JavaScript is disabled in your browser. Please enable JavaScript to view this website.
AB124768

Anti-MDC antibody [EPR1362]

Be the first to review this product! Submit a review

|

(6 Publications)

Rabbit Recombinant Monoclonal MDC antibody. Suitable for IHC-P, WB and reacts with Mouse, Recombinant full length protein - Mouse samples. Cited in 6 publications.

View Alternative Names

Abcd1, Scya22, Ccl22, C-C motif chemokine 22, Activated B and dendritic cell-derived, CC chemokine ABCD-1, Small-inducible cytokine A22

3 Images
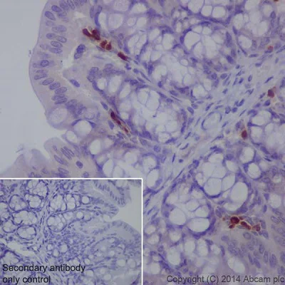
Immunohistochemistry (Formalin/PFA-fixed paraffin-embedded sections) - Anti-MDC antibody [EPR1362] (AB124768)
  • IHC-P

Supplier Data

Immunohistochemistry (Formalin/PFA-fixed paraffin-embedded sections) - Anti-MDC antibody [EPR1362] (AB124768)

Immunohistochemical analysis of paraffin-embedded mouse colon tissue labeling MDC with ab124768 at 1/250 dilution followed by Goat Anti-Rabbit IgG H&L (HRP) (ab97051 1/500). Counter stained with hematoxylin.

Perform heat mediated antigen retrieval before commencing with IHC staining protocol.

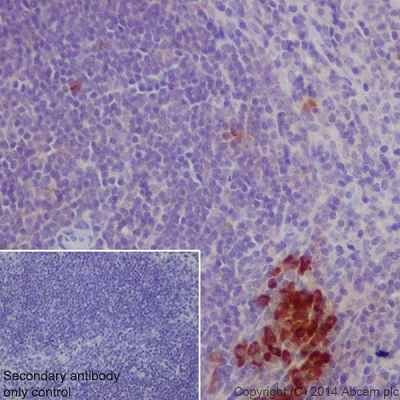
Immunohistochemistry (Formalin/PFA-fixed paraffin-embedded sections) - Anti-MDC antibody [EPR1362] (AB124768)
  • IHC-P

Supplier Data

Immunohistochemistry (Formalin/PFA-fixed paraffin-embedded sections) - Anti-MDC antibody [EPR1362] (AB124768)

Immunohistochemical analysis of paraffin-embedded mouse spleen tissue labeling MDC with ab124768 at 1/250 dilution followed by Goat Anti-Rabbit IgG H&L (HRP) (ab97051 1/500). Counter stained with hematoxylin.

Perform heat mediated antigen retrieval before commencing with IHC staining protocol.

Western blot - Anti-MDC antibody [EPR1362] (AB124768)
  • WB

Unknown

Western blot - Anti-MDC antibody [EPR1362] (AB124768)

All lanes:

Western blot - Anti-MDC antibody [EPR1362] (ab124768) at 1/1000 dilution

All lanes:

Recombinant full-length MDC protein at 0.005 µg

Secondary

All lanes:

Goat anti-rabbit HRP-conjugated at 1/2000 dilution

Predicted band size: 11 kDa

false

Key facts

Host species

Rabbit

Clonality

Monoclonal

Clone number

EPR1362

Isotype

IgG

Carrier free

No

Reacts with

Mouse

Applications

WB, IHC-P

applications

Immunogen

The exact immunogen used to generate this antibody is proprietary information.

