JavaScript is disabled in your browser. Please enable JavaScript to view this website.
AB52489

Anti-MCM7/PRL antibody [EP1974Y]

Be the first to review this product! Submit a review

|

(29 Publications)

Rabbit Recombinant Monoclonal MCM7/PRL antibody. Suitable for IHC-P, IP, WB, ICC/IF, Flow Cyt (Intra) and reacts with Rat, Human samples. Cited in 29 publications.

View Alternative Names

CDC47, MCM2, MCM7, DNA replication licensing factor MCM7, CDC47 homolog, P1.1-MCM3

6 Images
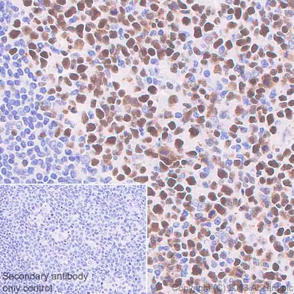
Immunohistochemistry (Formalin/PFA-fixed paraffin-embedded sections) - Anti-MCM7/PRL antibody [EP1974Y] (AB52489)
  • IHC-P

Unknown

Immunohistochemistry (Formalin/PFA-fixed paraffin-embedded sections) - Anti-MCM7/PRL antibody [EP1974Y] (AB52489)

Immunohistochemistry (Formalin/PFA-fixed paraffin-embedded sections) analysis of human tonsil tissue sections labeling MCM7/PRL with purified ab52489 at 1/50 dilution (5.4 µg/mL). Perform heat mediated antigen retrieval using ab93684 (Tris/EDTA buffer, pH 9.0). ImmunoHistoProbe one step HRP Polymer (ready to use) was used as the secondary antibody. Negative control : PBS instead of the primary antibody. Hematoxylin was used as a counterstain.

Immunocytochemistry/ Immunofluorescence - Anti-MCM7/PRL antibody [EP1974Y] (AB52489)
  • ICC/IF

Unknown

Immunocytochemistry/ Immunofluorescence - Anti-MCM7/PRL antibody [EP1974Y] (AB52489)

Immunocytochemistry/ Immunofluorescence analysis of MCF7 (Human breast adenocarcinoma epithelial cell) cells labeling MCM7/PRL with Purified ab52489 at 1/50 (5.4 µg/mL). Cells were fixed in 4% Paraformaldehyde and permeabilized with 0.1% tritonX-100. Cells were counterstained with ab195889 Anti-alpha Tubulin antibody [DM1A] - Microtubule Marker (Alexa Fluor® 594) 1/200 (2.5 µg/mL). Goat anti rabbit IgG (Alexa Fluor® 488, ab150077) was used as the secondary antibody at 1/1000 (2 µg/mL) dilution. DAPI (blue) was used as nuclear counterstain. PBS instead of the primary antibody was used as the secondary antibody only control.

Flow Cytometry (Intracellular) - Anti-MCM7/PRL antibody [EP1974Y] (AB52489)
  • Flow Cyt (Intra)

Unknown

Flow Cytometry (Intracellular) - Anti-MCM7/PRL antibody [EP1974Y] (AB52489)

Intracellular Flow Cytometry analysis of MCF7 (Human breast adenocarcinoma epithelial cell) cells labeling MCM7/PRL with Purified ab52489 at 1/30 dilution (10 μg/mL) (Red). Cells were fixed with 4% Paraformaldehyde and permeabilised with 90% Methanol. A Goat anti rabbit IgG (Alexa Fluor® 488, ab150077) secondary antibody was used at 1/2000. Isotype control - Rabbit monoclonal IgG (Black). Unlabeled control - Cell without incubation with primary antibody and secondary antibody (Blue).

