JavaScript is disabled in your browser. Please enable JavaScript to view this website.
AB201683

Anti-MCM6 antibody [EPR17686]

Be the first to review this product! Submit a review

|

(19 Publications)

Rabbit Recombinant Monoclonal MCM6 antibody. Suitable for IP, WB, ICC/IF, Flow Cyt (Intra), IHC-P and reacts with Human, Mouse, Rat samples. Cited in 19 publications.

View Alternative Names

DNA replication licensing factor MCM6, p105MCM, MCM6

10 Images
Flow Cytometry (Intracellular) - Anti-MCM6 antibody [EPR17686] (AB201683)
  • Flow Cyt (Intra)

Supplier Data

Flow Cytometry (Intracellular) - Anti-MCM6 antibody [EPR17686] (AB201683)

Intracellular flow cytometric analysis of HeLa (Human epithelial cells from cervix adenocarcinoma) cells labeling MCM6 with ab201683 at 1/130 dilution (red) compared with a rabbit monoclonal IgG isotype control (ab172730;black) and an unlabelled control (cells without incubation with primary antibody and secondary antibody; blue). Goat anti rabbit IgG (FITC) at 1/150 dilution was used as the secondary antibody.

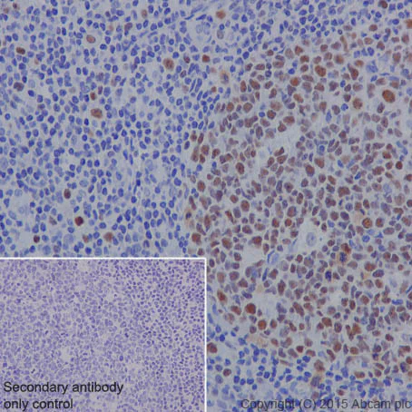
Immunohistochemistry (Formalin/PFA-fixed paraffin-embedded sections) - Anti-MCM6 antibody [EPR17686] (AB201683)
  • IHC-P

Supplier Data

Immunohistochemistry (Formalin/PFA-fixed paraffin-embedded sections) - Anti-MCM6 antibody [EPR17686] (AB201683)

Immunohistochemical analysis of paraffin-embedded Human tonsil tissue labeling MCM6 with ab201683 at 1/4000 dilution, followed by Goat Anti-Rabbit IgG H&L (HRP) (ab97051) secondary antibody at 1/500 dilution. Nuclear staining on Human tonsil tissue is observed. Counter stained with Hematoxylin.

Secondary antibody only control : Used PBS instead of primary antibody, secondary antibody is Goat Anti-Rabbit IgG H&L (HRP) (ab97051) at 1/500 dilution.

Perform heat mediated antigen retrieval with Tris/EDTA buffer pH 9.0 before commencing with IHC staining protocol.

Immunocytochemistry/ Immunofluorescence - Anti-MCM6 antibody [EPR17686] (AB201683)
  • ICC/IF

Supplier Data

Immunocytochemistry/ Immunofluorescence - Anti-MCM6 antibody [EPR17686] (AB201683)

Immunofluorescent analysis of 4% paraformaldehyde-fixed, 0.1% Triton X-100 permeabilized MCF7 (Human breast adenocarcinoma cell line) cells labeling MCM6 with ab201683 at 1/500 dilution, followed by Goat anti-rabbit IgG (Alexa Fluor® 488) (ab150077) secondary antibody at 1/500 dilution (green). Confocal image showing nuclear staining on MCF7 cell line. The nuclear counter stain is DAPI (blue). Tubulin is detected with ab7291 (anti-Tubulin mouse mAb) at 1/1000 dilution and ab150120 (AlexaFluor®594 Goat anti-Mouse secondary) at 1/500 dilution (red).

The negative controls are as follows :
-ve control 1 : ab201683 at 1/500 dilution followed by ab150120 (AlexaFluor®594 Goat anti-Mouse secondary) at 1/500 dilution.
-ve control 2 : ab7291 (anti-Tubulin mouse mAb) at 1/1000 dilution followed by ab150077 (Alexa Fluor®488 Goat Anti-Rabbit IgG H&L) at 1/500 dilution.

