JavaScript is disabled in your browser. Please enable JavaScript to view this website.
AB247419

Anti-MCM5 antibody [EP2683Y] - BSA and Azide free

Be the first to review this product! Submit a review

|

(0 Publication)

Rabbit Recombinant Monoclonal MCM5 antibody. Carrier free. Suitable for IHC-P, ICC/IF, WB, Flow Cyt (Intra), IP and reacts with Human, Mouse samples.

View Alternative Names

CDC46, MCM5, DNA replication licensing factor MCM5, CDC46 homolog, P1-CDC46

4 Images
Flow Cytometry (Intracellular) - Anti-MCM5 antibody [EP2683Y] - BSA and Azide free (AB247419)
  • Flow Cyt (Intra)

Lab

Flow Cytometry (Intracellular) - Anti-MCM5 antibody [EP2683Y] - BSA and Azide free (AB247419)

This data was developed using ab75975, the same antibody clone in a different buffer formulation. Intracellular Flow Cytometry analysis of MCF7 (Human breast adenocarcinoma epithelial cell) cells labeling MCM5 with Purified ab75975 at 1/20 dilution (10 μg/ml) (Red). Cells were fixed with 4% Paraformaldehyde and permeabilised with 90% Methanol. A Goat anti rabbit IgG (Alexa Fluor® 488 ,ab150077) secondary antibody was used at 1/2000. Isotype control - Rabbit monoclonal IgG (Black). Unlabeled control - Cell without incubation with primary antibody and secondary antibody (Blue).

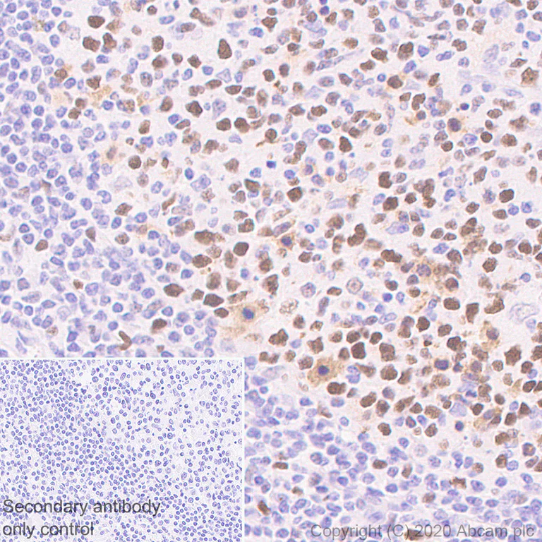
Immunohistochemistry (Formalin/PFA-fixed paraffin-embedded sections) - Anti-MCM5 antibody [EP2683Y] - BSA and Azide free (AB247419)
  • IHC-P

Lab

Immunohistochemistry (Formalin/PFA-fixed paraffin-embedded sections) - Anti-MCM5 antibody [EP2683Y] - BSA and Azide free (AB247419)

This data was developed using ab75975, the same antibody clone in a different buffer formulation.
Immunohistochemistry (Formalin/PFA-fixed paraffin-embedded sections) analysis of Human tonsil tissue sections labeling MCM5 with purified ab75975 at 1/1000 dilution (0.11 μg/mL). Perform heat mediated antigen retrieval using ab93684 (Tris/EDTA buffer, pH 9.0). ImmunoHistoProbe one step HRP Polymer (ready to use) was used as the secondary antibody. Negative control : PBS instead of the primary antibody. Hematoxylin was used as a counterstain.

Immunocytochemistry/ Immunofluorescence - Anti-MCM5 antibody [EP2683Y] - BSA and Azide free (AB247419)
  • ICC/IF

Lab

Immunocytochemistry/ Immunofluorescence - Anti-MCM5 antibody [EP2683Y] - BSA and Azide free (AB247419)

This data was developed using ab75975, the same antibody clone in a different buffer formulation.
Immunocytochemistry analysis of MCF7 (Human breast adenocarcinoma epithelial cell) cells labeling MCM5 with Purified ab75975 at 1 : 50 dilution (2.1 μg/ml). Cells were fixed in 4% Paraformaldehyde and permeabilized with 0.1% tritonX-100. Cells were counterstained with ab195889 Anti-alpha Tubulin antibody [DM1A] - Microtubule Marker (Alexa Fluor® 594) 1 : 200 (2.5 μg/ml). Goat anti rabbit IgG (Alexa Fluor® 488,ab150077) was used as the secondary antibody at 1 : 1000 (2 μg/ml) dilution. DAPI (blue) was used as nuclear counterstain. PBS instead of the primary antibody was used as the secondary antibody only control.

