JavaScript is disabled in your browser. Please enable JavaScript to view this website.
AB308523

Anti-MCP1 antibody [EPR27464-89] - BSA and Azide free

Be the first to review this product! Submit a review

|

(0 Publication)

Rabbit Recombinant Monoclonal MCP1 antibody. Carrier free. Suitable for WB, IHC-P, ICC/IF, IP and reacts with Mouse samples.

View Alternative Names

Je, Mcp1, Scya2, Ccl2, C-C motif chemokine 2, Monocyte chemoattractant protein 1, Monocyte chemotactic protein 1, Platelet-derived growth factor-inducible protein JE, Small-inducible cytokine A2, MCP-1

6 Images
Immunohistochemistry (Formalin/PFA-fixed paraffin-embedded sections) - Anti-MCP1 antibody [EPR27464-89] - BSA and Azide free (AB308523)
  • IHC-P

Supplier Data

Immunohistochemistry (Formalin/PFA-fixed paraffin-embedded sections) - Anti-MCP1 antibody [EPR27464-89] - BSA and Azide free (AB308523)

Immunohistochemical analysis of paraffin-embedded Panel A. Mouse lung tissue labelling MCP1 with ab308522 at 1/500 (1.026 ug/ml) followed by a ready to use LeicaDS9800 (Bond™ Polymer Refine Detection). Cytoplasmic staining on mouse lung treated with 1ug/ml LPS for 16h (Panel A); Low expression on untreated mouse lung (Panel B).The section was incubated with ab308522 for 30 mins at room temperature (PMID : 14688348).The immunostaining was performed on a Leica Biosystems BOND® RX instrument Counterstained with Hematoxylin. Secondary antibody only control : Secondary antibody is a ready to use LeicaDS9800 (Bond™ Polymer Refine Detection). Heat mediated antigen retrieval was performed with Tris-EDTA buffer (pH 9.0, Epitope Retrieval Solution2) for 20 mins

Immunohistochemistry (Formalin/PFA-fixed paraffin-embedded sections) - Anti-MCP1 antibody [EPR27464-89] - BSA and Azide free (AB308523)
  • IHC-P

Supplier Data

Immunohistochemistry (Formalin/PFA-fixed paraffin-embedded sections) - Anti-MCP1 antibody [EPR27464-89] - BSA and Azide free (AB308523)

Immunohistochemical analysis of paraffin-embedded Mouse skeletal muscl tissue labelling MCP1 with ab308522 at 1/500 (1.026 ug/ml) followed by a ready to use LeicaDS9800 (Bond™ Polymer Refine Detection). Negative control : No staining on mouse skeletal muscle. The section was incubated with ab308522 for 30 mins at room temperature. The immunostaining was performed on a Leica Biosystems BOND® RX instrument Counterstained with Hematoxylin. Secondary antibody only control : Secondary antibody is a ready to use LeicaDS9800 (Bond™ Polymer Refine Detection). Heat mediated antigen retrieval was performed with Tris-EDTA buffer (pH 9.0, Epitope Retrieval Solution2) for 20 mins

Immunocytochemistry/ Immunofluorescence - Anti-MCP1 antibody [EPR27464-89] - BSA and Azide free (AB308523)
  • ICC/IF

Supplier Data

Immunocytochemistry/ Immunofluorescence - Anti-MCP1 antibody [EPR27464-89] - BSA and Azide free (AB308523)

This data was developed using ab308522, the same antibody clone in a different buffer formulation. Immunofluorescent analysis of 4% Paraformaldehyde-fixed, 0.1% TritonX-100 permeabilized RAW 264.7 (mouse abelson murine leukemia virus-induced tumor macrophage) cells labelling MCP1 with ab308522 at 1/50 (10.26 ug/ml) dilution, followed by ab150081 Goat Anti-Rabbit IgG H&L (Alexa Fluor® 488) preadsorbed antibody at 1/1000 2ug/ml dilution (Green). Confocal image showing cytoplasmic staining after the treatment with lipopolysaccharide (LPS, 100ng/ml) for 4+3 hours, then Brefeldin A (1ug/ml) for the last 3 h in RAW264.7 cells. Image was taken with a confocal microscope(Leica-Microsystems, TCS SP8). ab195889 Anti-alpha Tubulin mouse monoclonal antibody - Microtubule Marker (Alexa Fluor® 594) was used to counterstain tubulin at 1/200 2.5 ug/ml dilution (Red). The Nuclear counterstain was DAPI (Blue). Secondary antibody only control : Secondary antibody is ab150081 Goat Anti-Rabbit IgG H&L (Alexa Fluor® 488) preadsorbed at 1/1000 2ug/ml dilution.