Immunoprecipitation - Anti-MCM7/PRL antibody [EP1974Y] (AB52489)
  • IP

Unknown

Immunoprecipitation - Anti-MCM7/PRL antibody [EP1974Y] (AB52489)

Purified ab52489 at 1/20 dilution (2ug) immunoprecipitating MCM7/PRL in Jurkat whole cell lysate.
Lane 1 (input) : Jurkat (Human T cell leukemia T lymphocyte) whole cell lysate (10μg)
Lane 2 (+) : ab52489 + Jurkat whole cell lysate.
Lane 3 (-) : Rabbit monoclonal IgG (ab172730) instead of ab52489 in Jurkat whole cell lysate.
VeriBlot for IP Detection Reagent (HRP) (ab131366) (1/1000) was used for Western blotting.
Blocking Buffer and concentration : 5% NFDM/TBST.
Diluting buffer and concentration : 5% NFDM/TBST.
Observed band size : 81 kDa

All lanes:

Immunoprecipitation - Anti-MCM7/PRL antibody [EP1974Y] (ab52489)

Predicted band size: 81 kDa

false

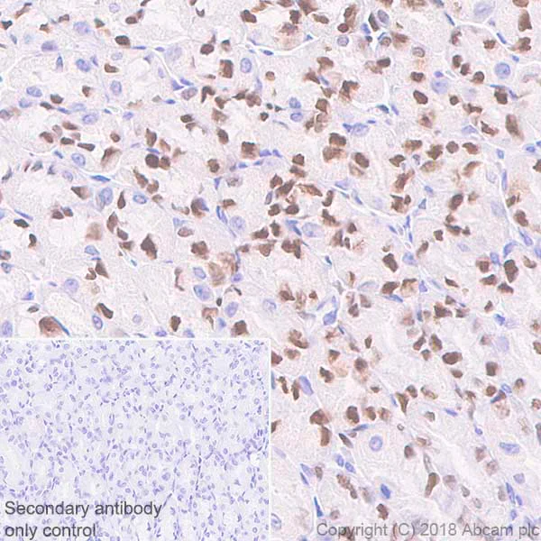
Immunohistochemistry (Formalin/PFA-fixed paraffin-embedded sections) - Anti-MCM7/PRL antibody [EP1974Y] (AB52489)
  • IHC-P

Unknown

Immunohistochemistry (Formalin/PFA-fixed paraffin-embedded sections) - Anti-MCM7/PRL antibody [EP1974Y] (AB52489)

Immunohistochemistry (Formalin/PFA-fixed paraffin-embedded sections) analysis of rat stomach tissue sections labeling MCM7/PRL with purified ab52489 at 1/50 dilution (5.4 µg/mL). Perform heat mediated antigen retrieval using ab93684 (Tris/EDTA buffer, pH 9.0). ImmunoHistoProbe one step HRP Polymer (ready to use) was used as the secondary antibody. Negative control : PBS instead of the primary antibody. Hematoxylin was used as a counterstain.

Western blot - Anti-MCM7/PRL antibody [EP1974Y] (AB52489)
  • WB

Unknown

Western blot - Anti-MCM7/PRL antibody [EP1974Y] (AB52489)

Blocking/Diluting buffer : 5% NFDM/TBST

All lanes:

Western blot - Anti-MCM7/PRL antibody [EP1974Y] (ab52489) at 1/1000 dilution

Lane 1:

HeLa (Human cervix adenocarcinoma epithelial cell) whole cell lysates at 20 µg

Lane 2:

A431 (Human epidermoid carcinoma epithelial cell) whole cell lysates at 20 µg

Lane 3:

C6 (Rat glial tumor glial cell) whole cell lysates at 20 µg

Lane 4:

Rat spleen lysates at 20 µg

Secondary

All lanes:

Western blot - Goat Anti-Rabbit IgG H&L (HRP) (<a href='/en-us/products/secondary-antibodies/goat-rabbit-igg-h-l-hrp-ab97051'>ab97051</a>) at 1/20000 dilution

Predicted band size: 81 kDa

Observed band size: 81 kDa

false

Key facts

Host species

Rabbit

Clonality

Monoclonal

Clone number

EP1974Y

Isotype

IgG

Carrier free

No

Reacts with

Rat, Human

Applications

IP, ICC/IF, IHC-P, WB, Flow Cyt (Intra)

applications

Immunogen

The exact immunogen used to generate this antibody is proprietary information.