Western blot - Anti-MCM5 antibody [EP2683Y] - BSA and Azide free (AB247419)
  • WB

Unknown

Western blot - Anti-MCM5 antibody [EP2683Y] - BSA and Azide free (AB247419)

This data was developed using ab75975, the same antibody clone in a different buffer formulation.

Blocking Buffer and concentration : 5% NFDM/TBST.

All lanes:

Western blot - Anti-MCM5 antibody [EP2683Y] (<a href='/en-us/products/primary-antibodies/mcm5-antibody-ep2683y-ab75975'>ab75975</a>) at 1/1000 dilution

Lane 1:

MCF7 (Human breast adenocarcinoma epithelial cell) whole cell lysate at 15 µg

Lane 2:

Mouse spleen lysate at 20 µg

Secondary

All lanes:

Goat Anti-Rabbit IgG (HRP) with minimal cross-reactivity with human IgG at 1/2000 dilution

Predicted band size: 82 kDa

Observed band size: 82 kDa

false

Key facts

Host species

Rabbit

Clonality

Monoclonal

Clone number

EP2683Y

Isotype

IgG

Carrier free

Yes

Reacts with

Mouse, Human

Applications

ICC/IF, Flow Cyt (Intra), WB, IP, IHC-P

applications

Immunogen

The exact immunogen used to generate this antibody is proprietary information.

Reactivity data

{ "title": "Reactivity Data", "filters": { "stats": ["", "Species", "Dilution Info", "Notes"], "tabs": { "all-applications": {"fullname" : "All Applications", "shortname": "All Applications"}, "IHCP" : {"fullname" : "Immunohistochemistry (Formalin/PFA-fixed paraffin-embedded sections)", "shortname":"IHC-P"}, "ICCIF" : {"fullname" : "Immunocytochemistry/ Immunofluorescence", "shortname":"ICC/IF"}, "WB" : {"fullname" : "Western blot", "shortname":"WB"}, "FlowCytIntra" : {"fullname" : "Flow Cytometry (Intracellular)", "shortname":"Flow Cyt (Intra)"}, "IP" : {"fullname" : "Immunoprecipitation", "shortname":"IP"} }, "product-promise": { "all": "all", "testedAndGuaranteed": "tested", "guaranteed": "expected", "predicted": "predicted", "notRecommended": "not-recommended" } }, "values": { "Human": { "IHCP-species-checked": "testedAndGuaranteed", "IHCP-species-dilution-info": "", "IHCP-species-notes": "<p></p> Perform heat-mediated antigen retrieval before commencing with IHC staining protocol.", "ICCIF-species-checked": "testedAndGuaranteed", "ICCIF-species-dilution-info": "", "ICCIF-species-notes": "<p></p>", "WB-species-checked": "testedAndGuaranteed", "WB-species-dilution-info": "", "WB-species-notes": "<p></p>", "FlowCytIntra-species-checked": "testedAndGuaranteed", "FlowCytIntra-species-dilution-info": "", "FlowCytIntra-species-notes": "<p></p>", "IP-species-checked": "guaranteed", "IP-species-dilution-info": "", "IP-species-notes": "<p></p>" }, "Mouse": { "IHCP-species-checked": "guaranteed", "IHCP-species-dilution-info": "", "IHCP-species-notes": "", "ICCIF-species-checked": "guaranteed", "ICCIF-species-dilution-info": "", "ICCIF-species-notes": "", "WB-species-checked": "testedAndGuaranteed", "WB-species-dilution-info": "", "WB-species-notes": "<p></p>", "FlowCytIntra-species-checked": "guaranteed", "FlowCytIntra-species-dilution-info": "", "FlowCytIntra-species-notes": "", "IP-species-checked": "guaranteed", "IP-species-dilution-info": "", "IP-species-notes": "<p></p>" } } }

Product details

ab247419 is the carrier-free version of ab75975.

Patented technology
Our RabMAb® technology is a patented hybridoma-based technology for making rabbit monoclonal antibodies. For details on our patents, please refer to RabMAb® patents.

What are the advantages of a recombinant monoclonal antibody?
This product is a recombinant monoclonal antibody, which offers several advantages including:

  • - High batch-to-batch consistency and reproducibility
  • - Improved sensitivity and specificity
  • - Long-term security of supply
  • - Animal-free batch production

For more information, read more on recombinant antibodies.

