JavaScript is disabled in your browser. Please enable JavaScript to view this website.
AB315382

Anti-MCT1/Monocarboxylic acid transporter 1 antibody [EPR26702-83]

  • BOND RX™ Validated
  • 20ul selling size
  • RabMAb
  • Recombinant
  • KO Validated
  • What is this?

Be the first to review this product! Submit a review

|

(1 Publication)

Rabbit Recombinant Monoclonal MCT1/Monocarboxylic acid transporter 1 antibody. Suitable for IHC-P, IP, WB, ICC/IF, Flow Cyt (Intra) and reacts with Human samples. Cited in 1 publication.

View Alternative Names

MCT1, SLC16A1, Monocarboxylate transporter 1, MCT 1, Solute carrier family 16 member 1

10 Images
Immunohistochemistry (Formalin/PFA-fixed paraffin-embedded sections) - Anti-MCT1/Monocarboxylic acid transporter 1 antibody [EPR26702-83] (AB315382)
  • IHC-P

Supplier Data

Immunohistochemistry (Formalin/PFA-fixed paraffin-embedded sections) - Anti-MCT1/Monocarboxylic acid transporter 1 antibody [EPR26702-83] (AB315382)

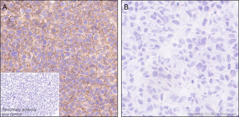
Immunohistochemical analysis of paraffin-embedded (A) Wild-type HeLa (human cervix adenocarcinoma epithelial cell) cell pellet (B) MCT1 knockout HeLa cell pellet tissue labeling MCT1/Monocarboxylic acid transporter 1 with ab315382 at 1/10000 (0.049 ug/ml) dilution, followed by a ready to use LeicaDS9800 (Bond™ Polymer Refine Detection).

Membranous staining on (A) Wild-type HeLa (human cervix adenocarcinoma epithelial cell) cell pellet, negative staining on (B) MCT1 knockout HeLa cell pellet. The section was incubated with ab315382 for 30 mins at room temperature. The immunostaining was performed on a Leica Biosystems BOND® RX instrumentThe knockout cell line was provided, with thanks, by RESOLUTE (re-solute.eu) Counterstained with Hematoxylin.

Secondary antibody only control : Secondary antibody is a ready to use LeicaDS9800 (Bond™ Polymer Refine Detection).

Heat mediated antigen retrieval was performed with Tris-EDTA buffer (pH 9.0, Epitope Retrieval Solution2) for 20 mins.

Immunohistochemistry (Formalin/PFA-fixed paraffin-embedded sections) - Anti-MCT1/Monocarboxylic acid transporter 1 antibody [EPR26702-83] (AB315382)
  • IHC-P

Supplier Data

Immunohistochemistry (Formalin/PFA-fixed paraffin-embedded sections) - Anti-MCT1/Monocarboxylic acid transporter 1 antibody [EPR26702-83] (AB315382)

Immunohistochemical analysis of paraffin-embedded Human colon cancer tissue labeling MCT1/Monocarboxylic acid transporter 1 with ab315382 at 1/10000 (0.049 ug/ml) dilution, followed by a ready to use LeicaDS9800 (Bond™ Polymer Refine Detection).

Membranous staining on human colon cancer (PMID : 27729975). The section was incubated with ab315382 for 30 mins at room temperature. The immunostaining was performed on a Leica Biosystems BOND® RX instrument. Counterstained with Hematoxylin.

Secondary antibody only control : Secondary antibody is a ready to use LeicaDS9800 (Bond™ Polymer Refine Detection).

Heat mediated antigen retrieval was performed with Tris-EDTA buffer (pH 9.0, Epitope Retrieval Solution2) for 20 mins.

