JavaScript is disabled in your browser. Please enable JavaScript to view this website.
AB129290

Anti-MCT2 antibody

Be the first to review this product! Submit a review

|

(4 Publications)

Goat Polyclonal MCT2 antibody. Suitable for IHC-P, WB and reacts with Human samples. Cited in 4 publications. Immunogen corresponding to Synthetic Peptide within Human SLC16A7 aa 450 to C-terminus.

View Alternative Names

MCT2, SLC16A7, Monocarboxylate transporter 2, MCT 2, Solute carrier family 16 member 7

2 Images
Western blot - Anti-MCT2 antibody (AB129290)
  • WB

Unknown

Western blot - Anti-MCT2 antibody (AB129290)

All lanes:

Western blot - Anti-MCT2 antibody (ab129290) at 1 µg/mL

All lanes:

A549 lysate in RIPA buffer at 35 µg

Predicted band size: 52 kDa

true

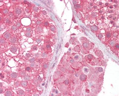
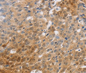
Immunohistochemistry (Formalin/PFA-fixed paraffin-embedded sections) - Anti-MCT2 antibody (AB129290)
  • IHC-P

Unknown

Immunohistochemistry (Formalin/PFA-fixed paraffin-embedded sections) - Anti-MCT2 antibody (AB129290)

ab129290, at 3.75μg/ml, staining MCT2 in Formalin-fixed, Paraffin-embedded Human testis tissue by Immunohistochemistry.

Key facts

Host species

Goat

Clonality

Polyclonal

Isotype

IgG

Carrier free

No

Reacts with

Human

Applications

WB, IHC-P

applications

Immunogen

Synthetic Peptide within Human SLC16A7 aa 450 to C-terminus. The exact immunogen used to generate this antibody is proprietary information.

O60669

Reactivity data

{ "title": "Reactivity Data", "filters": { "stats": ["", "Species", "Dilution Info", "Notes"], "tabs": { "all-applications": {"fullname" : "All Applications", "shortname": "All Applications"}, "IHCP" : {"fullname" : "Immunohistochemistry (Formalin/PFA-fixed paraffin-embedded sections)", "shortname":"IHC-P"}, "WB" : {"fullname" : "Western blot", "shortname":"WB"} }, "product-promise": { "all": "all", "testedAndGuaranteed": "tested", "guaranteed": "expected", "predicted": "predicted", "notRecommended": "not-recommended" } }, "values": { "Human": { "IHCP-species-checked": "testedAndGuaranteed", "IHCP-species-dilution-info": "2.5-3.75 µg/mL", "IHCP-species-notes": "<p></p> Perform heat-mediated antigen retrieval with citrate buffer pH 6 before commencing with IHC staining protocol.", "WB-species-checked": "testedAndGuaranteed", "WB-species-dilution-info": "1-3 µg/mL", "WB-species-notes": "<p></p>" }, "Chimpanzee": { "IHCP-species-checked": "predicted", "IHCP-species-dilution-info": "", "IHCP-species-notes": "", "WB-species-checked": "predicted", "WB-species-dilution-info": "", "WB-species-notes": "" }, "Common marmoset": { "IHCP-species-checked": "predicted", "IHCP-species-dilution-info": "", "IHCP-species-notes": "", "WB-species-checked": "predicted", "WB-species-dilution-info": "", "WB-species-notes": "" }, "Gorilla": { "IHCP-species-checked": "predicted", "IHCP-species-dilution-info": "", "IHCP-species-notes": "", "WB-species-checked": "predicted", "WB-species-dilution-info": "", "WB-species-notes": "" } } }

Properties and storage information

Form
Liquid
Purification technique
Affinity purification Immunogen
Storage buffer
pH: 7.3 Preservative: 0.02% Sodium azide Constituents: 99% Tris buffered saline, 0.5% BSA
Shipped at conditions
Blue Ice
Appropriate short-term storage conditions
+4°C
Appropriate long-term storage conditions
-20°C
Aliquoting information
Upon delivery aliquot
Storage information
Avoid freeze / thaw cycle

Supplementary information

This supplementary information is collated from multiple sources and compiled automatically.