Immunocytochemistry/ Immunofluorescence - Anti-MCM6 antibody [EPR17686] (AB201683)
  • ICC/IF

Supplier Data

Immunocytochemistry/ Immunofluorescence - Anti-MCM6 antibody [EPR17686] (AB201683)

Immunofluorescent analysis of 4% paraformaldehyde-fixed, 0.1% Triton X-100 permeabilized Jurkat (Human T cell leukemia cells from peripheral blood) cells labeling MCM6 with ab201683 at 1/500 dilution, followed by Goat anti-rabbit IgG (Alexa Fluor® 488) (ab150077) secondary antibody at 1/500 dilution (green). Confocal image showing nuclear staining on Jurkat cell line. The nuclear counter stain is DAPI (blue). Tubulin is detected with ab7291 (anti-Tubulin mouse mAb) at 1/1000 dilution and ab150120 (AlexaFluor®594 Goat anti-Mouse secondary) at 1/500 dilution (red).

The negative controls are as follows :
-ve control 1 : ab201683 at 1/500 dilution followed by ab150120 (AlexaFluor®594 Goat anti-Mouse secondary) at 1/500 dilution.
-ve control 2 : ab7291 (anti-Tubulin mouse mAb) at 1/1000 dilution followed by ab150077 (Alexa Fluor®488 Goat Anti-Rabbit IgG H&L) at 1/500 dilution.

Immunoprecipitation - Anti-MCM6 antibody [EPR17686] (AB201683)
  • IP

Unknown

Immunoprecipitation - Anti-MCM6 antibody [EPR17686] (AB201683)

MCM6 was immunoprecipitated from 1mg of HeLa (Human epithelial cells from cervix adenocarcinoma) whole cell lysate with ab201683 at 1/40 dilution. Western blot was performed from the immunoprecipitate using ab201683 at 1/1000 dilution. VeriBlot for IP Detection Reagent (HRP) (ab131366) was used for detection at 1/1500 dilution.

Lane 1 : HeLa whole cell lysate 10 μg (Input). Lane 2 : ab201683 IP in HeLa whole cell lysate. Lane 3 : Rabbit monoclonal IgG (ab172730) instead of ab201683 in HeLa whole cell lysate.
Blocking and dilution buffer and concentration : 5% NFDM/TBST.

Exposure time : 30 seconds.

All lanes:

Immunoprecipitation - Anti-MCM6 antibody [EPR17686] (ab201683)

Predicted band size: 93 kDa

false

Immunohistochemistry (Formalin/PFA-fixed paraffin-embedded sections) - Anti-MCM6 antibody [EPR17686] (AB201683)
  • IHC-P

Supplier Data

Immunohistochemistry (Formalin/PFA-fixed paraffin-embedded sections) - Anti-MCM6 antibody [EPR17686] (AB201683)

Immunohistochemical analysis of paraffin-embedded mouse stomach tissue labeling MCM6 with ab201683 at 1/4000 dilution, followed by Goat Anti-Rabbit IgG H&L (HRP) (ab97051) secondary antibody at 1/500 dilution. Nuclear staining on mouse stomach tissue is observed. Counter stained with Hematoxylin.

Secondary antibody only control : Used PBS instead of primary antibody, secondary antibody is Goat Anti-Rabbit IgG H&L (HRP) (ab97051) at 1/500 dilution.

Perform heat mediated antigen retrieval with Tris/EDTA buffer pH 9.0 before commencing with IHC staining protocol.

Immunohistochemistry (Formalin/PFA-fixed paraffin-embedded sections) - Anti-MCM6 antibody [EPR17686] (AB201683)
  • IHC-P

Supplier Data

Immunohistochemistry (Formalin/PFA-fixed paraffin-embedded sections) - Anti-MCM6 antibody [EPR17686] (AB201683)

Immunohistochemical analysis of paraffin-embedded rat liver tissue labeling MCM6 with ab201683 at 1/4000 dilution, followed by Goat Anti-Rabbit IgG H&L (HRP) (ab97051) secondary antibody at 1/500 dilution. Nuclear staining on rat liver tissue is observed. Counter stained with Hematoxylin.

