JavaScript is disabled in your browser. Please enable JavaScript to view this website.
AB11170

Anti-MDC1 antibody

Be the first to review this product! Submit a review

|

(3 Publications)

Rabbit Polyclonal MDC1 antibody. Suitable for WB, IHC-P and reacts with Human samples. Cited in 3 publications. Immunogen corresponding to Synthetic Peptide within Human MDC1 aa 900-1000.

View Alternative Names

KIAA0170, NFBD1, MDC1, Mediator of DNA damage checkpoint protein 1, Nuclear factor with BRCT domains 1

3 Images
Immunohistochemistry (Formalin/PFA-fixed paraffin-embedded sections) - Anti-MDC1 antibody (AB11170)
  • IHC-P

Lab

Immunohistochemistry (Formalin/PFA-fixed paraffin-embedded sections) - Anti-MDC1 antibody (AB11170)

IHC image of MDC1 staining in human breast adenocarcinoma formalin fixed paraffin embedded tissue section, performed on a Leica Bond system using the standard protocol F. The section was pre-treated using heat mediated antigen retrieval with sodium citrate buffer (pH6, epitope retrieval solution 1) for 20 mins. The section was then incubated with ab11170, 5μg/ml, for 15 mins at room temperature and detected using an HRP conjugated compact polymer system. DAB was used as the chromogen. The section was then counterstained with haematoxylin and mounted with DPX.

For other IHC staining systems (automated and non-automated) customers should optimize variable parameters such as antigen retrieval conditions, primary antibody concentration and antibody incubation times.

Immunohistochemistry (Formalin/PFA-fixed paraffin-embedded sections) - Anti-MDC1 antibody (AB11170)
  • IHC-P

Supplier Data

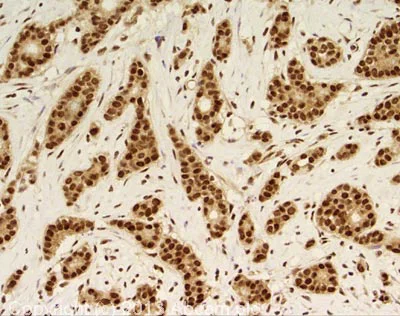
Immunohistochemistry (Formalin/PFA-fixed paraffin-embedded sections) - Anti-MDC1 antibody (AB11170)

Immunohistochemistry (Formalin/PFA-fixed paraffin-embedded sections) analysis of human ovarian carcinoma tissue labelling MDC1 with ab11170 at 1/1000 (1µg/ml). Detection : DAB.

Western blot - Anti-MDC1 antibody (AB11170)
  • WB

Supplier Data

Western blot - Anti-MDC1 antibody (AB11170)

Lane 1:

Western blot - Anti-MDC1 antibody (ab11170) at 4 µg/mL

Lane 2:

Western blot - Anti-MDC1 antibody (ab11170) at 2 µg/mL

Lane 3:

Western blot - Anti-MDC1 antibody (ab11170) at 1 µg/mL

Lane 4:

Western blot - Anti-MDC1 antibody (ab11170) at 0.5 µg/mL

All lanes:

HeLa (Human cervix adenocarcinoma epithelial cell) whole cell lysate at 50 µg

Predicted band size: 227 kDa

false

Exposure time: 5min

Key facts

Host species

Rabbit

Clonality

Polyclonal

Isotype

IgG

Carrier free

No

Reacts with

Human

Applications

IHC-P, WB

applications

Immunogen

Synthetic Peptide within Human MDC1 aa 900-1000. The exact immunogen used to generate this antibody is proprietary information.

Q14676

Reactivity data

{ "title": "Reactivity Data", "filters": { "stats": ["", "Species", "Dilution Info", "Notes"], "tabs": { "all-applications": {"fullname" : "All Applications", "shortname": "All Applications"}, "WB" : {"fullname" : "Western blot", "shortname":"WB"}, "IHCP" : {"fullname" : "Immunohistochemistry (Formalin/PFA-fixed paraffin-embedded sections)", "shortname":"IHC-P"} }, "product-promise": { "all": "all", "testedAndGuaranteed": "tested", "guaranteed": "expected", "predicted": "predicted", "notRecommended": "not-recommended" } }, "values": { "Human": { "WB-species-checked": "testedAndGuaranteed", "WB-species-dilution-info": "1/1000 - 1/10000", "WB-species-notes": "<p></p>", "IHCP-species-checked": "testedAndGuaranteed", "IHCP-species-dilution-info": "", "IHCP-species-notes": "<p></p>" } } }

Properties and storage information

Form
Liquid
Purification technique
Affinity purification Immunogen
Purification notes
Antibodies were affinity purified using the peptide immobilized on solid support.
Storage buffer
pH: 7 - 8 Preservative: 0.1% Sodium azide Constituents: PBS, 1.815% Tris, 1.764% Sodium citrate
Shipped at conditions
Blue Ice
Appropriate short-term storage conditions
+4°C
Appropriate long-term storage conditions
-20°C
Aliquoting information
Upon delivery aliquot
Storage information
Avoid freeze / thaw cycle

Supplementary information

This supplementary information is collated from multiple sources and compiled automatically.

