JavaScript is disabled in your browser. Please enable JavaScript to view this website.
AB282592

Anti-MCU antibody [EPR24788-158] - BSA and Azide free

Be the first to review this product! Submit a review

|

(0 Publication)

Rabbit Recombinant Monoclonal MCU antibody. Carrier free. Suitable for IP, WB, IHC-P, Flow Cyt (Intra) and reacts with Human samples.

View Alternative Names

C10orf42, CCDC109A, MCU, HsMCU, Coiled-coil domain-containing protein 109A

7 Images
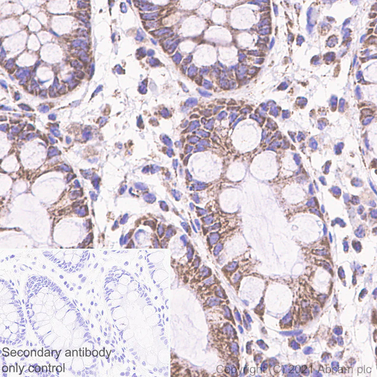
Immunohistochemistry (Formalin/PFA-fixed paraffin-embedded sections) - Anti-MCU antibody [EPR24788-158] - BSA and Azide free (AB282592)
  • IHC-P

Supplier Data

Immunohistochemistry (Formalin/PFA-fixed paraffin-embedded sections) - Anti-MCU antibody [EPR24788-158] - BSA and Azide free (AB282592)

This data was developed using ab272488, the same antibody clone in a different buffer formulation.

Immunohistochemical analysis of paraffin-embedded Human colon tissue labeling MCU with ab272488 at 1/500 (1.08 ug/ml) dilution followed by a Rabbit specific IHC polymer detection kit HRP/DAB (ab209101) at Ready to use dilution. Positive staining on human colon. The section was incubated with ab272488 for 30 mins at room temperature. The immunostaining was performed on a Leica Biosystems BOND® RX instrument Counterstained with Hematoxylin.

Secondary antibody only control : Secondary antibody is Rabbit specific IHC polymer detection kit HRP/DAB (ab209101) at Ready to use dilution.

Heat mediated antigen retrieval with Tris-EDTA buffer (pH 9.0, epitope retrieval solution2) for 20 mins

Immunohistochemistry (Formalin/PFA-fixed paraffin-embedded sections) - Anti-MCU antibody [EPR24788-158] - BSA and Azide free (AB282592)
  • IHC-P

Supplier Data

Immunohistochemistry (Formalin/PFA-fixed paraffin-embedded sections) - Anti-MCU antibody [EPR24788-158] - BSA and Azide free (AB282592)

This data was developed using ab272488, the same antibody clone in a different buffer formulation.

Immunohistochemical analysis of paraffin-embedded Human skeletal muscle tissue labeling MCU with ab272488 at 1/500 (1.08 ug/ml) dilution followed by a Rabbit specific IHC polymer detection kit HRP/DAB (ab209101) at Ready to use dilution. Cytoplasmic staining on human skeletal muscle. The section was incubated with ab272488 for 30 mins at room temperature. The immunostaining was performed on a Leica Biosystems BOND® RX instrument Counterstained with Hematoxylin.

Secondary antibody only control : Secondary antibody is Rabbit specific IHC polymer detection kit HRP/DAB (ab209101) at Ready to use dilution.

Heat mediated antigen retrieval with Tris-EDTA buffer (pH 9.0, epitope retrieval solution2) for 20 mins

Immunohistochemistry (Formalin/PFA-fixed paraffin-embedded sections) - Anti-MCU antibody [EPR24788-158] - BSA and Azide free (AB282592)
  • IHC-P

Supplier Data

Immunohistochemistry (Formalin/PFA-fixed paraffin-embedded sections) - Anti-MCU antibody [EPR24788-158] - BSA and Azide free (AB282592)

This data was developed using ab272488, the same antibody clone in a different buffer formulation.

Immunohistochemical analysis of paraffin-embedded Human cardiac muscle tissue labeling MCU with ab272488 at 1/500 (1.08 ug/ml) dilution followed by a Rabbit specific IHC polymer detection kit HRP/DAB (ab209101) at Ready to use dilution. Cytoplasmic staining on human cardiac muscle. The section was incubated with ab272488 for 30 mins at room temperature. The immunostaining was performed on a Leica Biosystems BOND® RX instrument Counterstained with Hematoxylin.