MCT2 also known as monocarboxylate transporter 2 or SLC16A7 plays a mechanical role in the transport of monocarboxylates such as lactate pyruvate and ketone bodies across cell membranes. With a molecular mass of approximately 53 kDa MCT2 is expressed in various tissues including the brain liver and skeletal muscles. It is in the plasma membrane where it facilitates the rapid exchange of substrates important for energy metabolism in cells.
Biological function summary

MCT2 facilitates the movement of lactate and other monocarboxylates impacting cellular energy production and homeostasis. It may associate with chaperone proteins like basigin or CD147 which assist in its proper localization in the membrane. This transporter plays a role in metabolic communication between cells reflecting its importance in maintaining high-energy demands especially in neurons and muscle cells.

Pathways

MCT2 has a vital function in glycolysis and oxidative phosphorylation by mediating lactate transport. It participates in the Cori cycle which integrates with glucose metabolism and works alongside lactate dehydrogenase (LDH) to shuttle lactate for gluconeogenesis in the liver. MCT2's operation affects cellular energy balance and tissue responses to metabolic fluctuations.

MCT2 has connections to cancer and neurological disorders such as epilepsy. In cancer altered MCT2 expression affects tumor metabolism and progression interacting with hypoxia-inducible factor-1 (HIF-1) which controls glycolytic enzymes. In neurological conditions deficient or excessive lactate transport by MCT2 could impact neuronal excitability and energy balance potentially linking it to disease-related proteins like glutamate receptors.

Product protocols

For this product, it's our understanding that no specific protocols are required. You can visit:

Target data

Proton-coupled monocarboxylate symporter. Catalyzes the rapid transport across the plasma membrane of monocarboxylates such as L-lactate, pyruvate and ketone bodies, acetoacetate, beta-hydroxybutyrate and acetate (PubMed : 32415067, PubMed : 9786900). Dimerization is functionally required and both subunits work cooperatively in transporting substrate (PubMed : 32415067).
See full target information SLC16A7

Publications (4)

Recent publications for all applications. Explore the full list and refine your search

Medical oncology (Northwood, London, England) 36:76 PubMed31342270

2019

Programmed death-1 receptor (PD-1) and PD-ligand-1 (PD-L1) expression in non-small cell lung cancer and the immune-suppressive effect of anaerobic glycolysis.

Applications

Unspecified application

Species

Unspecified reactive species

Alexandra Giatromanolaki,Ioannis M Koukourakis,Konstantina Balaska,Achilleas G Mitrakas,Adrian L Harris,Michael I Koukourakis

Scientific reports 8:9814 PubMed29959350

2018

Utilization of lactic acid in human myotubes and interplay with glucose and fatty acid metabolism.

Applications

Unspecified application

Species

Unspecified reactive species

Jenny Lund,Vigdis Aas,Ragna H Tingstad,Alfons Van Hees,Nataša Nikolić

Cancer biology & medicine 14:396-404 PubMed29372106

2018

Thermogenic protein UCP1 and UCP3 expression in non-small cell lung cancer: relation with glycolysis and anaerobic metabolism.

Applications

Unspecified application

Species

Unspecified reactive species

Alexandra Giatromanolaki,Konstantina Balaska,Dimitra Kalamida,Christos Kakouratos,Efthimios Sivridis,Michael I Koukourakis

PloS one 9:e105038 PubMed25225794

2014

Monocarboxylate transporters 1-4 in NSCLC: MCT1 is an independent prognostic marker for survival.

Applications

IHC-P

Species

Human

Marte Eilertsen,Sigve Andersen,Samer Al-Saad,Yury Kiselev,Tom Donnem,Helge Stenvold,Ingvild Pettersen,Khalid Al-Shibli,Elin Richardsen,Lill-Tove Busund,Roy M Bremnes
View all publications

Product promise

We are committed to supporting your work with high-quality reagents, and we're here for you every step of the way. In the unlikely event that one of our products does not perform as expected, you're protected by our Product Promise.
For full details, please see our Terms & Conditions

Please note: All products are 'FOR RESEARCH USE ONLY. NOT FOR USE IN DIAGNOSTIC OR THERAPEUTIC PROCEDURES'.

For licensing inquiries, please contact partnerships@abcam.com