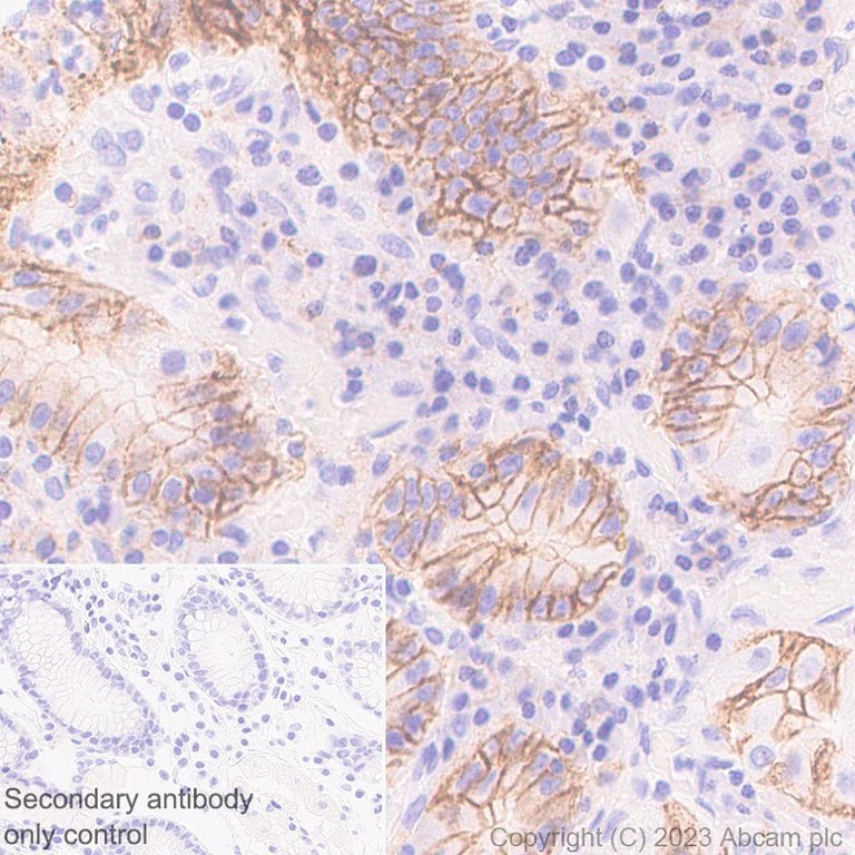
Immunohistochemistry (Formalin/PFA-fixed paraffin-embedded sections) - Anti-MCT1/Monocarboxylic acid transporter 1 antibody [EPR26702-83] (AB315382)
  • IHC-P

Supplier Data

Immunohistochemistry (Formalin/PFA-fixed paraffin-embedded sections) - Anti-MCT1/Monocarboxylic acid transporter 1 antibody [EPR26702-83] (AB315382)

Immunohistochemical analysis of paraffin-embedded Human stomach cancer tissue labeling MCT1/Monocarboxylic acid transporter 1 with ab315382 at 1/10000 (0.049 ug/ml) dilution, followed by a ready to use LeicaDS9800 (Bond™ Polymer Refine Detection).

Membranous staining on human stomach cancer. The section was incubated with ab315382 for 30 mins at room temperature. The immunostaining was performed on a Leica Biosystems BOND® RX instrument. Counterstained with Hematoxylin.

Secondary antibody only control : Secondary antibody is a ready to use LeicaDS9800 (Bond™ Polymer Refine Detection).

Heat mediated antigen retrieval was performed with Tris-EDTA buffer (pH 9.0, Epitope Retrieval Solution2) for 20 mins.