Reactivity data

{ "title": "Reactivity Data", "filters": { "stats": ["", "Species", "Dilution Info", "Notes"], "tabs": { "all-applications": {"fullname" : "All Applications", "shortname": "All Applications"}, "IHCP" : {"fullname" : "Immunohistochemistry (Formalin/PFA-fixed paraffin-embedded sections)", "shortname":"IHC-P"}, "IP" : {"fullname" : "Immunoprecipitation", "shortname":"IP"}, "WB" : {"fullname" : "Western blot", "shortname":"WB"}, "ICCIF" : {"fullname" : "Immunocytochemistry/ Immunofluorescence", "shortname":"ICC/IF"} }, "product-promise": { "all": "all", "testedAndGuaranteed": "tested", "guaranteed": "expected", "predicted": "predicted", "notRecommended": "not-recommended" } }, "values": { "Human": { "IHCP-species-checked": "notRecommended", "IHCP-species-dilution-info": "1/100 - 1/250", "IHCP-species-notes": "<p>(Heat up to 98 degrees C, below boiling, and then let cool for 10-20 min).</p> Perform heat-mediated antigen retrieval before commencing with IHC staining protocol.", "IP-species-checked": "notRecommended", "IP-species-dilution-info": "", "IP-species-notes": "<p></p>", "WB-species-checked": "notRecommended", "WB-species-dilution-info": "1/1000 - 1/10000", "WB-species-notes": "<p></p>", "ICCIF-species-checked": "notRecommended", "ICCIF-species-dilution-info": "", "ICCIF-species-notes": "<p></p>" }, "Mouse": { "IHCP-species-checked": "testedAndGuaranteed", "IHCP-species-dilution-info": "1/100 - 1/250", "IHCP-species-notes": "<p>(Heat up to 98 degrees C, below boiling, and then let cool for 10-20 min).</p> Perform heat-mediated antigen retrieval before commencing with IHC staining protocol.", "IP-species-checked": "notRecommended", "IP-species-dilution-info": "", "IP-species-notes": "", "WB-species-checked": "guaranteed", "WB-species-dilution-info": "", "WB-species-notes": "", "ICCIF-species-checked": "notRecommended", "ICCIF-species-dilution-info": "", "ICCIF-species-notes": "" }, "Rat": { "IHCP-species-checked": "notRecommended", "IHCP-species-dilution-info": "1/100 - 1/250", "IHCP-species-notes": "<p>(Heat up to 98 degrees C, below boiling, and then let cool for 10-20 min).</p> Perform heat-mediated antigen retrieval before commencing with IHC staining protocol.", "IP-species-checked": "notRecommended", "IP-species-dilution-info": "", "IP-species-notes": "<p></p>", "WB-species-checked": "notRecommended", "WB-species-dilution-info": "1/1000 - 1/10000", "WB-species-notes": "<p></p>", "ICCIF-species-checked": "notRecommended", "ICCIF-species-dilution-info": "", "ICCIF-species-notes": "<p></p>" }, "Recombinant full length protein - Mouse": { "IHCP-species-checked": "notRecommended", "IHCP-species-dilution-info": "", "IHCP-species-notes": "", "IP-species-checked": "notRecommended", "IP-species-dilution-info": "", "IP-species-notes": "", "WB-species-checked": "testedAndGuaranteed", "WB-species-dilution-info": "1/1000 - 1/10000", "WB-species-notes": "<p></p>", "ICCIF-species-checked": "notRecommended", "ICCIF-species-dilution-info": "", "ICCIF-species-notes": "" } } }

Product details

Patented technology
Our RabMAb® technology is a patented hybridoma-based technology for making rabbit monoclonal antibodies. For details on our patents, please refer to RabMAb® patents.

What are the advantages of a recombinant monoclonal antibody?
This product is a recombinant monoclonal antibody, which offers several advantages including:

  • - High batch-to-batch consistency and reproducibility
  • - Improved sensitivity and specificity
  • - Long-term security of supply
  • - Animal-free batch production

For more information, read more on recombinant antibodies.

Properties and storage information

Form
Liquid
Purification technique
Affinity purification Protein A
Storage buffer
pH: 7.2 - 7.4 Preservative: 0.01% Sodium azide Constituents: 50% Tissue culture supernatant, 40% Glycerol (glycerin, glycerine), 9% PBS, 0.05% BSA
Shipped at conditions
Blue Ice
Appropriate short-term storage conditions
+4°C
Appropriate long-term storage conditions
-20°C
Storage information
Stable for 12 months at -20°C

Supplementary information

This supplementary information is collated from multiple sources and compiled automatically.

MDC also known as CCL22 or macrophage-derived chemokine is a small protein involved in immune system signaling. The molecular mass of MDC is approximately 8 kDa. It is expressed in various tissues including lymph nodes thymus and lungs where it mainly acts to regulate immune cell movement. Researchers commonly study this target using MDC assays and CCL22 ELISA to better understand its functions and expression patterns.
Biological function summary

MDC interacts with immune cells to mediate responses such as chemotaxis. It binds to the CCR4 receptor which is found on T cells and other immune cells. MDC does not require complex formation to function; it works independently to attract specific cell types. This chemokine provides a way for immune cells to navigate to sites of inflammation or infection.

