JavaScript is disabled in your browser. Please enable JavaScript to view this website.
AB302707

Anti-MCT8 antibody [EPR26257-174] (BSA and Azide free)

Be the first to review this product! Submit a review

|

(0 Publication)

Rabbit Recombinant Monoclonal MCT 8 antibody. Carrier free. Suitable for IP, Flow Cyt (Intra), ICC/IF, IHC-Fr, IHC-P, WB and reacts with Rat, Mouse, Human samples.

View Alternative Names

MCT7, MCT8, XPCT, SLC16A2, Monocarboxylate transporter 8, MCT 8, Monocarboxylate transporter 7, Solute carrier family 16 member 2, X-linked PEST-containing transporter, MCT 7

15 Images
Immunohistochemistry (Formalin/PFA-fixed paraffin-embedded sections) - Anti-MCT8 antibody [EPR26257-174] (BSA and Azide free) (AB302707)
  • IHC-P

Supplier Data

Immunohistochemistry (Formalin/PFA-fixed paraffin-embedded sections) - Anti-MCT8 antibody [EPR26257-174] (BSA and Azide free) (AB302707)

This data was developed using ab302706, the same antibody clone in a different buffer formulation. Immunohistochemical analysis of paraffin-embedded (A) HEK293T cells co tissue labeling MCT 8 with ab302706 at 1/5000 (0.101 ug/ml) followed by a ready to use Rabbit specific IHC polymer detection kit HRP/DAB (ab209101). Positive staining in (A) HEK293T cells co-transfected with a MCT8 expression vector containing a his tag and no staining in (B) HEK-293T cells transfected with empty vector containing a his tag. The section was incubated with ab302706 for 30 mins at room. temperature. The immunostaining was performed on a Leica Biosystems BOND® RX instrument. Counterstained with Hematoxylin. Secondary antibody only control : Secondary antibody is a ready to use Rabbit specific IHC polymer detection kit HRP/DAB (ab209101). Heat mediated antigen retrieval with Tris-EDTA buffer (pH 9.0, epitope retrieval solution2) for 20 mins

Immunohistochemistry (Formalin/PFA-fixed paraffin-embedded sections) - Anti-MCT8 antibody [EPR26257-174] (BSA and Azide free) (AB302707)
  • IHC-P

Supplier Data

Immunohistochemistry (Formalin/PFA-fixed paraffin-embedded sections) - Anti-MCT8 antibody [EPR26257-174] (BSA and Azide free) (AB302707)

This data was developed using ab302706, the same antibody clone in a different buffer formulation. Immunohistochemical analysis of paraffin-embedded Human spleen tissue labeling MCT 8 with ab302706 at 1/2000 (0.252 ug/ml) followed by a ready to use Rabbit specific IHC polymer detection kit HRP/DAB (ab209101). Negative control : no staining in human spleen. The section was incubated with ab302706 for 30 mins at room temperature. The immunostaining was performed on a Leica Biosystems BOND® RX instrument. Counterstained with Hematoxylin. Secondary antibody only control : Secondary antibody is a ready to use Rabbit specific IHC polymer detection kit HRP/DAB (ab209101). Heat mediated antigen retrieval with Tris-EDTA buffer (pH 9.0, epitope retrieval solution2) for 20 mins

Immunohistochemistry (Formalin/PFA-fixed paraffin-embedded sections) - Anti-MCT8 antibody [EPR26257-174] (BSA and Azide free) (AB302707)
  • IHC-P

Supplier Data

Immunohistochemistry (Formalin/PFA-fixed paraffin-embedded sections) - Anti-MCT8 antibody [EPR26257-174] (BSA and Azide free) (AB302707)

