JavaScript is disabled in your browser. Please enable JavaScript to view this website.
AB247994

Anti-MDC antibody [EPR1362] - BSA and Azide free

Be the first to review this product! Submit a review

|

(1 Publication)

Rabbit Recombinant Monoclonal MDC antibody. Carrier free. Suitable for IHC-P, WB and reacts with Mouse, Recombinant full length protein - Mouse samples. Cited in 1 publication.

View Alternative Names

Abcd1, Scya22, Ccl22, C-C motif chemokine 22, Activated B and dendritic cell-derived, CC chemokine ABCD-1, Small-inducible cytokine A22

3 Images
Immunohistochemistry (Formalin/PFA-fixed paraffin-embedded sections) - Anti-MDC antibody [EPR1362] - BSA and Azide free (AB247994)
  • IHC-P

Supplier Data

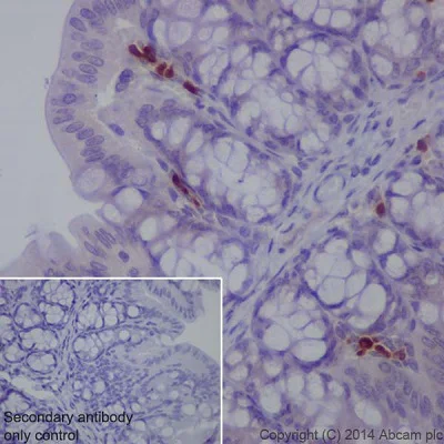
Immunohistochemistry (Formalin/PFA-fixed paraffin-embedded sections) - Anti-MDC antibody [EPR1362] - BSA and Azide free (AB247994)

This data was developed using ab124768, the same antibody clone in a different buffer formulation.

Immunohistochemical analysis of paraffin-embedded mouse colon tissue labeling MDC with ab124768 at 1/250 dilution followed by Goat Anti-Rabbit IgG H&L (HRP) (ab97051, 1/500). Counter stained with hematoxylin.

Perform heat mediated antigen retrieval before commencing with IHC staining protocol.

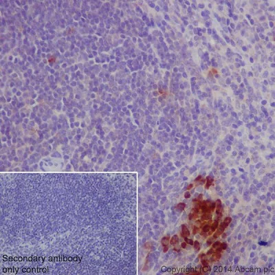
Immunohistochemistry (Formalin/PFA-fixed paraffin-embedded sections) - Anti-MDC antibody [EPR1362] - BSA and Azide free (AB247994)
  • IHC-P

Supplier Data

Immunohistochemistry (Formalin/PFA-fixed paraffin-embedded sections) - Anti-MDC antibody [EPR1362] - BSA and Azide free (AB247994)

This data was developed using ab124768, the same antibody clone in a different buffer formulation.

Immunohistochemical analysis of paraffin-embedded mouse spleen tissue labeling MDC with ab124768 at 1/250 dilution followed by Goat Anti-Rabbit IgG H&L (HRP) (ab97051, 1/500). Counter stained with hematoxylin.

Perform heat mediated antigen retrieval before commencing with IHC staining protocol.

Western blot - Anti-MDC antibody [EPR1362] - BSA and Azide free (AB247994)
  • WB

Unknown

Western blot - Anti-MDC antibody [EPR1362] - BSA and Azide free (AB247994)

This data was developed using ab124768, the same antibody clone in a different buffer formulation.

All lanes:

Western blot - Anti-MDC antibody [EPR1362] (<a href='/en-us/products/primary-antibodies/mdc-antibody-epr1362-ab124768'>ab124768</a>) at 1/1000 dilution

All lanes:

Recombinant full-length MDC protein at 0.005 µg

Secondary

All lanes:

Goat anti-rabbit HRP-conjugated at 1/2000 dilution

Predicted band size: 11 kDa

false

Key facts

Host species

Rabbit

Clonality

Monoclonal

Clone number

EPR1362

Isotype

IgG

Carrier free

Yes

Reacts with

Mouse

Applications

WB, IHC-P

applications

Immunogen

The exact immunogen used to generate this antibody is proprietary information.

Reactivity data

{ "title": "Reactivity Data", "filters": { "stats": ["", "Species", "Dilution Info", "Notes"], "tabs": { "all-applications": {"fullname" : "All Applications", "shortname": "All Applications"}, "IHCP" : {"fullname" : "Immunohistochemistry (Formalin/PFA-fixed paraffin-embedded sections)", "shortname":"IHC-P"}, "IP" : {"fullname" : "Immunoprecipitation", "shortname":"IP"}, "WB" : {"fullname" : "Western blot", "shortname":"WB"}, "ICCIF" : {"fullname" : "Immunocytochemistry/ Immunofluorescence", "shortname":"ICC/IF"} }, "product-promise": { "all": "all", "testedAndGuaranteed": "tested", "guaranteed": "expected", "predicted": "predicted", "notRecommended": "not-recommended" } }, "values": { "Human": { "IHCP-species-checked": "notRecommended", "IHCP-species-dilution-info": "", "IHCP-species-notes": "<p>For antigen retrieval, heat up to 98 degree C, below boiling, and then let cool for 10-20 minutes.</p>", "IP-species-checked": "notRecommended", "IP-species-dilution-info": "", "IP-species-notes": "<p></p>", "WB-species-checked": "notRecommended", "WB-species-dilution-info": "", "WB-species-notes": "<p></p>", "ICCIF-species-checked": "notRecommended", "ICCIF-species-dilution-info": "", "ICCIF-species-notes": "<p></p>" }, "Mouse": { "IHCP-species-checked": "testedAndGuaranteed", "IHCP-species-dilution-info": "", "IHCP-species-notes": "<p>For antigen retrieval, heat up to 98 degree C, below boiling, and then let cool for 10-20 minutes.</p>", "IP-species-checked": "notRecommended", "IP-species-dilution-info": "", "IP-species-notes": "", "WB-species-checked": "guaranteed", "WB-species-dilution-info": "", "WB-species-notes": "", "ICCIF-species-checked": "notRecommended", "ICCIF-species-dilution-info": "", "ICCIF-species-notes": "" }, "Rat": { "IHCP-species-checked": "notRecommended", "IHCP-species-dilution-info": "", "IHCP-species-notes": "<p>For antigen retrieval, heat up to 98 degree C, below boiling, and then let cool for 10-20 minutes.</p>", "IP-species-checked": "notRecommended", "IP-species-dilution-info": "", "IP-species-notes": "<p></p>", "WB-species-checked": "notRecommended", "WB-species-dilution-info": "", "WB-species-notes": "<p></p>", "ICCIF-species-checked": "notRecommended", "ICCIF-species-dilution-info": "", "ICCIF-species-notes": "<p></p>" }, "Recombinant full length protein - Mouse": { "IHCP-species-checked": "notRecommended", "IHCP-species-dilution-info": "", "IHCP-species-notes": "", "IP-species-checked": "notRecommended", "IP-species-dilution-info": "", "IP-species-notes": "", "WB-species-checked": "testedAndGuaranteed", "WB-species-dilution-info": "", "WB-species-notes": "<p></p>", "ICCIF-species-checked": "notRecommended", "ICCIF-species-dilution-info": "", "ICCIF-species-notes": "" } } }

