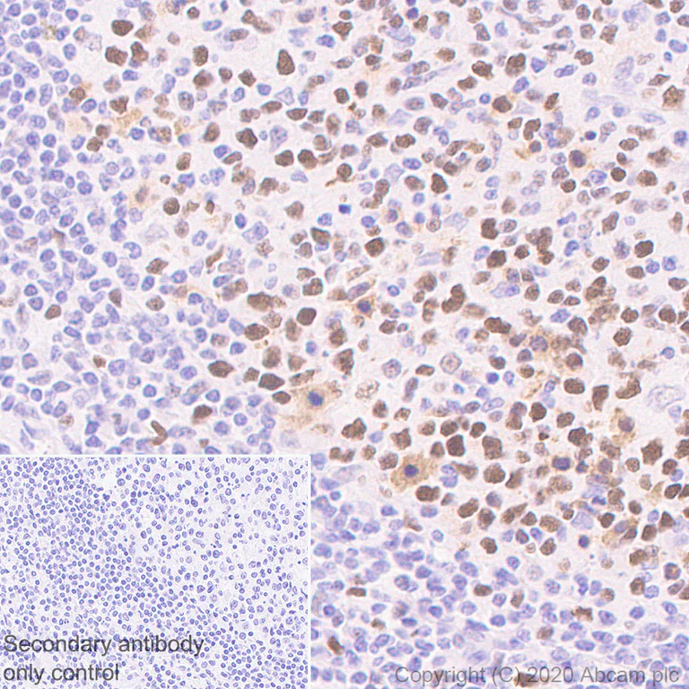
Immunohistochemistry (Formalin/PFA-fixed paraffin-embedded sections) - Anti-MCM5 antibody [EP2683Y] (AB75975)
  • IHC-P

Lab

Immunohistochemistry (Formalin/PFA-fixed paraffin-embedded sections) - Anti-MCM5 antibody [EP2683Y] (AB75975)

Immunohistochemistry (Formalin/PFA-fixed paraffin-embedded sections) analysis of Human tonsil tissue sections labeling MCM5 with purified ab75975 at 1/1000 dilution (0.11 µg/mL). Perform heat mediated antigen retrieval using ab93684 (Tris/EDTA buffer, pH 9.0). ImmunoHistoProbe one step HRP Polymer (ready to use) was used as the secondary antibody. Negative control : PBS instead of the primary antibody. Hematoxylin was used as a counterstain.

Western blot - Anti-MCM5 antibody [EP2683Y] (AB75975)
  • WB

Unknown

Western blot - Anti-MCM5 antibody [EP2683Y] (AB75975)

Blocking Buffer and concentration : 5% NFDM/TBST.

All lanes:

Western blot - Anti-MCM5 antibody [EP2683Y] (ab75975) at 1/1000 dilution

Lane 1:

MCF7 (Human breast adenocarcinoma epithelial cell) whole cell lysate at 15 µg

Lane 2:

Mouse spleen lysate at 20 µg

Secondary

All lanes:

Goat Anti-Rabbit IgG (HRP) with minimal cross-reactivity with human IgG at 1/2000 dilution

Predicted band size: 82 kDa

Observed band size: 82 kDa

false

Western blot - Anti-MCM5 antibody [EP2683Y] (AB75975)
  • WB

CiteAb

Western blot - Anti-MCM5 antibody [EP2683Y] (AB75975)

MCM5 western blot using anti-MCM5 antibody [EP2683Y] ab75975. Publication image and figure legend from Shao, Z., Koh, W., et al., 2020, Sci Rep, PubMed 32313136.

ab75975 was used in this publication in western blot. This may not be the same as the application(s) guaranteed by Abcam. For a full list of applications guaranteed by Abcam for ab75975 please see the product overview.