Pathways

MDC plays a significant role in inflammatory and immune response pathways. It is integrally linked with the chemokine signaling pathway where it works along with other chemokines to guide immune responses. MDC is related to proteins like CCR4 and other chemokines in these pathways facilitating communication between cells during immune responses and maintaining homeostasis.

MDC is implicated in conditions such as allergic responses and autoimmune diseases. Its interaction with CCR4 connects it to disorders like asthma and atopic dermatitis where excessive immune cell recruitment leads to inflammation. Studying MDC levels through macrophage assays and chemokine ELISAs can provide insights into its role in these diseases and help develop potential therapeutic strategies.

Product protocols

For this product, it's our understanding that no specific protocols are required. You can visit:

Target data

Chemotactic for activated T-lymphocytes. May play an important role in the collaboration of dendritic cells and B-lymphocytes with T-cells in immune responses.
See full target information Ccl22

Publications (6)

Recent publications for all applications. Explore the full list and refine your search

BMC cancer 21:922 PubMed34391381

2021

Downregulation of CCL22 and mutated NOTCH1 in tongue and mouth floor squamous cell carcinoma results in decreased Th2 cell recruitment and expression, predicting poor clinical outcome.

Applications

Unspecified application

Species

Unspecified reactive species

Xuejie Li,Zheqi Liu,Wenkai Zhou,Xiaofang Liu,Wei Cao

Frontiers in oncology 11:595609 PubMed33777742

2021

Circular RNA CHST15 Sponges miR-155-5p and miR-194-5p to Promote the Immune Escape of Lung Cancer Cells Mediated by PD-L1.

Applications

Unspecified application

Species

Unspecified reactive species

Jianru Yang,Yang Jia,Bing Wang,Shengrong Yang,Kun Du,Yujie Luo,Yunhe Li,Bing Zhu

JCI insight 5: PubMed31085832

2019

CCR4 expression on host T cells is a driver for alloreactive responses and lung rejection.

Applications

Unspecified application

Species

Unspecified reactive species

Vyacheslav Palchevskiy,Ying Ying Xue,Rita Kern,Stephen S Weigt,Aric L Gregson,Sophie X Song,Michael C Fishbein,Cory M Hogaboam,David M Sayah,Joseph P Lynch,Michael P Keane,David G Brooks,John A Belperio

The Journal of experimental medicine 216:1170-1181 PubMed30910796

2019

CCL22 controls immunity by promoting regulatory T cell communication with dendritic cells in lymph nodes.

Applications

Unspecified application

Species

Unspecified reactive species

Moritz Rapp,Maximilian W M Wintergerst,Wolfgang G Kunz,Viola K Vetter,Max M L Knott,Dominik Lisowski,Sascha Haubner,Stefan Moder,Raffael Thaler,Stephan Eiber,Bastian Meyer,Natascha Röhrle,Ignazio Piseddu,Simon Grassmann,Patrick Layritz,Benjamin Kühnemuth,Susanne Stutte,Carole Bourquin,Ulrich H von Andrian,Stefan Endres,David Anz

International journal of cancer 144:3160-3173 PubMed30536712

2019

Modeling and multiscale characterization of the quantitative imaging based fibrosis index reveals pathophysiological, transcriptome and proteomic correlates of lung fibrosis induced by fractionated irradiation.

Applications

Unspecified application

Species

Unspecified reactive species

Cheng Zhou,Mahmoud R Moustafa,Liji Cao,Mark Kriegsmann,Martin Winter,Christian Schwager,Bleddyn Jones,Shijun Wang,Tobias Bäuerle,Ping-Kun Zhou,Martina Schnölzer,Wilko Weichert,Juergen Debus,Amir Abdollahi

Frontiers in immunology 9:2594 PubMed30467506

2018

CCL22-Producing Resident Macrophages Enhance T Cell Response in Sjögren's Syndrome.

Applications

Unspecified application

Species

Unspecified reactive species

Aya Ushio,Rieko Arakaki,Kunihiro Otsuka,Akiko Yamada,Takaaki Tsunematsu,Yasusei Kudo,Keiko Aota,Masayuki Azuma,Naozumi Ishimaru
View all publications

Product promise

We are committed to supporting your work with high-quality reagents, and we're here for you every step of the way. In the unlikely event that one of our products does not perform as expected, you're protected by our Product Promise.
For full details, please see our Terms & Conditions

Please note: All products are 'FOR RESEARCH USE ONLY. NOT FOR USE IN DIAGNOSTIC OR THERAPEUTIC PROCEDURES'.

For licensing inquiries, please contact partnerships@abcam.com