Secondary antibody only control : Secondary antibody is Rabbit specific IHC polymer detection kit HRP/DAB (ab209101) at Ready to use dilution.

Heat mediated antigen retrieval with Tris-EDTA buffer (pH 9.0, epitope retrieval solution2) for 20 mins

Flow Cytometry (Intracellular) - Anti-MCU antibody [EPR24788-158] - BSA and Azide free (AB282592)
  • Flow Cyt (Intra)

Supplier Data

Flow Cytometry (Intracellular) - Anti-MCU antibody [EPR24788-158] - BSA and Azide free (AB282592)

This data was developed using ab272488, the same antibody clone in a different buffer formulation.Flow cytometric analysis of 4% paraformaldehyde fixed 90% methanol permeabilized PANC-1 (Human pancreatic epithelioid carcinoma epithelial cell) cells labelling MCU with ab272488 at 1/50 dilution (1ug)/ (Red) compared with a Rabbit monoclonal IgG (ab172730) (Black) isotype control and an unlabelled control (cells without incubation with primary antibody and secondary antibody) (Blue). A Goat anti rabbit IgG (Alexa Fluor® 488, ab150077) at 1/2000 dilution was used as the secondary antibody.

Immunoprecipitation - Anti-MCU antibody [EPR24788-158] - BSA and Azide free (AB282592)
  • IP

Supplier Data

Immunoprecipitation - Anti-MCU antibody [EPR24788-158] - BSA and Azide free (AB282592)

This data was developed using ab272488, the same antibody clone in a different buffer formulation.

MCU was immunoprecipitated from 0.35 mg PANC-1 (human pancreatic epithelioid carcinoma epithelial cell) whole cell lysate 10 ug with ab272488 at 1/30 dilution (2ug in 0.35mg lysates). Western blot was performed on the immunoprecipitate using ab272488 at 1/1000 dilution. VeriBlot for IP secondary antibody(HRP)(ab131366) was used at 1/5000 dilution.

Lane 1 : PANC-1 (human pancreatic epithelioid carcinoma epithelial cell) whole cell lysate 10 ug

Lane 2 : ab272488 IP in PANC-1 whole cell lysate

Lane 3 : Rabbit monoclonal IgG (ab172730) instead of ab272488 in PANC-1 whole cell lysate

Blocking and dilution buffer and concentration : 5% NFDM/TBST.

Exposure time : 8 seconds

All lanes:

Immunoprecipitation - Anti-MCU antibody [EPR24788-158] (<a href='/en-us/products/primary-antibodies/mcu-antibody-epr24788-158-ab272488'>ab272488</a>)

Predicted band size: 40 kDa

Observed band size: 30 kDa

false

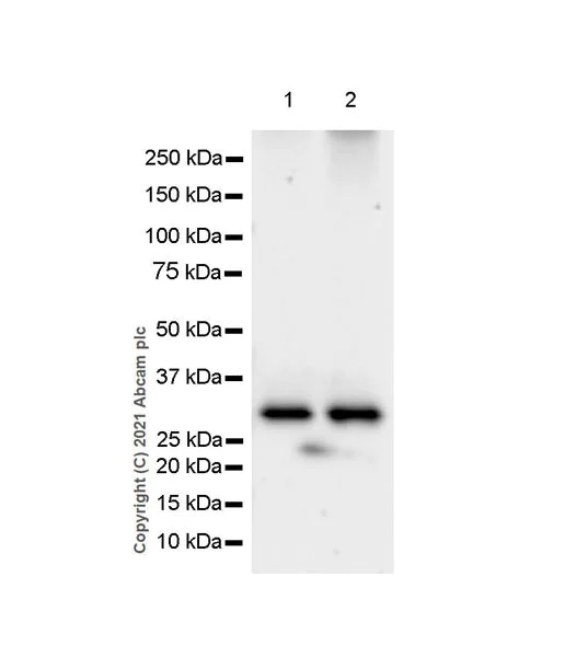
Western blot - Anti-MCU antibody [EPR24788-158] - BSA and Azide free (AB282592)
  • WB

Lab

Western blot - Anti-MCU antibody [EPR24788-158] - BSA and Azide free (AB282592)

This data was developed using 272488, the same antibody clone in a different buffer formulation.

Blocking and diluting buffer and concentration : 5% NFDM/TBST

Relatively low expression : human heart (PMID : 31042465).