Secondary antibody only control : Used PBS instead of primary antibody, secondary antibody is Goat Anti-Rabbit IgG H&L (HRP) (ab97051) at 1/500 dilution.

Perform heat mediated antigen retrieval with Tris/EDTA buffer pH 9.0 before commencing with IHC staining protocol.

Western blot - Anti-MCM6 antibody [EPR17686] (AB201683)
  • WB

Supplier Data

Western blot - Anti-MCM6 antibody [EPR17686] (AB201683)

Blocking/Dilution buffer : 5% NFDM/TBST.

All lanes:

Western blot - Anti-MCM6 antibody [EPR17686] (ab201683) at 1/1000 dilution

Lane 1:

Human heart lysate at 10 µg

Lane 2:

Human kidney lysate at 10 µg

Secondary

All lanes:

Anti-Rabbit IgG (HRP), specific to the non-reduced form of IgG at 1/1000 dilution

Predicted band size: 93 kDa

Observed band size: 93 kDa

false

Exposure time: 3min

Western blot - Anti-MCM6 antibody [EPR17686] (AB201683)
  • WB

Supplier Data

Western blot - Anti-MCM6 antibody [EPR17686] (AB201683)

Blocking/Dilution buffer : 5% NFDM/TBST.

All lanes:

Western blot - Anti-MCM6 antibody [EPR17686] (ab201683) at 1/1000 dilution

Lane 1:

MCF7 (Human breast adenocarcinoma cell line) whole cell lysate at 20 µg

Lane 2:

HeLa (Human epithelial cells from cervix adenocarcinoma) whole cell lysate at 20 µg

Lane 3:

Jurkat (Human T cell leukemia cells from peripheral blood) whole cell lysate at 20 µg

Lane 4:

Human tonsil lysate at 20 µg

Secondary

All lanes:

Goat Anti-Rabbit IgG, (H+L), Peroxidase conjugated at 1/1000 dilution

Predicted band size: 93 kDa

Observed band size: 93 kDa

false

Exposure time: 3min

Western blot - Anti-MCM6 antibody [EPR17686] (AB201683)
  • WB

Supplier Data

Western blot - Anti-MCM6 antibody [EPR17686] (AB201683)

Blocking/Dilution buffer : 5% NFDM/TBST.

All lanes:

Western blot - Anti-MCM6 antibody [EPR17686] (ab201683) at 1/1000 dilution

Lane 1:

C6 (Rat glial tumor cells) whole cell lysate at 10 µg

Lane 2:

RAW 264.7 (Mouse macrophage cells transformed with Abelson murine leukemia virus) whole cell lysate at 10 µg

Lane 3:

PC-12 (Rat adrenal gland pheochromocytoma) whole cell lysate at 10 µg

Lane 4:

NIH/3T3 (Mouse embyro fibroblast cells) whole cell lysate at 10 µg

Secondary

All lanes:

Goat Anti-Rabbit IgG, (H+L), Peroxidase conjugated at 1/1000 dilution

Predicted band size: 93 kDa

Observed band size: 93 kDa

false

Exposure time: 1min

Key facts

Host species

Rabbit

Clonality

Monoclonal

Clone number

EPR17686

Isotype

IgG

Carrier free

No

Reacts with

Mouse, Rat, Human

Applications

WB, IP, IHC-P, Flow Cyt (Intra), ICC/IF

applications

Immunogen

The exact immunogen used to generate this antibody is proprietary information.