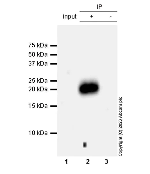
Immunoprecipitation - Anti-MCP1 antibody [EPR27464-89] - BSA and Azide free (AB308523)
  • IP

Supplier Data

Immunoprecipitation - Anti-MCP1 antibody [EPR27464-89] - BSA and Azide free (AB308523)

This data was developed using ab308522, the same antibody clone in a different buffer formulation.MCP1 was immunoprecipitated from 0.35 mg RAW264.7 treated with 100 ng/mL LPS for 4 hours, 1 µg/mL Brefeldin A was then added for additional 3 hours whole cell lysate with ab308522 at 1/30 dilution (2ug in 0.35mg lysates). Western blot was performed on the immunoprecipitate using ab308522 at 1/1000 dilution. VeriBlot for IP secondary antibody(HRP)(ab131366) was used at 1/5000 dilution. Lane 1 : RAW264.7 (mouse Abelson murine leukemia virus-induced tumor macrophage) treated with 100 ng/mL LPS for 4 hours, 1 µg/mL Brefeldin A was then added for additional 3 hours whole cell lysate Lane 2 : abAB308522 IP in RAW264.7 treated with 100 ng/mL LPS for 4 hours, 1 µg/mL Brefeldin A was then added for additional 3 hours whole cell lysate Lane 3 : Rabbit monoclonal IgG (ab172730) instead of ab308522 in RAW264.7 treated with 100 ng/mL LPS for 4 hours, 1 µg/mL Brefeldin A was then added for additional 3 hours whole cell lysate Blocking and dilution buffer and concentration : 5% NFDM/TBST. Exposure time : 10 seconds

All lanes:

Immunoprecipitation - Anti-MCP1 antibody [EPR27464-89] (<a href='/en-us/products/primary-antibodies/mcp1-antibody-epr27464-89-ab308522'>ab308522</a>) at 1/30 dilution

All lanes:

RAW264.7 (mouse Abelson murine leukemia virus-induced tumor macrophage) treated with 100 ng/mL LPS for 4 hours, 1 µg/mL Brefeldin A was then added for additional 3 hours whole cell lysate at 10 µg

Secondary

All lanes:

Immunoprecipitation - VeriBlot for IP Detection Reagent (HRP) (<a href='/en-us/products/reagents/veriblot-for-ip-detection-reagent-hrp-ab131366'>ab131366</a>) at 1/5000 dilution

Observed band size: 20 kDa

false

Exposure time: 10s

Immunoprecipitation - Anti-MCP1 antibody [EPR27464-89] - BSA and Azide free (AB308523)
  • IP

Supplier Data

Immunoprecipitation - Anti-MCP1 antibody [EPR27464-89] - BSA and Azide free (AB308523)

This data was developed using ab308522, the same antibody clone in a different buffer formulation.MCP1 was immunoprecipitated from 0.35 mg Mouse lung tissue treated with 1 µg/mL LPS and 1 µg/mL Brefeldin A for 16 hours lysate with ab308522 at 1/30 dilution (2ug in 0.35mg lysates). Western blot was performed on the immunoprecipitate using ab308522 at 1/1000 dilution. VeriBlot for IP secondary antibody(HRP)(ab131366) was used at 1/5000 dilution. Lane 1 : Mouse lung tissue treated with 1 µg/mL LPS and 1 µg/mL Brefeldin A for 16 hours lysate Lane 2 : abAB308522 IP in Mouse lung tissue treated with 1 µg/mL LPS and 1 µg/mL Brefeldin A for 16 hours lysate Lane 3 : Rabbit monoclonal IgG (ab172730) instead of ab308522 in Mouse lung tissue treated with 1 µg/mL LPS and 1 µg/mL Brefeldin A for 16 hours lysate Blocking and dilution buffer and concentration : 5% NFDM/TBST. Exposure time : 180 seconds

All lanes:

Immunoprecipitation - Anti-MCP1 antibody [EPR27464-89] (<a href='/en-us/products/primary-antibodies/mcp1-antibody-epr27464-89-ab308522'>ab308522</a>) at 1/30 dilution

All lanes:

Mouse lung tissue treated with 1 µg/mL LPS and 1 µg/mL Brefeldin A for 16 hours lysate at 10 µg

Secondary

All lanes:

Immunoprecipitation - VeriBlot for IP Detection Reagent (HRP) (<a href='/en-us/products/reagents/veriblot-for-ip-detection-reagent-hrp-ab131366'>ab131366</a>) at 1/5000 dilution

Observed band size: 20 kDa

false

Exposure time: 180s

Western blot - Anti-MCP1 antibody [EPR27464-89] - BSA and Azide free (AB308523)
  • WB

Supplier Data

Western blot - Anti-MCP1 antibody [EPR27464-89] - BSA and Azide free (AB308523)

This data was produced using ab308522, the same antibody clone but in a different formulation. Blocking/ Dilution buffer : 5% NFDM/TBST. Exposure time : 26 seconds. The expression profile/ molecular weight observed is consistent with what has been described in the literature (PMID : 28955950). The expression of MCP1 is upregulated in response to LPS treatment (PMID : 21444765). In Western blot, anti-GAPDH antibody (ab181602) loading control staining at 1/200000 dilution.