Specificity

This antibody reacts with hCDC47

Reactivity data

{ "title": "Reactivity Data", "filters": { "stats": ["", "Species", "Dilution Info", "Notes"], "tabs": { "all-applications": {"fullname" : "All Applications", "shortname": "All Applications"}, "IHCP" : {"fullname" : "Immunohistochemistry (Formalin/PFA-fixed paraffin-embedded sections)", "shortname":"IHC-P"}, "IP" : {"fullname" : "Immunoprecipitation", "shortname":"IP"}, "WB" : {"fullname" : "Western blot", "shortname":"WB"}, "ICCIF" : {"fullname" : "Immunocytochemistry/ Immunofluorescence", "shortname":"ICC/IF"}, "FlowCytIntra" : {"fullname" : "Flow Cytometry (Intracellular)", "shortname":"Flow Cyt (Intra)"} }, "product-promise": { "all": "all", "testedAndGuaranteed": "tested", "guaranteed": "expected", "predicted": "predicted", "notRecommended": "not-recommended" } }, "values": { "Human": { "IHCP-species-checked": "testedAndGuaranteed", "IHCP-species-dilution-info": "1/50", "IHCP-species-notes": "<p></p> Perform heat-mediated antigen retrieval with citrate buffer pH 6 before commencing with IHC staining protocol.", "IP-species-checked": "testedAndGuaranteed", "IP-species-dilution-info": "1/20", "IP-species-notes": "<p></p>", "WB-species-checked": "testedAndGuaranteed", "WB-species-dilution-info": "1/1000", "WB-species-notes": "<p></p>", "ICCIF-species-checked": "testedAndGuaranteed", "ICCIF-species-dilution-info": "1/50", "ICCIF-species-notes": "<p></p>", "FlowCytIntra-species-checked": "testedAndGuaranteed", "FlowCytIntra-species-dilution-info": "1/30", "FlowCytIntra-species-notes": "<p><a href='/en-us/products/primary-antibodies/rabbit-igg-monoclonal-epr25a-isotype-control-ab172730'>ab172730</a> - Rabbit monoclonal IgG, is suitable for use as an isotype control with this antibody.</p>" }, "Rat": { "IHCP-species-checked": "testedAndGuaranteed", "IHCP-species-dilution-info": "1/50", "IHCP-species-notes": "<p></p> Perform heat-mediated antigen retrieval with citrate buffer pH 6 before commencing with IHC staining protocol.", "IP-species-checked": "guaranteed", "IP-species-dilution-info": "", "IP-species-notes": "", "WB-species-checked": "testedAndGuaranteed", "WB-species-dilution-info": "1/1000", "WB-species-notes": "<p></p>", "ICCIF-species-checked": "guaranteed", "ICCIF-species-dilution-info": "", "ICCIF-species-notes": "", "FlowCytIntra-species-checked": "guaranteed", "FlowCytIntra-species-dilution-info": "", "FlowCytIntra-species-notes": "" } } }

Product details

Patented technology
Our RabMAb® technology is a patented hybridoma-based technology for making rabbit monoclonal antibodies. For details on our patents, please refer to RabMAb® patents.

What are the advantages of a recombinant monoclonal antibody?
This product is a recombinant monoclonal antibody, which offers several advantages including:

  • - High batch-to-batch consistency and reproducibility
  • - Improved sensitivity and specificity
  • - Long-term security of supply
  • - Animal-free batch production

For more information, read more on recombinant antibodies.

Properties and storage information

Form
Liquid
Purification technique
Affinity purification Protein A
Storage buffer
pH: 7.2 - 7.4 Preservative: 0.01% Sodium azide Constituents: PBS, 40% Glycerol (glycerin, glycerine), 0.05% BSA
Shipped at conditions
Blue Ice
Appropriate short-term storage duration
1-2 weeks
Appropriate short-term storage conditions
+4°C
Appropriate long-term storage conditions
-20°C
Aliquoting information
Upon delivery aliquot
Storage information
Avoid freeze / thaw cycle

Supplementary information

This supplementary information is collated from multiple sources and compiled automatically.