Validation of Two-week-old Mouse Heart RNA-Sequencing Results by RT-qPCR and Western Blot. RNA and protein samples analyzed were extracted from WT and Lmna-/- mouse heart tissues at 2 weeks of age. (a) RT-qPCR validation of down-regulated genes (AURKA, BRCA1, CDK1, CHEK1, Cyclin B1, MCM5, PLK1) identified by RNA-Sequencing. The housekeeping gene S18 was used as a control gene for both WT and Lmna-/- samples. ∆∆ cycle threshold (Ct) method was used for RT-qPCR analysis. Average WT expression level was normalized to one and Lmna-/- expression levels were calculated over average WT level and showed as "mean ± SEM" on Y axis. The expression levels of all the listed genes were significantly lower in 2-week Lmna-/- mouse hearts than in 2-week WT mouse hearts (p < 0.01). (b) RT-qPCR validation of up-regulated genes (EPHX1, NDUFA13, NRF2, PLK3, SQSTM1) identified by RNA-Sequencing. The same ∆∆Ct method was used for analysis. The relative expression levels of all the listed genes are showed as "mean ± SEM" on Y axis. The expression levels in 2-week-old Lmna-/- mouse hearts were significantly higher than those in 2-week-old WT mouse hearts for all the genes (p < 0.05). (c) Western blot validation of protein expressions of representative down-regulated (CDK1, Cyclin B1 and MCM5) and up-regulated (NRF2 and PLK3) genes. GAPDH was used as a loading control. Three repeated experiments were conducted for each protein with similar results showed in the figure.

false

Key facts

Host species

Rabbit

Clonality

Monoclonal

Clone number

EP2683Y

Isotype

IgG

Carrier free

No

Reacts with

Mouse, Human

Applications

IHC-P, IP, ICC/IF, WB, Flow Cyt (Intra)

applications

Immunogen

The exact immunogen used to generate this antibody is proprietary information.

Reactivity data

{ "title": "Reactivity Data", "filters": { "stats": ["", "Species", "Dilution Info", "Notes"], "tabs": { "all-applications": {"fullname" : "All Applications", "shortname": "All Applications"}, "IHCP" : {"fullname" : "Immunohistochemistry (Formalin/PFA-fixed paraffin-embedded sections)", "shortname":"IHC-P"}, "ICCIF" : {"fullname" : "Immunocytochemistry/ Immunofluorescence", "shortname":"ICC/IF"}, "IP" : {"fullname" : "Immunoprecipitation", "shortname":"IP"}, "WB" : {"fullname" : "Western blot", "shortname":"WB"}, "FlowCytIntra" : {"fullname" : "Flow Cytometry (Intracellular)", "shortname":"Flow Cyt (Intra)"} }, "product-promise": { "all": "all", "testedAndGuaranteed": "tested", "guaranteed": "expected", "predicted": "predicted", "notRecommended": "not-recommended" } }, "values": { "Human": { "IHCP-species-checked": "testedAndGuaranteed", "IHCP-species-dilution-info": "1/200", "IHCP-species-notes": "<p><strong>For unpurified use at 1/250 - 1/500.</strong></p> Perform heat-mediated antigen retrieval before commencing with IHC staining protocol.", "ICCIF-species-checked": "testedAndGuaranteed", "ICCIF-species-dilution-info": "1/50", "ICCIF-species-notes": "<p><strong>For unpurified use at 1/100 - 1/250.</strong></p>", "IP-species-checked": "guaranteed", "IP-species-dilution-info": "", "IP-species-notes": "<p></p>", "WB-species-checked": "testedAndGuaranteed", "WB-species-dilution-info": "1/1000", "WB-species-notes": "<p><strong>For unpurified use at 1/1000 - 1/10000.</strong></p>", "FlowCytIntra-species-checked": "testedAndGuaranteed", "FlowCytIntra-species-dilution-info": "1/20", "FlowCytIntra-species-notes": "<p><a href='/en-us/products/primary-antibodies/rabbit-igg-monoclonal-epr25a-isotype-control-ab172730'>ab172730</a> - Rabbit monoclonal IgG, is suitable for use as an isotype control with this antibody.</p>" }, "Mouse": { "IHCP-species-checked": "notRecommended", "IHCP-species-dilution-info": "", "IHCP-species-notes": "<p></p>", "ICCIF-species-checked": "guaranteed", "ICCIF-species-dilution-info": "", "ICCIF-species-notes": "", "IP-species-checked": "guaranteed", "IP-species-dilution-info": "", "IP-species-notes": "<p></p>", "WB-species-checked": "testedAndGuaranteed", "WB-species-dilution-info": "1/1000", "WB-species-notes": "<p><strong>For unpurified use at 1/1000 - 1/10000.</strong></p>", "FlowCytIntra-species-checked": "guaranteed", "FlowCytIntra-species-dilution-info": "", "FlowCytIntra-species-notes": "" } } }

Product details

Patented technology
Our RabMAb® technology is a patented hybridoma-based technology for making rabbit monoclonal antibodies. For details on our patents, please refer to RabMAb® patents.

