JavaScript is disabled in your browser. Please enable JavaScript to view this website.
AB280208

Anti-MCM6 antibody [1/MCM6]

Be the first to review this product! Submit a review

|

(0 Publication)

Mouse Recombinant Monoclonal MCM6 antibody. Suitable for IHC-P, WB, ICC/IF and reacts with Human samples.

View Alternative Names

DNA replication licensing factor MCM6, p105MCM, MCM6

5 Images
Immunohistochemistry (Formalin/PFA-fixed paraffin-embedded sections) - Anti-MCM6 antibody [1/MCM6] (AB280208)
  • IHC-P

Supplier Data

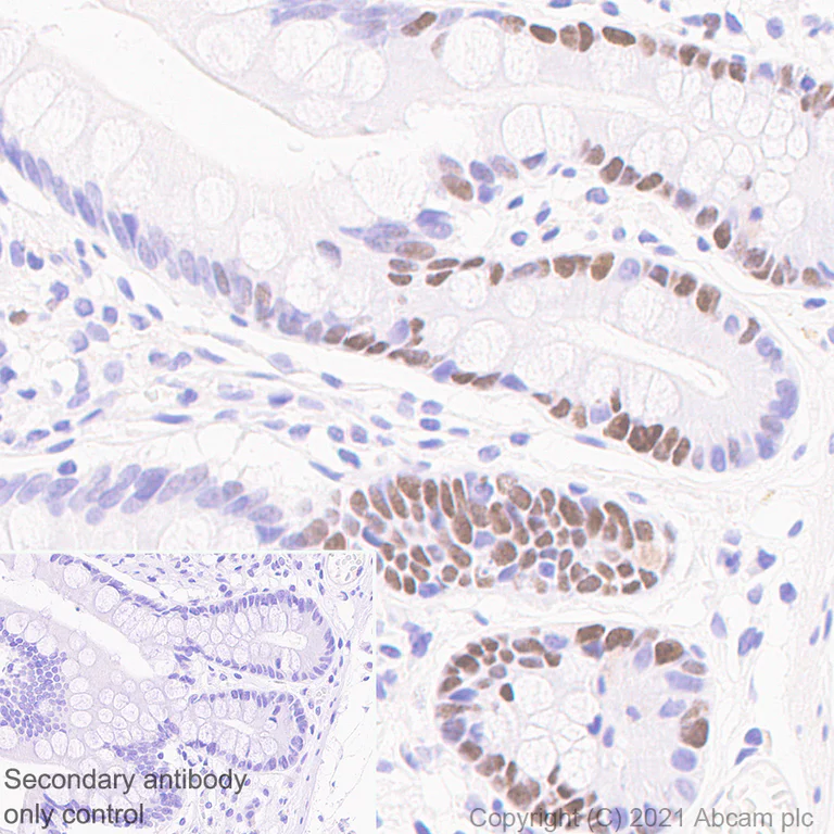
Immunohistochemistry (Formalin/PFA-fixed paraffin-embedded sections) - Anti-MCM6 antibody [1/MCM6] (AB280208)

Immunohistochemical analysis of paraffin-embedded Human colon tissue labeling MCM6 with ab280208 at 1/200 (4.945 ug/ml) dilution followed by a ready to use LeicaDS9800 (Bond™ Polymer Refine Detection) was used. Nuclear staining in human colon.The section was incubated with ab280208 for 30 mins at room temperature. The immunostaining was performed on a Leica Biosystems BOND® RX instrument Counterstained with Hematoxylin.

Secondary antibody only control : Secondary antibody is a ready to use LeicaDS9800 (Bond™ Polymer Refine Detection) was used.

Heat mediated antigen retrieval with Citrate buffer (pH 6.0, epitope retrieval solution 1) for 20 mins.