Immunohistochemistry (Formalin/PFA-fixed paraffin-embedded sections) - Anti-MCT1/Monocarboxylic acid transporter 1 antibody [EPR26702-83] (AB315382)
  • IHC-P

Supplier Data

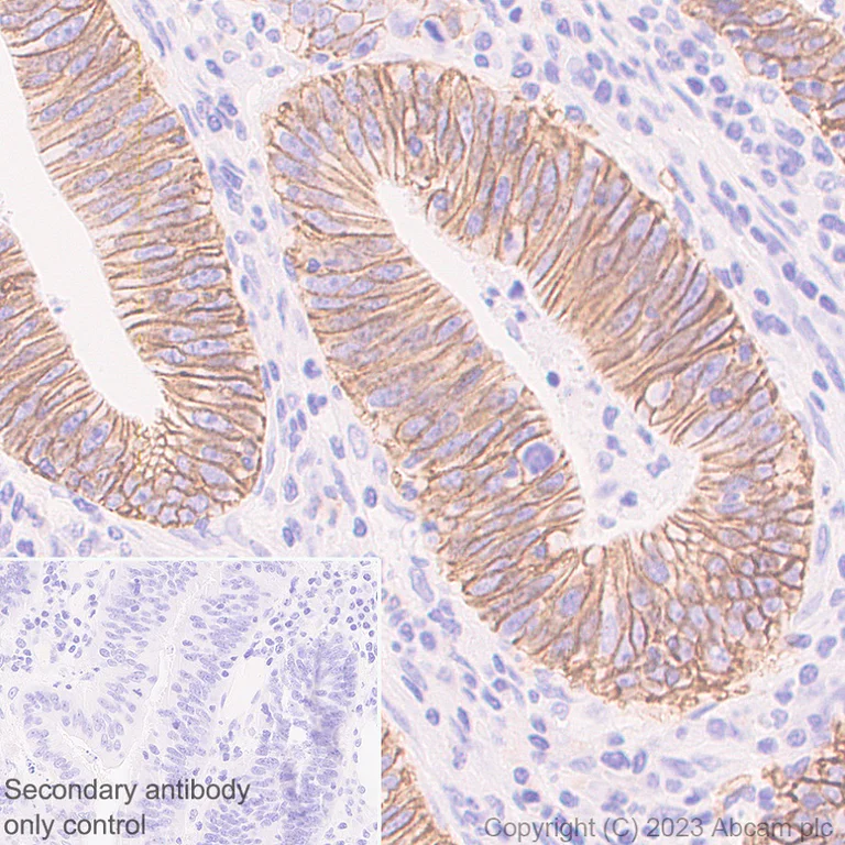
Immunohistochemistry (Formalin/PFA-fixed paraffin-embedded sections) - Anti-MCT1/Monocarboxylic acid transporter 1 antibody [EPR26702-83] (AB315382)

Immunohistochemical analysis of paraffin-embedded Human stomach tissue labeling MCT1/Monocarboxylic acid transporter 1 with ab315382 at 1/10000 (0.049 ug/ml) dilution, followed by a ready to use LeicaDS9800 (Bond™ Polymer Refine Detection).

Membranous staining on human stomach. The section was incubated with ab315382 for 30 mins at room temperature. The immunostaining was performed on a Leica Biosystems BOND® RX instrument. Counterstained with Hematoxylin.

Secondary antibody only control : Secondary antibody is a ready to use LeicaDS9800 (Bond™ Polymer Refine Detection).

Heat mediated antigen retrieval was performed with Tris-EDTA buffer (pH 9.0, Epitope Retrieval Solution2) for 20 mins.

Immunocytochemistry/ Immunofluorescence - Anti-MCT1/Monocarboxylic acid transporter 1 antibody [EPR26702-83] (AB315382)
  • ICC/IF

Supplier Data

Immunocytochemistry/ Immunofluorescence - Anti-MCT1/Monocarboxylic acid transporter 1 antibody [EPR26702-83] (AB315382)

Immunofluorescent analysis of 4% Paraformaldehyde-fixed, 0.1% TritonX-100 permeabilized MCT1 knockout HeLa cells (MCT1 knockout human cervical adenocarcinoma epithelial cell) cells labelling MCT1/Monocarboxylic acid transporter 1 with ab315382 at 1/1000 (0.485 ug/ml) dilution, followed by ab150081 Goat Anti-Rabbit IgG H&L (Alexa Fluor® 488) preadsorbed antibody at 1/1000 2 ug/ml dilution (Green).