The MCM7 (Minichromosome Maintenance Complex Component 7) also known as PRL serves an important mechanical role in DNA replication. It is part of the MCM2-7 complex a helicase essential for the initiation and elongation phases of DNA replication. MCM7 has a molecular mass of approximately 81 kDa and is found expressed in the nucleus of proliferating cells. It is essential for unwinding the DNA helix preparing it for replication.
Biological function summary

MCM7 is involved in maintaining genomic stability and ensuring accurate DNA replication. As part of the larger MCM2-7 hexameric complex it collaborates with other members to form the core component of the pre-replicative complex (pre-RC). By loading onto replication origins MCM7 helps license the DNA for duplication. This function contributes to cell cycle progression particularly the S phase where DNA synthesis occurs.

Pathways

MCM7 plays an important role in DNA replication-related signaling pathways. It functions within the cell cycle and DNA replication pathways interacting closely with other essential proteins like CDC45 and GINS complex. These partnerships facilitate the transition from the G1 to the S phase triggering the replication machinery's activation and ensuring cell division processes continue smoothly.

MCM7 has been associated with various cancers including breast and prostate cancer. Aberrant expression or dysregulation of MCM7 contributes to uncontrolled cell proliferation linking it to tumorigenesis. Also MCM7 interacts with proteins such as cyclin D1 in certain oncogenic pathways emphasizing its role in the progression of cancerous conditions. Understanding these interactions offers insights into potential therapeutic targets for cancer treatment.

Product protocols

For this product, it's our understanding that no specific protocols are required. You can visit:

Target data

Acts as a component of the MCM2-7 complex (MCM complex) which is the replicative helicase essential for 'once per cell cycle' DNA replication initiation and elongation in eukaryotic cells. Core component of CDC45-MCM-GINS (CMG) helicase, the molecular machine that unwinds template DNA during replication, and around which the replisome is built (PubMed : 25661590, PubMed : 32453425, PubMed : 34694004, PubMed : 34700328, PubMed : 35585232, PubMed : 9305914). The active ATPase sites in the MCM2-7 ring are formed through the interaction surfaces of two neighboring subunits such that a critical structure of a conserved arginine finger motif is provided in trans relative to the ATP-binding site of the Walker A box of the adjacent subunit. The six ATPase active sites, however, are likely to contribute differentially to the complex helicase activity (PubMed : 32453425). Required for S-phase checkpoint activation upon UV-induced damage.
See full target information MCM7

Publications (29)

Recent publications for all applications. Explore the full list and refine your search

Cancers 17: PubMed40940984

2025

Dual-Targeting of ATOX1 and ROCK1: A Potent Strategy to Potentiate the Inhibition of Lung Adenocarcinoma Proliferation.

Applications

Unspecified application

Species

Unspecified reactive species

Sailong Ma,Changqing Peng,Qi Xiong,Liying Yang,Pengcheng Yan,Zitian Huo,Guoping Wang

Scientific reports 15:31037 PubMed40849525

2025

Proteomics on choroidal neovascularization based on itraq and the protective effect of TAB1 in CNV.

Applications

Unspecified application

Species

Unspecified reactive species

Yong Du,Shaoqiu Jiang,Lujia Feng,Jing Lu,Hui Peng,Xiyuan Zhou

Nature cell biology 26:1943-1957 PubMed39482354

2024

Caspase-2 is a condensate-mediated deubiquitinase in protein quality control.