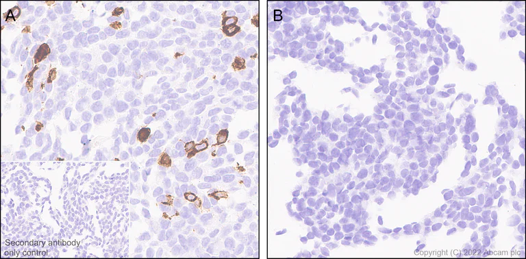
This data was developed using ab302706, the same antibody clone in a different buffer formulation. Immunohistochemical analysis of paraffin-embedded Human liver tissue labeling MCT 8 with ab302706 at 1/2000 (0.252 ug/ml) followed by a ready to use Rabbit specific IHC polymer detection kit HRP/DAB (ab209101). Membranous staining in human liver (PMID : 19641107, PMID : 12871948 ). The section was incubated with ab302706 for 30 mins at room temperature. The immunostaining was performed on a Leica Biosystems BOND® RX instrument. Counterstained with Hematoxylin. Secondary antibody only control : Secondary antibody is a ready to use Rabbit specific IHC polymer detection kit HRP/DAB (ab209101). Heat mediated antigen retrieval with Tris-EDTA buffer (pH 9.0, epitope retrieval solution2) for 20 mins

Immunocytochemistry/ Immunofluorescence - Anti-MCT8 antibody [EPR26257-174] (BSA and Azide free) (AB302707)
  • ICC/IF

Supplier Data

Immunocytochemistry/ Immunofluorescence - Anti-MCT8 antibody [EPR26257-174] (BSA and Azide free) (AB302707)

This data was developed using ab302706, the same antibody clone in a different buffer formulation. Immunofluorescent analysis of 4% Paraformaldehyde-fixed, 0.1% TritonX-100 permeabilized rat primary neuron cells labelling MCT 8 with ab302706 at 1/500 (1.006 ug/ml) dilution, followed by ab150081 Goat Anti-Rabbit IgG H&L (Alexa Fluor® 488) preadsorbed antibody at 1/1000 2 ug/ml dilution (Green). Confocal image showing positive staining in rat primary neuron.Confocal scanning Z step was set as 0.3 µm followed by image processing with maximum Z projection is observed. ab11267 Anti-MAP2 mouse monoclonal antibody was used to counterstain tubulin at 1/500 4 ug/ml dilution (Red). The Nuclear counterstain was DAPI (Blue). Secondary antibody only control : Secondary antibody is ab150081 Goat Anti-Rabbit IgG H&L (Alexa Fluor® 488) preadsorbed at 1/1000 2 ug/ml dilution.

Immunohistochemistry (Frozen sections) - Anti-MCT8 antibody [EPR26257-174] (BSA and Azide free) (AB302707)
  • IHC-Fr

Supplier Data

Immunohistochemistry (Frozen sections) - Anti-MCT8 antibody [EPR26257-174] (BSA and Azide free) (AB302707)

This data was developed using ab302706 the same antibody clone in a different buffer formulation.Immunohistochemical analysis of 4% PFA-fixed 0.2% Triton X-100 permeabilized frozen Mouse liver (fresh) tissue labeling MCT 8 with ab302706 at 1/100 (5.03 ug/ml) dilution followed by ab150081 Goat Anti-Rabbit IgG H&L (Alexa Fluor® 488) preadsorbed at 1/1000 2 ug/mL dilution (Green). Positive staining on mouse liver is observed. The nuclear counterstain was DAPI (Blue). Secondary antibody control : Secondary antibody is ab150081 Goat Anti-Rabbit IgG H&L (Alexa Fluor® 488) preadsorbedat 1/1000 2 ug/mL dilution.

Immunohistochemistry (Frozen sections) - Anti-MCT8 antibody [EPR26257-174] (BSA and Azide free) (AB302707)
  • IHC-Fr

Supplier Data

Immunohistochemistry (Frozen sections) - Anti-MCT8 antibody [EPR26257-174] (BSA and Azide free) (AB302707)

This data was developed using ab302706 the same antibody clone in a different buffer formulation.Immunohistochemical analysis of 4% PFA-fixed 0.2% Triton X-100 permeabilized frozen Mouse spleen (fresh) tissue labeling MCT 8 with ab302706 at 1/100 (5.03 ug/ml) dilution followed by ab150081 Goat Anti-Rabbit IgG H&L (Alexa Fluor® 488) preadsorbed at 1/1000 2 ug/mL dilution (Green). Negative control : no staining on mouse spleen (PMID : 25409824). is observed. The nuclear counterstain was DAPI (Blue). Secondary antibody control : Secondary antibody is ab150081 Goat Anti-Rabbit IgG H&L (Alexa Fluor® 488) preadsorbedat 1/1000 2 ug/mL dilution. .