What are the advantages of a recombinant monoclonal antibody?
This product is a recombinant monoclonal antibody, which offers several advantages including:

  • - High batch-to-batch consistency and reproducibility
  • - Improved sensitivity and specificity
  • - Long-term security of supply
  • - Animal-free batch production

For more information, read more on recombinant antibodies.

Species reactivity
Rat: We have preliminary internal testing data to indicate this antibody may not react with this species.
Please contact us for more information.

Properties and storage information

Form
Liquid
Purification technique
Affinity purification Protein A
Storage buffer
pH: 7.2 - 7.4 Preservative: 0.01% Sodium azide Constituents: PBS, 40% Glycerol (glycerin, glycerine), 0.05% BSA
Shipped at conditions
Blue Ice
Appropriate short-term storage duration
1-2 weeks
Appropriate short-term storage conditions
+4°C
Appropriate long-term storage conditions
-20°C
Aliquoting information
Upon delivery aliquot
Storage information
Avoid freeze / thaw cycle

Supplementary information

This supplementary information is collated from multiple sources and compiled automatically.

The protein MCM5 also known as Minichromosome Maintenance Complex Component 5 plays a significant role in DNA replication. It is a part of the minichromosome maintenance (MCM) family which consists of several proteins forming an important component of the pre-replication complex. MCM5 has a molecular mass of approximately 82 kDa. This protein is ubiquitously expressed in cells underlining its fundamental role in the cell cycle. The presence of MCM5 ensures the fidelity and timing of DNA replication initiation during the S phase of cell division.
Biological function summary

As a component of the MCM2-7 hexameric complex MCM5 contributes to the unwinding of DNA an essential step for replication. This complex acts as a helicase unwinding the DNA double helix at replication origins. This activity is required for laying down the replication fork and allowing access for the DNA polymerase. MCM5 integrates into the larger assembly of the replication machinery working in concert with cell cycle regulators to ensure proper cell cycle progression.

Pathways

MCM5 participates in DNA replication and cell cycle control pathways. It closely associates with the GINS complex and CDC45 forming the CMG (CDC45-MCM-GINS) complex which is critical for replication fork progression. MCM5 also interacts with the ATR-mediated DNA damage repair pathway. This relationship provides a checkpoint mechanism to halt replication in response to DNA damage allowing time for repair processes to maintain genomic stability.

MCM5 has implications in cancer and replication stress-related conditions. Overexpression or dysregulation of MCM5 can lead to uncontrolled cell proliferation contributing to oncogenesis. MCM5 has a notable connection to cyclin D1 and the Retinoblastoma (Rb) protein pathway often disrupted in cancers. Moreover in diseases characterized by replication stress such as certain neurodegenerative disorders improper MCM5 function can exacerbate genomic instability leading to disease progression.

Product protocols

For this product, it's our understanding that no specific protocols are required. You can visit:

Target data

Acts as a component of the MCM2-7 complex (MCM complex) which is the replicative helicase essential for 'once per cell cycle' DNA replication initiation and elongation in eukaryotic cells. Core component of CDC45-MCM-GINS (CMG) helicase, the molecular machine that unwinds template DNA during replication, and around which the replisome is built (PubMed : 16899510, PubMed : 32453425, PubMed : 34694004, PubMed : 34700328, PubMed : 35585232). The active ATPase sites in the MCM2-7 ring are formed through the interaction surfaces of two neighboring subunits such that a critical structure of a conserved arginine finger motif is provided in trans relative to the ATP-binding site of the Walker A box of the adjacent subunit. The six ATPase active sites, however, are likely to contribute differentially to the complex helicase activity (PubMed : 32453425).
See full target information MCM5

Publications (17)

Recent publications for all applications. Explore the full list and refine your search

JCI insight 10: PubMed40059824

2025

NAD+ prevents chronic kidney disease by activating renal tubular metabolism.

Applications

Unspecified application

Species

Unspecified reactive species

Bryce A Jones,Debora L Gisch,Komuraiah Myakala,Amber Sadiq,Ying-Hua Cheng,Elizaveta Taranenko,Julia Panov,Kyle Korolowicz,Ricardo Melo Ferreira,Xiaoping Yang,Briana A Santo,Katherine C Allen,Teruhiko Yoshida,Xiaoxin X Wang,Avi Z Rosenberg,Sanjay Jain,Michael T Eadon,Moshe Levi

Oncology letters 25:242 PubMed37153049

2023

Knockdown of ASF1B inhibits cell proliferation, migration, invasion and cisplatin resistance in gastric cancer through the Myc pathway.