Confocal image showing membranous staining in parental HeLa cells, and no staining in MCT1 knockout HeLa cells. Image was taken with a confocal microscope (Leica-Microsystems, TCS SP8). The knockout cell line was provided, with thanks, by RESOLUTE (re-solute.eu)

ab195889 Anti-alpha Tubulin mouse monoclonal antibody - Microtubule Marker (Alexa Fluor® 594) was used to counterstain tubulin at 1/200 2.5ug/ml dilution (Red). The Nuclear counterstain was DAPI (Blue).

Secondary antibody only control : Secondary antibody is ab150081 Goat Anti-Rabbit IgG H&L (Alexa Fluor® 488) preadsorbed at 1/1000 2 ug/ml dilution.

Flow Cytometry (Intracellular) - Anti-MCT1/Monocarboxylic acid transporter 1 antibody [EPR26702-83] (AB315382)
  • Flow Cyt (Intra)

Lab

Flow Cytometry (Intracellular) - Anti-MCT1/Monocarboxylic acid transporter 1 antibody [EPR26702-83] (AB315382)

Flow cytometry overlay histogram showing wild-type A-549 (green line) and SLC16A1 knockout A-549 stained with ab315382 (magenta line). The cells were fixed with 4% formaldehyde (10 min) and then permeabilised with 0.1% PBS-Triton X-100 for 15 min. The cells were then incubated in 1x PBS containing 10% normal goat serum to block non-specific protein-protein interaction followed by the antibody (ab315382) (1x 106 in 100μl at 0.008 μg/ml (1/60625)) for 30min at 22°C.

The secondary antibody Goat Anti-Rabbit IgG H&L (Alexa Fluor® 488) preadsorbed was incubated at 1/4000 for 30min at 22°C.

Isotype control antibody was Recombinant Rabbit IgG, monoclonal [EPR25A] - Isotype Control in A-549 WT cells (black line) and A-549-SLC16A1 KO cells (grey line), at the same conditions as the primary antibody.

Acquisition of >5000 events were collected using a 50 mW Blue laser (488nm) and 530/30 bandpass filter.

This antibody gave a positive signal in wild-type A-549 fixed with 80% methanol (5 min) and then permeabilised with 0.1% PBS-Triton X-100 for 15 min under the same conditions.

Immunoprecipitation - Anti-MCT1/Monocarboxylic acid transporter 1 antibody [EPR26702-83] (AB315382)
  • IP

Supplier Data

Immunoprecipitation - Anti-MCT1/Monocarboxylic acid transporter 1 antibody [EPR26702-83] (AB315382)

MCT1/Monocarboxylic acid transporter 1 was immunoprecipitated from 0.35 mg HeLa (human cervical adenocarcinoma epithelial cell) whole cell lysate with ab315382 at 1/30 dilution (2ug in 0.35mg lysates). Western blot was performed on the immunoprecipitate using ab315382 at 1/1000 dilution. VeriBlot for IP secondary antibody(HRP)(ab131366) was used at 1/5000 dilution.

Blocking and diluting buffer and concentration : 5% NFDM/TBST.

All lanes:

Immunoprecipitation - Anti-MCT1/Monocarboxylic acid transporter 1 antibody [EPR26702-83] (ab315382) at 1/1000 dilution

Lane 1:

HeLa (human cervical adenocarcinoma epithelial cell) whole cell lysate

Lane 2:

ab315382 at 1/30 IP in HeLa (human cervical adenocarcinoma epithelial cell) whole cell lysate

Lane 3:

Rabbit monoclonal IgG (<a href='/en-us/products/primary-antibodies/rabbit-igg-monoclonal-epr25a-isotype-control-ab172730'>ab172730</a>) instead of ab315382 in HeLa whole cell lysate