Immunohistochemistry (Frozen sections) - Anti-MCT8 antibody [EPR26257-174] (BSA and Azide free) (AB302707)
  • IHC-Fr

Supplier Data

Immunohistochemistry (Frozen sections) - Anti-MCT8 antibody [EPR26257-174] (BSA and Azide free) (AB302707)

This data was developed using ab302706 the same antibody clone in a different buffer formulation.Immunohistochemical analysis of 4% PFA-fixed 0.2% Triton X-100 permeabilized frozen Rat spleen (fresh) tissue labeling MCT 8 with ab302706 at 1/100 (5.03 ug/ml) dilution followed by ab150081 Goat Anti-Rabbit IgG H&L (Alexa Fluor® 488) preadsorbed at 1/1000 2 ug/mL dilution (Green). Negative control : no staining on rat spleen (PMID : 25409824). is observed. The nuclear counterstain was DAPI (Blue). Secondary antibody control : Secondary antibody is ab150081 Goat Anti-Rabbit IgG H&L (Alexa Fluor® 488) preadsorbedat 1/1000 2 ug/mL dilution.

Immunohistochemistry (Frozen sections) - Anti-MCT8 antibody [EPR26257-174] (BSA and Azide free) (AB302707)
  • IHC-Fr

Supplier Data

Immunohistochemistry (Frozen sections) - Anti-MCT8 antibody [EPR26257-174] (BSA and Azide free) (AB302707)

This data was developed using ab302706 the same antibody clone in a different buffer formulation.Immunohistochemical analysis of 4% PFA-fixed 0.2% Triton X-100 permeabilized frozen Rat liver (fresh) tissue labeling MCT 8 with ab302706 at 1/100 (5.03 ug/ml) dilution followed by ab150081 Goat Anti-Rabbit IgG H&L (Alexa Fluor® 488) preadsorbed at 1/1000 2 ug/mL dilution (Green). Positive staining on rat liver is observed. The nuclear counterstain was DAPI (Blue). Secondary antibody control : Secondary antibody is ab150081 Goat Anti-Rabbit IgG H&L (Alexa Fluor® 488) preadsorbedat 1/1000 2 ug/mL dilution.

Immunocytochemistry/ Immunofluorescence - Anti-MCT8 antibody [EPR26257-174] (BSA and Azide free) (AB302707)
  • ICC/IF

Supplier Data

Immunocytochemistry/ Immunofluorescence - Anti-MCT8 antibody [EPR26257-174] (BSA and Azide free) (AB302707)

This data was developed using ab302706, the same antibody clone in a different buffer formulation. Immunofluorescent analysis of 4% Paraformaldehyde-fixed, 0.1% TritonX-100 permeabilized mouse primary neuron cells labelling MCT 8 with ab302706 at 1/500 (1.006 ug/ml) dilution, followed by ab150081 Goat Anti-Rabbit IgG H&L (Alexa Fluor® 488) preadsorbed antibody at 1/1000 2 ug/ml dilution (Green). Confocal image showing positive staining in mouse primary neuron.Confocal scanning Z step was set as 0.3 µm followed by image processing with maximum Z projection is observed. ab11267 Anti-MAP2 mouse monoclonal antibody was used to counterstain tubulin at 1/500 4 ug/ml dilution (Red). The Nuclear counterstain was DAPI (Blue). Secondary antibody only control : Secondary antibody is ab150081 Goat Anti-Rabbit IgG H&L (Alexa Fluor® 488) preadsorbed at 1/1000 2 ug/ml dilution.