Immunocytochemistry/ Immunofluorescence - Anti-MCM6 antibody [1/MCM6] (AB280208)
  • ICC/IF

Supplier Data

Immunocytochemistry/ Immunofluorescence - Anti-MCM6 antibody [1/MCM6] (AB280208)

Immunofluorescent analysis of 4% Paraformaldehyde-fixed, 0.1% TritonX-100 permeabilized A431 cells labelling MCM6 with ab280208 at 1/20 (49.45 ug/ml) dilution, followed by ab150113 Goat Anti-Mouse IgG H&L (Alexa Fluor® 488) antibody at 1/1000 dilution (Green). Confocal image showing nuclear and weakly cytoplasmic staining in A431 cell line. ab179513 Anti-beta Tubulin rabbit monoclonal antibody was used to counterstain tubulin at 1/200 dilution (Red). The Nuclear counterstain was DAPI (Blue). Secondary antibody only control : Secondary antibody is ab150113 Goat Anti-Mouse IgG H&L (Alexa Fluor® 488) at 1/1000 dilution.

Immunohistochemistry (Formalin/PFA-fixed paraffin-embedded sections) - Anti-MCM6 antibody [1/MCM6] (AB280208)
  • IHC-P

Supplier Data

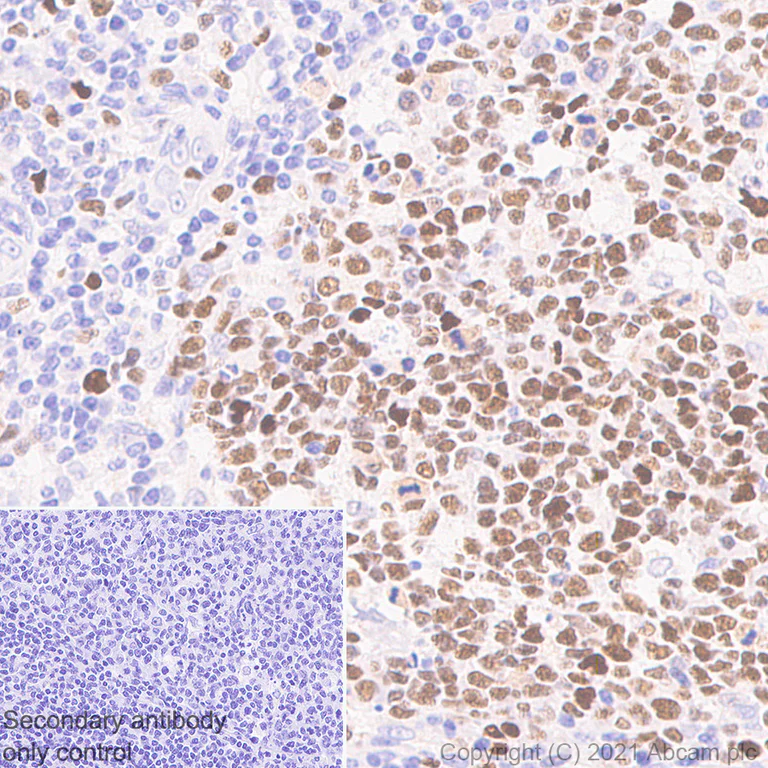
Immunohistochemistry (Formalin/PFA-fixed paraffin-embedded sections) - Anti-MCM6 antibody [1/MCM6] (AB280208)

Immunohistochemical analysis of paraffin-embedded Human tonsil tissue labeling MCM6 with ab280208 at 1/200 (4.945 ug/ml) dilution followed by a ready to use LeicaDS9800 (Bond™ Polymer Refine Detection) was used. Nuclear staining in human tonsil.The section was incubated with ab280208 for 30 mins at room temperature. The immunostaining was performed on a Leica Biosystems BOND® RX instrument Counterstained with Hematoxylin.

Secondary antibody only control : Secondary antibody is a ready to use LeicaDS9800 (Bond™ Polymer Refine Detection) was used.

Heat mediated antigen retrieval with Citrate buffer (pH 6.0, epitope retrieval solution 1) for 20 mins.