All lanes:

Western blot - Anti-MCP1 antibody [EPR27464-89] (<a href='/en-us/products/primary-antibodies/mcp1-antibody-epr27464-89-ab308522'>ab308522</a>) at 1/1000 dilution

Lane 1:

Untreated RAW264.7 (mouse Abelson murine leukemia virus-induced tumor macrophage) whole cell lysate, at 20 µg

Lane 2:

RAW264.7 treated with 100 ng/mL LPS for 4 hours, 1 µg/mL Brefeldin A was then added for additional 3 hours whole cell lysate at 20 µg

Secondary

All lanes:

Western blot - Goat Anti-Rabbit IgG H&L (HRP) (<a href='/en-us/products/secondary-antibodies/goat-rabbit-igg-h-l-hrp-ab97051'>ab97051</a>) at 1/20000 dilution

Predicted band size: 11 kDa

Observed band size: 20 kDa

false

Exposure time: 26s

Key facts

Host species

Rabbit

Clonality

Monoclonal

Clone number

EPR27464-89

Isotype

IgG

Carrier free

Yes

Reacts with

Mouse

Applications

IP, IHC-P, WB, ICC/IF

applications

Immunogen

The exact immunogen used to generate this antibody is proprietary information.

Reactivity data

{ "title": "Reactivity Data", "filters": { "stats": ["", "Species", "Dilution Info", "Notes"], "tabs": { "all-applications": {"fullname" : "All Applications", "shortname": "All Applications"}, "WB" : {"fullname" : "Western blot", "shortname":"WB"}, "IHCP" : {"fullname" : "Immunohistochemistry (Formalin/PFA-fixed paraffin-embedded sections)", "shortname":"IHC-P"}, "ICCIF" : {"fullname" : "Immunocytochemistry/ Immunofluorescence", "shortname":"ICC/IF"}, "IP" : {"fullname" : "Immunoprecipitation", "shortname":"IP"}, "FlowCytIntra" : {"fullname" : "Flow Cytometry (Intracellular)", "shortname":"Flow Cyt (Intra)"} }, "product-promise": { "all": "all", "testedAndGuaranteed": "tested", "guaranteed": "expected", "predicted": "predicted", "notRecommended": "not-recommended" } }, "values": { "Human": { "WB-species-checked": "notRecommended", "WB-species-dilution-info": "", "WB-species-notes": "<p></p>", "IHCP-species-checked": "notRecommended", "IHCP-species-dilution-info": "", "IHCP-species-notes": "<p></p>", "ICCIF-species-checked": "notRecommended", "ICCIF-species-dilution-info": "", "ICCIF-species-notes": "<p></p>", "IP-species-checked": "notRecommended", "IP-species-dilution-info": "", "IP-species-notes": "", "FlowCytIntra-species-checked": "notRecommended", "FlowCytIntra-species-dilution-info": "", "FlowCytIntra-species-notes": "" }, "Mouse": { "WB-species-checked": "testedAndGuaranteed", "WB-species-dilution-info": "", "WB-species-notes": "<p></p>", "IHCP-species-checked": "testedAndGuaranteed", "IHCP-species-dilution-info": "", "IHCP-species-notes": "<p></p>", "ICCIF-species-checked": "testedAndGuaranteed", "ICCIF-species-dilution-info": "", "ICCIF-species-notes": "<p></p>", "IP-species-checked": "testedAndGuaranteed", "IP-species-dilution-info": "", "IP-species-notes": "<p></p>", "FlowCytIntra-species-checked": "notRecommended", "FlowCytIntra-species-dilution-info": "", "FlowCytIntra-species-notes": "<p></p>" }, "Rat": { "WB-species-checked": "notRecommended", "WB-species-dilution-info": "", "WB-species-notes": "<p></p>", "IHCP-species-checked": "notRecommended", "IHCP-species-dilution-info": "", "IHCP-species-notes": "<p></p>", "ICCIF-species-checked": "notRecommended", "ICCIF-species-dilution-info": "", "ICCIF-species-notes": "<p></p>", "IP-species-checked": "notRecommended", "IP-species-dilution-info": "", "IP-species-notes": "", "FlowCytIntra-species-checked": "notRecommended", "FlowCytIntra-species-dilution-info": "", "FlowCytIntra-species-notes": "<p></p>" } } }

You may be interested in:

AB179886

Human MCP-1 ELISA Kit

0

0 Reviews

View product

We recommend this product because it’s often used in the same experiment or related research.