MDC1 also known as mediators of DNA damage checkpoint protein 1 or ABF-M 1711 is an important player in the DNA damage response (DDR). It has a mass of approximately 220 kDa. MDC1 is highly expressed in various human tissues particularly where cell turnover is high like in the bone marrow and lymphoid organs. In cellular operations MDC1 serves as a scaffold protein that coordinates recruitment and activation of DDR machinery at sites of double-strand breaks (DSBs) on DNA.
Biological function summary

This protein plays a vital role in maintaining genomic stability by binding to phosphorylated histone H2AX at DSB sites. It is not a solitary player; MDC1 functions as part of a larger protein complex including factors like RNF8 RNF168 and 53BP1. This complex is essential for amplifying the DDR signal and facilitating the repair process through non-homologous end joining (NHEJ) and homologous recombination (HR). MDC1's interaction with other repair proteins helps to extend the signal required for effective DNA repair.

Pathways

MDC1 significantly influences cellular pathways involving DNA damage sensing and repair and cell cycle checkpoints. It ties closely to the ATM kinase pathway which is activated in response to DSBs. MDC1 aids ATM in phosphorylating downstream targets like CHK2 and p53 for cell cycle arrest. It also connects with BRCA1 interacting in HR repair pathways to ensure accurate repair of DSBs. Both ATM and BRCA1 interactions illustrate MDC1's pivotal role in maintaining DNA integrity.

MDC1 expression and functionality have profound implications on cancer and immunodeficiencies. Abnormal MDC1 expression or mutations can lead to impaired DNA repair and genomic instability often associated with tumor progression in cancers such as breast cancer. Moreover MDC1 interacts with proteins like p53 which is a well-known tumor suppressor to hinder cancer development by stopping the cell cycle for repair or triggering apoptosis if the damage is beyond repair. Dysregulation in MDC1-related pathways can also compromise immune system effectiveness further underpinning its significance in disease contexts.

Product protocols

For this product, it's our understanding that no specific protocols are required. You can visit:

Target data

Histone reader protein required for checkpoint-mediated cell cycle arrest in response to DNA damage within both the S phase and G2/M phases of the cell cycle (PubMed : 12475977, PubMed : 12499369, PubMed : 12551934, PubMed : 12607003, PubMed : 12607004, PubMed : 12607005, PubMed : 12611903, PubMed : 14695167, PubMed : 15201865, PubMed : 15377652, PubMed : 16049003, PubMed : 16377563, PubMed : 30898438). Specifically recognizes and binds histone H2AX phosphorylated at 'Ser-139', a marker of DNA damage, serving as a scaffold for the recruitment of DNA repair and signal transduction proteins to discrete foci of DNA damage sites (PubMed : 12607005, PubMed : 15201865, PubMed : 16049003, PubMed : 16377563, PubMed : 30898438). Also required for downstream events subsequent to the recruitment of these proteins (PubMed : 12607005, PubMed : 15201865, PubMed : 16049003, PubMed : 16377563, PubMed : 18582474). These include phosphorylation and activation of the ATM, CHEK1 and CHEK2 kinases, and stabilization of TP53/p53 and apoptosis (PubMed : 12499369, PubMed : 12551934, PubMed : 12607004). ATM and CHEK2 may also be activated independently by a parallel pathway mediated by TP53BP1 (PubMed : 12499369, PubMed : 12551934, PubMed : 12607004). Required for chromosomal stability during mitosis by promoting recruitment of TOPBP1 to DNA double strand breaks (DSBs) : TOPBP1 forms filamentous assemblies that bridge MDC1 and tether broken chromosomes during mitosis (PubMed : 30898438). Required for the repair of DSBs via homologous recombination by promoting recruitment of NBN component of the MRN complex to DSBs (PubMed : 18411307, PubMed : 18582474, PubMed : 18583988, PubMed : 18678890).
See full target information MDC1

Publications (3)

Recent publications for all applications. Explore the full list and refine your search

Cancer research 75:1298-310 PubMed25627978

2015

MicroRNA-22 Suppresses DNA Repair and Promotes Genomic Instability through Targeting of MDC1.

Applications

Unspecified application

Species

Unspecified reactive species

Jung-Hee Lee,Seon-Joo Park,Seo-Yeon Jeong,Min-Ji Kim,Semo Jun,Hyun-Seo Lee,In-Youb Chang,Sung-Chul Lim,Sang Pil Yoon,Jeongsik Yong,Ho Jin You

Carcinogenesis 32:279-85 PubMed21112959

2010

Estrogen receptor α-mediated transcription induces cell cycle-dependent DNA double-strand breaks.

Applications

Unspecified application

Species

Human

Laura M Williamson,Susan P Lees-Miller

Genes to cells : devoted to molecular & cellular mechanisms 13:53-66 PubMed18173747

2008

Sp1-mediated transcriptional regulation of NFBD1/MDC1 plays a critical role in DNA damage response pathway.

Applications

WB

Species

Human

Youquan Bu,Yusuke Suenaga,Sayaka Ono,Tadayuki Koda,Fangzhou Song,Akira Nakagawara,Toshinori Ozaki
View all publications

Product promise

We are committed to supporting your work with high-quality reagents, and we're here for you every step of the way. In the unlikely event that one of our products does not perform as expected, you're protected by our Product Promise.
For full details, please see our Terms & Conditions

Please note: All products are 'FOR RESEARCH USE ONLY. NOT FOR USE IN DIAGNOSTIC OR THERAPEUTIC PROCEDURES'.

For licensing inquiries, please contact partnerships@abcam.com