Flow Cytometry (Intracellular) - Anti-MCT8 antibody [EPR26257-174] (BSA and Azide free) (AB302707)
  • Flow Cyt (Intra)

Supplier Data

Flow Cytometry (Intracellular) - Anti-MCT8 antibody [EPR26257-174] (BSA and Azide free) (AB302707)

This data was developed using ab302706, the same antibody clone in a different buffer formulation. Flow cytometric analysis of 4% paraformaldehyde fixed 90% methanol permeabilized Mouse primary neural/glia cell cells labelling MCT 8 with ab302706 at 1/50 dilution (1ug)/ Right (Red) compared with a Rabbit monoclonal IgG (ab172730) / Left isotype control and an unlabelled control (cells without incubation with primary antibody and secondary antibody) (Blue). A Goat Anti-Rabbit IgG (Alexa Fluor® 488, ab150081) at 1/2000 dilution was used as the secondary antibody.

Immunohistochemistry (Formalin/PFA-fixed paraffin-embedded sections) - Anti-MCT8 antibody [EPR26257-174] (BSA and Azide free) (AB302707)
  • IHC-P

Supplier Data

Immunohistochemistry (Formalin/PFA-fixed paraffin-embedded sections) - Anti-MCT8 antibody [EPR26257-174] (BSA and Azide free) (AB302707)

This data was developed using ab302706, the same antibody clone in a different buffer formulation. Immunohistochemical analysis of paraffin-embedded Rat liver tissue labeling MCT 8 with ab302706 at 1/5000 (0.101 ug/ml) followed by a ready to use Rabbit specific IHC polymer detection kit HRP/DAB (ab209101). Membranous staining in rat liver ( (PMID : 19641107, PMID : 12871948). The section was incubated with ab302706 for 30 mins at room temperature. The immunostaining was performed on a Leica Biosystems BOND® RX instrument. Counterstained with Hematoxylin. Secondary antibody only control : Secondary antibody is a ready to use Rabbit specific IHC polymer detection kit HRP/DAB (ab209101). Heat mediated antigen retrieval with Tris-EDTA buffer (pH 9.0, epitope retrieval solution2) for 20 mins

Immunohistochemistry (Formalin/PFA-fixed paraffin-embedded sections) - Anti-MCT8 antibody [EPR26257-174] (BSA and Azide free) (AB302707)
  • IHC-P

Supplier Data

Immunohistochemistry (Formalin/PFA-fixed paraffin-embedded sections) - Anti-MCT8 antibody [EPR26257-174] (BSA and Azide free) (AB302707)

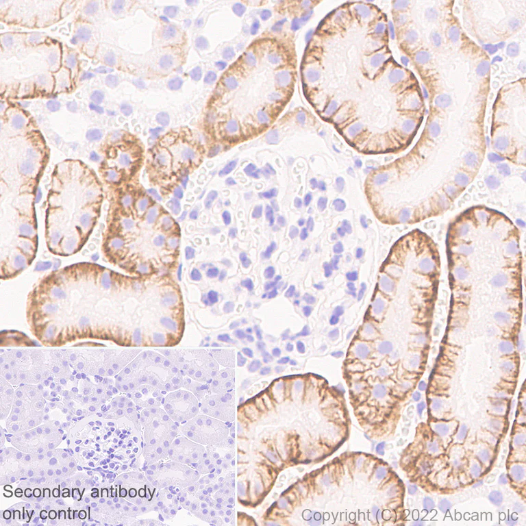
This data was developed using ab302706, the same antibody clone in a different buffer formulation. Immunohistochemical analysis of paraffin-embedded Mouse kidney tissue labeling MCT 8 with ab302706 at 1/5000 (0.101 ug/ml) followed by a ready to use Rabbit specific IHC polymer detection kit HRP/DAB (ab209101). Membranous staining in mouse kidney (PMID : 19641107, PMID : 19996182). The section was incubated with ab302706 for 30 mins at room temperature. The immunostaining was performed on a Leica Biosystems BOND® RX instrument. Counterstained with Hematoxylin. Secondary antibody only control : Secondary antibody is a ready to use Rabbit specific IHC polymer detection kit HRP/DAB (ab209101). Heat mediated antigen retrieval with Tris-EDTA buffer (pH 9.0, epitope retrieval solution2) for 20 mins