Exposure time : 8 seconds

All lanes:

Western blot - Anti-MCU antibody [EPR24788-158] (<a href='/en-us/products/primary-antibodies/mcu-antibody-epr24788-158-ab272488'>ab272488</a>) at 1/1000 dilution

Lane 1:

Human skeletal muscle tissue lysate at 20 µg

Lane 2:

Human heart tissue lysate at 20 µg

Secondary

All lanes:

Goat Anti-Rabbit IgG (HRP) with minimal cross-reactivity with human IgG at 1/2000 dilution

Predicted band size: 40 kDa

Observed band size: 30 kDa

false

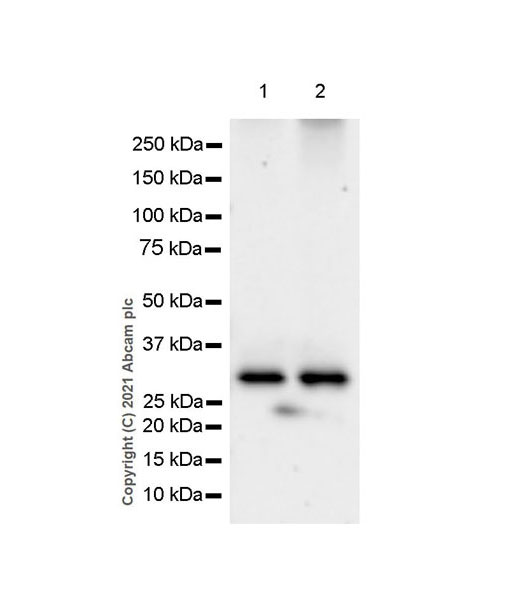
Western blot - Anti-MCU antibody [EPR24788-158] - BSA and Azide free (AB282592)
  • WB

Lab

Western blot - Anti-MCU antibody [EPR24788-158] - BSA and Azide free (AB282592)

This data was developed using 272488, the same antibody clone in a different buffer formulation.

Blocking and diluting buffer and concentration : 5% NFDM/TBST

Exposure time : 48 seconds

All lanes:

Western blot - Anti-MCU antibody [EPR24788-158] (<a href='/en-us/products/primary-antibodies/mcu-antibody-epr24788-158-ab272488'>ab272488</a>) at 1/1000 dilution

Lane 1:

PANC-1 (human pancreatic epithelioid carcinoma epithelial cell) whole cell lysate at 20 µg

Lane 2:

A549 (Human lung carcinoma epithelial cell) whole cell lysate at 20 µg

Secondary

All lanes:

Western blot - Goat Anti-Rabbit IgG H&L (HRP) (<a href='/en-us/products/secondary-antibodies/goat-rabbit-igg-h-l-hrp-ab97051'>ab97051</a>) at 1/100000 dilution

Predicted band size: 40 kDa

Observed band size: 30 kDa

false

Key facts

Host species

Rabbit

Clonality

Monoclonal

Clone number

EPR24788-158

Isotype

IgG

Carrier free

Yes

Reacts with

Human

Applications

WB, IHC-P, Flow Cyt (Intra), IP

applications

Immunogen

The exact immunogen used to generate this antibody is proprietary information.