Reactivity data

{ "title": "Reactivity Data", "filters": { "stats": ["", "Species", "Dilution Info", "Notes"], "tabs": { "all-applications": {"fullname" : "All Applications", "shortname": "All Applications"}, "IP" : {"fullname" : "Immunoprecipitation", "shortname":"IP"}, "WB" : {"fullname" : "Western blot", "shortname":"WB"}, "ICCIF" : {"fullname" : "Immunocytochemistry/ Immunofluorescence", "shortname":"ICC/IF"}, "FlowCytIntra" : {"fullname" : "Flow Cytometry (Intracellular)", "shortname":"Flow Cyt (Intra)"}, "IHCP" : {"fullname" : "Immunohistochemistry (Formalin/PFA-fixed paraffin-embedded sections)", "shortname":"IHC-P"} }, "product-promise": { "all": "all", "testedAndGuaranteed": "tested", "guaranteed": "expected", "predicted": "predicted", "notRecommended": "not-recommended" } }, "values": { "Human": { "IP-species-checked": "testedAndGuaranteed", "IP-species-dilution-info": "1/40", "IP-species-notes": "<p></p>", "WB-species-checked": "testedAndGuaranteed", "WB-species-dilution-info": "1/1000", "WB-species-notes": "<p></p>", "ICCIF-species-checked": "testedAndGuaranteed", "ICCIF-species-dilution-info": "1/500", "ICCIF-species-notes": "<p></p>", "FlowCytIntra-species-checked": "testedAndGuaranteed", "FlowCytIntra-species-dilution-info": "1/130", "FlowCytIntra-species-notes": "<p><a href='/en-us/products/primary-antibodies/rabbit-igg-monoclonal-epr25a-isotype-control-ab172730'>ab172730</a> - Rabbit monoclonal IgG, is suitable for use as an isotype control with this antibody.</p>", "IHCP-species-checked": "testedAndGuaranteed", "IHCP-species-dilution-info": "1/4000", "IHCP-species-notes": "<p></p> Perform heat-mediated antigen retrieval with Tris/EDTA buffer pH 9.0 before commencing with IHC staining protocol." }, "Mouse": { "IP-species-checked": "guaranteed", "IP-species-dilution-info": "", "IP-species-notes": "", "WB-species-checked": "testedAndGuaranteed", "WB-species-dilution-info": "1/1000", "WB-species-notes": "<p></p>", "ICCIF-species-checked": "guaranteed", "ICCIF-species-dilution-info": "", "ICCIF-species-notes": "", "FlowCytIntra-species-checked": "guaranteed", "FlowCytIntra-species-dilution-info": "", "FlowCytIntra-species-notes": "", "IHCP-species-checked": "testedAndGuaranteed", "IHCP-species-dilution-info": "1/4000", "IHCP-species-notes": "<p></p> Perform heat-mediated antigen retrieval with Tris/EDTA buffer pH 9.0 before commencing with IHC staining protocol." }, "Rat": { "IP-species-checked": "guaranteed", "IP-species-dilution-info": "", "IP-species-notes": "", "WB-species-checked": "testedAndGuaranteed", "WB-species-dilution-info": "1/1000", "WB-species-notes": "<p></p>", "ICCIF-species-checked": "guaranteed", "ICCIF-species-dilution-info": "", "ICCIF-species-notes": "", "FlowCytIntra-species-checked": "guaranteed", "FlowCytIntra-species-dilution-info": "", "FlowCytIntra-species-notes": "", "IHCP-species-checked": "testedAndGuaranteed", "IHCP-species-dilution-info": "1/4000", "IHCP-species-notes": "<p></p> Perform heat-mediated antigen retrieval with Tris/EDTA buffer pH 9.0 before commencing with IHC staining protocol." } } }

Product details

Patented technology
Our RabMAb® technology is a patented hybridoma-based technology for making rabbit monoclonal antibodies. For details on our patents, please refer to RabMAb® patents.

What are the advantages of a recombinant monoclonal antibody?
This product is a recombinant monoclonal antibody, which offers several advantages including:

  • - High batch-to-batch consistency and reproducibility
  • - Improved sensitivity and specificity
  • - Long-term security of supply
  • - Animal-free batch production

For more information, read more on recombinant antibodies.