Immunohistochemistry (Formalin/PFA-fixed paraffin-embedded sections) - Anti-MCT8 antibody [EPR26257-174] (BSA and Azide free) (AB302707)
  • IHC-P

Supplier Data

Immunohistochemistry (Formalin/PFA-fixed paraffin-embedded sections) - Anti-MCT8 antibody [EPR26257-174] (BSA and Azide free) (AB302707)

This data was developed using ab302706, the same antibody clone in a different buffer formulation. Immunohistochemical analysis of paraffin-embedded Mouse spleen tissue labeling MCT 8 with ab302706 at 1/5000 (0.101 ug/ml) followed by a ready to use Rabbit specific IHC polymer detection kit HRP/DAB (ab209101). Negative control : no staining in mouse spleen (PMID : 9545634). The section was incubated with ab302706 for 30 mins at room temperature. The immunostaining was performed on a Leica Biosystems BOND® RX instrument. Counterstained with Hematoxylin. Secondary antibody only control : Secondary antibody is a ready to use Rabbit specific IHC polymer detection kit HRP/DAB (ab209101). Heat mediated antigen retrieval with Tris-EDTA buffer (pH 9.0, epitope retrieval solution2) for 20 mins

Flow Cytometry (Intracellular) - Anti-MCT8 antibody [EPR26257-174] (BSA and Azide free) (AB302707)
  • Flow Cyt (Intra)

Supplier Data

Flow Cytometry (Intracellular) - Anti-MCT8 antibody [EPR26257-174] (BSA and Azide free) (AB302707)

This data was developed using ab302706, the same antibody clone in a different buffer formulation. Flow cytometric analysis of 4% paraformaldehyde fixed 90% methanol permeabilized Rat primary neural/glia cell cells labelling MCT 8 with ab302706 at 1/50 dilution (1ug)/ Right (Red) compared with a Rabbit monoclonal IgG (ab172730) / Left isotype control and an unlabelled control (cells without incubation with primary antibody and secondary antibody) (Blue). A Goat Anti-Rabbit IgG (Alexa Fluor® 488, ab150081) at 1/2000 dilution was used as the secondary antibody.

Western blot - Anti-MCT8 antibody [EPR26257-174] (BSA and Azide free) (AB302707)
  • WB

Supplier Data

Western blot - Anti-MCT8 antibody [EPR26257-174] (BSA and Azide free) (AB302707)

This data was developed using ab302706, the same antibody clone in a different buffer Blocking and diluting buffer and concentration : 5% NFDM/TBST Samples are non-boiled as boiling may cause protein aggregates. Negative control : spleen (PMID : 9545634) Exposure time : Lane 1 : 48 seconds Lane 2-5 : 81 seconds

All lanes:

Western blot - Anti-MCT8 antibody [EPR26257-174] (<a href='/en-us/products/primary-antibodies/mct8-antibody-epr26257-174-ab302706'>ab302706</a>) at 1/1000 dilution

Lane 1:

Mouse kidney tissue lysate 20 µg

Lane 2:

Mouse liver tissue lysate 20 µg

Lane 3:

Mouse spleen tissue lysate 20 µg

Lane 4:

Rat liver tissue lysate 20 µg

Lane 5:

Rat spleen tissue lysate 20 µg

Secondary

All lanes:

Western blot - Goat Anti-Rabbit IgG H&L (HRP) (<a href='/en-us/products/secondary-antibodies/goat-rabbit-igg-h-l-hrp-ab97051'>ab97051</a>) at 1/100000 dilution

Observed band size: 60 kDa

false

Key facts

Host species

Rabbit

Clonality

Monoclonal

Clone number

EPR26257-174

Isotype

IgG

Carrier free

Yes

Reacts with

Rat, Mouse, Human

Applications

IP, WB, IHC-Fr, Flow Cyt (Intra), ICC/IF, IHC-P

applications

Immunogen

The exact immunogen used to generate this antibody is proprietary information.