Product details

ab247994 is the carrier-free version of ab124768.

Patented technology
Our RabMAb® technology is a patented hybridoma-based technology for making rabbit monoclonal antibodies. For details on our patents, please refer to RabMAb® patents.

What are the advantages of a recombinant monoclonal antibody?
This product is a recombinant monoclonal antibody, which offers several advantages including:

  • - High batch-to-batch consistency and reproducibility
  • - Improved sensitivity and specificity
  • - Long-term security of supply
  • - Animal-free batch production

For more information, read more on recombinant antibodies.

Conjugation ready
Our carrier-free antibodies are typically supplied in a PBS-only formulation, purified and free of BSA, sodium azide and glycerol. This conjugation-ready format is designed for use with fluorochromes, metal isotopes, oligonucleotides, and enzymes, which makes them ideal for antibody labelling, functional and cell-based assays, flow-based assays (e.g. mass cytometry) and Multiplex Imaging applications.

Use our conjugation kits for antibody conjugates that are ready-to-use in as little as 20 minutes with 1 minute hands-on-time and 100% antibody recovery: available for fluorescent dyes, HRP, biotin and gold.

Compatibility
This product is compatible with the Maxpar® Antibody Labeling Kit from Fluidigm, without the need for antibody preparation. Maxpar® is a trademark of Fluidigm Canada Inc.

Properties and storage information

Form
Liquid
Purification technique
Affinity purification Protein A
Storage buffer
pH: 7.2 - 7.4 Constituents: PBS
Shipped at conditions
Blue Ice
Appropriate short-term storage conditions
+4°C
Appropriate long-term storage conditions
+4°C
Storage information
Do Not Freeze

Supplementary information

This supplementary information is collated from multiple sources and compiled automatically.

MDC also known as CCL22 or macrophage-derived chemokine is a small protein involved in immune system signaling. The molecular mass of MDC is approximately 8 kDa. It is expressed in various tissues including lymph nodes thymus and lungs where it mainly acts to regulate immune cell movement. Researchers commonly study this target using MDC assays and CCL22 ELISA to better understand its functions and expression patterns.
Biological function summary

MDC interacts with immune cells to mediate responses such as chemotaxis. It binds to the CCR4 receptor which is found on T cells and other immune cells. MDC does not require complex formation to function; it works independently to attract specific cell types. This chemokine provides a way for immune cells to navigate to sites of inflammation or infection.

Pathways

MDC plays a significant role in inflammatory and immune response pathways. It is integrally linked with the chemokine signaling pathway where it works along with other chemokines to guide immune responses. MDC is related to proteins like CCR4 and other chemokines in these pathways facilitating communication between cells during immune responses and maintaining homeostasis.

MDC is implicated in conditions such as allergic responses and autoimmune diseases. Its interaction with CCR4 connects it to disorders like asthma and atopic dermatitis where excessive immune cell recruitment leads to inflammation. Studying MDC levels through macrophage assays and chemokine ELISAs can provide insights into its role in these diseases and help develop potential therapeutic strategies.

Product protocols

For this product, it's our understanding that no specific protocols are required. You can visit:

Target data

Chemotactic for activated T-lymphocytes. May play an important role in the collaboration of dendritic cells and B-lymphocytes with T-cells in immune responses.
See full target information Ccl22

Publications (1)

Recent publications for all applications. Explore the full list and refine your search

Journal of virology 97:e0190722 PubMed36946735

2023

Characterization of the Impact of Merkel Cell Polyomavirus-Induced Interferon Signaling on Viral Infection.

Applications

Unspecified application

Species

Unspecified reactive species

Ranran Wang,June F Yang,Taylor E Senay,Wei Liu,Jianxin You
View all publications

Product promise

We are committed to supporting your work with high-quality reagents, and we're here for you every step of the way. In the unlikely event that one of our products does not perform as expected, you're protected by our Product Promise.
For full details, please see our Terms & Conditions

Please note: All products are 'FOR RESEARCH USE ONLY. NOT FOR USE IN DIAGNOSTIC OR THERAPEUTIC PROCEDURES'.

For licensing inquiries, please contact partnerships@abcam.com