Immunocytochemistry/ Immunofluorescence - Anti-MCM6 antibody [1/MCM6] (AB280208)
  • ICC/IF

Supplier Data

Immunocytochemistry/ Immunofluorescence - Anti-MCM6 antibody [1/MCM6] (AB280208)

Immunofluorescent analysis of 4% Paraformaldehyde-fixed, 0.1% TritonX-100 permeabilized U-2 OS cells labelling MCM6 with ab280208 at 1/20 (49.45 ug/ml) dilution, followed by ab150113 Goat Anti-Mouse IgG H&L (Alexa Fluor® 488) antibody at 1/1000 dilution (Green). Confocal image showing nuclear and weakly cytoplasmic staining in U-2 OS cell line. ab179513 Anti-beta Tubulin rabbit monoclonal antibody was used to counterstain tubulin at 1/200 dilution (Red). The Nuclear counterstain was DAPI (Blue). Secondary antibody only control : Secondary antibody is ab150113 Goat Anti-Mouse IgG H&L (Alexa Fluor® 488) at 1/1000 dilution.

Western blot - Anti-MCM6 antibody [1/MCM6] (AB280208)
  • WB

Supplier Data

Western blot - Anti-MCM6 antibody [1/MCM6] (AB280208)

Blocking and Diluting buffer and concentration : 5% NFDM/TBST

Exposure time lane 1-5 : 37 seconds
lane 6 : 3 minutes

All lanes:

Western blot - Anti-MCM6 antibody [1/MCM6] (ab280208) at 1/1000 dilution

Lane 1:

MCF7 (human breast adenocarcinoma epithelial cell), whole cell lysate at 20 µg

Lane 2:

HeLa (human cervix adenocarcinoma epithelial cell ), whole cell lysate at 20 µg

Lane 3:

SW480 (human colorectal adenocarcinoma epithelial cell), whole cell lysate at 20 µg

Lane 4:

U-2 OS (human bone osteosarcoma epithelial cell), whole cell lysate at 20 µg

Lane 5:

A431 (human epidermoid carcinoma epithelial cell), whole cell lysate at 20 µg

Lane 6:

Human tonsil tissue lysate at 20 µg

Secondary

All lanes:

Peroxidase-Conjugated Goat anti-Mouse IgG (H+L) at 1/10000 dilution

Predicted band size: 93 kDa

false

  • Carrier free

    Anti-MCM6 antibody [1/MCM6] - BSA and Azide free

Key facts

Host species

Mouse

Clonality

Monoclonal

Clone number

1/MCM6

Isotype

IgG1

Carrier free

No

Reacts with

Human

Applications

IHC-P, ICC/IF, WB

applications

Reactivity data

{ "title": "Reactivity Data", "filters": { "stats": ["", "Species", "Dilution Info", "Notes"], "tabs": { "all-applications": {"fullname" : "All Applications", "shortname": "All Applications"}, "IHCP" : {"fullname" : "Immunohistochemistry (Formalin/PFA-fixed paraffin-embedded sections)", "shortname":"IHC-P"}, "WB" : {"fullname" : "Western blot", "shortname":"WB"}, "ICCIF" : {"fullname" : "Immunocytochemistry/ Immunofluorescence", "shortname":"ICC/IF"} }, "product-promise": { "all": "all", "testedAndGuaranteed": "tested", "guaranteed": "expected", "predicted": "predicted", "notRecommended": "not-recommended" } }, "values": { "Human": { "IHCP-species-checked": "testedAndGuaranteed", "IHCP-species-dilution-info": "1/200", "IHCP-species-notes": "<p></p> Perform heat-mediated antigen retrieval with citrate buffer pH 6 before commencing with IHC staining protocol.", "WB-species-checked": "testedAndGuaranteed", "WB-species-dilution-info": "1/1000", "WB-species-notes": "<p></p>", "ICCIF-species-checked": "testedAndGuaranteed", "ICCIF-species-dilution-info": "1/20", "ICCIF-species-notes": "<p></p>" } } }

Product details

What are the advantages of a recombinant monoclonal antibody?
This product is a recombinant monoclonal antibody, which offers several advantages including:

  • - High batch-to-batch consistency and reproducibility
  • - Improved sensitivity and specificity
  • - Long-term security of supply
  • - Animal-free batch production

For more information, read more on recombinant antibodies.