Applications

Unspecified application

Species

Unspecified reactive species

Zao Zhang,Meiying Ning,Li Li,Zhuangzhuang Li,Yanrong Wang,Jing Zhao

Genes & development 37:303-320 PubMed37024284

2023

Reducing MYC's transcriptional footprint unveils a good prognostic gene signature in melanoma.

Applications

Unspecified application

Species

Unspecified reactive species

Mariano F Zacarías-Fluck,Daniel Massó-Vallés,Fabio Giuntini,Íñigo González-Larreategui,Jastrinjan Kaur,Sílvia Casacuberta-Serra,Toni Jauset,Sandra Martínez-Martín,Génesis Martín-Fernández,Erika Serrano Del Pozo,Laia Foradada,Judit Grueso,Lara Nonell,Marie-Eve Beaulieu,Jonathan R Whitfield,Laura Soucek

Journal of Cancer 14:262-274 PubMed36741260

2023

MTA2 is one of 14 Transcription factors predicting recurrence free survival in gastric cancer and promotes cancer progression by targeting MCM5.

Applications

Unspecified application

Species

Unspecified reactive species

Anshu Li,Yan Guo,Zhijie Yin,Xinghua Liu,Gengchen Xie

Molecular cell 82:463-478.e11 PubMed34741808

2021

Hybridization-proximity labeling reveals spatially ordered interactions of nuclear RNA compartments.

Applications

Unspecified application

Species

Unspecified reactive species

Karen Yap,Tek Hong Chung,Eugene V Makeyev

Frontiers in cell and developmental biology 9:669132 PubMed34409025

2021

MCM5 Aggravates the HDAC1-Mediated Malignant Progression of Lung Cancer.

Applications

Unspecified application

Species

Unspecified reactive species

Lin-Lin Zhang,Qi Li,Dian-Sheng Zhong,Wei-Jian Zhang,Xiao-Jie Sun,Yu Zhu

Life science alliance 4: PubMed33653688

2021

The Wnt signaling receptor Fzd9 is essential for Myc-driven tumorigenesis in pancreatic islets.

Applications

Unspecified application

Species

Unspecified reactive species

Mariano F Zacarías-Fluck,Toni Jauset,Sandra Martínez-Martín,Jastrinjan Kaur,Sílvia Casacuberta-Serra,Daniel Massó-Vallés,Erika Serrano Del Pozo,Génesis Martín-Fernández,Íñigo González-Larreategui,Sergio López-Estévez,Lamorna Brown-Swigart,Marie-Eve Beaulieu,Jonathan R Whitfield,Babita Madan,David M Virshup,Gerard I Evan,Laura Soucek

Life sciences 272:119227 PubMed33607151

2021

Identification of MCM family as potential therapeutic and prognostic targets for hepatocellular carcinoma based on bioinformatics and experiments.

Applications

Unspecified application

Species

Unspecified reactive species

Yu Lei,Shuhui Wang,Jingmei Liu,Wei Yan,Ping Han,Dean Tian

OncoTargets and therapy 13:12015-12025 PubMed33244243

2020

Huaier Suppresses the Hepatocellular Carcinoma Cell Cycle by Regulating Minichromosome Maintenance Proteins.

Applications

Unspecified application

Species

Unspecified reactive species

Yongjie Niu,Liang Shan,Han Gao,Congcong Zhang,Zijun Qian,Zhixian Wang,Xin Xu,Xiao Zhang,Jiayi Wang,Lifang Ma,Liyun Chen,Yongchun Yu

BioMed research international 2020:3574261 PubMed32964028

2020

Identification of the DNA Replication Regulator MCM Complex Expression and Prognostic Significance in Hepatic Carcinoma.

Applications

Unspecified application

Species

Unspecified reactive species

Ting Cao,Shi-Jie Yi,Li-Xin Wang,Juan-Xia Zhao,Jiao Xiao,Ni Xie,Zhi Zeng,Qi Han,Hai-Ou Tang,Yu-Kun Li,Juan Zou,Qing Wu
View all publications

Product promise

We are committed to supporting your work with high-quality reagents, and we're here for you every step of the way. In the unlikely event that one of our products does not perform as expected, you're protected by our Product Promise.
For full details, please see our Terms & Conditions

Please note: All products are 'FOR RESEARCH USE ONLY. NOT FOR USE IN DIAGNOSTIC OR THERAPEUTIC PROCEDURES'.

For licensing inquiries, please contact partnerships@abcam.com