Secondary

All lanes:

Immunoprecipitation - VeriBlot for IP Detection Reagent (HRP) (<a href='/en-us/products/reagents/veriblot-for-ip-detection-reagent-hrp-ab131366'>ab131366</a>) at 1/5000 dilution

false

Exposure time: 6s

Western blot - Anti-MCT1/Monocarboxylic acid transporter 1 antibody [EPR26702-83] (AB315382)
  • WB

Supplier Data

Western blot - Anti-MCT1/Monocarboxylic acid transporter 1 antibody [EPR26702-83] (AB315382)

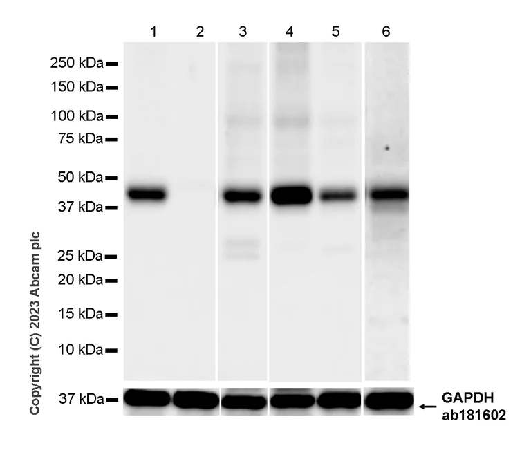
The expression profile/ molecular weight observed is consistent with what has been described in the literature (PMID : 15505343).

Samples are non-boiled as boiling may cause protein aggregation.

In Western blot, ab315382 was shown to bind specifically to MCT1/Monocarboxylic acid transporter 1. A band was observed at 43 kDa in wild-type HeLa cell lysates whereas no signal was observed at this size in the MCT1 knockout cell line.

The knockout cell line was provided, with thanks, by RESOLUTE (re-solute.eu).

In Western blot, Anti-GAPDH antibody [EPR16891] - Loading Control (ab181602) staining at 1/200000 dilution.

Exposure time : Lane1-5 : 15 seconds; Lane 6 : 158 seconds

Blocking and diluting buffer and concentration : 5% NFDM/TBST.

All lanes:

Western blot - Anti-MCT1/Monocarboxylic acid transporter 1 antibody [EPR26702-83] (ab315382) at 1/1000 dilution

Lane 1:

Wild-type HeLa (human cervical adenocarcinoma epithelial cell) whole cell lysate at 20 µg

Lane 2:

MCT1/Monocarboxylic acid transporter 1 knockout HeLa whole cell lysate at 20 µg

Lane 3:

HepG2 (human hepatocellar carcinoma epithelial cell) whole cell lysate at 20 µg

Lane 4:

Jurkat (human T cell leukemia T lymphocyte from peripheral blood) whole cell lysate at 20 µg

Lane 6:

293T (human embryonic kidney epithelial cell) whole cell lysate at 20 µg

Secondary

All lanes:

Western blot - Goat Anti-Rabbit IgG H&L (HRP) (<a href='/en-us/products/secondary-antibodies/goat-rabbit-igg-h-l-hrp-ab97051'>ab97051</a>) at 1/100000 dilution

Observed band size: 43 kDa,36 kDa

false

Western blot - Anti-MCT1/Monocarboxylic acid transporter 1 antibody [EPR26702-83] (AB315382)
  • WB

Lab

Western blot - Anti-MCT1/Monocarboxylic acid transporter 1 antibody [EPR26702-83] (AB315382)

Western blot : Anti-MCT1/Monocarboxylic acid transporter 1 antibody [EPR26702-83] ab315382 staining at 1/1000 dilution, shown in green; Mouse anti-CANX (ab238078) loading control staining at 1/20,000 dilution, shown in magenta. A band was observed at 43 kDa in Wild-type A549 cell lysates with no signal observed at this size in SLC16A1 knockout A549 cell line. To generate this image, samples were run on an SDS-PAGE gel then transferred onto a nitrocellulose membrane. Membranes were blocked in 3pc Milk in TBS-0.1 % Tween® 20 (TBS-T) before incubation with primary antibodies overnight at 4°C. Blots were washed four times in TBS-T, incubated with secondary antibodies for 1 h at room temperature, washed again four times then imaged. Secondary antibodies used were Goat anti-Rabbit 800CW & Goat anti-Mouse 680RD at 1/20,000 dilution.