Reactivity data

{ "title": "Reactivity Data", "filters": { "stats": ["", "Species", "Dilution Info", "Notes"], "tabs": { "all-applications": {"fullname" : "All Applications", "shortname": "All Applications"}, "ICCIF" : {"fullname" : "Immunocytochemistry/ Immunofluorescence", "shortname":"ICC/IF"}, "IP" : {"fullname" : "Immunoprecipitation", "shortname":"IP"}, "WB" : {"fullname" : "Western blot", "shortname":"WB"}, "IHCP" : {"fullname" : "Immunohistochemistry (Formalin/PFA-fixed paraffin-embedded sections)", "shortname":"IHC-P"}, "FlowCytIntra" : {"fullname" : "Flow Cytometry (Intracellular)", "shortname":"Flow Cyt (Intra)"} }, "product-promise": { "all": "all", "testedAndGuaranteed": "tested", "guaranteed": "expected", "predicted": "predicted", "notRecommended": "not-recommended" } }, "values": { "Human": { "ICCIF-species-checked": "notRecommended", "ICCIF-species-dilution-info": "", "ICCIF-species-notes": "<p></p>", "IP-species-checked": "testedAndGuaranteed", "IP-species-dilution-info": "", "IP-species-notes": "<p></p>", "WB-species-checked": "testedAndGuaranteed", "WB-species-dilution-info": "", "WB-species-notes": "<p></p>", "IHCP-species-checked": "testedAndGuaranteed", "IHCP-species-dilution-info": "", "IHCP-species-notes": "<p></p> Perform heat-mediated antigen retrieval with Tris/EDTA buffer pH 9.0 before commencing with IHC staining protocol.", "FlowCytIntra-species-checked": "testedAndGuaranteed", "FlowCytIntra-species-dilution-info": "1/500", "FlowCytIntra-species-notes": "<p></p>" }, "Mouse": { "ICCIF-species-checked": "notRecommended", "ICCIF-species-dilution-info": "", "ICCIF-species-notes": "<p></p>", "IP-species-checked": "notRecommended", "IP-species-dilution-info": "", "IP-species-notes": "", "WB-species-checked": "notRecommended", "WB-species-dilution-info": "", "WB-species-notes": "<p></p>", "IHCP-species-checked": "notRecommended", "IHCP-species-dilution-info": "", "IHCP-species-notes": "<p></p> Perform heat-mediated antigen retrieval with Tris/EDTA buffer pH 9.0 before commencing with IHC staining protocol.", "FlowCytIntra-species-checked": "notRecommended", "FlowCytIntra-species-dilution-info": "", "FlowCytIntra-species-notes": "<p></p>" }, "Rat": { "ICCIF-species-checked": "notRecommended", "ICCIF-species-dilution-info": "", "ICCIF-species-notes": "", "IP-species-checked": "notRecommended", "IP-species-dilution-info": "", "IP-species-notes": "", "WB-species-checked": "notRecommended", "WB-species-dilution-info": "", "WB-species-notes": "<p></p>", "IHCP-species-checked": "notRecommended", "IHCP-species-dilution-info": "", "IHCP-species-notes": "<p></p> Perform heat-mediated antigen retrieval with Tris/EDTA buffer pH 9.0 before commencing with IHC staining protocol.", "FlowCytIntra-species-checked": "notRecommended", "FlowCytIntra-species-dilution-info": "", "FlowCytIntra-species-notes": "" } } }

Product details

ab282592 is the carrier-free version of ab272488.

Patented technology
Our RabMAb® technology is a patented hybridoma-based technology for making rabbit monoclonal antibodies. For details on our patents, please refer to RabMAb® patents.

What are the advantages of a recombinant monoclonal antibody?
This product is a recombinant monoclonal antibody, which offers several advantages including:

  • - High batch-to-batch consistency and reproducibility
  • - Improved sensitivity and specificity
  • - Long-term security of supply
  • - Animal-free batch production

For more information, read more on recombinant antibodies.

Conjugation ready
Our carrier-free antibodies are typically supplied in a PBS-only formulation, purified and free of BSA, sodium azide and glycerol. This conjugation-ready format is designed for use with fluorochromes, metal isotopes, oligonucleotides, and enzymes, which makes them ideal for antibody labelling, functional and cell-based assays, flow-based assays (e.g. mass cytometry) and Multiplex Imaging applications.

Use our conjugation kits for antibody conjugates that are ready-to-use in as little as 20 minutes with 1 minute hands-on-time and 100% antibody recovery: available for fluorescent dyes, HRP, biotin and gold.

Compatibility
This product is compatible with the Maxpar® Antibody Labeling Kit from Fluidigm, without the need for antibody preparation. Maxpar® is a trademark of Fluidigm Canada Inc.

Properties and storage information

Form
Liquid
Purification technique
Affinity purification Protein A
Storage buffer
Constituents: PBS
Shipped at conditions
Blue Ice
Appropriate short-term storage conditions
+4°C
Appropriate long-term storage conditions
+4°C

Supplementary information

This supplementary information is collated from multiple sources and compiled automatically.