Applications

Unspecified application

Species

Unspecified reactive species

Yingwei Ge,Lijie Zhou,Yesheng Fu,Lijuan He,Yi Chen,Dingchang Li,Yuping Xie,Jun Yang,Haitao Wu,Hongmiao Dai,Zhiqiang Peng,Yong Zhang,Shaoqiong Yi,Bo Wu,Xin Zhang,Yangjun Zhang,Wantao Ying,Chun-Ping Cui,Cui Hua Liu,Lingqiang Zhang

International heart journal 64:1113-1124 PubMed37967992

2023

Circ-SUZ12 Protects Cardiomyocytes from Hypoxia-Induced Dysfunction Through Upregulating SUZ12 Expression to Activate Wnt/β-catenin Signaling Pathway.

Applications

Unspecified application

Species

Unspecified reactive species

Long Li,Chao Li,Shuai Cao,Gaoliang Zhou,Yongjin Jiang,Jun Feng

Nature communications 14:5076 PubMed37604829

2023

NFIB facilitates replication licensing by acting as a genome organizer.

Applications

Unspecified application

Species

Unspecified reactive species

Wenting Zhang,Yue Wang,Yongjie Liu,Cuifang Liu,Yizhou Wang,Lin He,Xiao Cheng,Yani Peng,Lu Xia,Xiaodi Wu,Jiajing Wu,Yu Zhang,Luyang Sun,Ping Chen,Guohong Li,Qiang Tu,Jing Liang,Yongfeng Shang

Cell chemical biology 30:1235-1247.e6 PubMed37531956

2023

Small molecule targeting of transcription-replication conflict for selective chemotherapy.

Applications

Unspecified application

Species

Unspecified reactive species

Long Gu,Min Li,Caroline M Li,Pouya Haratipour,Robert Lingeman,Jennifer Jossart,Margarita Gutova,Linda Flores,Caitlyn Hyde,Nikola Kenjić,Haiqing Li,Vincent Chung,Hongzhi Li,Brett Lomenick,Daniel D Von Hoff,Timothy W Synold,Karen S Aboody,Yilun Liu,David Horne,Robert J Hickey,J Jefferson P Perry,Linda H Malkas

PLoS pathogens 19:e1011464 PubMed37379354

2023

HPV E6 inhibits E6AP to regulate epithelial homeostasis by modulating keratinocyte differentiation commitment and YAP1 activation.

Applications

Unspecified application

Species

Unspecified reactive species

Wen Yin,Nagayasu Egawa,Ke Zheng,Heather Griffin,Pu Tian,Ademola Aiyenuro,Jacob Bornstein,John Doorbar

Nature communications 14:1233 PubMed36871012

2023

DNA replication initiation factor RECQ4 possesses a role in antagonizing DNA replication initiation.

Applications

Unspecified application

Species

Unspecified reactive species

Xiaohua Xu,Chou-Wei Chang,Min Li,Kenneth Omabe,Nhung Le,Yi-Hsuan Chen,Feng Liang,Yilun Liu

iScience 25:105029 PubMed36111256

2022

MCM7 supports the stemness of bladder cancer stem-like cells by enhancing autophagic flux.

Applications

Unspecified application

Species

Unspecified reactive species

Lijun Mo,Bijia Su,Lili Xu,Zhiming Hu,Hongwei Li,Hongyan Du,Jinlong Li

Pharmaceuticals (Basel, Switzerland) 15: PubMed35337060

2022

A Combined Treatment with Berberine and Andrographis Exhibits Enhanced Anti-Cancer Activity through Suppression of DNA Replication in Colorectal Cancer.

Applications

Unspecified application

Species

Unspecified reactive species

Yinghui Zhao,Souvick Roy,Chuanxin Wang,Ajay Goel
View all publications

Product promise

We are committed to supporting your work with high-quality reagents, and we're here for you every step of the way. In the unlikely event that one of our products does not perform as expected, you're protected by our Product Promise.
For full details, please see our Terms & Conditions

Please note: All products are 'FOR RESEARCH USE ONLY. NOT FOR USE IN DIAGNOSTIC OR THERAPEUTIC PROCEDURES'.

For licensing inquiries, please contact partnerships@abcam.com