All lanes:

Western blot - Anti-MCT1/Monocarboxylic acid transporter 1 antibody [EPR26702-83] (ab315382) at 1/1000 dilution

Lane 1:

Wild-type A549 at 20 µg

Lane 2:

Western blot - Human SLC16A1 knockout A549 cell line (<a href='/en-us/products/cell-lines/human-slc16a1-knockout-a549-cell-line-ab301232'>ab301232</a>) at 20 µg

Secondary

All lanes:

Goat anti-Rabbit 800CW & Goat anti-Mouse 680RD at 1/20000 dilution

Predicted band size: 54 kDa

Observed band size: 43 kDa

false

Immunohistochemistry (Formalin/PFA-fixed paraffin-embedded sections) - Anti-MCT1/Monocarboxylic acid transporter 1 antibody [EPR26702-83] (AB315382)
  • IHC-P

Supplier Data

Immunohistochemistry (Formalin/PFA-fixed paraffin-embedded sections) - Anti-MCT1/Monocarboxylic acid transporter 1 antibody [EPR26702-83] (AB315382)

Immunohistochemical analysis of paraffin-embedded Human pancreas tissue labeling MCT1/Monocarboxylic acid transporter 1 with ab315382 at 1/10000 (0.049 ug/ml) dilution, followed by a ready to use LeicaDS9800 (Bond™ Polymer Refine Detection).

Low expression : No staining on human pancreas (PMID : 32355273). The section was incubated with ab315382 for 30 mins at room temperature. The immunostaining was performed on a Leica Biosystems BOND® RX instrument. Counterstained with Hematoxylin.

Secondary antibody only control : Secondary antibody is a ready to use LeicaDS9800 (Bond™ Polymer Refine Detection).

Heat mediated antigen retrieval was performed with Tris-EDTA buffer (pH 9.0, Epitope Retrieval Solution2) for 20 mins.

Key facts

Host species

Rabbit

Clonality

Monoclonal

Clone number

EPR26702-83

Isotype

IgG

Carrier free

No

Reacts with

Human

Applications

Flow Cyt (Intra), ICC/IF, IHC-P, IP, WB

applications

Immunogen

The exact immunogen used to generate this antibody is proprietary information.