Reactivity data

{ "title": "Reactivity Data", "filters": { "stats": ["", "Species", "Dilution Info", "Notes"], "tabs": { "all-applications": {"fullname" : "All Applications", "shortname": "All Applications"}, "IP" : {"fullname" : "Immunoprecipitation", "shortname":"IP"}, "FlowCytIntra" : {"fullname" : "Flow Cytometry (Intracellular)", "shortname":"Flow Cyt (Intra)"}, "ICCIF" : {"fullname" : "Immunocytochemistry/ Immunofluorescence", "shortname":"ICC/IF"}, "IHCFr" : {"fullname" : "Immunohistochemistry (Frozen sections)", "shortname":"IHC-Fr"}, "IHCP" : {"fullname" : "Immunohistochemistry (Formalin/PFA-fixed paraffin-embedded sections)", "shortname":"IHC-P"}, "WB" : {"fullname" : "Western blot", "shortname":"WB"} }, "product-promise": { "all": "all", "testedAndGuaranteed": "tested", "guaranteed": "expected", "predicted": "predicted", "notRecommended": "not-recommended" } }, "values": { "Human": { "IP-species-checked": "guaranteed", "IP-species-dilution-info": "", "IP-species-notes": "", "FlowCytIntra-species-checked": "guaranteed", "FlowCytIntra-species-dilution-info": "", "FlowCytIntra-species-notes": "", "ICCIF-species-checked": "guaranteed", "ICCIF-species-dilution-info": "", "ICCIF-species-notes": "", "IHCFr-species-checked": "guaranteed", "IHCFr-species-dilution-info": "", "IHCFr-species-notes": "", "IHCP-species-checked": "testedAndGuaranteed", "IHCP-species-dilution-info": "", "IHCP-species-notes": "<p></p>", "WB-species-checked": "notRecommended", "WB-species-dilution-info": "", "WB-species-notes": "<p></p>" }, "Mouse": { "IP-species-checked": "testedAndGuaranteed", "IP-species-dilution-info": "", "IP-species-notes": "<p></p>", "FlowCytIntra-species-checked": "testedAndGuaranteed", "FlowCytIntra-species-dilution-info": "", "FlowCytIntra-species-notes": "<p></p>", "ICCIF-species-checked": "testedAndGuaranteed", "ICCIF-species-dilution-info": "", "ICCIF-species-notes": "<p></p>", "IHCFr-species-checked": "testedAndGuaranteed", "IHCFr-species-dilution-info": "", "IHCFr-species-notes": "<p></p>", "IHCP-species-checked": "testedAndGuaranteed", "IHCP-species-dilution-info": "", "IHCP-species-notes": "<p></p>", "WB-species-checked": "testedAndGuaranteed", "WB-species-dilution-info": "", "WB-species-notes": "<p></p>" }, "Rat": { "IP-species-checked": "testedAndGuaranteed", "IP-species-dilution-info": "", "IP-species-notes": "<p></p>", "FlowCytIntra-species-checked": "testedAndGuaranteed", "FlowCytIntra-species-dilution-info": "", "FlowCytIntra-species-notes": "<p></p>", "ICCIF-species-checked": "testedAndGuaranteed", "ICCIF-species-dilution-info": "", "ICCIF-species-notes": "<p></p>", "IHCFr-species-checked": "testedAndGuaranteed", "IHCFr-species-dilution-info": "", "IHCFr-species-notes": "<p></p>", "IHCP-species-checked": "testedAndGuaranteed", "IHCP-species-dilution-info": "", "IHCP-species-notes": "<p></p>", "WB-species-checked": "testedAndGuaranteed", "WB-species-dilution-info": "", "WB-species-notes": "<p></p>" } } }

Product details

Want a custom formulation?
This antibody clone is manufactured by Abcam. If you require a custom buffer formulation or conjugation for your experiments, please contact orders@abcam.com

Patented technology
Our RabMAb® technology is a patented hybridoma-based technology for making rabbit monoclonal antibodies. For details on our patents, please refer to RabMAb® patents.