Properties and storage information

Form
Liquid
Purification technique
Affinity purification Protein A
Storage buffer
pH: 7.2 - 7.4 Preservative: 0.01% Sodium azide Constituents: PBS, 40% Glycerol (glycerin, glycerine), 0.05% BSA
Shipped at conditions
Blue Ice
Appropriate short-term storage duration
1-2 weeks
Appropriate short-term storage conditions
+4°C
Appropriate long-term storage conditions
-20°C
Aliquoting information
Upon delivery aliquot
Storage information
Avoid freeze / thaw cycle

Supplementary information

This supplementary information is collated from multiple sources and compiled automatically.

The target known as MCM6 or Minichromosome Maintenance Complex Component 6 is a part of a group of proteins providing essential functions during DNA replication initiation. MCM6 is a part of the hexameric MCM2-7 complex which operates as a helicase that unwinds DNA to facilitate fork progression. This protein has an approximate molecular weight of 92 kDa. MCM6 expresses in dividing cells across different tissues particularly in cells with high proliferative rates like those in the bone marrow and gastrointestinal tract.
Biological function summary

The functions of MCM6 contribute to the precise control of DNA replication and overall cell cycle regulation. The protein forms a part of the MCM2-7 complex playing a significant role in the S phase to ensure DNA replication occurs at the right time. Additionally the MCM complex acts as a primary licensing factor for replication origins preventing re-replication. MCM6 also interacts with other proteins like CDC45 and GINS to form the CMG complex a critical component for replication fork stability and duplication.

Pathways

MCM6 contributes significantly within the DNA replication and cell cycle pathways. As a component of the MCM2-7 complex it supports the unwinding of DNA which is a prerequisite for replication to initiate. MCM6 is related to proteins like CDC6 and ORC which are integral to the assembly of the pre-replication complex facilitating the initiation of DNA synthesis. This integration into core cellular mechanisms highlights its importance in genomic stability.

Mutations or deregulation of MCM6 have links to cancerous growths and genomic instability disorders. The aberrant expression of MCM6 is often observed in cancers such as colorectal and breast cancer where it contributes to unchecked cellular proliferation. MCM6 correlates with oncogenic proteins like MYC which can amplify abnormal cell cycle progression. Understanding the mechanistic contributions of MCM6 in these conditions assists in developing therapeutic strategies targeting these pathways.

Product protocols

For this product, it's our understanding that no specific protocols are required. You can visit:

Target data

Acts as a component of the MCM2-7 complex (MCM complex) which is the replicative helicase essential for 'once per cell cycle' DNA replication initiation and elongation in eukaryotic cells. Core component of CDC45-MCM-GINS (CMG) helicase, the molecular machine that unwinds template DNA during replication, and around which the replisome is built (PubMed : 16899510, PubMed : 32453425, PubMed : 34694004, PubMed : 34700328, PubMed : 35585232, PubMed : 9305914). The active ATPase sites in the MCM2-7 ring are formed through the interaction surfaces of two neighboring subunits such that a critical structure of a conserved arginine finger motif is provided in trans relative to the ATP-binding site of the Walker A box of the adjacent subunit. The six ATPase active sites, however, are likely to contribute differentially to the complex helicase activity (PubMed : 32453425).
See full target information MCM6

Publications (19)

Recent publications for all applications. Explore the full list and refine your search

Bioscience reports 44: PubMed39268985

2024

MCM proteins are up-regulated in placentas of women with reduced insulin sensitivity.

Applications

Unspecified application

Species

Unspecified reactive species

Julia Bandres-Meriz,Marta Inmaculada Sanz-Cuadrado,Irene Hurtado de Mendoza,Alejandro Majali-Martinez,Sophie Elisabeth Honeder,Tereza Cindrova-Davies,Ruth Birner-Gruenberger,Louise Torp Dalgaard,Gernot Desoye

iScience 26:107940 PubMed37810227

2023

Minichromosome maintenance 6 protects against renal fibrogenesis by regulating DUSP6-mediated ERK/GSK-3β/Snail1 signaling.