Reactivity data

{ "title": "Reactivity Data", "filters": { "stats": ["", "Species", "Dilution Info", "Notes"], "tabs": { "all-applications": {"fullname" : "All Applications", "shortname": "All Applications"}, "IHCP" : {"fullname" : "Immunohistochemistry (Formalin/PFA-fixed paraffin-embedded sections)", "shortname":"IHC-P"}, "IP" : {"fullname" : "Immunoprecipitation", "shortname":"IP"}, "WB" : {"fullname" : "Western blot", "shortname":"WB"}, "ICCIF" : {"fullname" : "Immunocytochemistry/ Immunofluorescence", "shortname":"ICC/IF"}, "FlowCytIntra" : {"fullname" : "Flow Cytometry (Intracellular)", "shortname":"Flow Cyt (Intra)"} }, "product-promise": { "all": "all", "testedAndGuaranteed": "tested", "guaranteed": "expected", "predicted": "predicted", "notRecommended": "not-recommended" } }, "values": { "Human": { "IHCP-species-checked": "testedAndGuaranteed", "IHCP-species-dilution-info": "1/10000", "IHCP-species-notes": "<p></p>", "IP-species-checked": "testedAndGuaranteed", "IP-species-dilution-info": "1/30", "IP-species-notes": "<p></p>", "WB-species-checked": "testedAndGuaranteed", "WB-species-dilution-info": "1/1000", "WB-species-notes": "<p></p>", "ICCIF-species-checked": "testedAndGuaranteed", "ICCIF-species-dilution-info": "1/1000", "ICCIF-species-notes": "<p></p>", "FlowCytIntra-species-checked": "testedAndGuaranteed", "FlowCytIntra-species-dilution-info": "1/60625", "FlowCytIntra-species-notes": "<p></p>" }, "Mouse": { "IHCP-species-checked": "notRecommended", "IHCP-species-dilution-info": "", "IHCP-species-notes": "<p></p>", "IP-species-checked": "notRecommended", "IP-species-dilution-info": "", "IP-species-notes": "", "WB-species-checked": "notRecommended", "WB-species-dilution-info": "", "WB-species-notes": "<p></p>", "ICCIF-species-checked": "notRecommended", "ICCIF-species-dilution-info": "", "ICCIF-species-notes": "<p></p>", "FlowCytIntra-species-checked": "notRecommended", "FlowCytIntra-species-dilution-info": "", "FlowCytIntra-species-notes": "<p></p>" }, "Rat": { "IHCP-species-checked": "notRecommended", "IHCP-species-dilution-info": "", "IHCP-species-notes": "<p></p>", "IP-species-checked": "notRecommended", "IP-species-dilution-info": "", "IP-species-notes": "", "WB-species-checked": "notRecommended", "WB-species-dilution-info": "", "WB-species-notes": "<p></p>", "ICCIF-species-checked": "notRecommended", "ICCIF-species-dilution-info": "", "ICCIF-species-notes": "", "FlowCytIntra-species-checked": "notRecommended", "FlowCytIntra-species-dilution-info": "", "FlowCytIntra-species-notes": "" } } }

You may be interested in:

AB65342

Pyruvate Assay Kit

5

2 Reviews

View product

We recommend this product because it’s often used in the same experiment or related research.

We advise that you always check the datasheet to ensure it fits your experiments, or contact ourtechnical teamfor help.

Product details

Patented technology
Our RabMAb® technology is a patented hybridoma-based technology for making rabbit monoclonal antibodies. For details on our patents, please refer to RabMAb® patents.

What are the advantages of a recombinant monoclonal antibody?
This product is a recombinant monoclonal antibody, which offers several advantages including:

  • - High batch-to-batch consistency and reproducibility
  • - Improved sensitivity and specificity
  • - Long-term security of supply
  • - Animal-free batch production

For more information, read more on recombinant antibodies.

Properties and storage information

Form
Liquid
Purification technique
Affinity purification Protein A
Storage buffer
pH: 7.2 - 7.4 Preservative: 0.01% Sodium azide Constituents: PBS, 40% Glycerol (glycerin, glycerine), 0.05% BSA
Shipped at conditions
Blue Ice
Appropriate short-term storage duration
1-2 weeks
Appropriate short-term storage conditions
+4°C
Appropriate long-term storage conditions
-20°C
Aliquoting information
Upon delivery aliquot
Storage information
Avoid freeze / thaw cycle

Supplementary information

This supplementary information is collated from multiple sources and compiled automatically.

MCT1 also known as Monocarboxylate Transporter 1 or SLC16A1 is a protein that facilitates the transport of monocarboxylates such as lactate and pyruvate across cell membranes. The approximate molecular weight of MCT1 is 51 kDa. This transporter expresses in many tissues including muscle brain liver and kidney. Its widespread presence indicates a significant role in cellular metabolism and energy balance across different biological systems.
Biological function summary

MCT1 acts as an important transport mechanism for lactate and pyruvate driving the cellular uptake and release processes of these molecules. It partners with CD147 also known as Basigin to form a functional heteromeric complex. This binding allows the correct localization and stabilization of MCT1 in the plasma membrane ensuring effective transport activity. The presence of MCT1 in metabolically active tissues highlights its role in maintaining homeostasis in energy-rich environments.