Conjugation ready
Our carrier-free antibodies are typically supplied in a PBS-only formulation, purified and free of BSA, sodium azide and glycerol. This conjugation-ready format is designed for use with fluorochromes, metal isotopes, oligonucleotides, and enzymes, which makes them ideal for antibody labelling, functional and cell-based assays, flow-based assays (e.g. mass cytometry) and Multiplex Imaging applications.

Use our conjugation kits for antibody conjugates that are ready-to-use in as little as 20 minutes with 1 minute hands-on-time and 100% antibody recovery: available for fluorescent dyes, HRP, biotin and gold.

What are the advantages of a recombinant monoclonal antibody?
This product is a recombinant monoclonal antibody, which offers several advantages including:

  • - High batch-to-batch consistency and reproducibility
  • - Improved sensitivity and specificity
  • - Long-term security of supply
  • - Animal-free batch production

For more information, read more on recombinant antibodies.

Properties and storage information

Form
Liquid
Purification technique
Affinity purification Protein A
Storage buffer
pH: 7.2 - 7.4 Constituents: PBS
Shipped at conditions
Blue Ice
Appropriate short-term storage conditions
+4°C
Appropriate long-term storage conditions
+4°C
Storage information
Do Not Freeze

Supplementary information

This supplementary information is collated from multiple sources and compiled automatically.

MCT 8 also known as monocarboxylate transporter 8 is a protein important for transporting thyroid hormones across cell membranes. This transporter has a mass of approximately 61 kDa. MCT 8 is widely expressed in various tissues including the brain liver and kidneys with a significant presence in neurons. This transporter plays an important mechanical role in hormone regulation by facilitating the cellular uptake and efflux of triiodothyronine (T3) and thyroxine (T4) critical components for proper cellular function.
Biological function summary

MCT 8 serves a significant role in maintaining normal thyroid hormone levels within cells affecting development and metabolism. It does not act alone but operates as part of a cooperative network with other transporters and receptors to ensure precise hormonal balance. Its activity impacts processes like energy generation and usage as well as nervous system development. MCT 8's ability to mediate hormone access to target tissues highlights its importance in these biological processes.

Pathways

MCT 8 is intricately involved in the thyroid hormone signaling pathway. This pathway influences diverse metabolic and developmental outcomes. MCT 8 works closely with other proteins such as thyroid hormone receptor alpha (THRA) that also bind and respond to thyroid hormones. The synchronization between MCT 8 and these proteins ensures effective communication and function within the hormonal axis impacting metabolic regulation and growth.

MCT 8 mutations connect strongly to Allan-Herndon-Dudley syndrome a rare neurodevelopmental disorder. This condition arises from disrupted thyroid hormone transport leading to developmental and cognitive deficiencies. Patients typically exhibit reduced T3 levels in the brain. In this context MCT 8's relationship with proteins like THRA reveals how perturbations in hormone transport can cascade into broader physiological abnormalities.

Product protocols

For this product, it's our understanding that no specific protocols are required. You can visit:

Target data

Specific thyroid hormone transmembrane transporter, that mediates both uptake and efflux of thyroid hormones across the cell membrane independently of pH or a Na(+) gradient. Major substrates are the iodothyronines T3 and T4 and to a lesser extent rT3 and 3,3-diiodothyronine (3,3'-T2) (PubMed : 16887882, PubMed : 18337592, PubMed : 20628049, PubMed : 23550058, PubMed : 26426690, PubMed : 27805744, PubMed : 31436139). Acts as an important mediator of thyroid hormone transport, especially T3, through the blood-brain barrier (Probable) (PubMed : 28526555).
See full target information SLC16A2

Product promise

We are committed to supporting your work with high-quality reagents, and we're here for you every step of the way. In the unlikely event that one of our products does not perform as expected, you're protected by our Product Promise.
For full details, please see our Terms & Conditions

Please note: All products are 'FOR RESEARCH USE ONLY. NOT FOR USE IN DIAGNOSTIC OR THERAPEUTIC PROCEDURES'.

For licensing inquiries, please contact partnerships@abcam.com