Applications

Unspecified application

Species

Unspecified reactive species

Jing Huang,Zhi-Feng Xu,Feng Liu,An-Ni Song,Hua Su,Chun Zhang

Nature communications 14:5076 PubMed37604829

2023

NFIB facilitates replication licensing by acting as a genome organizer.

Applications

Unspecified application

Species

Unspecified reactive species

Wenting Zhang,Yue Wang,Yongjie Liu,Cuifang Liu,Yizhou Wang,Lin He,Xiao Cheng,Yani Peng,Lu Xia,Xiaodi Wu,Jiajing Wu,Yu Zhang,Luyang Sun,Ping Chen,Guohong Li,Qiang Tu,Jing Liang,Yongfeng Shang

Biomedicine & pharmacotherapy = Biomedecine & pharmacotherapie 161:114486 PubMed36906970

2023

Discovery of drug targets and therapeutic agents based on drug repositioning to treat lung adenocarcinoma.

Applications

Unspecified application

Species

Unspecified reactive species

Occam Kelly Graves,Woonghee Kim,Mehmet Özcan,Sajda Ashraf,Hasan Turkez,Meng Yuan,Cheng Zhang,Adil Mardinoglu,Xiangyu Li

Nature communications 13:6090 PubMed36241664

2022

Solving the MCM paradox by visualizing the scaffold of CMG helicase at active replisomes.

Applications

Unspecified application

Species

Unspecified reactive species

Hana Polasek-Sedlackova,Thomas C R Miller,Jana Krejci,Maj-Britt Rask,Jiri Lukas

Signal transduction and targeted therapy 7:102 PubMed35414135

2022

LSD1 is required for euchromatic origin firing and replication timing.

Applications

Unspecified application

Species

Unspecified reactive species

Yue Wang,Yunchao Huang,Edith Cheng,Xinhua Liu,Yu Zhang,Jianguo Yang,Jordan T F Young,Grant W Brown,Xiaohan Yang,Yongfeng Shang

BMC cancer 21:784 PubMed34233647

2021

MCM6 indicates adverse tumor features and poor outcomes and promotes G1/S cell cycle progression in neuroblastoma.

Applications

Unspecified application

Species

Unspecified reactive species

Yaoyao Gu,Xiaoxiao Hu,Xiaowei Liu,Cheng Cheng,Kai Chen,Yeming Wu,Zhixiang Wu

Life sciences 272:119227 PubMed33607151

2021

Identification of MCM family as potential therapeutic and prognostic targets for hepatocellular carcinoma based on bioinformatics and experiments.

Applications

Unspecified application

Species

Unspecified reactive species

Yu Lei,Shuhui Wang,Jingmei Liu,Wei Yan,Ping Han,Dean Tian

OncoTargets and therapy 13:12015-12025 PubMed33244243

2020

Huaier Suppresses the Hepatocellular Carcinoma Cell Cycle by Regulating Minichromosome Maintenance Proteins.

Applications

Unspecified application

Species

Unspecified reactive species

Yongjie Niu,Liang Shan,Han Gao,Congcong Zhang,Zijun Qian,Zhixian Wang,Xin Xu,Xiao Zhang,Jiayi Wang,Lifang Ma,Liyun Chen,Yongchun Yu

Cell death discovery 6:89 PubMed33014433

2020

Protein kinase D1 phosphorylation of KAT7 enhances its protein stability and promotes replication licensing and cell proliferation.

Applications

Unspecified application

Species

Unspecified reactive species

Yao Liang,Yuanyuan Su,Chenzhong Xu,Na Zhang,Doudou Liu,Guodong Li,Tanjun Tong,Jun Chen
View all publications

Product promise

We are committed to supporting your work with high-quality reagents, and we're here for you every step of the way. In the unlikely event that one of our products does not perform as expected, you're protected by our Product Promise.
For full details, please see our Terms & Conditions

Please note: All products are 'FOR RESEARCH USE ONLY. NOT FOR USE IN DIAGNOSTIC OR THERAPEUTIC PROCEDURES'.

For licensing inquiries, please contact partnerships@abcam.com