We advise that you always check the datasheet to ensure it fits your experiments, or contact ourtechnical teamfor help.

Product details

Patented technology
Our RabMAb® technology is a patented hybridoma-based technology for making rabbit monoclonal antibodies. For details on our patents, please refer to RabMAb® patents.

What are the advantages of a recombinant monoclonal antibody?
This product is a recombinant monoclonal antibody, which offers several advantages including:

  • - High batch-to-batch consistency and reproducibility
  • - Improved sensitivity and specificity
  • - Long-term security of supply
  • - Animal-free batch production

For more information, read more on recombinant antibodies.

Conjugation ready
Our carrier-free antibodies are typically supplied in a PBS-only formulation, purified and free of BSA, sodium azide and glycerol. This conjugation-ready format is designed for use with fluorochromes, metal isotopes, oligonucleotides, and enzymes, which makes them ideal for antibody labelling, functional and cell-based assays, flow-based assays (e.g. mass cytometry) and Multiplex Imaging applications.

Use our conjugation kits for antibody conjugates that are ready-to-use in as little as 20 minutes with 1 minute hands-on-time and 100% antibody recovery: available for fluorescent dyes, HRP, biotin and gold.

Compatibility
This product is compatible with the Maxpar® Antibody Labeling Kit from Fluidigm, without the need for antibody preparation. Maxpar® is a trademark of Fluidigm Canada Inc.

Properties and storage information

Form
Liquid
Purification technique
Affinity purification Protein A
Storage buffer
pH: 7.2 - 7.4 Constituents: 100% PBS
Shipped at conditions
Blue Ice
Appropriate short-term storage conditions
+4°C
Appropriate long-term storage conditions
+4°C

Supplementary information

This supplementary information is collated from multiple sources and compiled automatically.

MCP-1 also known as CCL2 is a chemokine involved in the recruitment of monocytes to sites of injury and inflammation. This protein consists of 76 amino acids and has a molecular weight of about 11 kDa. MCP-1 is expressed in a wide range of cell types including endothelial cells fibroblasts and monocytes. It acts by binding to the chemokine receptor CCR2 stimulating intracellular signaling pathways that mediate cell migration.
Biological function summary

The role of MCP-1 is significant in guiding immune cells to areas requiring immune response. It does not form part of a complex but operates as a singular entity to affect immune signaling. MCP-1 influences the behavior of monocytes and macrophages by inducing chemotaxis and activating their effector functions. Through this mechanism it aids in the inflammatory response and tissue repair.

Pathways

MCP-1 participates in the inflammatory pathways by cooperating with key proteins like CCR2. It facilitates the JAK-STAT signaling pathway which is vital for transmitting extracellular information into cellular responses. The interaction of MCP-1 with CCR2 influences the activation of downstream proteins like STAT3 enabling various immune responses. MCP-1 thereby plays a central role in modulating inflammation-related pathways.

MCP-1 has a connection to inflammatory bowel disease and atherosclerosis. In such conditions elevated levels of MCP-1 can exacerbate inflammatory responses by recruiting monocytes to dysfunctional sites worsening tissue damage. Through its interaction with CCR2 MCP-1 becomes a pivotal factor in chronic inflammation. Targeting this MCP-1/CCR2 axis can provide therapeutic opportunities for modulating disease progression in these inflammatory diseases.

Product protocols

For this product, it's our understanding that no specific protocols are required. You can visit:

Target data

Acts as a ligand for C-C chemokine receptor CCR2 (By similarity). Signals through binding and activation of CCR2 and induces a strong chemotactic response and mobilization of intracellular calcium ions (By similarity). Exhibits a chemotactic activity for monocytes and basophils but not neutrophils or eosinophils (By similarity). Plays an important role in mediating peripheral nerve injury-induced neuropathic pain (PubMed : 29993042). Increases NMDA-mediated synaptic transmission in both dopamine D1 and D2 receptor-containing neurons, which may be caused by MAPK/ERK-dependent phosphorylation of GRIN2B/NMDAR2B (PubMed : 29993042).
See full target information Ccl2

Product promise

We are committed to supporting your work with high-quality reagents, and we're here for you every step of the way. In the unlikely event that one of our products does not perform as expected, you're protected by our Product Promise.
For full details, please see our Terms & Conditions

Please note: All products are 'FOR RESEARCH USE ONLY. NOT FOR USE IN DIAGNOSTIC OR THERAPEUTIC PROCEDURES'.

For licensing inquiries, please contact partnerships@abcam.com