The mitochondrial calcium uniporter (MCU) is an ion channel located in the inner mitochondrial membrane. It functions to facilitate the uptake of calcium ions (Ca2+) into the mitochondria. MCU is sometimes referred to by its alternate names such as mitochondrial calcium uptake1 (MICU1). The molecular weight of MCU is approximately 40 kDa. This protein is expressed in various human tissues with higher levels observed in the heart brain and skeletal muscles.
Biological function summary

The MCU plays a critical role in regulating mitochondrial calcium levels which affect cellular energy production metabolism and apoptosis. MCU is part of a larger protein complex that includes essential regulatory subunits like MICU1 and MICU2. These subunits help maintain precise calcium ion transport into the mitochondria ensuring cellular homeostasis. Under normal conditions MCU controls energy metabolism by regulating ATP production through the mitochondrial electron transport chain.

Pathways

MCU participates in the calcium signaling pathway which links intracellular calcium levels to various metabolic responses. This protein influences the electron transport chain by affecting the activity of enzymes such as FADH2 and NADH which are important in oxidative phosphorylation. Additionally MCU interacts with key regulatory proteins like MICU1 playing a role in adjusting calcium uptake based on the cell’s metabolic needs. These interactions demonstrate MCU's integration with cellular energy pathways and its effect on maintaining metabolic balance.

Researchers have linked dysfunction of MCU to certain neurological disorders such as Parkinson's disease where impaired calcium handling leads to neuronal cell death. Additionally abnormal MCU activity may contribute to the development of cardiac diseases as calcium misregulation affects heart muscle contraction and energy demand. MCU's relationship with these diseases often involves other mitochondrial proteins influencing pathways central to the disease mechanisms. For instance its interaction with MIUC1 and ATP synthase in the mitochondrial pathways has been seen to significantly impact cardiac cellular health.

Product protocols

For this product, it's our understanding that no specific protocols are required. You can visit:

Target data

Channel-forming and calcium-conducting subunit of the mitochondrial inner membrane calcium uniporter complex (uniplex), which mediates calcium uptake into the mitochondrial matrix (PubMed : 21685886, PubMed : 21685888, PubMed : 22822213, PubMed : 22829870, PubMed : 22904319, PubMed : 23101630, PubMed : 23178883, PubMed : 23755363, PubMed : 24332854, PubMed : 24560927, PubMed : 26341627, PubMed : 29954988, PubMed : 29995857, PubMed : 30454562, PubMed : 30638448, PubMed : 31080062, PubMed : 32494073, PubMed : 32762847, PubMed : 33296646, PubMed : 37036971, PubMed : 37126688). MCU channel activity is regulated by the calcium-sensor subunits of the uniplex MICU1 and MICU2 (or MICU3) (PubMed : 24560927, PubMed : 26903221, PubMed : 30454562, PubMed : 30638448, PubMed : 32494073, PubMed : 32762847, PubMed : 37036971, PubMed : 37126688). Mitochondrial calcium homeostasis plays key roles in cellular physiology and regulates ATP production, cytoplasmic calcium signals and activation of cell death pathways (PubMed : 21685886, PubMed : 21685888, PubMed : 22822213, PubMed : 22829870, PubMed : 22904319, PubMed : 23101630, PubMed : 23178883, PubMed : 23755363, PubMed : 24332854, PubMed : 24560927, PubMed : 26341627, PubMed : 29954988, PubMed : 32494073, PubMed : 32762847). Involved in buffering the amplitude of systolic calcium rises in cardiomyocytes (PubMed : 22822213). While dispensable for baseline homeostatic cardiac function, acts as a key regulator of short-term mitochondrial calcium loading underlying a 'fight-or-flight' response during acute stress : acts by mediating a rapid increase of mitochondrial calcium in pacemaker cells (PubMed : 25603276). Participates in mitochondrial permeability transition during ischemia-reperfusion injury (By similarity). Mitochondrial calcium uptake in skeletal muscle cells is involved in muscle size in adults (By similarity). Regulates synaptic vesicle endocytosis kinetics in central nerve terminal (By similarity). Regulates glucose-dependent insulin secretion in pancreatic beta-cells by regulating mitochondrial calcium uptake (PubMed : 22829870, PubMed : 22904319). Involved in antigen processing and presentation (By similarity).
See full target information MCU

Product promise

We are committed to supporting your work with high-quality reagents, and we're here for you every step of the way. In the unlikely event that one of our products does not perform as expected, you're protected by our Product Promise.
For full details, please see our Terms & Conditions

Please note: All products are 'FOR RESEARCH USE ONLY. NOT FOR USE IN DIAGNOSTIC OR THERAPEUTIC PROCEDURES'.

For licensing inquiries, please contact partnerships@abcam.com