Properties and storage information

Form
Liquid
Purification technique
Affinity purification Protein A
Storage buffer
Preservative: 0.01% Sodium azide Constituents: PBS, 40% Glycerol (glycerin, glycerine), 0.05% BSA
Shipped at conditions
Blue Ice
Appropriate short-term storage duration
1-2 weeks
Appropriate short-term storage conditions
+4°C
Appropriate long-term storage conditions
-20°C
Aliquoting information
Upon delivery aliquot
Storage information
Avoid freeze / thaw cycle

Supplementary information

This supplementary information is collated from multiple sources and compiled automatically.

The target known as MCM6 or Minichromosome Maintenance Complex Component 6 is a part of a group of proteins providing essential functions during DNA replication initiation. MCM6 is a part of the hexameric MCM2-7 complex which operates as a helicase that unwinds DNA to facilitate fork progression. This protein has an approximate molecular weight of 92 kDa. MCM6 expresses in dividing cells across different tissues particularly in cells with high proliferative rates like those in the bone marrow and gastrointestinal tract.
Biological function summary

The functions of MCM6 contribute to the precise control of DNA replication and overall cell cycle regulation. The protein forms a part of the MCM2-7 complex playing a significant role in the S phase to ensure DNA replication occurs at the right time. Additionally the MCM complex acts as a primary licensing factor for replication origins preventing re-replication. MCM6 also interacts with other proteins like CDC45 and GINS to form the CMG complex a critical component for replication fork stability and duplication.

Pathways

MCM6 contributes significantly within the DNA replication and cell cycle pathways. As a component of the MCM2-7 complex it supports the unwinding of DNA which is a prerequisite for replication to initiate. MCM6 is related to proteins like CDC6 and ORC which are integral to the assembly of the pre-replication complex facilitating the initiation of DNA synthesis. This integration into core cellular mechanisms highlights its importance in genomic stability.

Mutations or deregulation of MCM6 have links to cancerous growths and genomic instability disorders. The aberrant expression of MCM6 is often observed in cancers such as colorectal and breast cancer where it contributes to unchecked cellular proliferation. MCM6 correlates with oncogenic proteins like MYC which can amplify abnormal cell cycle progression. Understanding the mechanistic contributions of MCM6 in these conditions assists in developing therapeutic strategies targeting these pathways.

Product protocols

For this product, it's our understanding that no specific protocols are required. You can visit:

Target data

Acts as a component of the MCM2-7 complex (MCM complex) which is the replicative helicase essential for 'once per cell cycle' DNA replication initiation and elongation in eukaryotic cells. Core component of CDC45-MCM-GINS (CMG) helicase, the molecular machine that unwinds template DNA during replication, and around which the replisome is built (PubMed : 16899510, PubMed : 32453425, PubMed : 34694004, PubMed : 34700328, PubMed : 35585232, PubMed : 9305914). The active ATPase sites in the MCM2-7 ring are formed through the interaction surfaces of two neighboring subunits such that a critical structure of a conserved arginine finger motif is provided in trans relative to the ATP-binding site of the Walker A box of the adjacent subunit. The six ATPase active sites, however, are likely to contribute differentially to the complex helicase activity (PubMed : 32453425).
See full target information MCM6

Product promise

We are committed to supporting your work with high-quality reagents, and we're here for you every step of the way. In the unlikely event that one of our products does not perform as expected, you're protected by our Product Promise.
For full details, please see our Terms & Conditions

Please note: All products are 'FOR RESEARCH USE ONLY. NOT FOR USE IN DIAGNOSTIC OR THERAPEUTIC PROCEDURES'.

For licensing inquiries, please contact partnerships@abcam.com