Pathways

MCT1 plays a significant role in the glycolysis and gluconeogenesis pathways by mediating lactate transport which connects anaerobic and aerobic metabolic processes. Through these pathways MCT1 associates with key metabolic enzymes like lactate dehydrogenase (LDH) that regulate the conversion between lactate and pyruvate. This association provides a link between lactate production and consumption thereby controlling pH levels and preventing the buildup of metabolic intermediates that can disrupt cellular functions.

MCT1 is implicated in cancer and metabolic acidosis. In cancer elevated expression of MCT1 supports the Warburg effect a phenomenon where cancer cells rely on aerobic glycolysis leading to increased lactate production. MCT1 works alongside proteins such as CD147 influencing tumor growth and metastasis by promoting lactate export. In metabolic acidosis impaired MCT1 function can disrupt lactate clearance affecting tissue pH balance and contributes to conditions like lactic acidosis. Understanding MCT1's role in these diseases highlights the importance of targeting its function for therapeutic purposes.

Product protocols

For this product, it's our understanding that no specific protocols are required. You can visit:

Target data

Bidirectional proton-coupled monocarboxylate transporter (PubMed : 12946269, PubMed : 32946811, PubMed : 33333023). Catalyzes the rapid transport across the plasma membrane of many monocarboxylates such as lactate, pyruvate, acetate and the ketone bodies acetoacetate and beta-hydroxybutyrate, and thus contributes to the maintenance of intracellular pH (PubMed : 12946269, PubMed : 33333023). The transport direction is determined by the proton motive force and the concentration gradient of the substrate monocarboxylate. MCT1 is a major lactate exporter (By similarity). Plays a role in cellular responses to a high-fat diet by modulating the cellular levels of lactate and pyruvate that contribute to the regulation of central metabolic pathways and insulin secretion, with concomitant effects on plasma insulin levels and blood glucose homeostasis (By similarity). Facilitates the protonated monocarboxylate form of succinate export, that its transient protonation upon muscle cell acidification in exercising muscle and ischemic heart (PubMed : 32946811). Functions via alternate outward- and inward-open conformation states. Protonation and deprotonation of 309-Asp is essential for the conformational transition (PubMed : 33333023).
See full target information SLC16A1

Publications (1)

Recent publications for all applications. Explore the full list and refine your search

Bioscience reports 44: PubMed38990147

2024

Metabolic profiling and combined therapeutic strategies unveil the cytotoxic potential of selenium-chrysin (SeChry) in NSCLC cells.

Applications

ICC/IF

Species

Human

Cindy Mendes,Isabel Lemos,Ana Hipólito,Bruna Abreu,Catarina Freitas-Dias,Filipa Martins,Rita F Pires,Hélio Barros,Vasco D B Bonifácio,Luís G Gonçalves,Jacinta Serpa
View all publications

Product promise

We are committed to supporting your work with high-quality reagents, and we're here for you every step of the way. In the unlikely event that one of our products does not perform as expected, you're protected by our Product Promise.
For full details, please see our Terms & Conditions

Associated Products

Select an associated product type
Alternative Version
Primary Antibodies

AB315383

Anti-MCT1/Monocarboxylic acid transporter 1 antibody [EPR26702-83] - BSA and Azide free

primary-antibodies

mct1-monocarboxylic-acid-transporter-1-antibody-epr26702-83-bsa-and-azide-free-ab315383

0

(0 reviews)

Please note: All products are 'FOR RESEARCH USE ONLY. NOT FOR USE IN DIAGNOSTIC OR THERAPEUTIC PROCEDURES'.

For licensing inquiries, please contact partnerships@abcam.com