Species reactivity
Rat: We have preliminary internal testing data to indicate this antibody may not react with this species.
Please contact us for more information.

Conjugation ready
Our carrier-free antibodies are typically supplied in a PBS-only formulation, purified and free of BSA, sodium azide and glycerol. This conjugation-ready format is designed for use with fluorochromes, metal isotopes, oligonucleotides, and enzymes, which makes them ideal for antibody labelling, functional and cell-based assays, flow-based assays (e.g. mass cytometry) and Multiplex Imaging applications.

Use our conjugation kits for antibody conjugates that are ready-to-use in as little as 20 minutes with 1 minute hands-on-time and 100% antibody recovery: available for fluorescent dyes, HRP, biotin and gold.

Compatibility
This product is compatible with the Maxpar® Antibody Labeling Kit from Fluidigm, without the need for antibody preparation. Maxpar® is a trademark of Fluidigm Canada Inc.

Properties and storage information

Form
Liquid
Purification technique
Affinity purification Protein A
Storage buffer
pH: 7.2 - 7.4 Constituents: PBS
Shipped at conditions
Blue Ice
Appropriate short-term storage conditions
+4°C
Appropriate long-term storage conditions
+4°C
Storage information
Do Not Freeze

Supplementary information

This supplementary information is collated from multiple sources and compiled automatically.

The protein MCM5 also known as Minichromosome Maintenance Complex Component 5 plays a significant role in DNA replication. It is a part of the minichromosome maintenance (MCM) family which consists of several proteins forming an important component of the pre-replication complex. MCM5 has a molecular mass of approximately 82 kDa. This protein is ubiquitously expressed in cells underlining its fundamental role in the cell cycle. The presence of MCM5 ensures the fidelity and timing of DNA replication initiation during the S phase of cell division.
Biological function summary

As a component of the MCM2-7 hexameric complex MCM5 contributes to the unwinding of DNA an essential step for replication. This complex acts as a helicase unwinding the DNA double helix at replication origins. This activity is required for laying down the replication fork and allowing access for the DNA polymerase. MCM5 integrates into the larger assembly of the replication machinery working in concert with cell cycle regulators to ensure proper cell cycle progression.

Pathways

MCM5 participates in DNA replication and cell cycle control pathways. It closely associates with the GINS complex and CDC45 forming the CMG (CDC45-MCM-GINS) complex which is critical for replication fork progression. MCM5 also interacts with the ATR-mediated DNA damage repair pathway. This relationship provides a checkpoint mechanism to halt replication in response to DNA damage allowing time for repair processes to maintain genomic stability.

MCM5 has implications in cancer and replication stress-related conditions. Overexpression or dysregulation of MCM5 can lead to uncontrolled cell proliferation contributing to oncogenesis. MCM5 has a notable connection to cyclin D1 and the Retinoblastoma (Rb) protein pathway often disrupted in cancers. Moreover in diseases characterized by replication stress such as certain neurodegenerative disorders improper MCM5 function can exacerbate genomic instability leading to disease progression.

Product protocols

For this product, it's our understanding that no specific protocols are required. You can visit:

Target data

Acts as a component of the MCM2-7 complex (MCM complex) which is the replicative helicase essential for 'once per cell cycle' DNA replication initiation and elongation in eukaryotic cells. Core component of CDC45-MCM-GINS (CMG) helicase, the molecular machine that unwinds template DNA during replication, and around which the replisome is built (PubMed : 16899510, PubMed : 32453425, PubMed : 34694004, PubMed : 34700328, PubMed : 35585232). The active ATPase sites in the MCM2-7 ring are formed through the interaction surfaces of two neighboring subunits such that a critical structure of a conserved arginine finger motif is provided in trans relative to the ATP-binding site of the Walker A box of the adjacent subunit. The six ATPase active sites, however, are likely to contribute differentially to the complex helicase activity (PubMed : 32453425).
See full target information MCM5

Product promise

We are committed to supporting your work with high-quality reagents, and we're here for you every step of the way. In the unlikely event that one of our products does not perform as expected, you're protected by our Product Promise.
For full details, please see our Terms & Conditions

Please note: All products are 'FOR RESEARCH USE ONLY. NOT FOR USE IN DIAGNOSTIC OR THERAPEUTIC PROCEDURES'.

For licensing inquiries, please contact partnerships@abcam.com